Continuous and bimonthly publication
ISSN (on-line): 1806-3756

Licença Creative Commons
39888
Views
Back to summary
Open Access Peer-Reviewed
Pictorial Essay

Aspectos tomográficos do carcinoma bronquíolo-alveolar e dos adenocarcinomas mistos com componente bronquíolo-alveolar

Aspects of bronchioloalveolar carcinoma and of adenocarcinoma with a bronchioloalveolar component: CT findings

Pedro Paulo Teixeira e Silva Torres, Julia Capobianco, Marcelo Eustáquio Montandon Júnior, Gustavo Souza Portes Meirelles

ABSTRACT

Bronchioloalveolar carcinoma has various presentations and a wide spectrum of imaging patterns, as does adenocarcinoma with a bronchioloalveolar component. The objective of this essay was to describe and illustrate the CT findings that are most characteristic of these tumors. Three presentations are described: solitary pulmonary nodule, consolidation, and diffuse pattern. The last two should be included in the differential diagnosis, together with infectious diseases. Knowledge of the various presentations and the use of proper diagnostic procedures are crucial to early diagnosis and to improving survival.

Keywords: Lung neoplasms; Adenocarcinoma, bronchiolo-alveolar; Tomography, X-ray computed.

RESUMO

O carcinoma bronquíolo-alveolar e os adenocarcinomas mistos com componente bronquíolo-alveolar têm apresentações variadas e múltiplos padrões por imagem. O objetivo deste ensaio foi descrever e ilustrar os achados mais característicos desses tumores em TC. São descritas três apresentações: nódulo pulmonar solitário, consolidação e apresentação difusa, sendo que as duas últimas são importantes no diagnóstico diferencial com acometimento infeccioso. O conhecimento das diversas apresentações e a utilização de propedêutica diagnóstica adequada são definitivos para o diagnóstico precoce e o aumento na sobrevida.

Palavras-chave: Neoplasias pulmonares; Adenocarcinoma bronquíolo-alveolar; Tomografia computadorizada por raios X.

Introdução

Os adenocarcinomas são o tipo histológico mais comum de câncer em vários países, apresentando amplo espectro de particularidades clínicas, moleculares e patológicas, assim como de imagem. O carcinoma bronquíolo-alveolar (CBA) é um subtipo de adenocarcinoma, com disseminação alveolar (lepídica) em substrato intersticial intacto e sem invasão vascular, estromal ou pleural. Esses tumores podem ser divididos em três tipos: não mucinoso (subtipo de células claras/pneumócitos tipo II); mucinoso; e misto (mucinoso e não mucinoso). Usualmente, o CBA não mucinoso tende a se apresentar como lesão solitária e tem melhor prognóstico, enquanto o subtipo mucinoso frequentemente se apresenta com consolidações, com propensão a disseminação e pior sobrevida.(1,2)

Antes da classificação mais recente da Organização Mundial da Saúde (OMS) para neoplasias pulmonares, todos os tumores com crescimento lepídico eram considerados CBA, e a prevalência desse subtipo atingia 24% de todos os tumores pulmonares.(3) Depois dos novos critérios da OMS para o diagnóstico de CBA, sua prevalência provou ser menor que 5% das neoplasias malignas pulmonares(4); a maioria dos casos agora é considerada adenocarcinomas mistos, com componente bronquíolo-alveolar (AM-CBA).(1,4)

As principais características de CBA e AM-CBA são localização periférica, reação desmoplásica, produção de mucina, alta frequência em não fumantes, maior frequência em mulheres, baixa tendência a disseminação linfonodal/extratorácica e propensão a multifocalidade.(2,5,6) Os sintomas incluem tosse (35%), expectoração mucoide (24%), dispneia (15%), perda de peso (13%), hemoptise (11%) e febre (8%).(7) A broncorreia é conhecidamente uma característica do tumor; entretanto, essa é incomum e se apresenta nos estágios avançados da doença.(7)

