Continuous and bimonthly publication
ISSN (on-line): 1806-3756

Licença Creative Commons
31566
Views
Back to summary
Open Access Peer-Reviewed
Case Report

Quilotórax espontâneo associado a atividade física leve

Spontaneous chylothorax associated with light physical activity

José Carlos Miranda Torrejais, Carolina Borges Rau, João Adriano de Barros, Márcia Miranda Torrejais

ABSTRACT

Chylothorax occurs when there is rupture, laceration or obstruction of the thoracic duct, resulting in the release of chyle into the pleural space. Chylothorax can occur in cases of congenital lymphatic malformation, lymphoma, mediastinal tumor and infectious disease, as well as during surgical procedures and after traffic accident-related trauma. It can also be idiopathic. The condition presents clinical signs of dyspnea, hypotension, generalized edema and cyanosis. The diagnosis is usually made through thoracocentesis, and the treatment is conservative. Spontaneous chylothorax is an uncommon form of pleural effusion, and its diagnosis should be hypothesized only after all other causes have been ruled out. Herein, we describe a case of spontaneous chylothorax associated with light physical activity at a fitness center.

Keywords: Chylothorax; Pleural effusion; Motor; Case reports [Publication type]

RESUMO

O quilotórax ocorre quando há ruptura, laceração ou obstrução do ducto torácico, com liberação de quilo no espaço pleural. Pode acontecer em malformações linfáticas congênitas, linfomas, tumores de mediastino, doenças infecciosas, procedimentos cirúrgicos, traumas automobilísticos, ou ser idiopático. Apresenta sinais clínicos de dispnéia, hipotensão, edema generalizado e cianose. O diagnóstico geralmente é feito por toracocentese e o tratamento é conservador. O quilotórax espontâneo é uma condição incomum de derrame pleural, e somente é hipótese diagnóstica após a exclusão das demais causas. Descrevemos um caso de quilotórax espontâneo associado a atividade física leve em academia de ginástica.

Palavras-chave: Quilotórax; Derrame pleural; Atividade motora; Relato de Casos [Tipo de publicação]

INTRODUÇÃO

O quilotórax (QT) caracteriza-se pela presença de quilo, rico em triglicerídeos e quilomícrons, no espaço pleural, proveniente de ruptura, laceração ou obstrução do ducto torácico.(1-2) A origem do quilo pode ser do tórax, abdome ou de ambos.(1) O quilotórax espontâneo (QE) em adultos é uma situação clínica rara, sendo considerado diagnóstico somente após a exclusão das demais causas de QT (neoplasias, trauma, malformações linfáticas congênitas, infecções, trombose venosa, entre outras).(1) O QT é potencialmente letal e pode resultar em comprometimento respiratório, nutricional e imunológico. Relatamos um caso de QE após atividade física leve em aparelho de step em academia de ginástica.

RELATO DO CASO

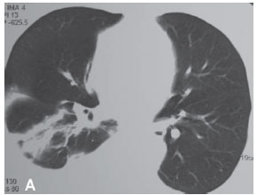
Uma mulher de 63 anos, do lar, não tabagista, previamente hígida, apresentou-se com queixa de aumento de volume em pescoço, face anterior do tórax, abdome e membros inferiores. Havia associação com dispnéia discreta aos esforços. O quadro teve início após atividade física leve em academia de ginástica, havia cinco dias. Negava doença pulmonar prévia e referia uso de fluoxetina a 20 mg/dia, bromazepam a 3 mg/dia e reposição hormonal feminina regular. Ao exame clínico observou-se um discreto aumento de volume em fossa supraclavicular esquerda e face lateral direita do pescoço. Observou-se ainda diminuição do murmúrio vesicular de forma difusa e de frêmito toracovocal em bases (direito maior que esquerdo), além de edema de parede abdominal anterior e de membros inferiores (grau I/IV). Foram solicitados hemograma, coagulograma, glicemia, creatinina, uréia, velocidade de hemossedimentação, colesterol total, HDL, triglicerídeos, T3, T4, TSH e parcial de urina, os quais se apresentaram todos normais, descartando a presença de dislipidemia, coagulopatia, infecção, nefropatia e hipotireoidismo. A avaliação radiológica do tórax revelou um pequeno derrame pleural bilateral (Figura 1), confirmado pela tomografia axial computadorizada de tórax (Figura 2A). Esta foi complementada com cortes ao nível do pescoço, que evidenciaram edema na região supraclavicular esquerda com imagem hipodensa (20 x 10 mm) adjacente ao feixe vasculonervoso do pescoço (Figura 2B). A ultra-sonografia da região cervical mostrou a formação de uma coleção cística, posteriormente aos vasos cervicais, sugestiva da ruptura do tronco jugular esquerdo. Demonstrou ainda um pequeno aumento da espessura do músculo esternocleidomastóideo esquerdo, sugestivo de processo inflamatório secundário a distensão muscular (Figura 3). A paciente foi submetida a toracocentese diagnóstica à direita com obtenção de líquido leitoso compatível com QT. A análise laboratorial demonstrou tratar-se de um exsudato com predomínio de polimorfonucleares e com dosagem de triglicerídeos de 2.035 mg/dl, colesterol de 131 mg/dl e proteínas de 9,7 g/dl, confirmando o quadro laboratorial de QT. Foram realizadas citologia oncótica, bacterioscopia de Ziehl, micológico direto e culturas, que resultaram negativos, descartando processos malignos e doenças infecciosas.










