Continuous and bimonthly publication
ISSN (on-line): 1806-3756

Licença Creative Commons
12361
Views
Back to summary
Open Access Peer-Reviewed
Special Article

Padrões tomográficos das doenças intersticiais pulmonares difusas com correlação clínica e patológica

High-resolution computed tomography patterns of diffuse interstitial lung disease with clinical and pathological correlation

Brett Elicker, Carlos Alberto de Castro Pereira, Richard Webb, Kevin O. Leslie

ABSTRACT

High-resolution computed tomography (HRCT) is the radiological imaging technique best suited to revealing changes in lung structure. Various HRCT findings, taken together, can represent typical patterns. These patterns, in conjunction with the anatomical distribution of findings and with clinical data, can narrow the differential diagnosis of diffuse interstitial lung disease and, in many cases, indicate the correct diagnosis with a high degree of accuracy. The most common HRCT patterns seen in cases of diffuse interstitial lung diseases are the nodular pattern, linear/reticular opacities, cystic lesions, ground-glass opacities and consolidations. This article reviews the correlations between HRCT patterns and pathologic findings, summarizing the most common causes, as well as detailing the methods of investigation employed in order to diagnose the most common types of chronic diffuse lung disease.

Keywords: Lung diseases, interstitial/pathology; Tomography, X-Ray computed; Diagnostic techniques, respiratory system.

RESUMO

A tomografia de alta resolução (TCAR) é a técnica de imagem radiológica que reflete mais de perto as alterações da estrutura pulmonar. Os vários achados tomográficos podem ser combinados para formar padrões típicos. Estes, conjuntamente com a distribuição anatômica dos achados, e com os dados clínicos, podem estreitar o diagnóstico das doenças intersticiais pulmonares difusas, e em vários casos sugerir o diagnóstico correto com alto grau de acurácia. Os padrões mais comuns das doenças intersticiais pulmonares difusas na TCAR são o nodular, linear e reticular, lesões císticas, opacidades em vidro fosco e consolidações. Este artigo revisa as correlações entre os padrões tomográficos na TCAR e os achados patológicos e resume as causas mais comuns e os métodos de investigação para se atingir um diagnóstico nas doenças pulmonares crônicas difusas mais comuns.

Palavras-chave: Doenças pulmonares intersticiais/patologia; Tomografia computadorizada por raios X; Técnicas de diagnóstico do sistema respiratório.

Introdução

A tomografia computadorizada de alta resolução (TCAR) é uma ferramenta crítica para a avaliação das doenças pulmonares. Visto que a TCAR fornece uma avaliação anatômica global dos pulmões, essa técnica de imagem melhora significativamente a sensibilidade e a especificidade do diagnóstico clínico e histopatológico. A TCAR é particularmente útil na avaliação de doenças intersticiais pulmonares difusas (DIPD), pois pode haver a sobreposição significativa da apresentação clínica e dos padrões histopatológicos, assim como pode haver uma significativa heterogeneidade da doença nos pulmões. Estas modalidades em conjunto fornecem uma abordagem clínica, radiológica e histopatológica ao paciente com DIPD, permitindo um diagnóstico acurado e gerenciamento otimizado.

Utilizando-se cortes finos e técnicas de reconstrução de alta resolução, a TCAR pode detectar anormalidades distintas de até 0,3 mm. Apesar dessa resolução ser significativamente menor do que aquela do exame patológico (por ex., a típica objetiva de microscópio de menor resolução tem um diâmetro de campo de 1 cm), a TCAR não permite a visualização de anormalidades no nível do lóbulo pulmonar secundário. Nessa revisão, apresentamos os padrões chave da TCAR para DIPD, fornecendo o contexto clínico e as correlações histopatológicas de cada padrão.

Técnica

Há vários protocolos de uso corrente para a obtenção de imagens em TCAR. O Quadro 1 mostra exemplos de dois destes protocolos: imagens axiais espaçadas e TCAR multidetector volumétrica. Imagens axiais apresentam a vantagem de ter uma resolução um pouco melhor, e esta técnica tem baixa dosagem de radiação. Imagens volumétricas permitem uma avaliação de todo o pulmão.



Em geral, as imagens são obtidas com os pacientes em decúbito dorsal e ventral. Em pacientes normais, opacidades dependentes são geralmente visualizadas nas regiões posteriores e subpleurais dos pulmões. No caso de algumas doenças pulmonares difusas, tal como pneumonia intersticial não-específica (PINE), as imagens podem ser idênticas àquelas obtidas de pacientes normais. As imagens em decúbito ventral diferenciam estas duas possibilidades, visto que a densidade dependente normal no pulmão posterior desaparece com as imagens em decúbito ventral, ao passo que a densidade relacionada a doenças verdadeiramente pulmonares persiste. Imagens dinâmicas expiratórias também são obtidas para rastrear aprisionamento aéreo.

Uma abordagem baseada em padrões para o diagnóstico

Há quarto padrões gerais de anormalidades em TCAR que são fundamentais para a sua interpretação: 1) opacidades reticulares; 2) nódulos; 3) opacidade pulmonar aumentada; e 4) opacidade pulmonar diminuída. Dentro de cada um desses padrões, outros aspectos das imagens podem auxiliar a estreitar o diagnóstico diferencial, tal como a distribuição das anormalidades nos planos axial e coronal, assim como a co-ocorrência/sobreposição de padrões. O nosso propósito nesse artigo é descrever esses padrões básicos em TCAR, fazendo correlações clínicas e histopatológicas importantes. Para o leitor interessado, outros trabalhos apresentam achados histopatológicos em detalhe.(1)

Padrão 1. Opacidades reticulares

O espessamento da rede de tecido conjuntivo intersticial nos pulmões resulta em opacidades reticulares de morfologia variada. Este espessamento pode ser devido à infiltração de células/líquidos ou à deposição de tecido fibroso. As opacidades reticulares podem ser divididas entre espessamento dos septos interlobulares, reticulação associada a bronquiectasia de tração e faveolamento.

Espessamento dos septos interlobulares

O espessamento dos septos interlobulares (Figura 1) é definido como o espessamento do interstício que envolve e delineia o lóbulo pulmonar secundário. As linhas dos septos tendem a ser retas e com 1-2 cm de comprimento. A artéria centrolobular, localizada no centro do lóbulo pulmonar, é geralmente visível. Alguns septos interlobulares são normalmente visualizados em pacientes normais. Em pacientes com anormalidades, entretanto, muitos podem ser visualizados, delineando os lóbulos poligonais. É importante enfatizar que o espessamento dos septos ocorre em uma grande variedade de doenças. Este achado é mais útil quando é a principal anormalidade, quando o diagnóstico diferencial é limitado e dependente do tipo de espessamento: liso, nodular ou irregular (Quadro 2). O contexto clínico, em especial as informações a respeito da duração dos sintomas clínicos e o tempo de progresso da doença, é extremamente útil na interpretação do espessamento dos septos interlobulares.





Opacidades reticulares predominantes

Correlações clínicas e histopatológicas

Edema pulmonar

Embora a TCAR não seja geralmente necessária para o diagnóstico de edema pulmonar, ela pode ser realizada quando houver uma discrepância entre a história clínica e os achados em radiografia de tórax. Na ausência de uma silhueta cardíaca aumentada, a ecocardiografia pode revelar disfunções diastólicas, tais como refluxo mitral, aumento do átrio esquerdo e pressão elevada da artéria pulmonar. Os níveis de peptídeo natriurético cerebral também podem estar aumentados.(2) Para descartar infarto do miocárdio, que pode ser assintomático, os níveis de enzimas cardíacas devem ser determinados, e um eletrocardiograma deve ser realizado. Níveis elevados de creatinina podem indicar insuficiência renal como doença de base, uma outra causa de edema pulmonar. A Figura 2 mostra um exemplo de edema pulmonar a partir de biópsia de pulmão.



Linfangite disseminada

Metástases de linfangite nos pulmões podem resultar igualmente de tumores pulmonares e extrapulmonares. Origens extratorácicas comuns incluem mama, estômago, pâncreas e próstata.(3) Quando as metástases da linfangite originam-se de um tumor pulmonar primário, as metástases são comumente unilaterais, com a visualização de um nódulo ou massa.(4) Na presença de um histórico de tumor primário, os achados típicos na TCAR podem ser considerados como diagnósticos. Na ausência de um histórico de tumor primário, o diagnóstico requer confirmação celular ou tissular (lavado broncoalveolar [LBA], coleta de líquido pleural, biópsia transbrônquica ou biópsia pulmonar cirúrgica).(5) Como tais tumores são tipicamente distribuídos entre os vasos linfáticos dos feixes broncovasculares, a biópsia através da fibrobroncoscopia é um método altamente efetivo (Figura 3).