As taxas de sobrevida para CBA localizados pode atingir 100% em cinco anos.(8) O prognóstico é mais favorável para CBA e AM-CBA localizados com maior componente em vidro fosco (> 50%) na TC quando comparado àquele dos tumores predominantemente sólidos.(3,5) Há evidências demonstrando menor tempo de duplicação celular de neoplasias pulmonares em fumantes, denotando maior agressividade da lesão. Esse fato, associado à pior função cardiopulmonar de muitos desses pacientes, explicaria o pior prognóstico de neoplasias pulmonares em fumantes.(2,9)

A biópsia cirúrgica é o padrão ouro para o diagnóstico; quando o procedimento está contraindicado, o diagnóstico histológico pode ser feito por biópsia percutânea ou transbrônquica associada a achados compatíveis na TC.(5)

São reconhecidos três principais padrões de CBA na TC: nódulo pulmonar solitário ou massa; consolidação; e doença multifocal.(2,3,10) De acordo com a nova classificação da OMS, a maioria dos casos corresponde a AM-CBA, e o CBA puro aparece como opacidade focal em vidro fosco na TC, sem distorção arquitetural.(4)

Avanços no entendimento dos aspectos moleculares e de correlação radiológico-patológica levaram a uma nova proposta de classificação dos adenocarcinomas, visando uniformizar a terminologia e os critérios diagnósticos.(11) Embora haja a necessidade de critérios universalmente aceitos para subtipos de adenocarcinoma, os autores da nova proposta de classificação entendem que haverá um período de adaptação aos termos sugeridos e recomendam inicialmente o uso dos termos anteriores acompanhados da nomenclatura atual.(11)

O objetivo do presente ensaio foi descrever os principais padrões tomográficos de CBA e AM-CBA por meio de uma série de casos ilustrativos.

Padrões de imagem no CBA e AM-CBA

Nódulo pulmonar e opacidades focais em vidro fosco

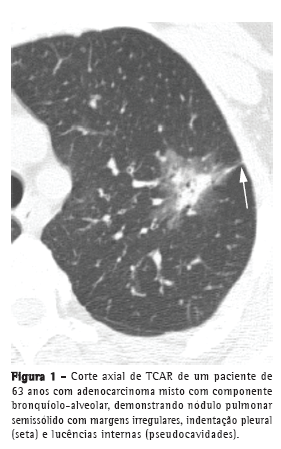
O nódulo pulmonar solitário, usualmente na periferia dos lobos superiores, é descrito como a manifestação tomográfica mais comum do CBA e AM-CBA.(12) A maioria desses nódulos são semissólidos, com componentes sólidos e em vidro fosco, exibindo margens irregulares e indentação pleural.(7) Embora a escavação seja rara na apresentação inicial, alguns nódulos podem ter lucências focais, conhecidas como pseudocavidades (Figura 1).(7,13) Pode haver escavação após o tratamento quimioterápico (Figura 2).





Opacidades em vidro fosco admitem múltiplos diagnósticos diferenciais, variando de doenças benignas, como fibrose focal e lesões de natureza infecciosa; opacidades pré-malignas, como hiperplasia adenomatosa atípica (HAA); até lesões malignas, como CBA e AM-CBA.(14) A atual classificação da OMS para tumores pulmonares inclui a HAA como lesão pré-maligna, precursora do CBA, com características morfológicas e moleculares próprias, cuja manifestação tomográfica mais comum é a de nódulo pulmonar com atenuação em vidro fosco.(1) Nakata et al. estudaram características tomográficas que poderiam ajudar no diagnóstico diferencial de CBA e HAA, descrevendo que HAA geralmente é < 1,0 cm e se apresenta como opacidades puramente em vidro fosco, enquanto CBA tem pelo menos 1,0 cm e pode mostrar componentes sólidos.(15) Na prática diária, o seguimento de opacidades focais em vidro fosco é crucial. A maioria das lesões benignas tende a reduzir ou desaparecer em três meses; lesões pré-malignas e malignas podem permanecer inalteradas ou aumentar (Figura 3).(16)



