Continuous and bimonthly publication
ISSN (on-line): 1806-3756

Licença Creative Commons
22420
Views
Back to summary
Open Access Peer-Reviewed
Case Report

Endometriose pleural: achados na ressonância magnética

Pleural endometriosis: findings on magnetic resonance imaging

Edson Marchiori, Gláucia Zanetti, Rosana Souza Rodrigues, Luciana Soares Souza, Arthur Soares Souza Jr, Flávia Angélica Ferreira Francisco, Bruno Hochhegger

ABSTRACT

Endometriosis is a benign gynecological disorder associated with pelvic pain and infertility, primarily affecting women of reproductive age. Thoracic endometriosis affects the pulmonary parenchyma or pleura. We report the cases of two patients with pleural endometriosis who presented with recurrent pneumothorax. In both cases, magnetic resonance imaging (MRI) of the chest showed right hydropneumothorax and well-defined, rounded nodules on the pleural surface in the right hemithorax. We conclude that MRI is a good option for the characterization of pleural endometriotic nodules and hemorrhagic pleural effusion.

Keywords: Endometriosis; Magnetic resonance imaging; Pneumothorax.

RESUMO

A endometriose é uma doença ginecológica benigna associada à dor pélvica e infertilidade que afeta principalmente mulheres em idade reprodutiva. A endometriose torácica afeta o parênquima pulmonar ou a pleura. Relatamos os casos de duas pacientes com endometriose pleural que apresentaram pneumotórax recorrente. Em ambos os casos, a ressonância magnética de tórax mostrou hidropneumotórax à direita e nódulos redondos, bem definidos, na superfície pleural à direita. A ressonância magnética é uma boa opção para a caracterização dos nódulos de endometriose pleural e de derrame pleural hemorrágico.

Palavras-chave: Endometriose; Imagem por ressonância magnética; Pneumotórax.

Introdução

A endometriose é uma doença ginecológica benigna associada à dor pélvica e infertilidade que afeta principalmente mulheres em idade reprodutiva. A doença é definida como a presença de estroma e glândulas endometriais funcionais fora da cavidade uterina.(1,2) Esses tecidos tipicamente crescem dentro da cavidade pélvica. Entretanto, na endometriose extrapélvica, eles crescem em outros locais, tais como no pericárdio, trato intestinal e até mesmo no cérebro. A endometriose torácica é uma forma de endometriose extrapélvica encontrada em tecidos parenquimatosos pulmonares ou na pleura(2); ela se manifesta mais frequentemente como pneumotórax catamenial (PC), denominado dessa forma para refletir sua relação temporal com a menstruação. O PC é definido como o surgimento de pneumotórax de 24 h antes a 72 h após o início da menstruação.(3-5) No presente artigo, relatamos os achados de ressonância magnética (RM) de duas pacientes com endometriose pleural que apresentavam pneumotórax recorrente.

Relatos de caso

Caso 1

Uma paciente de 33 anos de idade apresentava dor pélvica significante, dispneia, dor pleurítica moderada do lado direito e tosse seca há 5 anos; esses sintomas tinham alterações cíclicas em sua gravidade de acordo com o ciclo menstrual. Uma radiografia de tórax demonstrou grande hidropneumotórax à direita, e uma toracocentese revelou líquido hemorrágico. A citologia foi negativa para malignidade. Um ultrassom transvaginal revelou, nos anexos à direita, uma massa cística multiloculada que sugeria endometrioma, hematossalpinge ipsilateral e hemoperitônio.

A paciente foi encaminhada para nossa instituição e hospitalizada para toracoscopia diagnóstica. Foram observadas lesões escuras por toda a pleura. As lesões foram biopsiadas, e a análise histopatológica indicou endometriose pleural.

Posteriormente, a paciente foi submetida a duas pleurodeses com tetraciclina, e sua menstruação foi suprimida (com contraceptivos orais) por seis meses. Essas medidas resultaram em melhora significativa dos sintomas, embora um pequeno hidropneumotórax persistisse.