Sarcoidose

O diagnóstico de sarcoidose requer um achado de granulomas não-necrotizantes na biópsia, aliado a achados clínicos e radiológicos que sejam consistentes com a doença. É de extrema importância descartar outras causas de doenças granulomatosas (especialmente tuberculose).(6) Os sítios das biópsias devem ser os de mais fácil acesso, tais como a pele e linfonodos superficiais. Em alguns casos, a fibrobroncoscopia com biópsia brônquica e transbrônquica é necessária e, como último recurso, realiza-se mediastinoscopia ou biópsia pulmonar cirúrgica. A presença de nódulos é o achado chave da sarcoidose pulmonar, encontrada em ≈90% de todos os casos. Tais nódulos são amplamente distribuídos mas tendem a se concentrar ao redor das estruturas broncovasculares, pleura e septos interlobulares.(7) A biópsia transbrônquica é altamente efetiva na confirmação do diagnóstico (Figura 4). A adenopatia hilar é um achado esperado, e pode haver a confluência de nódulos entre opacidades parenquimatosas mais extensas. Nos sinais tardios da doença, pode haver a presença de fibrose, manifestada por reticulação irregular, bronquiectasia de tração e massas confluentes de tecido fibrótico.





Doença de Erdheim-Chester

A doença de Erdheim-Chester é uma rara histiocitose sistêmica que afeta tipicamente os ossos longos, com envolvimento pulmonar em 15% dos casos.(8) A doença é hoje reconhecida como uma condição distinta das formas sistêmicas da histiocitose de células de Langerhans (HCL). Deve-se considerar o diagnóstico de doença de Erdheim-Chester em pacientes do sexo masculino com mais de 40 anos de idade apresentando dor óssea difusa e DIPD. Em tais casos, deve-se descartar o diagnóstico de carcinoma metastático. Em pacientes com doença de Erdheim-Chester, o envolvimento pulmonar é sugerido pela presença de sombras reticulares simétricas em radiografia de tórax, espessamento dos septos interlobulares (em radiografia de tórax e tomografia computadorizada), opacidades nodulares centrolobulares, opacidades em vidro fosco e espessamento das fissuras. A patologia é distinta, mostrando leve fibrose na pleura e ao longo dos vasos linfáticos dos septos interlobulares. Ao contrário do observado em pacientes com HCL, os histiócitos de pacientes com a doença de Erdheim-Chester apresentam resultados imunohistoquímicos negativos para a proteína S100 e CD1a mas positivos para CD68.

Lesões pulmonares linfóides

As lesões pulmonares linfóides constituem uma categoria geral de doenças que inclui bronquiolite folicular, hiperplasia linfóide nodular, pneumonia intersticial linfóide e linfoma de baixo grau.(9) Em casos raros, a hiperplasia linfóide pode simular a sarcoidose, visto que o envolvimento é concentrado ao longo dos septos, em áreas subpleurais e ao redor das vias aéreas (todas os locais de canais linfáticos no pulmão).

Bronquiectasia de tração

A dilatação dos brônquios como conseqüência da fibrose intersticial é referida como bronquiectasia de tração (Figura 5). Os brônquios têm geralmente aparência irregular (saca-rolhas) e não estão associados com evidências radiológicas de inflamação brônquica (espessamento grosseiro da parede brônquica ou impactação mucóide). A bronquiectasia de tração é geralmente acompanhada por outros sinais de fibrose pulmonar (faveolamento ou reticulação irregular). Apesar da bronquiectasia de tração ser bastante específica para a fibrose, o diagnóstico diferencial é mais amplo do que aquele para faveolamento. A fibrose pulmonar idiopática (FPI) é comumente associada à bronquiectasia de tração. Entretanto, na ausência de faveolamento, outras doenças são mais prováveis (Quadro 3). Em pacientes com histórico de doença do colágeno vascular, a bronquiectasia de tração bibasal e periférica, acompanhada de atenuação em vidro fosco, pode ser considerada como diagnóstico de PINE. Quando as circunstâncias são menos diagnósticas, pode ser necessária uma biópsia cirúrgica.





Faveolamento

O remodelamento do pulmão em favo de mel (faveolamento) reflete o estágio terminal de um número de doenças que causam destruição do parênquima. Apresenta um padrão característico na TCAR, com cistos subpleurais com paredes espessas que compartilham paredes e, quando avançado, geralmente formam empilhamentos em camadas múltiplas (Figura 6). É tipicamente acompanhado por outros sinais de fibrose (bronquiectasia de tração e reticulação). O faveolamento fortemente sugere um diagnóstico patológico de pneumonia intersticial usual (PIU), embora ele possa ser atribuído a outras doenças (Quadro 3). O faveolamento observado na TCAR é geralmente considerado como diagnóstico de PIU em pacientes apresentando perfil clínico apropriado, e a maioria desses pacientes não necessita de biópsia pulmonar cirúrgica. Como o faveolamento bilateral em TCAR é considerado diagnóstico sob estas condições, é de vital importância que o radiologista tenha a certeza de que o faveolamento está presente antes de descrevê-lo.





Correlações clínicas e histopatológicas

Fibrose pulmonar idiopática

Um achado de PIU em biópsia pulmonar cirúrgica é característico de FPI, que é a forma idiopática crônica da fibrose pulmonar. A histopatologia da PIU apresenta alternância entre fibrose destrutiva e pulmão normal no espécime da biópsia cirúrgica (Figuras 7 e 8). Uma borda característica de lesão focal que avança está sempre presente e é conhecida como "focos fibroblásticos". Os critérios de diagnóstico clínico para a PIU foram propostos por um consenso entre a American Thoracic Society e a European Respiratory Society em 2000.(10) Desde então, os seguintes aspectos tornaram-se evidentes:









 A presença de faveolamento é necessária para um diagnóstico confiável a partir da TCAR (isto é, anormalidades reticulares com padrão em vidro fosco mínimo não são suficientes).(11)

 A biópsia transbrônquica é raramente indicada como ferramenta diagnóstica dos casos suspeitos.(12)

 A doença é incomum em pacientes com menos de 50 anos de idade.(13)

 Pacientes assintomáticos podem apresentar a doença.

Baseados nestas observações, os critérios para o diagnóstico clínico de FPI devem incluir todos os aspectos a seguir:

 idade > 50 anos

 exclusão de outras causas potenciais de doença pulmonar intersticial (DPI), tais como exposição ambiental ou ocupacional significativa, uso de drogas fibrogênicas e doenças do colágeno vasculares.

 resultados anormais em teste de função pulmonar incluindo evidências de restrição, troca gasosa comprometida (em repouso ou sob esforço) ou diffusing capacity of the lung for carbon monoxide (DLCO, capacidade de difusão do monóxido de carbono) reduzida

 crepitações inspiratórias bibasais

 achados em TCAR de anormalidades reticulares bibasais com faveolamento e ausência de achados sugestivos de outras doenças (por ex., aprisionamento aéreo, nódulos centrolobulares e opacidades em vidro fosco extensas)

A especificidade destes achados é de aproximadamente 90% para FPI.(14)

Doenças do colágeno vasculares

Todas as doenças reumáticas podem produzir fibrose pulmonar. A artrite reumatóide e a esclerodermia estão predominantemente implicadas nos casos onde um padrão de PIU é encontrado na TCAR, e com anormalidades funcionais similares.

Pneumonite de hipersensibilidade

Reações de hipersensibilidade a antígenos orgânicos inalatórios abrangem um grupo de doenças pulmonares difusas mediadas por reações imunes e provocadas pela inalação repetitiva de uma ampla variedade de poeiras orgânicas, bioaerossóis e compostos químicos. Estas doenças são coletivamente classificadas como pneumonite de hipersensibilidade (PH). A exposição continuada a tais antígenos tipicamente ocorre nos domicílios. No Brasil, ela é especialmente associada a aves domésticas e a grandes concentrações de bolores dentro dos ambientes.(15) Na PH crônica, achados em TCAR indicativos de fibrose estão presentes e relacionam-se com pior prognóstico. O faveolamento é comum nas formas crônicas. Em um estudo realizado no Brasil, o faveolamento estava presente em 48 (57%) dos 85 pacientes submetidos à biópsia pulmonar cirúrgica.(16) A doença estava restrita aos lobos superiores em apenas 11 casos. Entretanto, quando havia envolvimento dos lobos inferiores, outros achados indicativos de PH, tais como nódulos centrolobulares, áreas de atenuação diminuídas, áreas de atenuação em vidro fosco e distribuição peribrônquica das lesões, estavam comumente presentes. Em amostras de biópsia, isto é traduzido como infiltração intersticial inflamatória crônica, concentrada ao redor das vias aéreas e freqüentemente acompanhada por bronquiolite crônica e pequenos granulomas intersticiais não-necrotizantes. Em somente 6% dos casos, a TC revelou distribuição periférica de faveolamento, mimetizando PIU. Nenhum dos pacientes apresentou lesões similares a PIU nas biópsias pulmonares. Estes achados são semelhantes aos de outros estudos.(17,18) Em pacientes com doença pulmonar fibrosante e expostos a antígenos provocadores de PH, um diagnóstico clínico pode ser aceito desde que o contexto da TC seja apropriado e a citologia do LBA revele linfocitose.(19)

Sarcoidose fibrosante (estágio IV)

Fibrose avançada (estágio IV) na sarcoidose (sarcoidose fibrosante) é encontrada em menos de 10% dos casos. A sarcoidose fibrosante ocorre predominantemente nas regiões pulmonares superiores, em distribuição central/dorsal, com distorção brônquica e nas fissuras. Massas conglomeradas hilares-perhilares são comuns. Linhas septais, espessamento broncovascular, micronódulos e adenopatia (algumas vezes com calcificações) podem ser observadas. Quando há faveolamento, este é periférico e envolve as zonas pulmonares superiores.(20) Um padrão simulando PIU é muito raro e, nessa situação, pode haver menos granulomas do que nos estágios iniciais da doença. A confirmação histopatológica da sarcoidose pode ser obtida através de biópsia brônquica ou transbrônquica (positiva em 60-80%),(20,21) biópsias em outros sítios ou, raramente, através de biópsia pulmonar cirúrgica.

