ABSTRACT
Paracoccidioidomycosis is a systemic mycosis caused by the dimorphic fungus Paracoccidioides brasiliensis. The disease is restricted to Latin America. It is the principal systemic mycosis in Brazil, with higher incidences in the southern, southeastern and central regions. The disease is acquired by inhaling fungal propagules. In endemic areas, the primary infection occurs during childhood and involves the immune system. The most common chronic form of paracoccidioidomycosis in adults is the multifocal form, in which there is dissemination to the lungs, lymph nodes, skin and mucosae. This form of the disease has a chronic progression, and the diagnosis is typically delayed. Cough, dyspnea and weight loss due to cutaneous and mucosal lesions are evident and are the principal complaints reported by paracoccidioidomycosis patients. Chest X-rays reveal diffuse reticulonodular infiltrates, which are more evident in the upper lobes. The etiologic diagnosis is based on the identification of P. brasiliensis in clinical specimens, such as lymph node aspirates or BAL fluid, by direct microscopy and culture. Histopathological testing of tissue samples reveals the thick birefringent cell wall of the fungus and the typical pattern of multiple budding around the mother cell. Double agar gel immunodiffusion is useful for the diagnosis when the fungus cannot be detected through mycological tests. Although paracoccidioidomycosis is most often treated with the sulfamethoxazole-trimethoprim combination, itraconazole is preferable. Amphotericin B is used in severe cases.
Keywords:
Paracoccidioidomycosis; Mycosis; Lung diseases, fungal.
RESUMO
A paracoccidioidomicose é uma micose sistêmica causada pelo fungo dimórfico Paracoccidioides brasiliensis. A doença é restrita à América Latina. É a principal micose sistêmica no Brasil, com maior frequência nas regiões sul, sudeste e centro-oeste. A doença é adquirida através da inalação de propágulos do fungo. Nas áreas endêmicas, a infecção primária ocorre durante a infância e envolve o sistema imunológico. A forma crônica do adulto mais frequente é de disseminação multifocal, com envolvimento dos pulmões, linfonodos, pele e mucosas. Essa forma tem evolução crônica com diagnóstico tardio. Tosse, dispneia e perda de peso associada a lesões cutâneas e das mucosas são evidentes e constituem as queixas principais da doença. A radiografia simples de tórax apresenta infiltrado reticulonodular difuso mais evidente nos lobos superiores. O diagnóstico etiológico se baseia na achado de P. brasiliensis no exame microscópico direto de espécimes clínicos, tais como aspirado de gânglios ou material de LBA, complementado pelo crescimento do fungo em cultura. O exame histopatológico de amostra de tecidos evidencia a parede espessa e birrefringente do fungo, assim como o aspecto típico de multibrotamento na célula-mãe. A imunodifusão em duplo gel de ágar é muito útil no diagnóstico quando o fungo não é encontrado nos exames micológicos. O tratamento de escolha é realizado com sulfametoxazol e trimetoprima, mas o itraconazol é a melhor droga. A anfotericina B é usada nos casos graves da doença.
Palavras-chave:
Paracoccidioidomicose; Micoses; Pneumopatias fúngicas.
IntroduçãoA paracoccidioidomicose é uma micose sistêmica originalmente descrita por Adolfo Lutz em 1908, autóctone da América Latina, sendo a maior incidência registrada em países da América do Sul (Brasil, Argentina, Colômbia e Venezuela). No Brasil, a maioria dos casos tem sido relatada nas regiões sul, sudeste e centro-oeste. A paracoccidioidomicose tem caráter endêmico entre as populações da zona rural, acometendo os indivíduos do sexo masculino, na faixa etária produtiva da vida (30-60 anos) e está relacionada às atividades agrícolas. O agente etiológico é um fungo termodimórfico (Paracoccidioides brasiliensis).(1,2)
A paracoccidioidomicose representa um importante problema de saúde pública devido ao seu alto potencial incapacitante, além de provocar mortes prematuras.
EpidemiologiaA paracoccidioidomicose é uma doença sem notificação compulsória e sem dados precisos sobre sua incidência no Brasil.