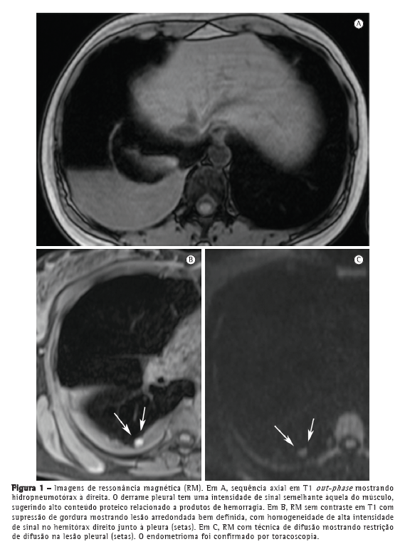
A paciente permaneceu assintomática por 4 anos. Aproximadamente seis meses antes do presente relato, a paciente apresentava dispneia cíclica, tosse seca e dor pélvica leve apesar do uso de contraceptivos orais. Uma radiografia e uma TC de tórax revelaram leve hidropneumotórax à direita. O parênquima pulmonar estava normal. Na RM de tórax em sequência T1 e T2, com e sem supressão de gordura, foi observado hidropneumotórax direito, e na RM em sequência T1 e supressão de gordura foram observadas lesões nodulares hiperintensas na pleura; algumas dessas lesões apresentavam difusão restrita (Figura 1), que é sugestiva de endometriomas.



A paciente foi submetida à cirurgia torácica videoassistida (CTVA). Todas as lesões escuras foram ressecadas. A cirurgia proporcionou uma melhora significativa dos sintomas, e a paciente permanecia assintomática 1 ano após a cirurgia.

Caso 2

Paciente de 41 anos de idade com história de dor no ombro direito durante a menstruação há 6 anos. A paciente relatou dor torácica e derrame pleural no ano anterior. Durante o exame clínico, foi detectado hidropneumotórax à direita. Dois meses antes, outro episódio de dor torácica foi seguido por pneumotórax espontâneo e derrame pleural. A paciente foi encaminhada a nossa instituição e hospitalizada para avaliação diagnóstica. Os resultados dos testes laboratoriais foram normais. A radiografia de tórax demonstrou hidropneumotórax á direita.

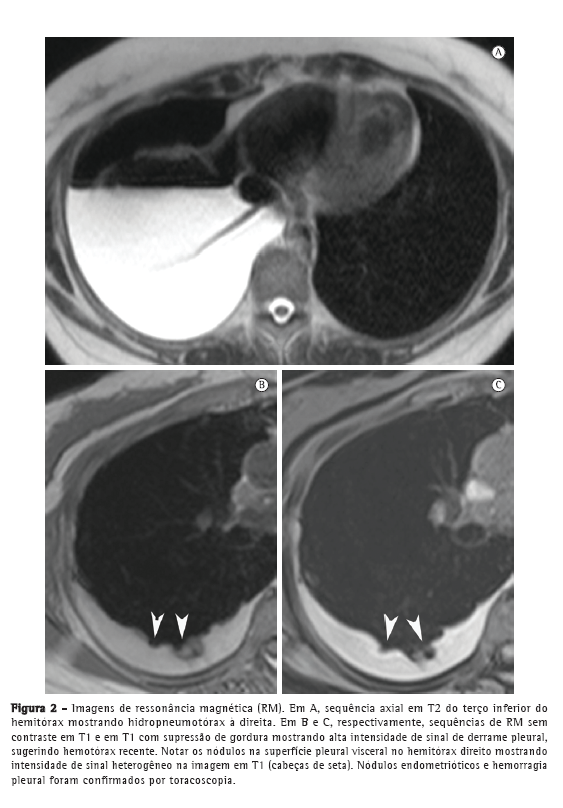
Foi realizada TC, que revelou hidropneumotórax à direita com lesões focais. Na RM de tórax, as sequências T1 e T2 demonstraram hidropneumotórax à direita com pequenas lesões nodulares hiperintensas (Figura 2), sugestivas de endometriomas.