Pneumonia intersticial não-específica

Originalmente descrita em 1994 por Katzenstein e Fiorelli,(22) a PINE foi apresentada como uma nova forma de DRI idiopática, separada e distinta daquelas propostas na classificação original de Leibow.(23) Uma DIPD inflamatória caracterizada pela uniformidade temporal do processo da doença, a PINE apresenta graus variados de inflamação intersticial ou fibrose. É rara uma doença puramente inflamatória. O prognóstico é melhor nos casos de PINE do que nos de PIU. Pacientes com PINE tendem a ser mais jovens do que pacientes com FPI (idade média, 53 vs. 67 anos). A maioria dos casos ocorre no contexto de uma doença de base, tais como doença do tecido conjuntivo, doença pulmonar induzida por drogas ou PH crônica.(24) O padrão histopatológico de PINE é o padrão predominantemente encontrado na maioria das doenças reumáticas, especialmente na esclerose sistêmica, artrite reumatóide, dermatomiosite/polimiosite e doença do tecido conjuntivo não diferenciada; esta última tem sido descrita como uma nova entidade distinta.(25) O padrão PINE é uma apresentação comum da PH.(26)
Entretanto, em tais casos, a distribuição na TCAR é bem diferente daquela da PINE associada `à doença do colágeno vascular ou reação a drogas. A diferenciação através da TCAR é especialmente útil devido aos típicos achados histológicos da PH, tais como granulomas, células gigantes e pneumonia bronquiolocêntrica intersticial, que estão ausentes por definição.

Vários aspectos em TCAR sugerem um diagnóstico de PINE.(27) Embora a PIU apresente a mesma predominância subpleural e basilar, opacidades em vidro fosco, que são raras em PIU, são encontradas em mais de 75% dos casos de PINE. Anormalidades reticulares, com ou sem bronquiectasia de tração, são comuns e parecem correlacionar-se com a quantidade de fibrose observada na histopatologia. No plano axial, a preservação subpleural (uma borda fina de pulmão preservado na interface pleuroparenquimatosa) e o rastreamento de opacidades ao longo dos feixes broncovasculares das zonas inferiores são dois achados que se correlacionam com os achados histopatológicos de PINE. O faveolamento é raro em PINE, e discute-se se este deveria ser um achado para a exclusão. Na amostra original de 64 pacientes descrita por Katzenstein e Fiorelli, a mortalidade foi baixa e não havia a presença de faveolamento microscópico em quaisquer pacientes.(22)
Em um estudo posterior conduzido por Travis et al.,(28) pacientes com faveolamento microscópico foram incluídos, e a sobrevida diminuiu significativamente. Posteriormente a estes estudos clínicos, a ocorrência reportada de faveolamento em TC em pacientes com PINE tem sido variável, variando entre 0% e 30% (média, 20%).(29-34) Em contrapartida, o faveolamento extenso é uma manifestação muito mais comum na PIU.(35)

Os achados para PINE descritos acima são inespecíficos. Portanto, na ausência de definição para doença do colágeno vascular ou exposição a drogas fibrogênicas, é necessária a realização de biópsia pulmonar cirúrgica. Alguns casos de pneumonia intersticial descamativa (PID), PH (com ou sem achados histológicos clássicos) e várias doenças menos comuns podem também produzir este padrão.

Pneumopatia induzida por drogas

Doenças devido à toxicidade de drogas podem resultar em DIPD, com reações histopatológicas que variam desde lesões agudas a padrões fibróticos similares aos de PIU.(36) Os mecanismos de lesão pulmonar induzida por drogas variam entre citotoxicidade e reações de hipersensibilidade. Uma grande variedade de reações relacionadas à terapêutica têm sido descritas como conseqüência do uso de agentes quimioterapêuticos (bleomicina, bussulfan, clorambucil, ciclofosfamida, 1,3-bis(2-cloroetil)-1-nitrosouréia e 1-(2-cloroetil)-3-ciclohexil-1-nitrosouréia), estatinas, amiodarona, nitrofurantoína, metotrexato e radioterapia torácica. É geralmente necessária a realização de broncoscopia com biópsia brônquica para descartar infecção. A biópsia pulmonar cirúrgica não é específica para uma droga em particular na grande maioria dos casos.(37)

Asbestose

A asbestose é uma pneumoconiose causada pela inalação de fibras de asbesto e é caracterizada pela progressão lenta de fibrose pulmonar. Nos estágios iniciais da doença, um padrão reticular irregular é o achado típico na TCAR, ao passo que um padrão cístico é característico de estágio avançado. A asbestose afeta trabalhadores envolvidos na extração de minerais assim como aqueles que trabalham na fabricação e instalação de produtos contendo asbesto (têxteis industriais, isolamento térmico e produtos manufaturados de cimento). A fibrose intersticial relacionada à asbestose varia em aparência.
Em alguns casos, a fibrose não é histopatologicamente diferenciada da PIU,(38) embora, na maioria das vezes, a asbestose é uma doença pulmonar fibrótica associada às vias aéreas e não apresenta a acentuação periférica-lobular típica da PIU. Bandas parenquimatosas são mais comumente resultantes da asbestose. A asbestose pode ser diagnosticada sem biópsia pulmonar na presença de três sinais clínicos (um padrão restritivo de comprometimento pulmonar, DLCO abaixo do limite inferior da faixa normal e crepitações finas bilaterais na base pulmonar posterior) em combinação com opacidades irregulares (em radiografia torácica ou TCAR) e histórico de exposição relevante.(39) Um diagnóstico de asbestose também pode ser atingido com base na co-ocorrência de DPI e de placas pleurais típicas em TC. Um achado de fragmentos de asbestos no líquido obtido por LBA é altamente específico.(40)

Padrão 2. Nódulos

Há várias formas de se classificar nódulos: bem definidos vs. mal definidos; distribuição nos lobos superiores vs. inferiores; e sua relação com lóbulos pulmonares secundários. Esta última é a característica mais útil, visto que fornece um diagnóstico diferencial focado e reflete a fisiopatologia da doença de base. Há três distribuições possíveis dos nódulos em TCAR: perilinfática, aleatória e centrolobular (Quadros 4, 5 e 6).







Nódulos perilinfáticos

Correlações clínicas e histopatológicas

Nódulos perilinfáticos são caracterizados por sua distribuição na bainha broncovascular, pleura e septos interlobulares, correspondendo às vias linfáticas no pulmão (Figura 9). Todas as condições nesta categoria necessariamente têm uma afinidade por canais linfáticos.



Sarcoidose

granulomatousA sarcoidose é uma doença granulomatosa não infecciosa com provável origem imune. A distribuição de granulomas nodulares ao longo das vias linfáticas é praticamente diagnóstica de sarcoidose em TCAR. A biópsia pulmonar a partir da broncoscopia pode ser necessária para o diagnóstico de casos sem lesões em sítios mais acessíveis, tais como pele (exceto eritema nodoso, no qual a biópsia mostra achados inespecíficos) ou linfonodos superficiais. Um alto grau de acurácia diagnóstica é atingido se mais do que quatro amostras forem obtidas na broncoscopia. Isto é possível pois os canais linfáticos atravessam os feixes broncovasculares em grande número e, portanto, são amplamente obtidos na amostra a partir de biópsia transbrônquica.(41) Além disso, para o diagnóstico de sarcoidose, a sensibilidade e a especificidade de uma razão de CD4/CD8 > 3.5 no líquido da LBA são 52-59% e 94-96%, respectivamente.(42) A Figura 4 mostra a biópsia pulmonar cirúrgica de um paciente com sarcoidose. A distribuição linfática pode ser marcante e recapitula os achados na TCAR.

Linfangite disseminada

Para informações sobre achados na TCAR nos casos de linfangite disseminada, veja acima o item espessamento dos septos interlobulares.

Silicose/silicatose

A inalação de quantidades significativas de poeira de sílica, seja pura, seja misturada a silicatos de alumínio e magnésio, é responsável pela pneumoconiose conhecida como silicatose ou silicose. Nódulos pulmonares visíveis em imagens torácicas ocorrem principalmente como a manifestação de uma doença ocupacional, com nódulos nas regiões centrolobular e subpleural. Os nódulos distribuem-se nas regiões superiores e médias dos pulmões, com predominância posterior. Visto que a doença pode persistir ou progredir, mesmo em casos quando a exposição a partículas de sílica é interrompida, deve-se realizar uma história detalhada do paciente. Dada a longa latência da doença, deve-se prestar atenção especial a ocupações anteriores, mesmo aquelas ocorridas em passado remoto. A prevalência da silicose continua alta em certas áreas de atividade profissional no Brasil, tais como na mineração em geral, metalurgia e produção de pisos cerâmicos ou de porcelana e jateamento de areia.(43)

O diagnóstico de silicose é baseado na interpretação e análise de radiografias assim como na história profissional do trabalhador/paciente. O exame histopatológico é limitado aos casos onde há discrepância entre estas duas análises, levantando, portanto, a possibilidade de outros diagnósticos.(43) A biópsia transbrônquica é diagnóstica na maioria dos casos.

