Continuous and bimonthly publication
ISSN (on-line): 1806-3756

Licença Creative Commons
14213
Views
Back to summary
Open Access Peer-Reviewed
Original Article

Imunofenotipagem e remodelamento da matriz extracelular na sarcoidose pulmonar e extrapulmonar

Immunophenotyping and extracellular matrix remodeling in pulmonary and extrapulmonary sarcoidosis

Pedro Henrique Ramos Quintino da Silva, Edwin Roger Parra, William Sanches Zocolaro, Ivy Narde, Fabíola Rodrigues, Ronaldo Adib Kairalla, Carlos Roberto Ribeiro de Carvalho, Vera Luiza Capelozzi

ABSTRACT

Objective: To investigate the significance of cellular immune markers, as well as that of collagen and elastic components of the extracellular matrix, within granulomatous structures in biopsies of patients with pulmonary or extrapulmonary sarcoidosis. Methods: We carried out qualitative and quantitative evaluations of inflammatory cells, collagen fibers, and elastic fibers in granulomatous structures in surgical biopsies of 40 patients with pulmonary and extrapulmonary sarcoidosis using histomorphometry, immunohistochemistry, picrosirius red staining, and Weigert's resorcin-fuchsin staining. Results: The extrapulmonary tissue biopsies presented significantly higher densities of lymphocytes, macrophages, and neutrophils than did the lung tissue biopsies. Pulmonary granulomas showed a significantly higher number of collagen fibers and a lower density of elastic fibers than did extrapulmonary granulomas. The amount of macrophages in the lung samples correlated with FVC (p < 0.05), whereas the amount of CD3+, CD4+, and CD8+ lymphocytes correlated with the FEV1/FVC ratio and VC. There were inverse correlations between TLC and the CD1a+ cell count (p < 0.05), as well as between DLCO and collagen/elastic fiber density (r = −0.90; p = 0.04). Conclusions: Immunophenotyping and remodeling both showed differences between pulmonary and extrapulmonary sarcoidosis in terms of the characteristics of the biopsy samples. These differences correlated with the clinical and spirometric data obtained for the patients, suggesting that two different pathways are involved in the mechanism of antigen clearance, which was more effective in the lungs and lymph nodes.

Keywords: Sarcoidosis; Granulomatous disease, chronic; Extracellular matrix; Immunophenotyping; Respiratory function tests.

RESUMO

Objetivo: Investigar o significado de marcadores de imunidade celular e de componentes elásticos/colágeno da matriz extracelular em estruturas granulomatosas em biópsias de pacientes com sarcoidose pulmonar ou extrapulmonar. Métodos: Determinações qualitativas e quantitativas de células inflamatórias, de fibras de colágeno e de fibras elásticas em estruturas granulomatosas em biópsias cirúrgicas de 40 pacientes com sarcoidose pulmonar e extrapulmonar foram realizadas por histomorfometria, imuno-histoquímica, e técnicas de coloração com picrosirius e resorcina-fucsina de Weigert. Resultados: A densidade de linfócitos, macrófagos e neutrófilos nas biópsias extrapulmonares foi significativamente maior do que nas biópsias pulmonares. Os granulomas pulmonares apresentaram uma quantidade significativamente maior de fibras de colágeno e menor densidade de fibras elásticas que os granulomas extrapulmonares. A quantidade de macrófagos nos granulomas pulmonares correlacionou-se com CVF (p < 0,05), ao passo que as quantidades de linfócitos CD3+, CD4+ e CD8+ correlacionaram-se com a relação VEF1/CVF e com CV. Houve correlações negativas entre CPT e contagem de células CD1a+ (p < 0,05) e entre DLCO e densidade de fibras colágenas/elásticas (r = −0,90; p = 0,04). Conclusões: A imunofenotipagem e o remodelamento apresentaram características diferentes nas biópsias dos pacientes com sarcoidose pulmonar e extrapulmonar. Essas diferenças correlacionaram-se com os dados clínicos e espirométricos dos pacientes, sugerindo que há duas vias envolvidas no mecanismo de depuração de antígenos, que foi mais eficaz nos pulmões e linfonodos.

Palavras-chave: Sarcoidose; Doença granulomatosa crônica; Matriz extracelular; Imunofenotipagem; Testes de função respiratória.

Introdução

A sarcoidose é uma doença granulomatosa sistêmica de etiologia desconhecida. O diagnóstico é baseado em achados clínicos, radiológicos e patológicos. Na maioria dos pacientes, a evolução clínica é geralmente favorável.(1) Embora na maioria dos pacientes o comprometimento parenquimatoso pulmonar e extrapulmonar melhore espontaneamente, em 20-25% ocorre progressão para fibrose, com comprometimento funcional permanente, e 5-10% dos pacientes morrem.(2,3) Nesse contexto, muitos parâmetros clínicos, fisiológicos e radiográficos têm sido investigados a fim de avaliar o desfecho da sarcoidose.(4-8)

A atividade da doença é marcada pelo processo de remodelação da matriz extracelular (MEC), o qual envolve o equilíbrio entre células imunes e remodelação tecidual,(9,10) e o impacto do estadiamento histopatológico no prognóstico da sarcoidose jamais foi investigado.

