ABSTRACT
Objective: To present an alternative method of detecting micrometastases in lymph nodes previously testing negative for non-small cell lung cancer (NSCLC) by routine hematoxylin-eosin staining. Methods: A total of 77 hilar and mediastinal lymph nodes resected from 18 patients with NSCLC were investigated for the presence of micrometastases using a combination of microarray analysis and immunohistochemistry. Results: Micrometastases were detected by identifying cytokeratin- and chromogranin-positive cells in lymph node microarrays. Of the 18 patients initially staged as pN0 through routine hematoxylin-eosin staining, 9 (50%) were restaged as N1, and the prognoses were re-evaluated in terms of histological and clinical parameters. The comparison of the survival curves revealed that survival was higher in the patients without micrometastases than in those with micrometastases. In addition, in the multivariate analysis adjusted for age, gender, histological type, and restaging, the presence of micrometastases proved to be an independent predictor of survival. Among patients who had been previously staged as pN0, the risk of death was found to be 7-times greater for those later diagnosed with micrometastases than for those in whom no micrometastases were identified. Conclusion: The combination of microarray analysis and immunohistochemistry might represent a low-cost and less time-consuming alternative for identifying occult micrometastases and predicting prognoses in surgically resected patients with pN0 NSCLC. Larger randomized, prospective studies are needed in order to determine the accuracy of this method.
Keywords:
Lung neoplasms; Microarray analysis; Chromogranin A; Survival analysis.
RESUMO
Objetivo: Apresentar um método alternativo para detectar micrometástases em linfonodos previamente negativos para câncer de pulmão
não-pequenas células (CPNPC) pela coloração de rotina com hematoxilina-eosina. Métodos: Setenta e sete linfonodos hilares e mediastinais
ressecados de 18 pacientes portadores de CPNPC foram investigados para a presença de micrometástases associando-se análise em microsséries
e imunoistoquímica. Resultados: Micrometástases foram detectadas após a identificação de células neoplásicas citoqueratina e cromogranina
positivas em microsséries de linfonodos. Dos 18 pacientes inicialmente estadiados como pN0 pela coloração de rotina com hematoxilina-eosina,
9 (50%) foram reestadiados como N1, e o prognóstico foi reavaliado em função de parâmetros histológicos e clínicos. A comparação das curvas
de sobrevida mostrou que os pacientes sem micrometástases tiveram maior sobrevida do que os portadores de micrometástases. Além disso, após
a análise multivariada controlada para idade, sexo, tipo histológico e reestadiamento, a presença de micrometástases mostrou-se como um fator
independente na sobrevida. Entre os pacientes que haviam sido previamente estadiados como pN0, o risco de morte mostrou-se 7 vezes maior
para os que foram posteriormente diagnosticados com micrometástases do que para aqueles nos quais não foram identificadas micrometástases.
Conclusão: A combinação da análise em microsséries com a imunoistoquímica pode representar um método alternativo de baixo custo e menos
demorado para identificar metástases ocultas e prever o prognóstico em pacientes portadores de CPNPC pN0 cujos tumores foram cirurgicamente
ressecados. São necessários estudos prospectivos randomizados com casuísticas maiores para determinar a acurácia desse método alternativo.
Palavras-chave:
Neoplasias pulmonares; Análise em microsséries; Cromogranina A; Análise da sobrevida.
