Continuous and bimonthly publication
ISSN (on-line): 1806-3756

Licença Creative Commons
31562
Views
Back to summary
Open Access Peer-Reviewed
Case Report

Spontaneous chylothorax associated with light physical activity

Quilotórax espontâneo associado a atividade física leve

José Carlos Miranda Torrejais, Carolina Borges Rau, João Adriano de Barros, Márcia Miranda Torrejais

ABSTRACT

Chylothorax occurs when there is rupture, laceration or obstruction of the thoracic duct, resulting in the release of chyle into the pleural space. Chylothorax can occur in cases of congenital lymphatic malformation, lymphoma, mediastinal tumor and infectious disease, as well as during surgical procedures and after traffic accident-related trauma. It can also be idiopathic. The condition presents clinical signs of dyspnea, hypotension, generalized edema and cyanosis. The diagnosis is usually made through thoracocentesis, and the treatment is conservative. Spontaneous chylothorax is an uncommon form of pleural effusion, and its diagnosis should be hypothesized only after all other causes have been ruled out. Herein, we describe a case of spontaneous chylothorax associated with light physical activity at a fitness center.

Keywords: Chylothorax; Pleural effusion; Motor; Case reports [Publication type]

RESUMO

O quilotórax ocorre quando há ruptura, laceração ou obstrução do ducto torácico, com liberação de quilo no espaço pleural. Pode acontecer em malformações linfáticas congênitas, linfomas, tumores de mediastino, doenças infecciosas, procedimentos cirúrgicos, traumas automobilísticos, ou ser idiopático. Apresenta sinais clínicos de dispnéia, hipotensão, edema generalizado e cianose. O diagnóstico geralmente é feito por toracocentese e o tratamento é conservador. O quilotórax espontâneo é uma condição incomum de derrame pleural, e somente é hipótese diagnóstica após a exclusão das demais causas. Descrevemos um caso de quilotórax espontâneo associado a atividade física leve em academia de ginástica.

Palavras-chave: Quilotórax; Derrame pleural; Atividade motora; Relato de Casos [Tipo de publicação]

INTRODUCTION

Chylothorax is characterized by the presence of chyle, which is rich in triglycerides and chylomicrons, in the pleural space, and results from rupture, laceration or obstruction of the thoracic duct.(1-2) The chyle can originate from the thorax, the abdomen or both.(1) Spontaneous chylothorax in adults is a rare clinical condition that can be considered diagnosed only after ruling out all other causes of chylothorax (neoplasms, trauma, congenital lymphatic malformations, infections and venous thrombosis, among others).(1) Chylothorax is potentially lethal and can result in respiratory, nutritional and immunologic impairment. We report a case of spontaneous chylothorax after light physical activity on a step machine at a fitness center.

CASE REPORT

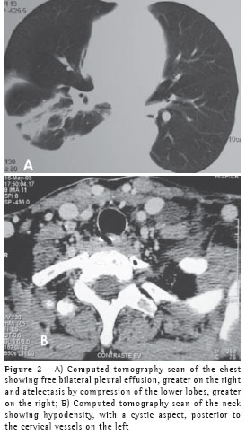
A previously healthy, 63-year-old female who was a nonsmoker and homemaker presented with swelling of the neck, anterior chest wall, abdomen and lower limbs. This was accompanied by discrete dyspnea upon exertion. The symptoms began after light physical activity at a fitness center five days prior. She reported no previous pulmonary disease and was taking 20 mg of fluoxetine per day, 3 mg of bromazepam per day, and regular female hormone replacement. Upon clinical examination, a discrete increase in volume was observed in the left supraclavicular fossa and in the right lateral neck wall. We also observed a diffuse decrease in breath sounds and in vocal fremitus in the lung bases (greater on the right than on the left), as well as edema in the anterior abdominal wall (grade 1) and in the lower limbs (grade 4).We requested the following tests: blood workup, coagulation profile, blood glucose, creatinine, urea, erythrocyte dissemination, total cholesterol, HDL, triglycerides, triiodothyronine, thyroxine, thyroid-stimulating hormone, and partial urinalysis, all of which presented normal results, ruling out dyslipidemia, coagulopathy, infection, nephropathy and hypothyroidism. Radiological evaluation of the thorax revealed slight bilateral pleural effusion (Figure 1), which was confirmed through a computed tomography scan of the chest (Figure 2A). This was complemented with tomography slices acquired at the neck level, revealing edema in the left supraclavicular region with hypodensity (20 × 10 mm) adjacent to the neurovascular bundle of the neck (Figure 2B).