Hiperplasia linfóide nodular

Atualmente, tem-se debatido consideravelmente sobre a hiperplasia linfóide nodular difusa no pulmão. As lesões estão localizadas ao redor das vias aéreas e linfáticas no pulmão. A histopatologia revela numerosos folículos linfóides aparentemente reativos com centros germinativos. O diagnóstico de linfoma maligno de baixo grau de células B do tipo zona marginal deve ser descartado. A hiperplasia linfóide nodular difusa no pulmão pode ser uma condição pré-neoplásica, e alguns casos estão relacionados à deficiência de imunoglobulinas, síndrome de Sjögren ou uma combinação entre doença auto-imune e síndrome de Sjögren.(44,45)

Amiloidose

A amiloidose é um desarranjo do dobramento protéico da imunoglobulina no qual proteínas plasmáticas normalmente solúveis se agregam sob forma fibrilar insolúvel e anormal, causando ruptura da estrutura tissular e da função orgânica. O depósito amilóide difuso no parênquima pulmonar é geralmente associado ao comprometimento de outros sistemas de órgãos. Nódulos perilinfáticos são uma rara manifestação de amiloidose.(46)

Nódulos com distribuição aleatória

Nódulos com distribuição aleatória são definidos pela sua ocorrência aparentemente randômica em regiões peribroncovasculares, septos interlobulares e pleura, sem um padrão perilinfático consistente e ausência de uma relação consistente com lóbulo pulmonar secundário. A Figura 10 mostra a TCAR de um paciente com metástases hematogênicas do câncer de tireóide.




Correlações clínicas e histopatológicas

Metástase hematogênica

A metástase hematogênica é a causa mais comum da distribuição aleatória múltipla de nódulos pulmonares. A predominância basilar é típica devido ao fluxo sanguíneo preferencial às bases pulmonares. Visto que as células malignas penetram nos vasos linfáticos pulmonares, são comuns aspectos de linfangite carcinomatosa com septos interlobulares com espessamento irregular e derrame pleural. Em biópsias pulmonares cirúrgicas, nódulos irregulares de tumores endovasculares e endolinfáticos estão presentes (Figura 3).

Embora a aparência de nódulos miliares tenha muitas causas, as mais comuns são metástase, tuberculose, infecções fúngicas e sarcoidose.(47) Metástases miliares são freqüentemente originadas a partir de câncer de tiróide, câncer renal, melanoma e outros tipos de câncer, ao passo que metástases maiores e menos profusas tendem a ser adenocarcinomas em adultos, tipicamente originadas nos pulmões, mama ou trato gastrintestinal.

Tuberculose miliar

A tuberculose miliar é em geral insidiosa. Relatos do rendimento de ensaios de tecido pulmonar e de secreção em estudos sobre tuberculose miliar variam muito, provavelmente, em parte, devido à grande diversidade de casos incluídos nestes estudos. De forma geral, 50% das amostras de escarro coletadas de casos suspeitos apresentam resultados positivos em cultura.

Em um estudo conduzido na África do Sul,(48) granulomas foram encontrados em 30 (63%) de 48 biópsias transbrônquicas, 20 das quais apresentavam necrose. Das 30 apresentando granulomas, 13 foram positivas para bacilos álcool-ácido resistentes (BAAR) na baciloscopia. Dois sítios prováveis de envolvimento e acessíveis para estudo são o fígado e a medula óssea. Entre biópsias de fígado, 88% apresentam granulomas; 45%, granulomas necrotizantes; e 40%, BAAR. Entre biópsias de medula óssea, 67%
apresentam granulomas; 42%, granulomas necrotizantes; e 42%, BAAR.(49)

Infecções fúngicas miliares

Histoplasmose disseminada aguda é uma apresentação incomum de infecção fúngica miliar em adultos. Em pacientes com um padrão miliar e granulomas em biópsias transbrônquicas, sem necrose ou agentes infecciosos, uma biópsia pulmonar a céu aberto pode ser necessária para descartar-se doenças infecciosas e estabelecer um diagnóstico de sarcoidose mais conclusivo.

Nódulos centrolobulares

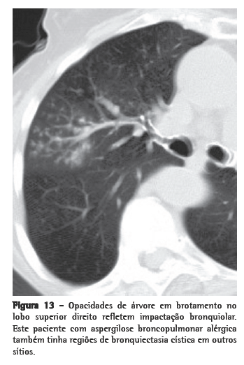
A parte central do lóbulo pulmonar secundário contém os ramos dos bronquíolos terminais, suas respectivas artérias pulmonares e, adjacente a estas, o tecido conjuntivo de suporte com vasos linfáticos. Portanto, opacidades nodulares centrolobulares podem ser o produto de doenças bronquiolares e peribronquiolares assim como de doenças vasculares e perivasculares. Atenuação em mosaico associada a aprisionamento aéreo na TCAR expiratória, ou evidências funcionais de obstrução de fluxo aéreo indica doenças envolvendo as vias aéreas periféricas. Nódulos centrolobulares algumas vezes são acompanhados pelas chamadas opacidades de "árvore em brotamento", nas quais a anormalidade lembra uma árvore brotando (Figura 13). Na maioria dos casos, o padrão de árvore em brotamento ocorre como resultado de doenças infecciosas. Árvore em brotamento é um subtipo do padrão centrolobular. Patologicamente, esta anormalidade representa impactação bronquiolar e é quase sempre devida a infecções. O Quadro 7
detalha o diagnóstico diferencial.






Correlações clínicas e histopatológicas

Pneumonite de hipersensibilidade subaguda

Inúmeros nódulos centrolobulares em vidro fosco, mal definidos e com distribuição uniforme são característicos de PH subaguda (Figura 11).(50) Este diagnóstico pode ser confirmado através de história de exposição, sintomas clínicos com sintomas similares aos de gripe, linfocitose em líquido de LBA e melhora clínica quando o paciente é afastado do agente ambiental agressor. Na fase subaguda, a biópsia pulmonar cirúrgica mostra achados característicos (bronquiolite crônica, pneumonia intersticial celular e granulomas não-necrotizantes mal formados e esparsos nas paredes alveolares e regiões peribronquiolares; Figura 12), especialmente quando antígenos de aves são os responsáveis. Células plasmáticas são tipicamente proeminentes no interstício na PH.






Bronquiolite respiratória associada a doença pulmonar intersticial

Bronquiolite respiratória associada à doença pulmonar intersticial (BR-DPI) aparenta existir dentre um espectro de DIPDs relacionadas ao tabagismo, às vezes coexistindo com HCL. Tipicamente, BR-DPI produz nódulos centrolobulares mal definidos em pequena quantidade e predominantemente nos lobos superiores. Em casos de BR-DPI, os achados na TCAR podem simular PH subaguda, com anormalidades nodulares mal formadas e espalhadas com áreas de hipoatenuação (padrão em mosaico). Entretanto, a história do paciente é em geral útil (BR-DPI ocorre somente em fumantes, ao passo que PH é rara em fumantes) e o perfil do LBA é geralmente definitivo na diferenciação entre DPI e PH. Tanto na BR-DPI quanto na bronquiolite, ocorre uma pigmentação marrom característica nos macrófagos. A diferença histopatológica reside na extensão da reação dos macrófagos peribronquiolares (muito maior na BR-DPI). Os achados em LBA, além da história pessoal e achados em TCAR, geralmente permitem diagnosticar a BR-DPI sem a necessidade de biópsia pulmonar através de toracoscopia.(51)

Histiocitose de células de Langerhans

Em fumantes, nódulos centrolobulares mal definidos podem também ser visualizados em estágio inicial de HCL, sem a presença de cistos. Visto que HLC é uma doença com base nas vias aéreas, um achado em biópsia transbrônquica de lesão de HCL não é inesperado. As células de Langerhans podem ser encontradas no fluido do LBA de pacientes com um dos vários tipos de condições inflamatórias, potencialmente produzindo um resultado falso-positivo se esta modalidade for utilizada como um teste diagnóstico para HCL.(41) A compreensão dos achados de TC é essencial para o diagnóstico acurado. A incidência exata de HCL na população tabagista continua desconhecida.(52)

Bronquiolite folicular

A hiperplasia linfóide reativa, presente em uma distribuição peribronquiolar, é conhecida como bronquiolite folicular. Na literatura radiológica e de patologia, a bronquiolite folicular e a pneumonia intersticial linfóide são consideradas como representantes de dois extremos de um espectro; a primeira sendo localizada nas regiões peribronquiolares e a segunda, mais difusa.
Condições de base associadas à bronquiolite folicular incluem artrite reumatóide, doença do colágeno vascular mista, síndrome de Sjögren, outras doenças auto-imunes e síndrome da imunodeficiência hereditária ou adquirida.(53,54) A doença pode ocorrer sob forma idiopática.