Demonstrou-se que fenômenos imunológicos celulares e a remodelação da MEC são marcadores prognósticos promissores na doença pulmonar intersticial.(11-14) Portanto, levantamos a hipótese de que os dois tenham impacto semelhante no prognóstico da sarcoidose. Revisamos prontuários e laudos anatomopatológicos ao longo de 10 anos a fim de investigar o significado de marcadores imunológicos celulares e de componentes colágenos e elásticos da MEC nas estruturas granulomatosas encontradas em biópsias de pacientes com sarcoidose pulmonar ou extrapulmonar.(15)

Métodos

O grupo de estudo consistiu em 40 pacientes com diagnóstico de sarcoidose baseado em critérios clínicos e histológicos.(1) As amostras de tecido examinadas incluíram espécimes de parênquima pulmonar e de biópsia brônquica (em 25 pacientes), linfonodos mediastinais ou periféricos (em 8 pacientes), fígado (em 4 pacientes) e pele (em 3 pacientes).

Os prontuários foram revisados, e a data da biópsia foi considerada a data do diagnóstico. Foram coletadas informações sobre o gênero e a idade dos pacientes, bem como sobre o tratamento administrado. Os pacientes com sarcoidose pulmonar estavam no estágio inicial da doença e foram submetidos a biópsia pulmonar como parte da avaliação clínica inicial. Os parâmetros cardíacos estavam normais nesses pacientes, e a TCAR de tórax (com cortes de 1,0 ou 1,5 mm de espessura) foi realizada com intervalos de 1 cm enquanto os pacientes inspiravam profundamente na posição supina. Para os últimos 10 cm da porção caudal dos pulmões, a TCAR de tórax foi realizada com intervalos de 2 a 3 cm, com os pacientes na posição prona. Dois radiologistas torácicos examinaram, de forma prospectiva e independente, todos os lobos na TCAR em busca de micronódulos, opacidade e linfadenopatia (Tabela 1).



Para todos os pacientes com sarcoidose pulmonar, coletamos dados sobre a carga tabágica e os parâmetros de função pulmonar (CVF, VEF1, relação VEF1/CVF, VR e CPT, bem como DLCO pelo método da respiração única). Coletamos também a pontuação dos pacientes em uma escala de dispneia de seis pontos rotineiramente usada nos pacientes tratados em nossa instituição; a pontuação nessa escala varia de 0 (sem dispneia) a 6 (dispneia muito grave).(16)

A coloração de fibras colágenas foi realizada com uma solução de 0,2% de vermelho Sirius (Direct Red 80, CI 35780; Aldrich, Milwaukee, WI, EUA) dissolvido em solução aquosa saturada de ácido pícrico. Esse corante tem sido amplamente utilizado para corar colágeno em espécimes histológicos e permite a análise quantitativa do colágeno em cortes de parafina.(11,17) O realce da birrefringência do colágeno por meio de coloração com picrosirius e microscopia de polarização é específico para todas as estruturas colágenas compostas de agregados de moléculas orientadas. A coloração de fibras elásticas foi realizada com resorcina-fucsina de Weigert, após oxidação.(18) Esse método permite a identificação seletiva dos três tipos de fibras elásticas (fibras oxitalânicas, fibras elaunínicas e fibras elásticas maduras).

Os anticorpos primários usados no presente estudo foram anticorpos monoclonais de camundongo (Dako, Glostrup, Dinamarca, para todos):

 anticorpo de camundongo anti-CD68 humano, clone KP1 (M0814; diluição: 1:3.200), um marcador para macrófagos/histiócitos
 anticorpo de camundongo anti-elastase neutrofílica humana, clone NP57 (M0752; diluição: 1:800)
 anti-CD3 humano (diluição: 1:600), anti-CD4 humano (diluição: 1:400), anti-CD8 humano (diluição: 1:100), anti-CD20 humano (diluição: 1:600), anti-CD1a humano (diluição: 1:20) e anti-S100 humana (diluição: 1:600), todos os quais são marcadores para células T e dendríticas

Para os testes, foi usado o método da estreptavidina-biotina.(14,19)

As células imunes foram quantificadas por meio de um método estereológico convencional, isto é, o método dos interceptos (pontos e linhas).(20) Com aumento de 400×, 8-10 estruturas granulomatosas foram avaliadas por meio de contagem sistemática de pontos com o uso de um micrômetro ocular e uma grade de amostragem com 100 pontos e 50 linhas para contar o número de pontos dispostos sobre as células coradas positivamente.