Ultrasound imaging of the cervical region showed the formation of a pocket of cystic fluid collection, posterior to the cervical vessels, suggesting rupture of the left jugular trunk. It also demonstrated a slight increase in the thickness of the left sternocleidomastoid muscle, suggesting an inflammatory process secondary to muscle distention (Figure 3). The patient was submitted to diagnostic thoracentesis on the right side, and the opaque liquid obtained was consistent with chylothorax.





Laboratory analysis revealed that the exudate presented a predominance of polymorphonuclear cells, with a triglyceride level of 2035 mg/dl,
cholesterol at 131 mg/dl and proteins at 9.7 g/dl, confirming the laboratory testing profile of chylothorax. We performed smear cytology, Ziehl staining for sputum smear microscopy, direct mycological examination and cultures, the results of all of which were negative, thereby ruling out malignant processes and infectious diseases.

Due to the minimal clinical impairment, it was decided that conservative outpatient treatment should be given. The clinical and radiographic improvement was rapid (in seven days), with spontaneous regression of the muscle inflammatory process. After three months, the patient was totally asymptomatic, presenting normal laboratory test results and imaging.

DISCUSSION

Chylothorax is the most frequent cause of pleural effusion in fetuses and neonates. However, in adults it accounts for only 3% of the cases of pleural effusion.(1) The main causes of chylothorax are malignant tumors, 75% of which are lymphomas. Other rare causes are lymphangiomyomatosis, sarcoidosis, tuberculosis, venous thrombosis, congenital lymphatic malformations, trauma, nephrotic syndrome, hypothyroidism, cirrhosis, decompensated heart failure and idiopathic chylothorax.(1,9-10) The main differential diagnosis of the chylothorax is the pseudochylothorax. The pleural effusion caused by pseudochylothorax is extensive and continuous, with great quantities of cholesterol and globulin-lectin complexes. The differential diagnosis between the two can be established based on the timing of appearance of the effusion and the aspect of the pleural surface. Chylothorax is characterized by acute pleural effusion, and the pleural surface is normal, while in the pseudochylothorax the effusion is chronic and the surface is calcified.(7)

Chylothorax in adults is a rare clinical condition, and the diagnosis is made by ruling out other causes.(7-9) Although the etiology is unknown, hyperextension of the neck is a likely suspect. The majority of the spontaneous chylothorax cases are associated with minor traumas such as coughing, vomiting, stretching and having the hiccups after a meal rich in fat.(1,6-7) In the case described, the temporal relationship between the physical exercise and the appearance of the lymphatic effusion, together with the absence of a specific cause, led to the diagnosis of spontaneous chylothorax.

The chylothorax symptoms are nonspecific(11) and are related to the presence of liquid in the thoracic cavity, generating dyspnea, fatigue and thoracic discomfort on the affected side. Fever and pleuritic pain are rare because the chyle is not irritating to the pleural surface.(1) In general, the clinical profile appears two to ten days after the establishment of the lesion. The loss of chyle might result in hyponatremia, hypocalcemia, acidosis, hypovolemia, reduction of the venous return to the heart, and lymphocyte depletion.(6) In chronic profiles, weight loss and immunological impairment can occur.(8) In the case reported, the only patient complaints were generalized edema and mild difficulty in breathing.

The diagnosis of the chylothorax is made through laboratory tests, since clinical and imaging tests are inconclusive in cases of chylothorax. Computed tomography of the chest is useful to rule out the presence of lymphoma or metastasis but is also ineffective in diagnosing chylothorax. The effusion can occur on the right or left side, depending on the location of the thoracic duct lesion. Lesions lower than T5 frequently cause effusion on the right side and those above T5 cause effusion on the left side.
Cases of bilateral effusion have also been described.(10) Therefore, the diagnosis is made after thoracentesis, through the presence of a white liquid with little smell and opaque appearance. When the levels of triglycerides are higher than 110 mg/dl, there is a greater than 99% probability of being chylothorax. However, at triglyceride levels lower than 50 mg/dl, assuming normal serum levels of cholesterol and triglycerides, the probability of chylothorax drops to 5%.(1,12) If the levels of triglycerides are inconclusive, the presence of chylomicrons in the pleural liquid confirms the diagnosis.(6-7)

