Continuous and bimonthly publication
ISSN (on-line): 1806-3756

Licença Creative Commons
1204
Views
Back to summary
Open Access Peer-Reviewed
Images in Pulmonary Medicine

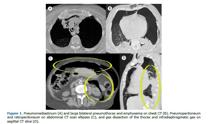
Gas dissection from the thorax to the abdomen

Marina Manica Tamiozzo1, Letícia Dalmolin1, Mariana Manica Tamiozzo2

An 80-year-old woman with systemic arterial hypertension was admitted to the emergency department after a transient loss of consciousness. On arrival, she presented with hypoxemia and decreased sensorium, requiring orotracheal intubation. Chest computed tomography (CT) revealed a large bilateral pneumothorax, pneumoperitoneum, and retroperitoneal air (Figure 1). A chest tube was placed. An initial suspicion of hollow viscus perforation was ruled out after exploratory laparotomy showed no visceral injury. The combination of imaging findings and clinical context strongly suggested barotrauma secondary to excessive positive-pressure ventilation. This likely resulted in alveolar rupture due to elevated intrathoracic pressure, with air dissecting along bronchovascular sheaths—a phenomenon known as the Macklin effect. From the lungs, air extended into the mediastinum and, in rare cases, progressed as gas dissection through mediastinal vessels into the retroperitoneal space and peritoneal cavity, leading to pneumoperitoneum without visceral perforation. The patient subsequently developed an ischemic stroke and died following clinical deterioration.
 
Pulmonary barotrauma is uncommon but potentially life-threatening, resulting from sudden increases in intrathoracic pressure. Common complications, such as hypoxemia and subcutaneous emphysema, are typically managed conservatively. However, gas dissection into the retroperitoneum and peritoneum, though rare, represents a serious and diagnostically challenging condition. Early recognition through CT is essential for timely and appropriate management.(1–2)

 

 
AUTHOR CONTRIBUTIONS
 
Mariana Manica Tamiozzo contributed directly to the reporting of the computed tomography findings presented in this article. Mariana Manica Tamiozzo, Letícia Dalmolin, and Marina Manica Tamiozzo were equally involved in the conceptualization, writing, reviewing, drafting, editing, and supervision of the manuscript. Written consent for publication was obtained from the patient.

 
REFERENCES
 
1.           Po TL, Bai HF, Lin CH, Lin CC. Pneumomediastinum and tension pneumoperitoneum following bronchioloalveolar lavage in a mechanically ventilated patient. Respir Med Case Rep. 2021;32:101341. https://doi.org/10.1016/j.rmcr.2021.101341.
2.           Pavrey R, Makwana N, Das N. A rare co-occurrence of spontaneous pneu-momediastinum, pneumothorax, and pneumoperitoneum: Macklin effect. World J Emerg Med. 2024;15(3):246–248. https://doi.org/10.5847/wjem.j.1920-8642.2024.044.

Indexes

Development by:

© All rights reserved 2025 - Jornal Brasileiro de Pneumologia