Devido ao pequeno comprometimento clínico, decidiu-se por tratamento conservador e ambulatorial. A paciente evoluiu com melhora rápida clínica e radiográfica (sete dias), com regressão espontânea do processo inflamatório muscular. Após três meses, a paciente estava totalmente assintomática e com exames laboratoriais e de imagem normais.





DISCUSSÃO

O QT é a causa mais comum de derrame pleural no feto e no neonato. Entretanto, em adultos ele representa apenas 3% das causas de derrame pleural.(1) As principais causas de QT são os tumores malignos, dentre os quais os linfomas representam aproximadamente 75% dos casos. Outras causas raras são linfangiomiomatose, sarcoidose, tuberculose, trombose venosa, malformações linfáticas congênitas, trauma, síndrome nefrótica, hipotireoidismo, cirrose, insuficiência cardíaca descompensada, além do QT idiopático.(1, 9-10) O principal diagnóstico diferencial do QT é o pseudoquilotórax. O derrame pleural deste é extenso e contínuo, com altas quantidades de colesterol e complexos globulina-lectina. O diagnóstico diferencial entre ambos pode ser estabelecido com base no tempo de aparecimento do derrame e no aspecto da superfície pleural. O QT caracteriza-se por um derrame pleural agudo e a superfície pleural é normal, enquanto que no pseudoquilotórax o derrame é crônico e a superfície pleural encontra-se calcificada.(7)

O QE em adultos é uma condição clínica rara, sendo que o diagnóstico é feito por exclusão.(7-9) A etiologia é desconhecida, provavelmente hiperextensão do pescoço. A maioria dos casos de QE está associada a pequenos traumas como tosse, vômito, alongamento e soluço após uma refeição rica em gordura.(1,6-7) No caso descrito, a relação temporal entre exercício físico e o aparecimento de derrame linfático e a ausência de uma causa específica levantaram o diagnóstico de QE.

Os sintomas do QT são inespecíficos(11) e estão relacionados à presença de líquido na cavidade torácica, gerando dispnéia, fadiga e desconforto torácico no lado afetado. Febre e dor pleurítica são raras porque o quilo não é irritante da superfície pleural.(1) Em geral, o quadro clínico aparece dois a dez dias após o estabelecimento da lesão. A perda do quilo pode resultar em hiponatremia, hipocalcemia, acidose, hipovolemia, diminuição do retorno venoso ao coração e depleção de linfócitos.(6) Em quadros crônicos podem ocorrer emagrecimento e comprometimento imunológico.(8) No caso relatado, as únicas queixas da paciente eram edema generalizado e leve dificuldade respiratória.

O diagnóstico do QT é laboratorial, pois a clínica e os exames de imagens não o confirmam. A tomografia axial computadorizada de tórax é útil para descartar a presença de linfoma ou metástase, mas não auxilia no diagnóstico de QT. O derrame pode ser tanto do lado direito como do esquerdo, dependendo da altura da lesão do ducto torácico. Lesões abaixo de T5 freqüentemente causam derrame no lado direito e, acima de T5, do lado esquerdo. Também foram descritos casos de derrame bilateral.(10) Assim, o diagnóstico é realizado após toracocentese, pela presença de um líquido branco, com pouco cheiro e aparência leitosa.
Quando os níveis de triglicerídeos são maiores que 110 mg/dl, a probabilidade de não ser QT é menor que 1%. Já níveis menores que 50 mg/dl não têm mais do que 5% de probabilidade de se tratar de QT, considerando-se níveis normais de colesterol e triglicerídeos séricos.(1,12) Se os níveis de triglicerídeos forem inconclusivos, a presença de quilomícrons no líquido pleural confirma o diagnóstico.(6-7)