IntroduçãoNo Brasil, o câncer de pulmão é a principal causa de morte por câncer entre os homens e a segunda causa entre as mulheres desde 2006.(1) Também foi descrito como a principal causa de morte por câncer na Europa e nos Estados Unidos.(2,3)
O sistema tumor-nódulo-metástase (TNM) para estadiamento do câncer de pulmão é amplamente utilizado como guia para predizer o prognóstico. A identificação das metástases linfonodais, a determinação do grau do tumor e a qualificação do quadro metastático constituem o sistema mais acurado atualmente disponível para predizer o prognóstico em pacientes submetidos à ressecção cirúrgica completa do tumor. Contudo, aproximadamente 30% dos pacientes com câncer de pulmão não-pequenas células (CPNPC) estádio patológico I apresentam recidiva tumoral e morrem, apesar da ressecção cirúrgica completa do tumor.(4,5) Isso sugere que células tumorais micrometastáticas ocultas, as quais não são detectadas pelos métodos atualmente disponíveis (estadiamento clínico e técnicas histopatológicas convencionasis, como a coloração pela hematoxilina-eosina), se espalharam para os linfonodos regionais e para os órgãos à distância antes do momento da cirurgia. Para uma predição acurada do prognóstico, deve-se avaliar o estado do linfonodo, e devem-se levar as metástases em consideração.
O recente desenvolvimento da tecnologia de microsséries de tecido tem possibilitado aos pesquisadores realizar estudos retrospectivos usando tecidos de arquivo fixados em formalina e incluídos em parafina. Essa tecnologia, a qual foi desenvolvida por Kononen et al.,(6) permite o exame simultâneo de centenas de amostras em uma única lâmina de microscopia e tem sido usada não só para detectar proteínas em células tumorais, mas também para quantificar a expressão gênica.(7-10) O método permite que minúsculos cilindros de tecido sejam removidos de áreas selecionadas nos blocos de tecido e posteriormente incluídos em blocos de parafina 'receptores'.(11)
Essa tecnologia inclui as microsséries multitumor (amostras de múltiplos tipos de tumores histológicos), as microsséries progressivas (amostras de estádios diferentes da progressão tumoral dentro de um dado órgão), as microsséries prognósticas (amostras para as quais os dados do seguimento clínico estão disponíveis) e as criomicrosséries (amostras congeladas que podem ser mais adequadas para a detecção do RNA do que os tecidos fixados em formalina).(12,13) As vantagens desse método são as seguintes: o custo dos reagentes, o tempo técnico e a variabilidade dos resultados são reduzidos; as imagens da imunocoloração podem ser armazenadas digitalmente; e a análise hierárquica de agrupamento pode ser usada na interpretação dos resultados.(9,14)
Nos últimos anos, vários autores empregaram, com sucesso, o método de coloração imunohistoquímica para detectar células tumorais micrometastáticas nos linfonodos,(15-17) na medula óssea e no sangue periférico.(18,19) Contudo, o custo de se analisar todos os linfonodos por esse método é bem alto, uma vez que a detecção de micrometástases, especialmente em pacientes com tumores estádio I, requer a avaliação de múltiplos cortes, o que envolve a utilização de coloração imunohistoquímica em larga escala.
Postulamos que um método alternativo, combinando a análise de microsséries de tecido e a imunoistoquímica, pode reduzir custos e ser eficiente na detecção de micrometástases em linfonodos que foram previamente negativos para CPNPC pela coloração de rotina com hematoxilina-eosina. Portanto, o objetivo deste estudo foi apresentar esse método alternativo e também estabelecer a relação entre a mudança de estádio e o prognóstico em pacientes com tumores completamente ressecados.
MétodosEste estudo foi aprovado pelo Comitê de Ética da Universidade de São Paulo.