As fibras colágenas e elásticas foram quantificadas por meio de análise de imagem. O sistema de análise de imagem consistiu em uma câmera Olympus acoplada a um microscópio Olympus (Olympus Optical, Tóquio, Japão), que transmitia as imagens a um computador equipado com um processador Pentium de 1.330 MHz (Intel Corporation, Santa Clara, CA, EUA) e um monitor (LG Electronics Brasil, Manaus, Brasil) por meio de um sistema de digitalização (Oculus TCX; Coreco Inc., St. Laurent, Quebec, Canadá). As imagens foram processadas por meio do programa Image Pro-Plus, versão 6.0 (Media Cybernetics Inc., Bethesda, MD, EUA). Para cada espécime de tecido, foram analisadas de 8 a 10 estruturas granulomatosas, com aumento de 400×. A densidade de fibras colágenas e elásticas foi medida e expressa na forma de razão entre a quantidade de fibras e a área total estudada. Os resultados finais expressam a área ocupada pelas diversas fibras colágenas e elásticas em relação à área total.(21)

A ANOVA para um fator foi usada para analisar a variação na média de células imunes, fibras colágenas e fibras elásticas, bem como sua distribuição nos granulomas encontrados nos diversos tecidos orgânicos. As médias foram comparadas, a priori, pelo teste de Levene para homogeneidade de variância, seguido de análise post hoc com o teste de Bonferroni para comparações múltiplas (caso houvesse homogeneidade de variância) ou o teste T3 de Dunnett (caso houvesse heterogeneidade de variância). Além disso, um teste t pareado e o modelo linear geral foram usados a fim de testar as relações entre as variáveis contínuas, e os resíduos foram examinados a fim de garantir que tivessem distribuição aproximadamente normal. Todas as análises foram realizadas com o Statistical Package for the Social Sciences, versão 18.0 (SPSS Inc., Chicago, IL, EUA). O limiar de significância estatística adotado foi de p < 0,05.

Resultados

A Tabela 1 lista as características dos 40 pacientes incluídos no estudo, isto é, 16 homens e 24 mulheres, com média de idade de 48 anos (variação: 26-83 anos). Dos 40 pacientes, 11 eram negros. A maioria dos 25 pacientes com sarcoidose pulmonar apresentou padrão restritivo ou obstrutivo, e 15 eram fumantes ou ex-fumantes. Vinte e sete pacientes receberam corticoterapia.

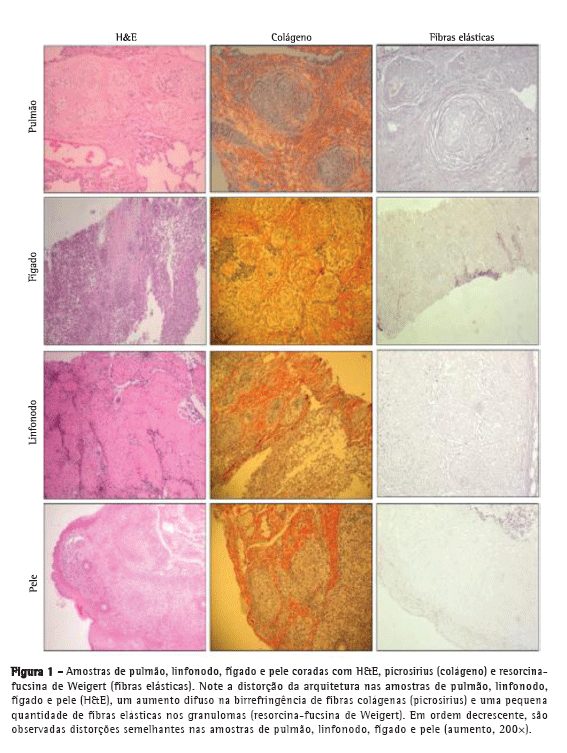
O exame histológico revelou, em todos os pacientes, granulomas não caseosos (Figura 1), compostos de células gigantes multinucleadas, células epitelioides, macrófagos e linfócitos. A coloração para pesquisa de fungos e BAAR apresentou resultados negativos. Em todos os pacientes com sarcoidose extrapulmonar, os granulomas caracterizavam-se por desarranjo arquitetural grave e quantidades variáveis de tecido fibroso. Em particular, as áreas corticais e medulares dos linfonodos foram, em grande parte, substituídas por granulomas epitelioides e esclerosantes circundados perifericamente por linfócitos.