Treatment for chylothorax depends on the etiology, the general status of the patient and the policies of the hospital in question. Radiotherapy and chemotherapy can be used in the control of chylothorax secondary to lymphoma and metastasis. Corticosteroids might be used for sarcoidosis and specific treatment for tuberculosis.(11) In cases of spontaneous chylothorax, the treatment consists of preventing dehydration, nutrition maintenance and reduction of the chyle formation rate.(4) In small lesions, the duct frequently regenerates spontaneously, and no surgical procedure is necessary. In recurrent chylothorax or in extensive lesions, invasive treatment with pleurodesis or a pleuroperitoneal shunt is indicated, despite the fact that these treatments present low efficacy.(1) In patients who are refractory to the previous treatments, ligation of the thoracic duct is used.(3,7) In the case presented, nutritional orientation and outpatient monitoring were sufficient to resolve the symptoms.

Although chylothorax is a rare disease, it must be considered in the differential diagnosis of patients who perform physical activities and clinically present with dyspnea and bilateral pleural effusion accompanied by edema (generalized or of the neck), especially if exhaustive clinical investigation provides inconclusive results.

REFERENCES

1. Romero S. Nontraumatic chylothorax. Curr Opin Pulm Med. 2000;6(4):287-91.
2. McCormick J 3rd, Henderson SO. Blunt trauma-induced bilateral chylothorax. Am J Emerg Med. 1999;17(3):302-4.
3. Riquet M, Assouad J, Barthes FLP. Traitement du chylothorax. Chirurgie. 2004;1(7):662-81.
4. de Beer HG, Mol MJ, Janssen JP. Chylothorax. Neth J Med. 2000;56(1):25-31.
5. Worthington MG, de Groot M, Gunning AJ, von Oppell UO. Isolated thoracic duct injury after penetrating chest trauma. Ann Thorac Surg. 1995;60(2):272-4.
6. Madaniah AA. Spontaneous idiopathic chylothorax in adults. Saudi Med J. 2005;26(1):145-6.
7. Light RW. Chylothorax and pseudochylothorax. In: Light RW, editor. Pleural diseases. 4th ed. Baltimore, Maryland: Williams & Wilkins; 1995. p. 284-98.
8. Bocquel V, Girard P, Fournel P, Vergnon JM. [Spontaneous chylothorax. Apropos of a further case] Rev Mal Respir. 1997;14(5):395-6. French.
9. Ray J, Braithwaite D, Patel PJ. Spontaneous thoracic duct cyst. Eur Arch Otorhinolaryngol 2003;260(5):280-2.
10. Dagenais F, Ferraro P, Duranceau A. Spontaneous chylothorax associated with primary lymphedema and a lymphangioma malformation. Ann Thorac Surg. 1999;67(5):1480-2.
11. Chinnock BF. Chylothorax: case report and review of the literature. J Emerg Med. 2003;24(3):259-62.
12. Staats BA, Ellefson RD, Budahn LL, Dines DE, Prakash UB, Offord K. The lipoprotein profile of chylous and nonchylous pleural effusion. Mayo Clin Proc. 1980;55(11):700-4.
____________________________________________________________________________________________
* Study carried out in the Pulmonology Sector of the Clinical Medicine Department of the Universidade Federal do Paraná (UFPR, Federal University of Paraná) - Curitiba, Brazil.
1. Medical Student at the Universidade Federal do Paraná (UFPR, Federal University of Paraná) - Curitiba, Brazil.
2. Head of the Pulmonology Sector of the Universidade Federal do Paraná (UFPR, Federal University of Paraná) Hospital de Clínicas - Curitiba, Brazil
3. Adjunct Professor of Human Anatomy at Western Paraná University, Cascavel Campus, Center for Medical and Pharmaceutical Sciences - Curitiba, Brazil
Correspondence to:José Carlos Miranda Torrejais. Rua General Carneiro, 181, 4º Andar, Prédio Central. Curitiba, PR, Brasil. Phone: 55 41 360-1800. E-mail: funpul@hc.ufpr.br
Submitted: 06 February 2006. Accepted, after review: 06 March 2006.

Indexes

Development by:

© All rights reserved 2025 - Jornal Brasileiro de Pneumologia