A positron emission tomography (PET, tomografia por emissão de prótons) é tida como ferramenta fundamental no estadiamento, tratamento e seguimento de neoplasias pulmonares (Figura 4). Entretanto, deve-se enfatizar que os CBA puros podem não demonstrar hiperconcentração de 18F fluordesoxiglicose (FDG),(6) dado que esses tumores são usualmente indolentes, de crescimento lento e bem diferenciados. Logo, a ausência de captação do FDG não exclui a possibilidade de neoplasia, tais como CBA, pequenas lesões ou neoplasias indolentes. Martins et al.(17) estudaram a acurácia diagnóstica da PET na avaliação de nódulos pulmonares solitários e, dentre os 32 pacientes estudados, obtiveram somente um resultado falso-negativo, cujo diagnóstico final foi de CBA. Sendo assim, a análise do aspecto tomográfico é mandatória para o diagnóstico (Figura 5).





Consolidação

O padrão de consolidação corresponde a até 30% dos casos de CBA, sendo mais frequente na variante mucinosa.(3) Esse padrão é também descrito como variante pneumônica do CBA.(18) Dada a dificuldade de se distinguir esse padrão do CBA daquele de pneumonias infecciosas, frequentemente há atraso no diagnóstico. Alguns achados, como sinal do angiograma, broncogramas aéreos, opacidades em vidro fosco e nódulos do espaço aéreo (Figura 6), podem ser observados tanto no CBA, quanto na pneumonia lobar.(3,19) Linfonodomegalia e derrame pleural também podem estar presentes em ambas as entidades.(16) A consolidação parenquimatosa que não se resolve após tratamento deve levantar a possibilidade de neoplasia pulmonar.(2,3,18)



O sinal do angiograma pode ser visto na TC com contraste, consistindo em vasos pulmonares que se ramificam em meio à consolidação de baixa atenuação (Figura 7), usualmente correspondendo a espaços aéreos preenchidos por mucina. Primeiramente descrito como específico para a variante pneumônica do CBA, esse sinal pode ser visto em inúmeras entidades, como pneumonia infecciosa, edema pulmonar, pneumonia pós-obstrutiva, linfoma e metástases.(19)



A PET pode ser útil para a avaliação de consolidações parenquimatosas suspeitas para doença maligna (Figura 8), seja para a caracterização da lesão ou para o estadiamento de consolidações neoplásicas. Contudo, deve-se ressaltar que alguns casos de CBA ou AM-CBA podem não captar a glicose marcada (falso-negativos) e que processos inflamatórios e/ou infecciosos podem ser falso-positivos no exame de PET.(5)



Apresentação difusa

O envolvimento difuso do CBA pode representar origem multifocal, disseminação endobrônquica, metástases hematogênicas ou combinações desses padrões. Consolidação, nódulos (Figura 9), opacidades em vidro fosco, broncogramas aéreos e cistos (Figura 10), assim como distribuição periférica e nos lobos inferiores, caracterizam esse padrão.(20) Lesões pulmonares satélites podem ser vistas tanto no CBA, quanto na pneumonia.(18)






Opacidades em vidro fosco associadas a espessamento septal ("pavimentação em mosaico") também são descritos na apresentação difusa do CBA (Figura 11). O diagnóstico diferencial deve ser feito com outras condições benignas, como proteinose alveolar,(18) hemorragia e infecção.



O estudo por PET pode ser usado para avaliar pacientes com padrão difuso do CBA, especialmente para estadiamento e seguimento pós-tratamento (Figura 12). Deve-se lembrar que alguns casos podem não captar a glicose marcada, destacando-se a importância de uma análise atenta da TC para o diagnóstico diferencial e estadiamento.