A população do estudo foi constituída por 18 pacientes (12 homens e 6 mulheres) sob tratamento no Departamento de Patologia do Hospital das Clínicas da Faculdade de Medicina da Universidade de São Paulo (9 pacientes tinham carcinoma de células escamosas, 8 tinham adenocarcinoma e 1 tinha carcinoma de grandes células). Cada um desses 18 pacientes submeteu-se à ressecção completa do tumor entre 1992 e 2005. A média de idade foi de 57 anos (intervalo de 37 a 83 anos). Todos os pacientes foram estadiados clinicamente como T1-3N0M0, e todos os casos foram considerados potencialmente curáveis mediante a ressecção cirúrgica do tumor primário e a dissecção dos linfonodos hilares e mediastinais (dissecção nodal sistemática). O estadiamento clínico incluiu radiografia de tórax de rotina, broncoscopia, tomografia computadorizada de tórax/abdome superior, ultrasonografia abdominal, varredura óssea e tomografia por emissão de pósitrons (esta usada somente em pacientes tratados a partir de 2004, quando esse exame foi disponibilizado pela primeira vez em nosso serviço). Realizaram-se mediastinoscopia e biópsia de linfonodo em pacientes com linfonodos cujo diâmetro no eixo menor era de menos de 1 cm. O tempo de seguimento variou de 10 a 131 meses. O acompanhamento cuidadoso foi documentado requerendo-se que cada médico de família preenchesse um formulário sobre recidiva local, metástases à distância e desfechos. Após a avaliação diagnóstica inicial, 6 dos 18 pacientes com CPNPC morreram devido à recidiva local. Maiores detalhes sobre esses pacientes encontram-se resumidos na Tabela 1.

O tecido tumoral usado no presente estudo foi derivado de amostras patológicas fixadas em formalina retiradas de espécimes pulmonares ressecados após o término dos estudos patológicos de rotina. O diagnóstico histológico e a classificação do tumor foram revisados e verificados por dois patologistas de acordo com as diretrizes estabelecidas pela Organização Mundial de Saúde em 2004.(20) Em média, havia 4 linfonodos disponíveis de cada paciente, e todos foram examinados para confirmar a ausência de metástases. O estadiamento patológico final do tumor identificou 8 pacientes com estádio IA (T1N0M0), 4 pacientes com estádio IB (T2N0M0) e 5 pacientes com estádio IIB (T3N0M0).
Dos 18 pacientes avaliados, havia-se removido cirurgicamente um total de 77 linfonodos hilares e mediastinais. Esses 77 linfonodos foram analisados quanto à presença de micrometástases usando-se uma combinação de tecnologia de microsséries de tecido com coloração imunohistoquímica.
Uma média de 7 cilindros de tecido (cada um com 1 mm de diâmetro) por linfonodo foi removida do seio subcapsular do linfonodo e posteriormente incluída em sulcos vazios nos blocos de parafina 'receptores'.(21) Dois blocos receptores foram criados para o estudo, vindo a conter, respectivamente 198 e 240 cilindros de tecido. Um total de 12 cortes incluídos em parafina foi submetido à imunocoloração.
As células tumorais micrometastáticas foram avaliadas utilizando-se a coloração imunohistoquímica pela técnica do complexo avidina-biotina-peroxidase. Os anticorpos utilizados foram a anticitoqueratina 7 (CK7, Clone OV-TL 12/30, diluição 1:100; Dako, Glostrup, Dinamarca) e a citoqueratina AE1/AE3 (Clone AE1 e AE3; Dako, Carpinteria, CA, EUA; diluição 1:320), as quais reconhecem a maioria das citoqueratinas, incluindo a tipo 1 (tipo ácido) e a tipo 2 (tipo básico). O anticorpo cromogranina A (Clone DAK-A3; Dako, Glostrup, Dinamarca; diluição 1:600), o qual reconhece células neuroendócrinas, também foi usado.
A presença de citoqueratinas ou de células positivas para cromogranina A nas cortes linfonodais, a qual foi determinada utilizando-se a tecnologia de microsséries de tecido, foi aceita como evidência da presença de células tumorais micrometastáticas, mesmo quando somente uma única citoqueratina ou uma única célula positiva para a proteína cromogranina A foi detectada. Os espécimes foram examinados e verificados por três patologistas que foram cegados quanto aos dados dos pacientes, incluindo os desfechos.
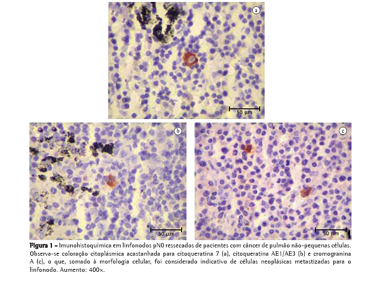
A coloração citoplásmica acastanhada era indicativa de positividade para CK7, AE1/AE3 e cromogranina A, o que, somado à morfologia celular positiva, foi visto como evidência da presença de células neoplásicas metastizadas para o linfonodo.