A Figura 1 mostra granulomas corados com picrosirius e observados sob luz polarizada. Os granulomas nas amostras oriundas dos pacientes com sarcoidose extrapulmonar apresentaram birrefringência vermelho-alaranjada homogênea, coincidente com pequena distorção da arquitetura da MEC. Por outro lado, os granulomas nas amostras de pulmão dos pacientes com sarcoidose pulmonar apresentaram distorção da arquitetura da MEC, bem como birrefringência forte e heterogênea. Feixes de fibras elásticas grandes, esparsos e fragmentados foram mais comuns nos granulomas encontrados nas amostras extrapulmonares do que naqueles encontrados nas amostras de pulmão. Tal achado correlaciona-se com as áreas epitelioides e esclerosantes vistas por meio de H&E.

A Tabela 2 mostra as medidas de fibras colágenas e elásticas nos granulomas pulmonares e extrapulmonares. As alterações morfológicas nas fibras colágenas e elásticas coincidiram com as variações em quantidade e densidade nos dois sistemas de fibras. Os granulomas pulmonares apresentaram um número significativamente maior de fibras colágenas e menor densidade de fibras elásticas do que os granulomas extrapulmonares (p = 0,01 e p = 0,003, respectivamente); a sarcoidose pulmonar caracterizou-se, portanto, por fibroelastose.



A Figura 2 mostra as células imunes nos granulomas pulmonares e extrapulmonares coradas por imuno-histoquímica; as células mais comumente encontradas ao redor dos granulomas nos pacientes com sarcoidose extrapulmonar foram as seguintes: células T CD3+, CD4+ e CD8+; linfócitos CD20+; neutrófilos elastase positivos e macrófagos CD68+.



A Tabela 2 mostra a quantificação de células imunes nos granulomas pulmonares e extrapulmonares. A distribuição morfológica das células imunes nos granulomas coincidiu com as diferenças em quantificação entre as duas formas de sarcoidose. No geral, as amostras de sarcoidose extrapulmonar apresentaram densidade significativamente maior de linfócitos CD4+ (p = 0,001), linfócitos CD8+ (p = 0,001), linfócitos CD3+ (p = 0,001), linfócitos CD68+ (p = 0,03) e neutrófilos elastase positivos (p = 0,001) circundando ou permeando estruturas granulomatosas do que as amostras de sarcoidose pulmonar. O número de linfócitos CD4+ foi significativamente maior nos granulomas encontrados nas amostras de linfonodos do que naqueles encontrados nas amostras de fígado (p = 0,05), pele (p = 0,03) e pulmão (p = 0,001). Além disso, o número de linfócitos CD8+ ao redor de granulomas foi significativamente maior nas amostras de linfonodos do que nas de pulmão e pele (p = 0,001 e p = 0,003, respectivamente). Ademais, o número de linfócitos CD8+ foi significativamente maior nas amostras de fígado do que nas de pulmão (p = 0,01). Os granulomas encontrados nos linfonodos também apresentaram maior número de linfócitos CD3+, CD20+ e CD68+ do que os encontrados nos pulmões (p = 0,001, p = 0,01 e p = 0,004, respectivamente). O número de células CD1a+ foi maior nos granulomas encontrados na pele que naqueles encontrados nos pulmões, linfonodos e fígado (p = 0,001 para todos). O número de neutrófilos elastase positivos permeando granulomas foi maior no fígado que nos pulmões (p = 0,02). A quantidade de células S100+ foi muito semelhante nos granulomas encontrados nos diversos órgãos estudados.

Foram encontradas associações positivas entre células CD4+ e CD8+ (r = 0,55; p = 0,001), entre células CD8+ e neutrófilos elastase positivos (r = 0,34; p = 0,03), entre células CD8+ e fibras elásticas (r = 0,41; p = 0,01), entre células CD3+ e fibras elásticas (r = 0,46; p = 0,004), entre células CD1a+ e fibras colágenas (r = 0,35; p = 0,05) e entre neutrófilos elastase positivos e fibras elásticas (r = 0,35; p = 0,03). Foram encontradas associações negativas entre células CD8+ e fibras colágenas (r = −0,46; p = 0,04), bem como entre células CD1a+ e fibras elásticas (r = −0,34; p = 0,05).

Os componentes imunológicos celulares e os componentes reparadores correlacionaram-se com achados clínicos, radiológicos e de função pulmonar nos pacientes com sarcoidose pulmonar. Os linfócitos CD4+ associaram-se negativamente com carga tabágica (r = −0,73; p = 0,03), opacidades radiológicas (r = −0,59; p = 0,04) e micronódulos (r = −0,54; p = 0,04). Os granulomas encontrados em linfonodos mediastinais associaram-se positivamente com linfócitos CD8+ (r = 0,70; p = 0,004). Uma CVF de 70% do valor previsto associou-se positivamente com macrófagos CD68+ (p < 0,05). A relação VEF1/CVF associou-se positivamente com linfócitos CD4+, CD8+ e CD3+. Uma CPT de 82% do valor previsto associou-se negativamente com células CD1a+ (p < 0,05). Finalmente, houve associação negativa entre DLCO e fibras colágenas/elásticas (r = −0,90; p = 0,04).