Pneumonia infecciosa

No hospedeiro imunocomprometido, infecções bacterianas (Staphylococcus aureus e Haemophilus influenzae), fúngicas (mais comumente Aspergillus spp.) e, muito raramente, virais podem resultar em um padrão de árvore em brotamento acompanhado de consolidação variável (incluindo citomegalovírus e vírus respiratório sincicial).(55)

Bronquiolite infecciosa

No hospedeiro normal, a bronquiolite difusa aguda sem consolidação associada (Figura 14) pode ocasionalmente advir de infecção viral ou por micoplasma.(56,57) Bronquiectasia residual pode resultar. PH, que também pode apresentar nódulos centrolobulares difusos, virtualmente nunca apresenta lesões em forma de árvore em brotamento.



Disseminação endobrônquica de Mycobacterium tuberculosis

A infecção por Mycobacterium ­tuberculosis tipicamente produz um padrão de árvore em brotamento, o que indica doença ativa. Cavitação associada é altamente sugestiva da doença mas pode estar ausente.(58)

Infecção pelo complexo
M. avium-intracellulare

Quando o padrão de árvore em brotamento é encontrado em paciente idosa caucasiana, a infecção pelo complexo M. avium-intracellulare deve sempre ser considerada. As manifestações radiológicas consistem em bronquiectasia e nódulos centrolobulares múltiplos. A doença é mais grave na língula e no lobo médio.(59) O exame do escarro e cultura são essenciais para o estabelecimento do diagnóstico de infecções por micobactérias. A broncoscopia pode ser necessária para a obtenção de secreções e biópsias para cultura.

Bronquiectasia

Doenças que resultam em bronquiectasia são comumente acompanhadas por lesões de árvore em brotamento.(60) Na fibrose cística, o padrão de árvore em brotamento pode ser um sinal inicial da doença.

Panbronquiolite difusa

A panbronquiolite difusa é uma doença histopatologicamente característica representada por uma condição inflamatória com comprometimento extenso das vias aéreas periféricas, produzindo um padrão de árvore em brotamento com ou sem bronquiectasia associada. Embora o termo panbronquiolite difusa implique em uma doença inflamatória genérica dos bronquíolos, a histopatologia é suficientemente distinta que, quando encontrada, é raramente esquecida e não facilmente confundida com outros distúrbios inflamatórios. A doença é descrita primariamente em pacientes de origem asiática. Entretanto, alguns casos foram descritos em brasileiros sem origem asiática.(61,62) A doença é predominantemente identificada entre a segunda e quinta décadas de vida. A sinusite crônica é comum. Em países do ocidente, onde a doença é rara, uma biópsia pulmonar é geralmente necessária para o diagnóstico.(63)

A biópsia transbrônquica ou a céu aberto mostra uma acumulação distinta de histiócitos espumosos nas paredes bronquiolares e nas regiões peribronquiolares imediatas.(64)

Bronquiolite aspirativa difusa

A reação inflamatória crônica à aspiração repetida de material estranho resulta em bronquiolite aspirativa difusa.(65) Condições que favoreçam a aspiração, tais como desordens esofágicas e defeitos neurológicos, são tipicamente
encontrados.

Bronquiolite folicular

A bronquiolite folicular é uma causa rara do padrão de árvore em brotamento e muito mais incomum em sua forma difusa.

Êmbolos tumorais

Em casos raros, êmbolos tumorais podem expandir os pequenos vasos e produzir um padrão de árvore em brotamento.(55)

Abordagem clínica para o diagnóstico de pacientes com opacidades centrolobulares

Nos casos de padrão de árvore em brotamento e nódulos centrolobulares (com ou sem atenuação alveolar/em vidro fosco), a biópsia pulmonar transbrônquica e LBA são os métodos de escolha para diagnosticar infecções (tuberculose, fungos, vírus e pneumonia bacteriana lobular), neoplasmas (carcinoma de células broncoalveolares e linfangite carcinomatosa) e transtornos pulmonares inflamatórios criptogênicos (PH, HCL e sarcoidose).(66) Se a biópsia transbrônquica e LBA forem negativos, pode ser necessária uma biópsia pulmonar cirúrgica.

Padrão 3. Opacidade pulmonar aumentada

Opacidade pulmonar aumentada pode ser descrita como opacidade em vidro fosco ou consolidação. A opacidade em vidro fosco (Figura 15) é uma opacidade pulmonar aumentada que não obscurece os vasos associados e representa anormalidades abaixo da resolução da TCAR. A consolidação (Figura 16) é uma opacidade pulmonar aumentada na qual os vasos são obscurecidos e representa uma doença confluente. Estes achados são muito inespecíficos e podem refletir doenças que são primariamente alveolares, intersticiais ou mistas. O diagnóstico diferencial entre opacidade em vidro fosco e consolidação muitas vezes é sobreposto e é predominantemente baseado pela duração dos sintomas: agudo ou crônico (Quadro 8). A distribuição dos achados (focal, segmentado ou difuso/simétrico) pode ser útil no estreitamento do diagnóstico diferencial (Quadro 9).














A consolidação parenquimatosa e a opacidade em vidro fosco são achados na TCAR que têm sido associados com doença pulmonar ativa ou reversível. Entretanto, a opacidade em vidro fosco pode também ser encontrada em casos nos quais a fibrose é a anormalidade predominante. A atenuação em vidro fosco pode somente ser considerada como indicativa da presença de doença potencialmente reversível se não houver achados de fibrose associados na mesma área. O diagnóstico diferencial de opacidades em vidro fosco e consolidação deve ser baseado no status imunológico do hospedeiro e na duração dos sintomas. A presença de doenças do tecido conjuntivo, inalantes ambientais e uso de drogas também devem ser considerados quando houver a presença de opacidade pulmonar difusa aumentada.

Opacidade aumentada

Correlações clínicas e histopatológicas

Edema pulmonar

A causa mais comum de transtornos pulmonares difusos agudos com opacidades em vidro fosco/consolidação é edema pulmonar. Em edema hidrostático, há geralmente uma combinação de espessamento dos septos e opacidades em vidro fosco. O tamanho do coração pode estar normal ou aumentado. O espessamento do interstício perihilar e peribroncovascular (espessamento peribrônquico) e fissuras são comuns. A distribuição vascular é balanceada ou invertida. Opacidades centrolobulares mal definidas e indistintas também podem ser visualizadas. O edema hidrostático tende a apresentar uma distribuição perihilar e gravitacional. No edema não-cardiogênico, o tamanho do coração está normal, a distribuição vascular é normal ou balanceada, e a distribuição do edema é segmentado ou periférico. O espessamento peribrônquico e linhas septais estão geralmente ausentes.(67)

Síndrome do desconforto respiratório agudo

A síndrome da angústia respiratória aguda (SARA) pode ser resultante de uma ampla variedade de lesões pulmonares, incluindo trauma, aspiração, sepse e pneumonia infecciosa.(68) A distribuição de anormalidades em TC são caracteristicamente bilaterais, dependentes de gravidade e acentuadas nas bases pulmonares. Quando a SARA é causada por doença pulmonar, tende a ser assimétrica com um misto de consolidação e opacidade em vidro fosco, ao passo que quando causada por doença extrapulmonar apresenta predominantemente opacidade em vidro fosco simétrica. Tanto edema hidrostático e SARA comumente apresentam derrame pleural e broncogramas aéreos. A bronquiectasia de tração em dano alveolar difuso (DAD) sugere que a doença está na fase proliferativa ou fibrótica.(69)

Infecções

Pneumonia bacteriana. A pneumonia bacteriana, especialmente quando causada por Streptococcus pneumoniae, Legionella, ou outros agentes incluindo micoplasmas, pode resultar em pneumonia fulminante, com SARA.

Pneumocystis jiroveci. Pneumocystis jiroveci sempre deve ser considerado. Alterações císticas acompanhadas de opacidades em vidro fosco difusas altamente sugerem esta infecção mas são encontradas em menos de um terço de todos os casos.

Pneumonia por citomegalovírus. A pneumonia por citomegalovírus pode levar à pneumonia intersticial e, em casos graves, DAD. O achado mais útil na diferenciação de causas infecciosas das não-infecciosas de doença pulmonar difusa aguda no hospedeiro normal é a presença de nódulos centrolobulares. Quando presentes em distribuição segmentada, estes sugerem doença infecciosa.(70)

Pneumonite de hipersensibilidade

Nódulos centrolobulares de opacidade em vidro fosco distribuídos difusa e profusamente através dos pulmões são característicos de PH. Em outros casos, áreas de atenuação em vidro fosco, nódulos centrolobulares e opacificações do espaço aéreo segmentados com micronódulos são visualizados. No estágio agudo, consolidação do espaço aéreo pode ser encontrada.(50)

Hemorragia alveolar difusa (HAD)

A HAD, definida como hemorragia ativa dentro do parênquima alveolar, produz opacidade pulmonar aumentada. Várias são as causas da HAD. O comprometimento renal deve sempre ser sugestivo de uma etiologia de vasculite ou de doença do tecido conjuntivo. Quando HAD ocorre como um fenômeno imunológico, é freqüentemente acompanhada de vasculite sistêmica e, em tais casos, estudos sorológicos são essenciais para o diagnóstico e gerenciamento.(71) Hemoptise pode estar ausente. A Figura 17 mostra uma amostra de biópsia pulmonar cirúrgica de um paciente com granulomatose de Wegener que apresentava hemoptise e opacidade em vidro fosco perihilar. Para se evitar confusão com hemorragia traumática causada pelo procedimento de biópsia, HAD nunca dever ser diagnosticada na ausência de siderófagos e fibrina, sinais de que a hemorragia é uma manifestação verdadeira da lesão imunológica (a causa da maioria dos casos de HAD). Embora possam ocorrer confusões com um paciente com hemorragia aguda associada às vias aéreas (tais como observadas na bronquiectasia), esta é quase sempre um fenômeno segmentar ou lobar, ao invés de difuso.