Acredita-se que a incidência anual em zonas rurais endêmicas varie de 3-4 novos casos/1.000.000 de habitantes até 1-3 novos casos/100.000 habitantes. É considerada a terceira causa de morte por doença infecciosa crônica, resultando em uma taxa de mortalidade de 1,65 casos/1.000.000 de habitantes.(3)
A incidência da paracoccidioidomicose é maior entre os homens (1:10-15 homens) na faixa etária de 30-50 anos. É infrequente abaixo dos 14 anos de idade, faixa na qual não existe predomínio de sexo.(4)
Fisiopatologia (história natural
da paracoccidioidomicose)A porta de entrada do fungo é a via inalatória e, na maioria dos casos, em indivíduos jovens. Propágulos infectantes (microconídios) chegam à via aérea inferior, onde há formação de um complexo primário, com possível disseminação do fungo por via linfática e hematogênica para outros órgãos, na dependência da quantidade de inóculos, da patogenicidade e da virulência do fungo, assim como da integridade do sistema de defesa e de possíveis fatores genéticos. Em indivíduos com resposta imunológica satisfatória, o desenvolvimento da infecção é contido, havendo resolução do processo. O fungo permanece nesses locais, em meio a lesões fibróticas, em estado latente, porém viável. Após um período prolongado de tempo, a infecção pode progredir e dar origem as formas crônicas do adulto (reativação endógena). Menos frequentemente, a doença pode progredir do foco primário ou mesmo devido a reexposições a inóculos em zonas endêmicas, originando a forma agudo-subaguda da infância e adolescência.(1-3,5)
ClassificaçãoSegundo o Colóquio Internacional em Paracoccidioidomicose (1986), citado pelo Consenso Brasileiro em Paracoccidioidomicose, a classificação relaciona-se com os dados clínicos e a história natural da doença(3):
1) paracoccidioidomicose infecção
2) paracoccidioidomicose doença
3) forma aguda/subaguda infantil/da adolescência
4) forma crônica do adulto: unifocal e multifocal
5) forma residual
Formas clínicasAguda/subaguda (juvenil/adolescência)É a forma clínica da paracoccidioidomicose da infância, do adolescente e do adulto até 30-35 anos de idade. Representa 3-5% dos casos de paracoccidioidomicose. Linfonodomegalias superficiais e profundas, com supuração de massa ganglionar, hepatoesplenomegalia e diversos sintomas (digestivos, cutâneos e osteoarticulares) são as principais manifestações da doença, além de anemia, febre e emagrecimento, com rápida deterioração do estado geral da criança. É raro o comprometimento pulmonar.(3)
Forma crônica unifocal/multifocal do adultoÉ a forma mais frequente (90% dos casos), com predomínio no sexo masculino. Caracteriza-se por evolução crônica, predominando sintomas de fraqueza, emagrecimento, febre, tosse, dispneia, infiltrado reticulonodular (geralmente nos dois terços superiores dos pulmões) e hipertransparência distal bibasal: essa é a forma unifocal.
Quando a doença compromete outros sítios extrapulmonares, tais como a pele, a mucosa oral (estomatite moriforme), mucosas da faringe e/ou da laringe e o ápice dos dentes, é considerada como forma multifocal, gerando sintomas de dor durante a mastigação, sialorreia e odinofagia. O indivíduo demora muito a procurar assistência médica, muitas vezes instalando-se um quadro de caquexia. A radiografia de tórax revela as mesmas lesões da forma unifocal.
Outros locais envolvidos pela paracoccidioidomicose são as suprarrenais, o sistema nervoso central, os linfonodos cervicais e submandibulares, os intestinos, o sistema osteoarticular, o epidídimo, o fígado e o baço.(3,5)
Diagnóstico diferencialO principal diagnóstico diferencial é com tuberculose pulmonar, muito semelhante à paracoccidioidomicose em relação às alterações radiográficas e às manifestações clínicas (Quadro 1). O que define o diagnóstico é a presença, nos espécimes analisados, do fungo (paracoccidioidomicose) ou do bacilo de Koch (tuberculose). Tuberculose e paracoccidioidomicose podem comprometer um mesmo indivíduo, e essa associação ocorre em 5,5-19% dos casos, tornando mais difícil o diagnóstico de ambas as doenças.(4,6)
Investigação inicialNa investigação inicial, devem ser realizados(3):
anamnese dirigida para as formas clínicas do adulto e da criança
radiografia de tórax
hemograma completo
VHS
provas de função hepática
ureia, creatinina, sódio e potássio
Investigação específica
O diagnóstico definitivo (padrão ouro) é o achado do fungo em espécimes clínicos ou de biópsia tecidual.
O exame a fresco com KOH a 10% em esfregaço de lâmina sob lamínula para pesquisa direta do fungo é altamente eficaz e de baixo custo, podendo ser utilizado em vários espécimes, como escarro, raspados de lesões cutâneas e de mucosas, aspirado ganglionar e material obtido por fibrobroncoscopia. A coloração pelas técnicas de prata de Gomori/Grocott e de ácido periódico de Shiff é imperiosa nos fragmentos de biópsia tecidual para a visualização do fungo. A cultura em ágar Sabouraud deve ser sempre solicitada, pois será mais uma ferramenta diagnóstica, apesar de tardia.(1-3,5)
As provas sorológicas têm importância no auxílio diagnóstico, como também avaliam a resposta ao tratamento e as recaídas da doença.