Discussão

A principal característica patológica da sarcoidose é a presença de granulomas não caseosos em vários órgãos, incluindo os pulmões, os linfonodos, o fígado, a pele, o coração e o cérebro.(22) Nessa doença sistêmica crônica, essas lesões inflamatórias que são histologicamente compactas e contêm linfócitos T e fagócitos mononucleares podem aparecer e desaparecer insidiosamente em alguns pacientes, ao passo que em outros, as lesões podem causar disfunção orgânica importante devido à inflamação persistente e à obliteração de estruturas vitais, resultando em fibrose tecidual extensa ou escavação.(10) Os efeitos mais comuns e devastadores ocorrem no sistema pulmonar.(23) Portanto, o conhecimento da remodelação da MEC e dos mecanismos de resposta imune na patogênese da sarcoidose e a detecção precoce da doença por meio de métodos mais sensíveis e voltados à terapia ajudarão a melhorar a função pulmonar em longo prazo e prevenirão a morbidade cumulativa associada à terapia disponível atualmente. A questão de interesse é se mais informações podem nos ajudar a definir a resposta imune e a remodelação tecidual na sarcoidose com base nas características histológicas e padrões dos granulomas, que demonstrarão melhor correlação com testes de função pulmonar e a história natural da doença, bem como com a resposta terapêutica. O processo patológico no comprometimento granulomatoso na sarcoidose indubitavelmente inclui complexas etapas seriadas e sequenciais, dentre as quais são consideradas importantes a disfunção imune grave e a remodelação tecidual, já que ambas levam à formação de cicatrizes.(10)

O presente estudo mostrou maior grau de imunorreatividade a CD4, CD8, CD3, CD68 e neutrófilos na sarcoidose extrapulmonar que na pulmonar. Além disso, o número de linfócitos CD4, CD8, CD3 e CD20 foi significativamente maior nos granulomas em linfonodos, ao passo que células dendríticas CD1a e neutrófilos foram mais proeminentes nos granulomas encontrados na pele e no pulmão, respectivamente. Sabe-se que linfócitos T CD4+ desempenham um papel essencial na criação do microambiente para a ativação e diferenciação de linfócitos B após a exposição ao antígeno. Nos pulmões, o fato de que agregados de linfócitos B foliculares estão localizados quase exclusivamente em áreas peribronquiolares sob o epitélio dos ramos brônquicos sugere que representam o desenvolvimento de tecido linfoide associado ao brônquio. Demonstrou-se que essas estruturas são capazes de respostas imunes adaptativas competentes.(24) Diferentemente dos linfonodos típicos, não dependem de vasos linfáticos aferentes para recuperação antigênica: coletam antígeno diretamente do lúmen pulmonar. Isso nos leva a perguntar se um fator externo poderia promover a formação de folículos linfoides na sarcoidose, induzindo ou modulando o processo de doença. Essa questão é especialmente interessante à luz da associação que se relatou entre tabagismo e aumento da formação de folículos de células B peribronquiolares em algumas doenças pulmonares.(25) Embora linfócitos T CD4+ e CD8+ estejam geralmente presentes em baixíssimo número no sangue periférico, há relatos de quantidade aumentada em indivíduos aparentemente saudáveis, bem como em diversas condições clínicas. Em um estudo recente, Moller et al. relataram ter encontrado expressão dominante de citocina Th1, com aumento de RNAm e de níveis proteicos de IL-12 e IFN-, mas não de IL-4, em células pulmonares sarcoides em comparação com amostras normais,(26) dando suporte à ideia de uma resposta imunológica/inflamatória exagerada.(27) Consistentes com esses achados, várias outras anormalidades imunológicas foram identificadas: acúmulo tecidual de células CD4+ com atividade auxiliadora-indutora, aumento da produção in situ de citocinas derivadas de células, hiperatividade de células B com produção espontânea de imunoglobulinas e acúmulo de células monocíticas ativadas. Sabe-se que essas células desempenham papéis centrais na remodelação tecidual ativa por meio da liberação de mediadores solúveis, tais como citocinas e quimiocinas com atividade pró-inflamatória e fibrogênica, espécies reativas de oxigênio e enzimas proteolíticas capazes de degradar o andaime do tecido conjuntivo.(10)