Pneumonia intersticial aguda (PIA)

A forma idiopática de DAD é definida clinicamente como PIA, que é a mesma entidade clinicopatológica idiopática descrita por Hamman e Rich em 4 pacientes.(72) Pacientes com PIA apresentam sintomas respiratórios progressivos e insuficiência respiratória que ocorrem no curso de dias a semanas. A doença se diferencia de outras formas de DAD pela ausência de uma causa identificável ou doença predisponente. O diagnóstico a ser descartado é o de infecção, e coloração específica para organismos (no mínimo, técnica de Grocott para fungos e pneumocistos) devem sempre ser realizadas, assim como em todos os casos de DAD. A biópsia mostra membranas hialinas alinhadas aos espaços alveolares, tipicamente com organização intersticial e de espaço aéreo quando a biópsia é realizada.(73)

Os achados em TC são tipicamente indistintos daqueles da SARA e incluem consolidação do espaço aéreo bilateral extensa e área segmentadas ou difusas de atenuação em vidro fosco. A bronquiectasia de tração é geralmente visível como uma manifestação tardia nas áreas de consolidação do espaço aéreo ou atenuação em vidro fosco. Alguns pacientes com FPI (ou outras pneumonias intersticiais) podem experimentar um curso precipitado, com períodos de deterioração aguda do status respiratório, associado a DAD e a outras manifestações de lesão aguda.(74) O baqueteamento digital está limitado aos pacientes com exacerbações agudas da doença pulmonar fibrótica de base e serve como um indício útil para diferenciá-los de pacientes com PIA.

Pneumonite causada por radiação

Manifestações pulmonares agudas podem ocorrer aproximadamente 8 semanas após o final de radioterapia com doses de 40 Gy ou mais. A irradiação torácica é uma causa relativamente incomum de opacidade pulmonar aumentada aguda.(75)

Doença pulmonar intersticial induzida por drogas

A doença pulmonar intersticial induzida por drogas (opacidade pulmonar aguda) pode ter várias manifestações histopatológicas, incluindo DAD, pneumonia eosinofílica, pneumonia em ­organização (PO) e. em casos raros, hemorragia pulmonar.(36,37) Além disso, um único medicamento pode causar reações histológicas diferentes em pacientes diversos. Evidenciou-se que DAD está associada com muitos agentes farmacológicos, especialmente entre estes estão os agentes quimioterapêuticos como a bleomicina.

Doença do tecido conjuntivo relacionada a doença pulmonar intersticial

Como as drogas, doenças auto-imunes sistêmicas podem produzir uma ampla variedade de padrões histopatológicos.(76) Em pacientes previamente ­diagnosticados com doença do tecido conjuntivo (DTC), DAD ou PO aguda podem ocorrer-ou a pneumonite pode representar a manifestação inicial da doença, especialmente em pacientes com lúpus eritematoso sistêmico, polimiosite e doença de Still do adulto.(77,78) Creatina fosfoquinase e ferritina séricas devem ser medidas a fim de avaliar estas duas últimas doenças.

Pneumonia eosinofílica aguda

A pneumonia eosinofílica aguda pode ocorrer em pacientes asmáticos mas também pode ser devido ao uso de medicamentos e drogas ilícitas ou até devido ao consumo elevado de cigarros. Descreveu-se uma forma idiopática.

Somente um terço dos pacientes apresentam uma contagem elevada de eosinófilos periféricos. O LBA mostra esosinófilos > 25%.(79) O tratamento do paciente com até uma dose única de corticosteróide antes da biópsia pode reduzir consideravelmente o número de eosinófilos no tecido e, portanto, complicar a avaliação diagnóstica.

Pneumonia em organização

A lesão pulmonar em organização, devido a qualquer causa, pode ser clinicamente aguda, resultando em uma apresentação de insuficiência respiratória.(80) A forma aguda não-infecciosa pode ser idiopática, associada a DTC, ou relacionada à toxicidade de drogas. Uma forma intermediária entre DAD e PO, denominada pneumonia fibrinosa aguda e em organização, é caracterizada por exsudatos alveolares fibrinosos profusos, embora sem membranas hialinas. Por definição, não ocorre infecção. A pneumonia fibrinosa aguda e em organização pode ser idiopática ou associada a uma condição de base ou concomitante, tais como a doença do colágeno vascular, reação a drogas e exposição ocupacional.

Gerenciamento clínico

As DIPDs não-infecciosas agudas geralmente apresentam sintomas que são consistentes com os de pneumonia.(81) Pacientes suspeitos de ter SARA na base da pneumonia e aqueles que têm SARA mas sem uma condição predisponente definida deveriam ser submetidos a LBA e, dependendo dos resultados, a uma biópsia pulmonar, para descartar uma das formas de DIPD não-infecciosas agudas A linfocitose (>25%) em líquido de LBA é a regra na PH. Uma predominância de neutrófilos no líquido de LBA sugere DAD ou infecção; sangue em amostras seqüenciais de LBA indica HAD, eosinofilia ou pneumonia eosinofílica aguda.

No cenário de doença pulmonar aguda, a infecção sempre encabeça a lista de diagnósticos diferenciais. Biópsias transbrônquicas, lavados brônquicos e LBA têm um papel crucial na avaliação clínica. Quando fibrina, membranas hialinas ou organização nos espaços alveolares são identificadas, o diagnóstico diferencial inclui infecção, toxicidade de drogas, DTC e PIA.(1) Coloração específica para infecções bacterianas, fúngicas e por micobactérias devem ser realizadas. Na ausência destes agentes, uma pesquisa cuidadosa de alterações citopáticas é recomendada, principalmente se o paciente for imunocomprometido e, em especial, se houver necrose. Nos casos de PH aguda, a biópsia pode revelar DAD com achados típicos de PH (granulomas e pneumonite celular).

As causas de DAD diagnosticadas através de biópsia pulmonar cirúrgica foram descritas em alguns estudos.(82,83) As causas mais comuns são infecções e PIA. Outras causas importantes são DTC, exacerbação de FPI e uso de drogas. As infecções são mais comuns em hospedeiros imunocomprometidos. Em pacientes selecionados com SARA clínica, a biópsia a céu aberto pode ser realizada com segurança, geralmente revelando um diagnóstico insuspeito e levando a mudanças na terapia.(82)

Consolidação crônica/opacidade em vidro fosco

O paciente previamente saudável que apresenta dispnéia crônica leve e opacidade em vidro fosco (ou consolidação difusa) deve ser investigado quanto a PH, PID, BR-DPI, PINE, PIA, PO, bronquiolite obliterante com pneumonia em organização, pneumonia eosinofílica crônica (PEC) e sarcoidose.(84) Raramente pacientes apresentam algumas das causas atípicas de consolidação crônica/opacidade em vidro fosco, tais como proteinose alveolar pulmonar (PAP), carcinoma broncoalveolar (CBA) e linfoma. Embora a opacidade em vidro fosco e a consolidação possam denotar doença intersticial ou alveolar,(85) a opacidade em vidro fosco é mais comumente encontrada em PH, PID, BR-DPI e PINE. A consolidação é principalmente encontrada em PO, PEC e CBA.

História de tabagismo pode ser um fator adicional importante nesta população. Pacientes com PID ou BR-DPI são quase que exclusivamente fumantes. Os achados em LBA neste grupo de doenças podem ser altamente específicos e podem diretamente confirmar um diagnóstico ou condição específicos, suplantando efetivamente a biópsia pulmonar. Doenças difusas apresentando opacidade pulmonar aumentada crônica e geralmente diagnosticadas através de LBA incluem proteinose alveolar, CBA e PEC. Além disso, a citologia de LBA de apoio combinada com aspectos clínicos e da TCAR é freqüentemente suficiente para o diagnóstico de PH (linfócitos, células plasmáticas e macrófagos espumosos) ou PO (celularidade mista e baixa razão CD4/CD8).(86)

Correlações clínicas e histopatológicas

Pneumonite de hipersensibilidade

Em hospedeiro normal não-fumante e sem insuficiência cardíaca, a causa mais comum de opacidade em vidro fosco é PH.(84) Na PH, a opacidade em vidro fosco indica doença subaguda. Com exposição relevante, um padrão de opacidade em vidro fosco associado a nódulos centrolobulares e aprisionamento aéreo lobular (o chamado padrão head-cheese ou terrine sign, Figura 18) fortemente sugere o diagnóstico.