A toracocentese revelou líquido hemorrágico. Os testes para micobactérias, fungos e malignidade foram negativos. A paciente foi submetida à CTVA, que revelou lesões escuras por toda a pleura. As lesões foram biopsiadas, e a análise histopatológica indicou endometriose pleural. Foi realizada pleurodese com tetraciclina, e a menstruação da paciente foi suprimida com contraceptivos orais. Até o momento, a paciente está em tratamento ambulatorial e permanece assintomática.

Discussão

O diagnóstico de endometriose torácica geralmente se baseia em dados clínicos e é confirmado por exame histopatológico de tecidos ressecados.(2) A endometriose torácica, manifestada mais comumente como PC,(4) ocorre mais frequentemente entre a terceira e quarta décadas de vida. Em quase todos os casos, o PC é unilateral e à direita, embora também possa afetar o pulmão esquerdo ou ser bilateral.(4,6) A maioria dos pacientes apresenta dor torácica e dispneia, e muitos têm história conhecida de endometriose pélvica ou infertilidade. O diagnóstico de PC deve ser suspeitado quando a recorrência de pneumotórax coincide com o período menstrual.(6) Outros achados menos comuns incluem hemoptise e hemotórax.(4,6)

Patologicamente, a endometriose torácica é definida pela presença de tecido endometrial morfologicamente normal dentro da cavidade torácica. A despeito de sua localização, os focos endometrióticos consistem de estroma e glândulas em proporções variáveis; as glândulas estão geralmente dilatadas e alinhadas com o epitélio, cuja forma tipicamente varia de cuboidal pseudoestratificada à cilíndrica.(4)

Nos últimos anos, a RM de tórax progrediu muito. Devido a melhorias na velocidade e na qualidade das imagens, a RM está pronta para ser usada na rotina clínica.(7-9) Nos dois casos aqui apresentados, a RM de tórax revelou hidropneumotórax e nódulos arredondados bem definidos na superfície pleural do hemitórax direito. No Caso 1, o derrame pleural apresentou intensidade de sinal intermediária em T1, sugerindo alto conteúdo proteico, provavelmente relacionado a produtos da hemorragia. No Caso 2, o derrame pleural apresentou alta intensidade de sinal, sugerindo hemotórax recente. Os nódulos pleurais observados no Caso 1 mostraram homogeneidade na alta intensidade de sinal em imagens em T1 com supressão de gordura e difusão restrita em imagem ponderada em difusão (IPD). No Caso 2, os nódulos mostraram heterogeneidade na intensidade de sinal nas imagens em T1 e T2, sem restrição de difusão. De forma semelhante à endometriose pélvica,(1,10) os nódulos pleurais da endometriose torácica podem mostrar diferentes intensidades de sinal em imagens em T1 e T2, assim como na variação de restrição de difusão, dependendo da idade da lesão.