Os dados referentes aos pacientes foram obtidos mediante a revisão retrospectiva dos prontuários médicos. A associação entre os dados clínico-patológicos e o quadro micrometastático foi analisada por meio de uma tabela de contingência. A significância estatística foi avaliada pelo teste do qui-quadrado ou o teste exato de Fisher. As curvas de Kaplan-Meier foram geradas, e a análise multivariada final foi realizada utilizando-se o modelo de riscos proporcionais de Cox. Todos os procedimentos estatísticos foram realizados utilizando-se o programa Statistical Package for the Social Sciences, versão 10.0 (SPSS Inc., Chicago, IL, EUA). O nível de significância adotado foi de p < 0,05.(22)
ResultadosUtilizando-se a coloração imunohistoquímica com CK7, AE1/AE3 e proteína cromogranina A, células tumorais únicas e pequenos aglomerados de células tumorais foram vistos nos cilindros de tecido dos espécimes linfonodais (Figura 1).

Células coradas positivamente para CK7, AE1/AE3 ou cromogranina A foram encontradas em 12 (0,23%), 24 (0,46%) e 16 (0,30%) das amostras, respectivamente. Dos 77 linfonodos incluídos no estudo, 9 (12%) foram positivos para CK7, 14 (18%) foram positivos para AE1/AE3 e 10 (13%) foram positivos para cromogranina A. Quando a coloração imunohistoquímica com citoqueratina foi usada em conjunto com a com cromogranina A, encontraram-se micrometástases em 22 linfonodos de 9 (50%) dos 18 pacientes.
O reestadiamento do estado nodal foi realizado com base na combinação da coloração imunohistoquímica com citoqueratina e com cromogranina. Entre os pacientes estadiados como pN0 com base na coloração com hematoxilina-eosina, 9 (50%) foram reestadiados como N1. Os dados clínicos e morfológicos foram reavaliados quanto a associações e também quanto à recidiva e à sobrevida. A presença de células tumorais metastáticas positivas para CK7 nos linfonodos pN0 estava significativamente associada ao estádio patológico (p < 0,05), como pode ser visto na Tabela 1, a qual também mostra a distribuição das demais características clínicas dos pacientes. Não houve associações significativas para a imunocoloração com AE1/AE3 ou com cromogranina A nos linfonodos pN0.
As curvas de sobrevida de Kaplan-Meier apresentadas na Figura 2 mostram que a sobrevida foi mais baixa entre os pacientes com células tumorais micrometastáticas coradas para cromogranina A do que entre aqueles sem tais micrometástases, sendo essa diferença de significância limítrofe (p = 0,05). Considerando-se a sobrevida em uma análise multivariada ajustada para idade, sexo, tipo histológico e reestadiamento, a taxa de sobrevida foi 7 vezes maior na ausência de micrometástases para pacientes abaixo de 57 anos com adenocarcinoma. Os riscos relativos para esses preditores são mostrados na Tabela 2.


Os blocos de parafina contendo os cortes linfonodais foram submetidos a cortes seriados com o objetivo de aumentar a área dos cortes para o diagnóstico. Doze cortes com 3- a 4-µm de espessura foram obtidos dos dois blocos. Os novos cortes apresentaram áreas mais amplas para o exame, totalizando 142,2 mm2 por linfonodo. A Tabela 3 mostra a comparação entre a análise de microsséries de tecido e o método padrão para análise de linfonodos em termos das vantagens e do custo.