Pneumonia intersticial não-específica

Foi demonstrado que DTC, PH, doença pulmonar induzida por drogas e SARA podem produzir um padrão histológico de PINE.(87) Entretanto, ainda é controverso se PINE é uma condição distinta de PIU. Além disso, a inclusão de faveolamento a partir de TCAR no algoritmo diagnóstico obscurece mais ainda esta distinção. Embora a resposta terapêutica e sobrevida são melhores em PINE do que em PIU, estudos recentes mostraram que as duas doenças podem ter pequenas diferenças na expressão genética.(88) Em outros casos, PINE pode exibir um perfil genético indistinto do de PH.(89) A opacidade em vidro fosco é comum na PINE, e quando acompanhada por bronquiectasia de tração ou reticulação irregular, PINE reflete a forma fibrótica da doença (PINE celular é muito rara). Neste ponto, dada a diversidade inerente das condições conhecidas por produzir o padrão de PINE na TCAR e na histopatologia, cuidado é aconselhável quando se tenta predizer o prognóstico de um dado paciente.

Formas crônicas de pneumonia em organização

Formas indolentes (smoldering) e crônicas de PO não-infecciosa podem produzir achados clínicos de dispnéia progressiva, febre baixa, sintomas constitucionais e consolidações pulmonares que não respondem ao tratamento padrão para pneumonia infecciosa. Muitas condições podem resultar em PO. Em um estudo conduzido na cidade de São Paulo, Brasil, envolvendo 95 pacientes, a PO era idiopática em um terço dos casos e secundária a uma causa identificável nos casos remanescentes.(90) As causas mais comuns eram: drogas (especialmente amiodarona e MTX), exposição ambiental (tal como as observadas em PH), aspiração crônica e DTC. Consolidações, centrais ou periféricas, foram encontradas em 64% dos casos; opacidade em vidro fosco, em 53%; e nódulos, em 26%. A biópsia transbrônquica foi diagnóstica em 58% dos casos.

Na pneumonia em organização criptogênica (POC), padrões típicos na TC consistem em consolidações parenquimatosas periféricas com broncogramas aéreos e opacidades em vidro fosco com associação variada.
As consolidações na POC sugerem o diagnóstico quando distribuições subpleurais e peribroncovasculares ocorrem ­conjuntamente ou quando as opacidades são migratórias.(91) O sinal em forma de atol ou halo reverso (uma opacidade em vidro fosco central cercada por um aro ou anel de consolidação) é encontrado na PO, mas também pode ser visualizado em outras condições, como PEC e paracoccidioidomicose.(92,93) Em um estudo, um padrão perilobular de anormalidades (opacidades curvilineares que tem maior espessura e, mais importante, menor definição do que aquelas encontradas em septos interlobulares espessados, e com uma aparência em forma de arcada ou poligonal) foi observado em mais da metade dos pacientes.(94)

O diagnóstico de PO é baseado na combinação dos achados clínicos, histológicos e de imagem.(95) Em casos de DTC, casos de exposição a drogas ou a antígenos ambientais, assim como em casos de aspiração, áreas localizadas de PO podem ser um achado patológico secundário.
Portanto, um diagnóstico de PO deve ser feito somente na presença de achados típicos na TCAR, ausência de achados indicativos de fibrose na TCAR e uma boa resposta a corticosteróides. Se estes critérios não forem atingidos, a biópsia pulmonar cirúrgica deve ser realizada.

Pneumonia intersticial aguda

A pneumonia intersticial aguda é tipicamente caracterizada pelo rápido desenvolvimento de dispnéia progressiva e tosse; em casos raros, sintomas respiratórios inferiores podem persistir por até 60 dias.(96)

Pneumonia intersticial linfocítica

A pneumonia intersticial linfocítica é geralmente associada à síndrome de Sjögren em adultos e à infecção por HIV em crianças.(97) Os achados mais comuns na TC são opacidade em vidro fosco difusa e consolidação; cistos de paredes finas podem também estar presentes, presumivelmente devido à bronquiolite folicular. A pneumonia intersticial linfóide, primeiramente descrita por Liebow, é definitivamente representada pelo linfoma de tecido linfóide associado à mucosa de células B de baixo grau (conhecido por MALToma) de pulmão. Deve-se lembrar que o aumento do tecido linfóide denso no pulmão é sempre considerado linfoma até que se prove o contrário. Pacientes com síndrome de Sjögren que apresentam fisiologia obstrutiva, assim como cistos ou nódulos centrolobulares na TCAR, mas que não apresentam opacidade em vidro fosco, podem ser diagnosticados com bronquiolite folicular sem a realização de biópsia a céu aberto. Em outros casos, uma biópsia cirúrgica deve ser realizada a fim de descartar-se linfoma.(98)

Linfomas pulmonares

Linfomas primários nos pulmões são raros. Um dos mais comuns é MALToma, que também é conhecido como "linfoma de células B de zona marginal extranodal". Estes linfomas pulmonares apresentam caracteristicamente morfologia indolente e de baixo grau e podem estar presentes em indivíduos saudáveis ou em pacientes com síndrome de Sjögren Linfomas de alto grau também podem ocorrer no pulmão, embora estes tendam a ser mais localizados nas imagens e são muito mais facilmente diagnosticados através da histopatologia. MALTomas de baixo grau podem ser difíceis ou impossíveis de serem distintos de hiperplasia linfóide benigna e pneumonia intersticial linfóide. Felizmente, a progressão da forma de baixo grau da doença é bem lenta.(99)

Sarcoidose

Em casos raros, a sarcoidose pode apresentar opacidade em vidro fosco ou consolidações. A freqüência de opacidade em vidro fosco reportada varia muito, e este achado é ocasionalmente a anormalidade predominante. A opacidade em vidro fosco é mais tipicamente multifocal que difusa.(100) A correlação patológica da opacidade em vidro fosco em pacientes com sarcoidose demonstra que granulomas conglomerados podem ocorrer, assim como fibrose delicada abaixo dos limites de resolução da TCAR.(101-103) Consolidações mimetizando PO são incomuns na sarcoidose.(104) A apresentação é aguda, e o prognóstico é excelente. Outros achados de sarcoidose e nódulos miliares na TC são também geralmente encontrados.

Pneumonia eosinofílica crônica

O acúmulo significativo de eosinófilos nos pulmões é característico de PEC. Sugeriu-se que uma contagem de células diferenciais maior que 40% de eosinófilos em líquido de LBA é diagnóstico de PEC.(105) Os sintomas são semelhantes àqueles encontrados na POC (febre, perda ponderal, suores noturnos, tosse e dispnéia), evoluindo em semanas ou meses. A asma antecipa o diagnóstico em 50% dos casos. De forma similar à POC, as consolidações podem ser migratórias. Na verdade, as duas doenças são difíceis ou impossíveis de ser distintas na TCAR,(106) e, em alguns casos, se sobrepõem em biópsias pulmonares. O diagnóstico de PEC é baseado em uma história de manifestação clínica insidiosa, aparência característica na radiografia torácica de infiltrados periféricos com opacidades transitórias e eosinofilia periférica. Neste cenário, a maioria dos autores não recomenda a biópsia pulmonar. A análise do LBA pode ser útil nos casos sem eosinofilia periférica.

Muitas condições podem resultar em doenças pulmonares eosinofílicas. Para um diagnóstico de PEC, é importante descartar causas conhecidas de eosinofilia pulmonar: um histórico e exame cuidadosos para excluir doenças sistêmicas (síndrome de Churg-Strauss, sarcoidose, etc.), assim como uma revisão cuidadosa do consumo de medicamentos concomitantes para descartar eosinofilia pulmonar induzida por drogas. O exame de fezes para a identificação de ovos e parasitas é importante.(105) Não é incomum o diagnóstico incorreto de pneumonia bacteriana ao invés de PEC. O indício chave de PEC é uma resposta rápida e dramática a corticosteróides orais.

Pneumonia lipóide exógena

A microaspiração prolongada de emulsões lipídicas pode produzir doença pulmonar com padrão distinto na TCAR, às vezes referido como padrão crazy-paving: consolidação com atenuação baixa e opacidades em vidro fosco. A forma crônica mais comum da doença é causada pela ingestão prolongada de laxantes com base em óleo mineral para o tratamento de obstipação.(107) O diagnóstico é sugerido pelo achado de lipídios livres ou lipídeos nos vacúolos das células alveolares no líquido de LBA. Se não confirmado, torna-se necessária a realização de biópsia transbrônquica ou cirúrgica. Em muitos casos, a causa é determinada em retrospecto, após o diagnóstico ter sido estabelecido através da biópsia pulmonar cirúrgica.