Nesses casos, a elevação dos títulos de anticorpos costuma preceder a recaída clínica. A imunodifusão (ID) em duplo gel de ágar é o exame mais disponível na prática clínica, com sensibilidade e especificidade superiores a 80% e 90%, respectivamente. É sempre desejável que a ID seja titulada para uma melhor interpretação da resposta terapêutica.(7)
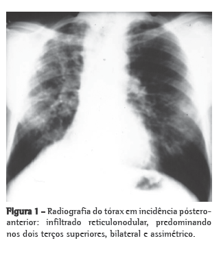
Aspectos radiográficosNa radiografia simples de tórax (Figura 1), pode ser visualizado infiltrado reticulonodular, predominante nos dois terços superiores de ambos os pulmões, assimétrico, com hipertransparência junto às bases pulmonares.(1,2,4)

Na TCAR (Figura 2), podem ser visualizados nódulos, opacidades em vidro fosco, aspecto em árvore em brotamento, lesões acinares, bandas parenquimatosas, espessamento do interstício peribroncovascular, cavidades, reticulosidades, sinal do "halo invertido", enfisema paracicatricial e bronquiectasias de tração.(8,9)
Tratamento
Considerações geraisOs seguintes pontos devem ser observados:
a) Devem-se adotar medidas de suporte perante complicações clínicas.
b) O itraconazol é a melhor opção nas formas leves/moderadas.
c) A associação sulfametoxazol e trimetoprima é a alternativa mais utilizada no tratamento ambulatorial da paracoccidioidomicose.
d) Deve-se restringir fumo e álcool.
e) Deve-se realizar tratamento das parasitoses intestinais, muito frequentes nesses doentes, notadamente a estrongiloidíase.
f) O tratamento é de longa duração.
g) Os pacientes devem ser acompanhados até atingir os critérios de cura.
Doença grave
Nos casos graves, podem ocorrer(1):
a) perda de mais de 10% do IMC
b) dificuldade de deglutição
c) insuficiência respiratória: PaO2/FiO2 < 250
d) manifestações neurológicas e comprometimento do SNC
e) comprometimento das suprarrenais
Esquema de tratamento: formas leves/moderadas
Os seguintes esquemas têm sido utilizados(1,2,10):
1) sulfametoxazol/trimetoprima, comprimidos de 80/400 mg e de 160/800 mg
dose inicial: 3 comprimidos (80/400 mg) a cada 12 h por 21 dias
2 comprimidos a cada 12 h por 21 dias
1 comprimidos a cada 12 h por 2 anos
Crianças: 8-10 mg/kg/dia de trimetoprima ou 40-50 mg/kg/dia de sulfametoxazol a cada 12 h
> 80% de cura
2) Cetoconazol, cápsulas de 200 mg
dose: 400 mg/dia por 3 meses, seguido de 200 mg/dia por 9 meses
usar com uma grande refeição
efeitos colaterais: ginecomastia, diminuição da libido, hepatopatia, teratogênico
3) Itraconazol, cápsulas de 100 mg
dose: 200 mg/dia nas grandes refeições por 6-9 meses
efeitos colaterais: distúrbios digestivos, teratogênico
crianças < 30 kg de peso ou > 5 anos: 5-10 mg/kg/dia
4) Fluconazol, cápsulas de 50 mg; 100 mg; 150 mg
dose: 400 mg/dia, por 3-6 meses
manutenção: 100 a 200 mg/dia por 6-12 meses
crianças: 3-6 mg/kg/dia
5) Voriconazol(10)
dose: 200 mg a cada 12 h
efeitos colaterais: diminuição da acuidade visual e visão turva
6) Anfotericina B, 50 mg/frasco
indicação: formas graves; alergia, resistência e intolerância a sulfas
dose: 1 mg/kg/dia; total de 25-35 mg/kg (até 1-2 g)
manutenção com sulfa por 1-3 anos
efeitos colaterais: retenção azotada, ↑↓ potássio, anemia, febre, calafrios e flebite
outras apresentações farmacológicas:
anfotericina de dispersão coloidal: 1 mg/kg/dia
anfotericina lipossomal: 3-5 mg/kg/dia
anfotericina complexo lipídico: 5 mg/kg/dia
7) Rifampicina (formas graves, disseminadas, associada à anfotericina B)
dose: 600 mg/dia + anfotericina B, 25 mg/kg/dia, 3 × por semana.