DiscussãoAtualmente acredita-se que o câncer de pulmão se origine do acúmulo de várias mudanças genéticas, tais como mutações e deleções. Avanços recentes da biologia molecular e da genética têm produzido novas possibilidades de diagnóstico e de tratamento para a oncologia clínica. A detecção de micrometástases tem implicações potencialmente significativas para o prognóstico, principalmente em pacientes com CPNPC.(23)
O estadiamento patológico do tumor representa o sistema mais acurado atualmente disponível para predizer o prognóstico em pacientes que foram submetidos à ressecção radical do tumor. Contudo, a taxa média de sobrevida em 5 anos para pacientes com CPNPC estádio I cujos tumores foram completamente ressecados gira em torno de apenas 70%,(4,5,23) e aproximadamente 30% desses pacientes apresentam recidiva. Esse achado sugere que há micrometástases ocultas antes do momento da cirurgia. A taxa dessa ocorrência é claramente subestimada pelo atual sistema de estadiamento clínico e pelos métodos histopatológicos convencionais.
Combinando a tecnologia de microsséries de tecido com a coloração imunohistoquímica, identificamos células tumorais micrometastáticas ocultas em linfonodos pN0 em 50% dos pacientes com tumores completamente ressecados. Além disso, nas análises univariada e multivariada, os pacientes com micrometástases linfonodais tiveram um prognóstico pior do que os pacientes sem essas micrometástases. O impacto prognóstico foi independente do sistema de estadiamento TNM.
Demonstramos que, em 50% dos pacientes com CPNPC avaliados no presente estudo, o uso combinado da tecnologia de microsséries de tecido e da coloração imunohistoquímica para detectar células tumorais ocultas nos linfonodos regionais mudou o estadiamento.
A tecnologia de microsséries de tecido tem aplicações potenciais na prática da histopatologia diagnóstica.(24) Agora, usando a combinação da análise de microsséries de tecido com a imunohistoquímica, os patologistas são capazes de realizar análises em grande escala sem precedentes. As vantagens desse uso combinado são significativas: um grande número de amostras, as quais são retiradas de uma quantidade limitada de tecidos de arquivo, pode ser acessado simultaneamente para inúmeros marcadores e processado sob condições idênticas; a concordância com os métodos convencionais é excelente; os custos são reduzidos; e o tempo gasto é menor.(25)
Usamos os anticorpos CK7 e citoqueratina AE1/AE3, assim como o anticorpo cromogranina A, como os principais marcadores de micrometástases em linfonodos. Usando CK7, detectamos micrometástases em 28% dos pacientes, contra 39% para AE1/AE3 e 33% para a cromogranina A. A eficiência do diagnóstico foi aumentada com o uso combinado da tecnologia de microsséries de tecido e da coloração imunohistoquímica. Além disso, a detecção de micrometástases utilizando-se a cromogranina A esteve significativamente associada à pior sobrevida, o que faz desse anticorpo um marcador potencialmente útil na prática clínica e patológica. Considerando-se a sobrevida em uma análise multivariada ajustada para idade, sexo, tipo histológico e reestadiamento, a probalidade de sobrevida foi 7 vezes maior na ausência de micrometástases em pacientes abaixo de 57 anos com adenocarcinoma, enfatizando a importância de se examinar todos os linfonodos ressecados de pacientes com câncer de pulmão em busca de micrometástases.
Nosso estudo mostrou o valor de se combinar a tecnologia de microsséries de tecido com a coloração imunohistoquímica para detectar células tumorais micrometastáticas ocultas em linfonodos. Contudo, embora essa combinação possa representar um método de baixo custo e menos demorado para predizer a recidiva e o prognóstico em pacientes com CPNPC estádio I cujos tumores foram completamente ressecados, nosso estudo tem limitações. Em primeiro lugar, a amostra de pacientes era pequena. Em segundo lugar, não existem estudos que comparem essa técnica com os métodos padrão-ouro tipicamente utilizados para detectar micrometástases e com os quais nossos achados possam ser comparados.
Em conclusão, são necessários estudos prospectivos randomizados com casuísticas maiores para determinar a acurácia e validar o uso combinado da tecnologia de microsséries de tecido e da coloração imunohistoquímica como um método alternativo para detectar células tumorais micrometastáticas ocultas em linfonodos CPNPC pN0.