Considerações finais

O CBA e o AM-CBA têm ampla variedade de padrões tomográficos, como nódulo ou massa solitária, opacidades em vidro fosco, consolidação e apresentação difusa. O conhecimento dos principais achados de imagem dessas neoplasias é de suma importância, principalmente para o diagnóstico precoce e a diferenciação de tais tumores de processos infecciosos pulmonares. Opacidades focais e/ou consolidações parenquimatosas de resolução lenta ou sem modificação significativa após tratamento devem levantar a suspeita de neoplasias do tipo CBA ou AM-CBA; em tais situações, recomenda-se prosseguir na investigação diagnóstica para excluir neoplasias pulmonares. A PET pode ser empregada no diagnóstico diferencial ou no estadiamento neoplásico; ressalta-se, contudo, que o método pode apresentar resultados falso-negativos e falso-positivos, devendo-se sempre realizar uma análise atenta dos achados tomográficos.

Referências


1. Brambilla E, Travis WD, Colby TV, Corrin B, Shimosato Y. The new World Health Organization classification of lung tumours. Eur Respir J. 2001;18(6):1059-68. PMid:11829087. http://dx.doi.org/10.1183/09031936.01.00275301

2. Liu YY, Chen YM, Huang MH, Perng RP. Prognosis and recurrent patterns in bronchioloalveolar carcinoma. Chest. 2000;118(4):940-7. PMid:11035660. http://dx.doi.org/10.1378/chest.118.4.940

3. Patsios D, Roberts HC, Paul NS, Chung T, Herman SJ, Pereira A, et al. Pictorial review of the many faces of bronchioloalveolar cell carcinoma. Br J Radiol. 2007;80(960):1015-23. PMid:17940131. http://dx.doi.org/10.1259/bjr/52225107

4. Travis WD, Garg K, Franklin WA, Wistuba II, Sabloff B, Noguchi M, et al. Evolving concepts in the pathology and computed tomography imaging of lung adenocarcinoma and bronchioloalveolar carcinoma. J Clin Oncol. 2005;23(14):3279-87. PMid:15886315. http://dx.doi.org/10.1200/JCO.2005.15.776

5. Arenberg D; American College of Chest Physicians. Bronchioloalveolar lung cancer: ACCP evidence-based clinical practice guidelines (2nd edition). Chest. 2007;132(3 Suppl):306S-13S. PMid:17873176. http://dx.doi.org/10.1378/chest.07-1383

6. Brandão DS, Haddad R, Marsico GA, Boasquevisque CH. Clinicopathological aspects of and survival in patients with clinical stage I bronchioloalveolar carcinoma. J Bras Pneumol. 2010;36(2):167-74. PMid:20485936.

7. Lee KS, Kim Y, Han J, Ko EJ, Park CK, Primack SL. Bronchioloalveolar carcinoma: clinical, histopathologic, and radiologic findings. Radiographics. 1997;17(6):1345-57. PMid:9397450.

8. Noguchi M, Morikawa A, Kawasaki M, Matsuno Y, Yamada T, Hirohashi S, et al. Small adenocarcinoma of the lung. Histologic characteristics and prognosis. Cancer. 1995;75(12):2844-52. http://dx.doi.org/10.1002/1097-0142(19950615)75:12<2844::AID-CNCR2820751209>3.0.CO;2-#

9. Hasegawa M, Sone S, Takashima S, Li F, Yang ZG, Maruyama Y, et al. Growth rate of small lung cancers detected on mass CT screening. Br J Radiol. 2000;73(876):1252-9. PMid:11205667.