Interação medicamentosa
com azóis e sulfasEsse tipo de interação causa aumento da concentração dos seguintes fármacos: aminofilina, bloqueadores de canal de cálcio, cumarínicos, hipoglicemiantes e inibidores de proteases.(3,10)
Nota: O voriconazol não pode ser associado à rifampicina ou à rifabutina.
A sulfa diminui o efeito dos contraceptivos e aumenta a supressão da medula óssea ao metotrexato.(3,10)
Sequelas da paracoccidioidomicoseAs principais sequelas causadas pela paracoccidioidomicose são(10):
piora da DPOC
disfunção da suprarrenal (15-50% dos casos)
disfonia e/ou obstrução da laringe
redução da rima bucal
epilepsia e/ou hidrocefalia (6-25% dos casos)
Critérios de cura(10)Os critérios de cura são os seguintes(10):
melhora clínica, radiológica e micológica
estabilização da ID em 1:2 ou negativação em duas amostras com intervalo de 6 meses após o tratamento
eletroforese de proteínas, VHS, mucoproteínas com resultados normais, por 3 meses consecutivos, como alternativa na falta da ID.
Referências 1. Tarantino AB, Gonçalves AJR, Capone D, Aide MA, Lazera MS, Wanke B. Micoses Pulmonares. In: Tarantino AB, editor. Doenças Pulmonares. Rio de Janeiro: Guanabara Koogan; 2002. p. 416-50.
2. Wanke B, Lazer MS, Capone D. Paracoccidioidomicose. In: Sociedade de Pneumologia e Tisiologia do Estado do Rio de Janeiro, Aidé MA, editors. Pneumologia aspectos práticos e atuais. Rio de Janeiro: Revinter; 2001. p. 147-52.
3. Shikanai-Yasuda MA, Telles Filho FQ, Mendes RP, Colombo AR, Moretti MA. Consenso de paracoccidioidomicose. Rev Soc Bras Med Trop. 2006;39:297-310.
4. Paniago AM, Aguiar JI, Aguiar ES, Cunha RV, Pereira GR, Londero AT, et al. Paracoccidioidomicose: estudo clínico e epidemiológico de 422 casos observados no Estado do Mato Grosso do Sul. Rev Soc Bras Med Trop. 2003;36(4):455-459.
5. Londero AT. Paracoccidioidomicose: patogenia, formas clínicas, manifestações pulmonares e diagnóstico. J Pneumol. 1986;(12):41-60.
6. Quagliato Júnior R, Grangeia Tde A, Massucio RA, De Capitani EM, Rezende Sde M, Balthazar AB. Association between paracoccidioidomycosis and tuberculosis: reality and misdiagnosis. J Bras Pneumol. 2007;33(3):295-300.
7. Valle AC, Costa RL, Monteiro PC. Interpretation and clinical correction of serological test in paracoccidioidomycosis. Medical Mycology. 2001;39:373-7.
8. Muniz MAS, Machiori E, Magnago M, Moreira LB, Almeida Jr JG. Paracoccidioidomicose pulmonar: aspectos na tomografia computadorizada de alta resolução. Radiol Bras. 2002;35:147-54.
9. Souza AS Jr, Gasparetto EL, Davaus T, Escuissato DL, Marchiori E. High-resolution CT findings of 77 patients with untreated pulmonary paracoccidioidomycosis. AJR Am J Roentgenol. 2006;187(5):1248-52.
10. Yasuda MA. Pharmacological management of paracoccidioidomycosis. Expert Opin Pharmacother. 2005;6(3):385-97.
Trabalho realizado na Universidade Federal Fluminense - UFF - Niterói (RJ) Brasil.
Endereço para correspondência: Miguel Abidon Aidê. Rua Uirapuru, 118, Itaipu, CEP 24355-100, Niterói, RJ, Brasil.
Tel 55 21 2710-8740. E-mail: miguelaide@uol.com.br
Apoio financeiro: Nenhum.
Recebido para publicação em 5/8/2009. Aprovado, após revisão, em 5/8/2009.
Sobre os autoresBodo Wanke
Médico Pesquisador do Serviço de Micologia. Centro de Pesquisa do Hospital Evandro Chagas, Fundação Oswaldo Cruz - Fiocruz - Rio de Janeiro (RJ) Brasil.
Miguel Abidon Aidê
Coordenador do Curso de Especialização em Pneumologia. Universidade Federal Fluminense - UFF - Niterói (RJ) Brasil.