O tratamento do QT depende da etiologia, do estado geral do paciente e das condições do hospital. Radioterapia e quimioterapia podem ser utilizadas no controle de QT secundário a linfoma ou metástase.
Corticosteróides podem ser utilizados para sarcoidose e tratamento específico para tuberculose.(11) No QE, o tratamento consiste em prevenção da desidratação, manutenção da nutrição e redução da taxa de formação do quilo.(4) Em pequenas lesões, o ducto freqüentemente se regenera espontaneamente, não sendo necessário nenhum procedimento cirúrgico. Em QT de repetição ou em lesões extensas, o tratamento intervencionista através de pleurodese ou shunt pleuroperitoneal está indicado, embora sua eficácia seja baixa.(1)
Quando refratários aos tratamentos anteriores, recorre-se à ligadura do ducto torácico.(3,7) No caso apresentado, somente orientação nutricional e acompanhamento ambulatorial foram suficientes para a resolução do quadro.

Mesmo sendo uma doença rara, o QT deve ser considerado no diagnóstico diferencial de pacientes que praticam atividades físicas e se apresentam clinicamente com dispnéia e derrame pleural bilateral associado a edema de pescoço ou generalizado, após investigação clínica exaustiva inconclusiva.

REFERÊNCIAS

1. Romero S. Nontraumatic chylothorax. Curr Opin Pulm Med. 2000;6(4):287-91.
2. McCormick J 3rd, Henderson SO. Blunt trauma-induced bilateral chylothorax. Am J Emerg Med. 1999;17(3):302-4.
3. Riquet M, Assouad J, Barthes FLP. Traitement du chylothorax. Chirurgie. 2004;1(7):662-81.
4. de Beer HG, Mol MJ, Janssen JP. Chylothorax. Neth J Med. 2000;56(1):25-31.
5. Worthington MG, de Groot M, Gunning AJ, von Oppell UO. Isolated thoracic duct injury after penetrating chest trauma. Ann Thorac Surg. 1995;60(2):272-4.
6. Madaniah AA. Spontaneous idiopathic chylothorax in adults. Saudi Med J. 2005;26(1):145-6.
7. Light RW. Chylothorax and pseudochylothorax. In: Light RW, editor. Pleural diseases. 4th ed. Baltimore, Maryland: Williams & Wilkins; 1995. p. 284-98.
8. Bocquel V, Girard P, Fournel P, Vergnon JM. [Spontaneous chylothorax. Apropos of a further case] Rev Mal Respir. 1997;14(5):395-6. French.
9. Ray J, Braithwaite D, Patel PJ. Spontaneous thoracic duct cyst. Eur Arch Otorhinolaryngol 2003;260(5):280-2.
10. Dagenais F, Ferraro P, Duranceau A. Spontaneous chylothorax associated with primary lymphedema and a lymphangioma malformation. Ann Thorac Surg. 1999;67(5):1480-2.
11. Chinnock BF. Chylothorax: case report and review of the literature. J Emerg Med. 2003;24(3):259-62.
12. Staats BA, Ellefson RD, Budahn LL, Dines DE, Prakash UB, Offord K. The lipoprotein profile of chylous and nonchylous pleural effusion. Mayo Clin Proc. 1980;55(11):700-4.
_________________________________________________________________________________________
* Trabalho realizado no Serviço de Pneumologia do Departamento de Clínica Médica da Universidade Federal do Paraná - UFPR - Curitiba (PR) Brasil.
1. Acadêmico de Medicina da Universidade Federal do Paraná - UFPR - Curitiba (PR) Brasil.
2. Chefe do Serviço de Pneumologia do Hospital de Clínicas da Universidade Federal do Paraná - UFPR - Curitiba (PR) Brasil.
3. Professor Adjunto de Anatomia Humana da Universidade do Oeste do Paraná, Campus de Cascavel, Centro de Ciências Médicas e Farmacêuticas - Curitiba (PR) Brasil.
Endereço para correspondência: José Carlos Miranda Torrejais. Rua General Carneiro, 181, 4º Andar, Prédio Central. Curitiba, PR, Brasil. Tel: 55 41 360-1800. Email: funpul@hc.ufpr.br
Recebido para publicação em 6/2/06. Aprovado, após revisão, em 6/3/06.



Indexes

Development by:

© All rights reserved 2025 - Jornal Brasileiro de Pneumologia