Alguns relatos anteriores compararam achados de RM com os de TC em casos de PC.(6,11) Nossos dados corroboram os resultados daqueles estudos, confirmando que a RM é mais acurada que a TC na detecção de PC. Entretanto, até onde sabemos, não há relatos sobre as características de sinal na RM em relação à hemorragia nos espaços pleurais. A intensidade de sinal na RM quanto à hemorragia foi primeiramente descrita em tecidos cerebrais; entretanto, podemos extrapolar alguns aspectos físicos da interação entre a hemoglobina e o campo magnético do tecido cerebral para o tecido pleural.(12) Na RM, o sinal dos tecidos hemorrágicos depende do estado químico dos átomos de ferro nas moléculas de hemoglobina e da integridade das membranas dos eritrócitos.(10) O ferro pode ser diamagnético ou paramagnético, dependendo do estado de seus orbitais atômicos mais externos. O íon paramagnético altera os tempos de relaxamento T1 e T2 dos prótons de água através de interações dipolo-dipolo magnéticas e efeitos de suscetibilidade.(12,13) As interações dipolo-dipolo reduzem os tempos de relaxamento T1 e T2, mas tem um maior efeito em sequências T1.(13) Nossos dados sugerem que lesões pleurais exibindo hiperintensidade em sequências T1 representam essas interações hemorrágicas. Esses achados podem ser úteis no diagnóstico e no diagnóstico diferencial de PC. Um efeito de suscetibilidade está presente quando átomos de ferro estão compartimentalizados dentro da membrana do eritrócito, causando heterogeneidade do campo magnético com a consequente perda da coerência de fase e a diminuição seletiva do tempo de relaxamento T2.(12,13) O ferro torna-se mais homogeneamente distribuído após a degradação das membranas dos eritrócitos, e esse efeito é nulificado.(12,13) Nossos achados provavelmente representam essa fase de degradação da hemoglobina.

Uma das técnicas que mais rapidamente evoluem no campo da RM é a IPD. Esse método explora o movimento aleatório de difusão das moléculas de água e tem propriedades interessantes dependendo do ambiente fisiológico e anatômico do organismo em estudo. Embora a IPD tenha sido aplicada no estudo de endometriose pélvica, ainda não há resultados significativos.(1,10) Contudo, nossos achados demonstram que a IPD pode ser útil na detecção de pequenos endometriomas na endometriose pleural.

Concluindo, a endometriose pleural geralmente se apresenta como hidropneumotórax na radiografia ou na TC de tórax. Além da identificação de hidropneumotórax, sequências de RM em T1 e T2 podem ser utilizadas para identificar endometriomas que se apresentam como nódulos hiperintensos. Em alguns casos, a restrição da difusão visível em IPD pode também ser útil na detecção de pequenos endometriomas. O derrame pleural também pode mostrar hiperintensidade de sinal em sequências em T1. Esses achados podem ser devidos ao componente sanguíneo das lesões. Portanto, a RM é uma boa opção para a caracterização de nódulos pleurais endometrióticos e derrame pleural hemorrágico.


Referências


1. Coutinho A Jr, Bittencourt LK, Pires CE, Junqueira F, Lima CM, Coutinho E, et al. MR imaging in deep pelvic endometriosis: a pictorial essay. Radiographics. 2011;31(2):549-67. PMid:21415196. http://dx.doi.org/10.1148/rg.312105144

2. Haruki T, Fujioka S, Adachi Y, Miwa K, Taniguchi Y, Nakamura H. Successful video-assisted thoracic surgery for pulmonary endometriosis: Report of a case. Surg Today. 2007;37(2):141-4. PMid:17243034. http://dx.doi.org/10.1007/s00595-006-3360-0

3. Alifano M, Legras A, Rousset-Jablonski C, Bobbio A, Magdeleinat P, Damotte D, et al. Pneumothorax recurrence after surgery in women: clinicopathologic characteristics and management. Ann Thorac Surg. 2011(1);92:322-6 PMid:21718864. http://dx.doi.org/10.1016/j.athoracsur.2011.03.083

4. Alifano M. Catamenial pneumothorax. Curr Opin Pulm Med. 2010;16(4):381-6. PMid:20473170. http://dx.doi.org/10.1097/MCP.0b013e32833a9fc2

5. Makhija Z, Marrinan M. A case of catamenial pneumothorax with diaphragmatic fenestrations. J Emerg Med. 2012;43(1):e1-3. PMid:19682826. http://dx.doi.org/10.1016/j.jemermed.2009.05.023

6. Ciudad MJ, Santamaría N, Bustos A, Ferreirós J, Cabeza B, Gómez A. Imaging findings in catamenial pneumothorax [Article in Spanish]. Radiologia. 2007;49(4):263-7. http://dx.doi.org/10.1016/S0033-8338(07)73768-2