10. Liebow AA. Bronchiolo-alveolar carcinoma. Adv Intern Med. 1960;10:329-58. PMid:13762021.

11. Travis WD, Brambilla E, Noguchi M, Nicholson AG, Geisinger KR, Yatabe Y, et al. International association for the study of lung cancer/american thoracic society/european respiratory society international multidisciplinary classification of lung adenocarcinoma. J Thorac Oncol. 2011;6(2):244-85. PMid:21252716. http://dx.doi.org/10.1097/JTO.0b013e318206a221

12. Moreira LB, Marchiori E, Melo AS, Magnago M, Muniz MA, Irion K. Carcinoma bronquíolo-alveolar: aspectos na tomografia computadorizada de alta resolução. Radiol Bras. 2002;35(1):7-14. http://dx.doi.org/10.1590/S0100-39842002000100004

13. Silva CI, Marchiori E, Souza Júnior AS, Müller NL; Comissão de Imagem da Sociedade Brasileira de Pneumologia e Tisiologia. Illustrated Brazilian consensus of terms and fundamental patterns in chest CT scans. J Bras Pneumol. 2010;36(1):99-123. PMid:20209314. http://dx.doi.org/10.1590/S1806-37132010000100016

14. Oda S, Awai K, Liu D, Nakaura T, Yanaga Y, Nomori H, et al. Ground-glass opacities on thin-section helical CT: differentiation between bronchioloalveolar carcinoma and atypical adenomatous hyperplasia. AJR Am J Roentgenol. 2008;190(5):1363-8. PMid:18430856. http://dx.doi.org/10.2214/AJR.07.3101

15. Nakata M, Saeki H, Takata I, Segawa Y, Mogami H, Mandai K, et al. Focal ground-glass opacity detected by low-dose helical CT. Chest. 2002;121(5):1464-7. PMid:12006429. http://dx.doi.org/10.1378/chest.121.5.1464

16. Li F, Sone S, Abe H, Macmahon H, Doi K. Malignant versus benign nodules at CT screening for lung cancer: comparison of thin-section CT findings. Radiology. 2004;233(3):793-8. PMid:15498895. http://dx.doi.org/10.1148/radiol.2333031018

17. Martins Rde C, Almeida SA, Siciliano AA, Landesmann MC, Silva FB, Franco CA, et al. Value of [18F]-FDG-PET/CT as a predictor of cancer in solitary pulmonary nodule. J Bras Pneumol. 2008;34(7):473-80. PMid:18695792.

18. Jung JI, Kim H, Park SH, Kim HH, Ahn MI, Kim HS, et al. CT differentiation of pneumonic-type bronchioloalveolar cell carcinoma and infectious pneumonia. Br J Radiol. 2001;74(882):490-4. PMid:11459727.

19. Maldonado RL. The CT angiogram sign. Radiology. 1999;210(2):323-4. PMid:10207409.

20. Akira M, Atagi S, Kawahara M, Iuchi K, Johkoh T. High-resolution CT findings of diffuse bronchioloalveolar carcinoma in 38 patients. AJR Am J Roentgenol. 1999;173(6):1623-9. PMid:10584811.


* Trabalho realizado em Multimagem Diagnósticos, Goiânia (GO), em Fleury Medicina e Saúde, São Paulo (SP) e no Hospital do Coração, São Paulo (SP) Brasil.
Endereço para correspondência: Pedro Paulo Teixeira e Silva Torres. Rua S-4, 452, apto. 102, Bela Vista, CEP 74823-450, Goiânia, GO, Brasil.
Tel. 55 62 3212-1015. E-mail: pedroptstorres@yahoo.com.br
Apoio financeiro: Nenhum.
Recebido para publicação em 20/7/2011. Aprovado, após revisão, em 26/12/2011.



Sobre os autores

Pedro Paulo Teixeira e Silva Torres
Professor Substituto. Universidade Federal de Goiás, Goiânia (GO) Brasil.

Julia Capobianco
Médica Radiologista. Hospital do Coração e Instituto do Câncer do Estado de São Paulo, São Paulo (SP) Brasil.

Marcelo Eustáquio Montandon Júnior
Médico Radiologista. Multimagem Diagnósticos e Hospital e Maternidade
Jardim América, Goiânia (GO) Brasil.

Gustavo Souza Portes Meirelles
Médico Radiologista. Fleury Medicina e Saúde, São Paulo (SP) Brasil.

Indexes

Development by:

© All rights reserved 2025 - Jornal Brasileiro de Pneumologia