AgradecimentosGostaríamos de expressar nossa gratidão a Carlos Ferreira Nascimento, Esmeralda Miristene Eher e Sandra de Morais Fernezlian pela habilidosa assistência técnica. O presente estudo recebeu apoio financeiro do Conselho Nacional de Desenvolvimento Científico e Tecnológico (CNPq), da Fundação de Amparo à Pesquisa do Estado de São Paulo (FAPESP; processo no. 2001/14566-9) e do Laboratório de Investigação Médica 05 (LIM 05) do Hospital das Clínicas da Faculdade de Medicina da Universidade de São Paulo.
Referências 1. Instituto Nacional do Câncer [Homepage on the Internet]. Brasilia: Ministério da Saúde. [cited 2007 Jul 20] Estimativa da Incidência e Mortalidade por Câncer no Brasil. Available from: www.inca.gov.br/estimativa/2008
2. Janssen-Heijnen ML, Gatta G, Forman D, Capocaccia R, Coebergh JW. Variation in survival of patients with lung cancer in Europe, 1985-1989. Eur J Cancer. 1998;34(14):2191-6.
3. Wingo PA, Ries LA, Rosenberg HM, Miller DS, Edwards BK. Cancer incidence and mortality, 1973-1995: a report card for the U.S. Cancer. 1998;82(6):1197-207.
4. Martini N, Bains MS, Burt ME, Zakowski MF, McCormack P, Rusch VW, et al. Incidence of local recurrence and second primary tumors in resected stage I lung cancer. J Thorac Cardiovasc Surg. 1995;109(1):120-9..
5. Strauss GM, Kwiatkowski DJ, Harpole DH, Lynch TJ, Skarin AT, Sugarbaker DJ. Molecular and pathologic markers in stage I non-small-cell carcinoma of the lung. J Clin Oncol. 1995;13(5):1265-79.
6. Kononen J, Bubendorf L, Kallioniemi A, Bärlund M, Schraml P, Leighton S, et al. Tissue microarrays for high-throughput molecular profiling of tumor specimens. Nat Med. 1998;4(7):844-7.
7. Henshall S. Tissue microarrays. J Mammary Gland Biol Neoplasia. 2003;8(3):347-58.
8. Simon R, Sauter G. Tissue microarrays for miniaturized high-throughput molecular profiling of tumors. Exp Hematol. 2002;30(12):1365-72.
9. Mobasheri A, Airley R, Foster CS, Schulze-Tanzil G, Shakibaei M. Post-genomic applications of tissue microarrays: basic research, prognostic oncology, clinical genomics and drug discovery. Histol Histopathol. 2004;19(1):325-35.
10. Packeisen J, Korsching E, Herbst H, Boecker W, Buerger H. Demystified... tissue microarray technology. Mol Pathol. 2003;56(4):198-204.
11. Tawfik El-Mansi M, Williams AR. Validation of tissue microarray technology using cervical adenocarcinoma and its precursors as a model system. Int J Gynecol Cancer. 2006;16(3):1225-33.
12. Russo G, Zegar C, Giordano A. Advantages and limitations of microarray technology in human cancer. Oncogene. 2003;22(42):6497-507.
13. Takahashi M, Yang XJ, Sugimura J, Backdahl J, Tretiakova M, Qian CN, et al. Molecular subclassification of kidney tumors and the discovery of new diagnostic markers. Oncogene. 2003;22(43):6810-8.
14. Simon R, Mirlacher M, Sauter G. Tissue microarrays in cancer diagnosis. Expert Rev Mol Diagn. 2003;3(4):421-30.
15. Chen ZL, Perez S, Holmes EC, Wang HJ, Coulson WF, Wen DR, et al. Frequency and distribution of occult micrometastases in lymph nodes of patients with non-small-cell lung carcinoma. J Natl Cancer Inst. 1993;85(6):493-8.