Em nosso estudo, os granulomas nas amostras provenientes de pacientes com sarcoidose extrapulmonar (comprometimento linfonodal, hepático e cutâneo) revelaram-se o protótipo da aposição de fibras elásticas nos tecidos. Por outro lado, os granulomas nas amostras de pulmão de pacientes com sarcoidose pulmonar representaram o protótipo de um aumento do número de fibras colágenas e de um grau menor de aposição elástica, caracterizando um processo fibroelastótico. O sistema elástico desempenha um papel importante na manutenção da permeabilidade dos órgãos e da retração elástica; portanto, a elastose pode ser importante para a compreensão da função dos órgãos.(11,12,28) Achados semelhantes foram relatados por nosso grupo quando estudamos a MEC em espécimes de biópsia pulmonar de pacientes com pneumonia intersticial idiopática.(13,14) Levantamos a hipótese de que a elastose esteja relacionada à elastólise inflamatória observada no estágio inicial da inflamação, reforçando a noção de que há um mecanismo pró-inflamatório em doenças granulomatosas. A hipótese pró-inflamatória é defendida por vários autores como uma forma transitória de fibrose em organização,(29) e alguns de nossos achados no presente estudo parecem apoiar essa teoria, já que os maiores níveis de neutrófilos foram observados nos pacientes com sarcoidose pulmonar.

Por todos os motivos expostos, não seria surpreendente descobrir que a imunomarcação celular e a determinação da densidade de fibras colágenas/elásticas podem fornecer informações relevantes sobre a remodelação tecidual na sarcoidose. Nossos resultados confirmam as implicações patogênicas da infiltração de células imunes e o estado de remodelação de granulomas na sarcoidose pulmonar e extrapulmonar. Embora apenas alguns estudos voltados à investigação da produção de proteínas da MEC, TGF-, fibrina e metaloproteinases da MEC tenham conseguido demonstrar uma associação significativa entre remodelação tecidual e resposta imune na sarcoidose,(10,30) nossos resultados sugerem que um processo fibroelastótico e a infiltração de células imunes provavelmente contribuem para alterações teciduais na sarcoidose. O mais interessante é que nossos resultados sugerem que a depuração de antígenos é menos eficiente na sarcoidose pulmonar que na extrapulmonar. Mais especificamente, descobrimos que diferentes testes funcionais corroboraram a regulação das células imunes e a remodelação na sarcoidose pulmonar, o que sugere a presença de um efeito reparador sobre o desarranjo funcional e estrutural encontrado no parênquima pulmonar.

As maiores limitações do presente estudo estão relacionadas à dificuldade de comparar nossos resultados com os de outros estudos, uma vez que há poucos estudos na literatura mostrando associações de imunofenotipagem e remodelação tecidual com parâmetros clínicos tidos como padrão (idade, gênero, carga tabágica e duração dos sintomas antes da biópsia pulmonar), testes fisiológicos e escores de dispneia em pacientes com sarcoidose.

Em resumo, demonstramos as características fisiopatológicas da remodelação tecidual e da resposta imune na sarcoidose. Na sarcoidose pulmonar em particular, há duas vias distintas de resposta imune e remodelação tecidual, com um impacto sobre testes fisiológicos. Os processos imunológicos e fibroelastóticos observados no parênquima dos órgãos afetados parecem ser parte dos processos gerais de inflamação e deposição de fibras colágenas/elásticas, que têm curso independente na sarcoidose. Nossos achados sugerem que há dois mecanismos de lesão e reparo na sarcoidose, e é mais provável que a lesão direta das vias aéreas ocorra na sarcoidose pulmonar. Independentemente dos determinantes patogenéticos, a via que provavelmente levará a fibrose não controlada e, portanto, encurtará a vida de pacientes com sarcoidose deve ser identificada para que o tratamento seja eficaz.

Referências

1. Statement on sarcoidosis. Joint Statement of the American Thoracic Society (ATS), the European Respiratory Society (ERS) and the World Association of Sarcoidosis and Other Granulomatous Disorders (WASOG) adopted by the ATS Board of Directors and by the ERS Executive Committee, February 1999. Am J Respir Crit Care Med. 1999;160(2):736-55. PMid:10430755.

2. Miller BH, Rosado-de-Christenson ML, McAdams HP, Fishback NF. Thoracic sarcoidosis: radiologic-pathologic correlation. Radiographics. 1995;15(2):421-37. Erratum in: Radiographics 1997;17(6):1610. PMid:7761646.

3. Holmes J, Lazarus A. Sarcoidosis: extrathoracic manifestations. Dis Mon. 2009;55(11):675-92. PMid:19857642. http://dx.doi.org/10.1016/j.disamonth.2009.05.002

4. Mañá J, Salazar A, Manresa F. Clinical factors predicting persistence of activity in sarcoidosis: a multivariate analysis of 193 cases. Respiration. 1994;61(4):219-25. http://dx.doi.org/10.1159/000196341

5. Sato H, Grutters JC, Pantelidis P, Mizzon AN, Ahmad T, Van Houte AJ, et al. HLA-DQB1*0201: a marker for good prognosis in British and Dutch patients with sarcoidosis. Am J Respir Cell Mol Biol. 2002;27(4):406-12. PMid:12356573.