7. Hochhegger B, Irion K, Marchiori E. Whole-body magnetic resonance imaging: a viable alternative to positron emission tomography/CT in the evaluation of neoplastic diseases. J Bras Pneumol 2010;36(3):396. PMid:20625681. http://dx.doi.org/10.1590/S1806-37132010000300021

8. Santos MK, Elias J Jr, Mauad FM, Muglia VF, Trad CS. Magnetic resonance imaging of the chest: current and new applications, with an emphasis on pulmonology. J Bras Pneumol. 2011;37(2):242-58. PMid:21537662. http://dx.doi.org/10.1590/S1806-37132011000200016

9. Hochhegger B, Marchiori E, Irion K, Souza AS Jr, Volkart J, Rubin AS. Magnetic resonance of the lung: a step forward in the study of lung disease. J Bras Pneumol. 2012;38(1):105-15. PMid:22407047. http://dx.doi.org/10.1590/S1806-37132012000100015

10. Busard MP, Mijatovic V, van Kuijk C, Pieters-van den Bos IC, Hompes PG, van Waesberghe JH. Magnetic resonance imaging in the evaluation of (deep infiltrating) endometriosis: the value of diffusion-weighted imaging. J Magn Reson Imaging. 2010;32(4):1003-9. PMid:20882634. http://dx.doi.org/10.1002/jmri.22310

11. Picozzi G, Beccani D, Innocenti F, Grazzini M, Mascalchi M. MRI features of pleural endometriosis after catamenial haemothorax. Thorax. 2007;62(8):744. PMid:17687105 PMCid:2117275. http://dx.doi.org/10.1136/thx.2006.071415

12. Atlas SW, Thulborn KR. Intracranial hemorrhage. In: Atlas SW, editor. Magnetic resonance imaging of the brain and spine. 3rd ed. Philadelphia: Lippincott Williams  Wilkins; 2002: p.773-832.

13. Gomori JM, Grossman RI, Goldberg HI, Zimmerman RA, Bilaniuk LT.
Intracranial hematomas: imaging by high-field MR. Radiology 1985;157(1):87-93. PMid:4034983.




* Estudo realizado no Departamento de Radiologia, Universidade Federal do Rio de Janeiro, Rio de Janeiro (RJ) Brasil.
Endereço para correspondência: Edson Marchiori. Rua Thomaz Cameron, 438, Valparaíso, CEP 25685-120, Petrópolis, RJ, Brasil.
Tel. 55 24 2249-2777. Fax: 55 21 2629-9017. E-mail: edmarchiori@gmail.com
Apoio financeiro: Nenhum.
Recebido para publicação em 7/7/2012. Aprovado, após revisão, em 31/8/2012.




Sobre os autores

Edson Marchiori
Professor Associado. Departamento de Radiologia, Universidade Federal do Rio de Janeiro, Rio de Janeiro (RJ) Brasil.

Gláucia Zanetti
Professora de Clínica Médica. Faculdade de Medicina de Petrópolis, Petrópolis (RJ) Brasil.

Rosana Souza Rodrigues
Radiologista. Universidade Federal do Rio de Janeiro e Instituto D'Or para Pesquisa e Educação, Rio de Janeiro (RJ) Brasil.

Luciana Soares Souza
Radiologista. Clínica Ultra X, São José do Rio Preto (SP) Brasil.

Arthur Soares Souza Jr
Professor. Faculdade de Medicina de São José do Rio Preto; e Radiologista. Clínica Ultra X, São José do Rio Preto (SP) Brasil.

Flávia Angélica Ferreira Francisco
Residente em Radiologia. Universidade Federal do Rio de Janeiro, Rio de Janeiro (RJ) Brasil.

Bruno Hochhegger
Radiologista Torácico. Complexo Hospitalar Santa Casa de Porto Alegre, Porto Alegre (RS) Brasil.

Indexes

Development by:

© All rights reserved 2025 - Jornal Brasileiro de Pneumologia