16. Passlick B, Izbicki JR, Kubuschok B, Thetter O, Pantel K. Detection of disseminated lung cancer cells in lymph nodes: impact on staging and prognosis. Ann Thorac Surg. 1996;61(1):177-82; discussion 183.
17. Izbicki JR, Passlick B, Hosch SB, Kubuschock B, Schneider C, Busch C, et al. Mode of spread in the early phase of lymphatic metastasis in non-small-cell lung cancer: significance of nodal micrometastasis. J Thorac Cardiovasc Surg. 1996;112(3):623-30.
18. Ohgami A, Mitsudomi T, Sugio K, Tsuda T, Oyama T, Nishida K, et al. Micrometastatic tumor cells in the bone marrow of patients with non-small cell lung cancer. Ann Thorac Surg. 1997;64(2):363-7.
19. Krüger W, Krzizanowski C, Holweg M, Stockschläder M, Kröger N, Jung R, et al. Reverse transcriptase/polymerase chain reaction detection of cytokeratin-19 mRNA in bone marrow and blood of breast cancer patients. J Cancer Res Clin Oncol. 1996;122(11):679-86.
20. Travis WD. Pathology and Genetics of Tumours of the Lung, Pleura, Thymus and Heart. World Health Organization Classification of tumours. Lyon: IARC Press; 2004.
21. Bubendorf L, Nocito A, Moch H, Sauter G. Tissue microarray (TMA) technology: miniaturized pathology archives for high-throughput in situ studies. J Pathol. 2001;195(1):72-9.
22. Statistical Package for the Social Sciences (SPSS). Version 10.0. [Computer program]. Chicago: SPSS Inc.; 2002.
23. Nesbitt JC, Putnam JB Jr, Walsh GL, Roth JA, Mountain CF. Survival in early-stage non-small cell lung cancer. Ann Thorac Surg. 1995;60(2):466-72.
24. van de Rijn M, Gilks CB. Applications of microarrays to histopathology. Histopathology. 2004;44(2):97-108.
25. Jacquemier J, Ginestier C, Charafe-Jauffret E, Bertucci F, Bege T, Geneix J, et al. [Small but high throughput: how "tissue-microarrays" became a favorite tool for pathologists and scientists] [Article in French] Ann Pathol. 2003;23(6):623-32.
___________________________________________________________________________________________________________________
Trabalho realizado nos Departamentos de Patologia e Cirurgia Torácica da Faculdade de Medicina da Universidade de São Paulo e no Departamento de Patologia do Hospital do Câncer A.C. Camargo, São Paulo (SP) Brasil.
1. Estudante de Medicina. Faculdade de Medicina da Universidade de São Paulo - FMUSP - São Paulo (SP) Brasil.
2. Doutor em Ciências. Faculdade de Medicina da Universidade de São Paulo - FMUSP - São Paulo (SP) Brasil.
3. Professora Assistente do Departamento de Cirurgia Torácica. Hospital das Clínicas da Faculdade de Medicina da Universidade de São Paulo - HC/FMUSP - São Paulo (SP) Brasil.
4. Chefe do Departamento de Anatomia Patológica. Hospital do Câncer A.C. Camargo, São Paulo (SP) Brasil.
5. Professora Associada do Departamento de Anatomia Patológica. Hospital das Clínicas da Faculdade de Medicina da Universidade de São Paulo - HC/FMUSP - São Paulo (SP) Brasil.
Endereço para correspondência: Vera Luiza Capelozzi ou Edwin Roger Parra. Departamento de Patologia, Faculdade de Medicina da Universidade de São Paulo, Av. Dr. Arnaldo, 455, CEP 01246-903, São Paulo, SP, Brasil.
Tel 55 11 3061-7427. E-mail: vcapelozzi@lim05.fm.usp.br / erparra20003@yahoo.com.br
Recebido para publicação em 27/4/2007. Aprovado, após revisão, em 6/7/2007.