6. Suzuki K, Tamura N, Iwase A, Dambara T, Kira S. Prognostic value of Ia+ T lymphocytes in bronchoalveolar lavage fluid in pulmonary sarcoidosis. Am J Respir Crit Care Med. 1996;154(3 Pt 1):707-12. PMid:8810609.

7. Israel HL, Karlin P, Menduke H, DeLisser OG. Factors affecting outcome of sarcoidosis. Influence of race, extrathoracic involvement, and initial radiologic lung lesions. Ann N Y Acad Sci. 1986;465:609-18. PMid:3460398. http://dx.doi.org/10.1111/j.1749-6632.1986.tb18537.x

8. Sekiya M, Ohwada A, Miura K, Takahashi S, Fukuchi Y. Serum vascular endothelial growth factor as a possible prognostic indicator in sarcoidosis. Lung. 2003;181(5):259-65. PMid:14705769. http://dx.doi.org/10.1007/s00408-003-1028-8

9. Gal AA, Koss MN. The pathology of sarcoidosis. Curr Opin Pulm Med. 2002;8(5):445-51. PMid:12172451. http://dx.doi.org/10.1097/00063198-200209000-00018

10. Roman J, Galis ZS. Sarcoidosis: a mysterious tale of inflammation, tissue remodeling, and matrix metalloproteinases. Hum Pathol. 2002;33(12):1155-7. PMid:12514781. http://dx.doi.org/10.1053/hupa.2002.130397

11. Negri EM, Montes GS, Saldiva PH, Capelozzi VL. Architectural remodelling in acute and chronic interstitial lung disease: fibrosis or fibroelastosis? Histopathology. 2000;37(5):393-401. PMid:11119120. http://dx.doi.org/10.1046/j.1365-2559.2000.00992.x

12. Rozin GF, Gomes MM, Parra ER, Kairalla RA, de Carvalho CR, Capelozzi VL. Collagen and elastic system in the remodelling process of major types of idiopathic interstitial pneumonias (IIP). Histopathology. 2005;46(4):413-21. PMid:15810953. http://dx.doi.org/10.1111/j.1365-2559.2005.02103.x

13. Ranzani OT, Parra ER, de Morais Fernezlian S, Capelozzi VL. Intraluminal plugs in idiopathic and secondary organizing pneumonia: repair or remodelling? Histopathology. 2007;51(5):622-30. PMid:17927583. http://dx.doi.org/10.1111/j.1365-2559.2007.02845.x

14. Parra ER, Noleto GS, Tinoco LJ, Capelozzi VL. Immunophenotyping and remodeling process in small airways of idiopathic interstitial pneumonias: functional and prognostic significance. Clin Respir J. 2008;2(4):227-38. PMid:20298339. http://dx.doi.org/10.1111/j.1752-699X.2008.00077.x

15. King TE Jr, Tooze JA, Schwarz MI, Brown KR, Cherniack RM. Predicting survival in idiopathic pulmonary fibrosis: scoring system and survival model. Am J Respir Crit Care Med. 2001;164(7):1171-81. PMid:11673205.

16. Evaluation of impairment/disability secondary to respiratory disorders. American Thoracic Society. Am Rev Respir Dis. 1986;133(6):1205-9. PMid:3509148.

17. Montes GS. Structural biology of the fibres of the collagenous and elastic systems. Cell Biol Int. 1996;20(1):15-27. PMid:8936403. http://dx.doi.org/10.1006/cbir.1996.0004

18. Lemos M, Pozo RM, Montes GS, Saldiva PH. Organization of collagen and elastic fibers studied in stretch preparations of whole mounts of human visceral pleura. Ann Anat. 1997;179(5):447-52. http://dx.doi.org/10.1016/S0940-9602(97)80048-9

19. Parra ER, Kairalla RA, Ribeiro de Carvalho CR, Eher E, Capelozzi VL. Inflammatory cell phenotyping of the pulmonary interstitium in idiopathic interstitial pneumonia. Respiration. 2007;74(2):159-69. PMid:17108669. http://dx.doi.org/10.1159/000097133

20. Hsia CC, Hyde DM, Ochs M, Weibel ER; ATS/ERS Joint Task Force on Quantitative Assessment of Lung Structure. An official research policy statement of the American Thoracic Society/European Respiratory Society: standards for quantitative assessment of lung structure. Am J Respir Crit Care Med. 2010;181(4):394-418. PMid:20130146. http://dx.doi.org/10.1164/rccm.200809-1522ST

21. Parra ER, Kairalla RA, de Carvalho CR, Capelozzi VL. Abnormal deposition of collagen/elastic vascular fibres and prognostic significance in idiopathic interstitial pneumonias. Thorax. 2007;62(5):428-37. PMid:17251318 PMCid:2117177. http://dx.doi.org/10.1136/thx.2006.062687

22. Stirling RG, Cullinan P, Bois RMD. Sarcoidosis. In: Schwarz MI, King TE, editors. Interstitial lung disease. Hamilton: B.C. Decker; 1997. p. 279-323.

23. Lynch JP 3rd, Kazerooni EA, Gay SE. Pulmonary sarcoidosis. Clin Chest Med. 1997;18(4):755-85. http://dx.doi.org/10.1016/S0272-5231(05)70417-2

24. Moyron-Quiroz JE, Rangel-Moreno J, Kusser K, Hartson L, Sprague F, Goodrich S, et al. Role of inducible bronchus associated lymphoid tissue (iBALT) in respiratory immunity. Nat Med. 2004;10(9):927-34. PMid:15311275. http://dx.doi.org/10.1038/nm1091

25. Wallace WA, Roberts SN, Caldwell H, Thornton E, Greening AP, Lamb D, et al. Circulating antibodies to lung protein(s) in patients with cryptogenic fibrosing alveolitis. Thorax. 1994;49(3):218-24. PMid:8202877 PMCid:1021149. http://dx.doi.org/10.1136/thx.49.3.218

26. Moller DR, Forman JD, Liu MC, Noble PW, Greenlee BM, Vyas P, et al. Enhanced expression of IL-12 associated with Th1 cytokine profiles in active pulmonary sarcoidosis. J Immunol. 1996;156(12):4952-60. PMid:8648147.

27. Moller DR. Cells and cytokines involved in the pathogenesis of sarcoidosis. Sarcoidosis Vasc Diffuse Lung Dis. 1999;16(1):24-31. PMid:10207939.

28. Rosenbloom J, Abrams WR, Mecham R. Extracellular matrix 4: the elastic fiber. FASEB J. 1993;7(13):1208-18. PMid:8405806.

29. Fukuda Y, Mochimaru H, Terasaki Y, Kawamoto M, Kudoh S. Mechanism of structural remodeling in pulmonary fibrosis. Chest. 2001 Jul;120(1 Suppl):41S-43S. PMid:11451909. http://dx.doi.org/10.1378/chest.120.1_suppl.S41

30. Roman J. Extracellular matrices in the pathogenesis of injury and repair. In: Schwarz MI, King TE, editors. Interstitial lung disease. Hamilton: B.C. Decker; 1997. p. 207-27.



* Trabalho realizado no Departamento de Patologia e no Departamento de Doenças Respiratórias, Instituto do Coração  - InCor  - Hospital das Clínicas, Faculdade de Medicina da Universidade de São Paulo, São Paulo (SP) Brasil.
Endereço para correspondência: Vera Luiza Capelozzi ou Edwin Roger Parra. Faculdade de Medicina da Universidade de São Paulo, Avenida Dr. Arnaldo, 455, CEP 01246-903, São Paulo, SP, Brasil.
Tel. 55 11 3061-7427. Fax: 55 11 3064-2744. E-mail: erparra20003@yahoo.com.br
Apoio financeiro: Este estudo recebeu apoio financeiro do Conselho Nacional de Desenvolvimento Científico e Tecnológico (CNPq) e da Fundação de Amparo à Pesquisa do Estado de São Paulo (FAPESP; Processo no. 2007/56617-5).
Recebido para publicação em 19/12/2011. Aprovado, após revisão, em 28/02/2012.




Sobre os autores

Pedro Henrique Ramos Quintino da Silva
Estudante de Medicina. Faculdade de Medicina da Universidade de São Paulo, São Paulo (SP) Brasil.

Edwin Roger Parra
Pós-doutorando. Faculdade de Medicina da Universidade de São Paulo, São Paulo (SP) Brasil.

William Sanches Zocolaro
Estudante de Medicina. Faculdade de Medicina da Universidade de São Paulo, São Paulo (SP) Brasil.

Ivy Narde
Estudante de Medicina. Faculdade de Medicina da Universidade de São Paulo, São Paulo (SP) Brasil.

Fabíola Rodrigues
Médica Assistente. Departamento de Doenças Respiratórias, Instituto do Coração  - InCor  - Hospital das Clínicas, Faculdade de Medicina da Universidade de São Paulo, São Paulo (SP) Brasil.

Ronaldo Adib Kairalla
Médico Assistente. Departamento de Doenças Respiratórias, Instituto do Coração  - InCor  - Hospital das Clínicas, Faculdade de Medicina da Universidade de São Paulo, São Paulo (SP) Brasil.

Carlos Roberto Ribeiro de Carvalho
Professor Associado Livre-Docente de Pneumologia. Faculdade de Medicina da Universidade de São Paulo, São Paulo (SP) Brasil.

Vera Luiza Capelozzi
Professora Associada. Departamento de Patologia, Faculdade de Medicina da Universidade de São Paulo, São Paulo (SP) Brasil.

Indexes

Development by:

© All rights reserved 2025 - Jornal Brasileiro de Pneumologia