Carcinoma bronquioloalveolar

A definição de CBA é adenocarcinoma apresentando crescimento de células neoplásicas entre as estruturas alveolares (crescimento lepídico) sem evidências de invasão estromal, vascular ou pleural.(108) Há três subtipos de CBA: não-mucinoso, mucinoso e misto. O padrão de pneumonia é mais comum nos pacientes com o tipo mucinoso, e tais pacientes são geralmente diagnosticados erroneamente com pneumonia infecciosa. Achados radiográficos tais como opacidades em vidro fosco, consolidação não-resolutiva e nódulos satélite centrolobulares devido à disseminação broncogênica devem levantar a suspeita de CBA.(109) Classicamente, CBA demonstra um padrão de crescimento relativamente lento e um curso clínico indolente. Entretanto, em um subgrupo de pacientes, crescimento rápido e morte devido à doença consolidativa difusa bilateral ocorre meses após o diagnóstico. Pacientes com CBA difusa avançada podem apresentar broncorréia grave e hipoxemia refratária a shunts intrapulmonares.(110) O LBA geralmente revela a presença de células alveolares neoplásicas bem diferenciadas, embora este achado não seja suficiente para diferenciar CBA de um adenocarcinoma metastático ou invasivo.(111) É importante distinguir entre CBA e metástases de um tumor de cólon primário, que pode mimetizar a aparência histopatológica e até o imunofenótipo de CBA mucinoso.(112) Uma biópsia por agulha grossa ou um espécime cirúrgico é necessário para distinguir CBA de outras formas de adenocarcinoma pulmonar.

Proteinose alveolar pulmonar

O acúmulo de surfactante devido ao baixo catabolismo por macrófagos alveolares leva ao desenvolvimento de PAP. Isto ocorre principalmente devido a anticorpos contra o fator estimulante de colônia de macrófagos granulócitos (GM-CSF) e a resultante falta de maturação/diferenciação da linhagem de monócitos/macrófagos.(113) A radiografia de tórax pode revelar opacidade em vidro fosco ou consolidação assimétrica, geralmente com predominância perihilar. As imagens da TCAR têm a aparência de opacidades em vidro fosco no espaço aéreo geográfico com espessamento dos septos interlobulares resultando em padrão crazy-paving. Entretanto, este padrão não é específico para PAP e pode ser visto em CBA mucinoso, pneumonia lipóide exógena, sarcoidose, PINE, PO, pneumonia pneumocística e várias outras condições difusas agudas.(114) Entretanto, quando este padrão é extenso e simétrico em um paciente com sintomas crônicos, PAP é altamente sugerida. Os achados em LBA têm papel crucial no diagnóstico de PAP (o clássico efluente "leitoso" é considerado diagnóstico). Em casos idiopáticos, a determinação de anticorpos séricos contra GM-CSF (altos níveis indicam PAP) é uma forma não-invasiva de confirmar o diagnóstico.(113)

Padrão 4. Opacidade pulmonar diminuida

Várias anormalidades são associadas à atenuação anormalmente reduzida. Faveolamento e bronquiectasia são importantes para diferenciar atenuação anormalmente reduzida de outras anormalidades císticas. O enfisema é caracterizado pela destruição pulmonar que afeta diferentes porções do lóbulo pulmonar secundário e é classificado em três distribuições (Quadro 10; Figuras 19, 20 e 21).







Doenças císticas

Doenças pulmonares císticas primárias são raras e devem ser diferenciadas de outras mais comuns que produzem atenuação anormal (baixa). O Quadro 11 lista aspectos e diagnóstico diferencial de cistos pulmonares.



Cistos pulmonares são lesões geralmente arredondadas, circunscritas e bem definidas com parede fina (geralmente < 3 mm de espessura) .(115) Uma causa freqüente de alterações pulmonares císticas localizadas é fibrose avançada que origina faveolamento. Estes cistos podem ter um diâmetro variando de vários milímetros a vários centímetros. Esta parede é compartilhada por cistos adjacentes, um achado não encontrado em outras doenças císticas pulmonares.(115) Algumas doenças podem mimetizar doenças pulmonares císticas na TC. As duas causas potenciais de confusão mais comuns são a bronquiectasia cística e o enfisema (ver abaixo), embora outras condições possam ser associadas a cistos.

Bronquiectasia cística

Quando difusa, a bronquiectasia cística pode mimetizar doença pulmonar cística na TCAR. Entretanto, a diferenciação entre as duas entidades é geralmente possível quando um ramo da artéria pulmonar acompanhante produzindo um sinal em forma de anel é visualizado, assim como quando, observando os cortes adjacentes da TC e as imagens em outra fase de reconstrução, estes mostram um caráter tubular da anormalidade.

Enfisema

Em geral, o enfisema tem três formas principais de apresentação: centrolobular, no qual múltiplas atenuações baixas centrolobulares, pequenas e com ou sem paredes ocasionalmente visíveis predominam nas zonas pulmonares superiores (Figura 19).


O enfisema paraseptal (Figura 20) pode ocasionalmente simular alterações em favo de mel no pulmão. Alterações enfisematosas paraseptais estão geralmente numa camada profunda da porção subpleural do pulmão, ao passo que a alteração em favo de mel é tipicamente visualizada como um empilhamento de duas ou mais camadas de espaços císticos pequenos com paredes espessas ao longo da periferia pulmonar. No enfisema centrolobular, raramente há uma parede no cisto, e vasos podem ser visualizados acompanhando os espaços aéreos císticos, embora possa haver fibrose nos espaços do enfisema centrolobular, com um aspecto de cisto pulmonar resultante.



O enfisema panlobular predomina nas bases pulmonares. No enfisema panlobular, há uma redução geral da atenuação pulmonar (Figura 21).



Bronquiolite respiratória associada à doença pulmonar intersticial

A definição de BR-DPI é uma doença pulmonar intersticial relacionada ao tabagismo na qual os cistos podem ser resultantes de bronquiolite ou de enfisema centroacinar associado. A interpretação da TCAR pode ser mais complicada quando forem presentes enfisema e BR-DPI nos lobos superiores e fibrose nas bases pulmonares, onde faveolamento também pode estar presente. Em tais casos, a espirometria pode ser normal, mas a DLCO e troca gasosa estão gravemente comprometidas.(118)

Histiocitose de células de Langerhans

Os achados em TC na HCL dependem do estágio da doença e da proporção entre nódulos e cistos.(119) Independentemente do estágio da doença, há relativa preservação das bases pulmonares em comparação com as partes superiores. Inicialmente, os achados em TC consistem predominantemente em padrão nodular com lesões de 1 a 10 mm de diâmetro e com bordas irregulares típicas. Alguns nódulos podem apresentar cavitação (Figura 22).
Com o avanço da doença, os cistos tornam-se o achado predominante. No estágio terminal da doença, os cistos podem ser o único achado, sem nódulos remanescentes. A combinação de cistos e nódulos, que preservam as bases pulmonares, em homens não-fumantes, é suficiente para um diagnóstico confiável de HCL.(120) Em fumantes do sexo feminino, linfangioleiomiomatose (LAM) deve ser considerada, visto que nódulos (e cistos) podem também estar presentes.(121) As células de Langerhans podem ser identificadas no líquido de LBA, embora a sensibilidade e especificidade deste teste sejam muito baixas. O diagnóstico definitivo de HCL requer a identificação de lesões de células de Langerhans, as quais geralmente são obtidas através de biópsia pulmonar em sítio selecionado com base na TCAR de tórax. Na prática, entretanto, a biópsia pulmonar é realizada caso a caso.(122) Em biópsias pulmonares cirúrgicas, a presença de cicatrizes estreladas pode ser a única indicação para o diagnóstico. Neste estágio da doença, as lesões contêm poucas células de Langerhans.



Linfangioleiomiomatose

Pacientes apresentando uma proliferação anormal de células de músculo liso atípicas nos pulmões, rins, vasos linfáticos ou em quaisquer combinações de sítios podem ser considerados como candidatos ao diagnóstico de LAM. A doença pode ocorrer esporadicamente ou associada ao complexo da esclerose tuberosa. Nos dois casos, LAM é vista somente em mulheres adultas, geralmente apresentando LAM após a menopausa. O padrão ouro para o diagnóstico de LAM é uma biópsia do tecido pulmonar ou dos vasos linfáticos envolvidos, com infiltração nodular por células de músculo liso anormais, chamadas de células LAM. A análise imunohistoquímica mostra que estas células de músculo liso peculiares e distintas são positivas para os marcadores de melanoma HMB45 e MART-1, assim como para receptores de estrógeno/progesterona, actina muscular lisa e desmina.

Na TCAR, evidenciam-se múltiplos cistos de paredes finas espalhados por todos os campos pulmonares em distribuição irregular, com áreas de parênquima pulmonar normal (Figura 23). Quando a aparência pulmonar for clássica e a paciente também apresentar outras manifestações típicas de LAM, é necessária uma biópsia de tecido para o diagnóstico.(122) Nos casos que requerem biópsia para o diagnóstico, a biópsia pulmonar cirúrgica pode mostrar uma extensão extremamente variável da doença, variando entre cistos de paredes finas com células LAM em suas paredes (Figuras 24 e 25) e hemorragia crônica predominante que pode obscurecer os achados diagnósticos. Uma proliferação benigna de células epiteliais pode também estar presentes em pacientes com LAM que tenham o complexo da esclerose tuberosa. Tais lesões são conhecidas como "hiperplasia pneumocítica micronodular" e não são coradas com os marcadores de células LAM listados acima.








Neurofibromatose tipo 1

Em casos de neurofibromatose tipo 1, a TCAR revela opacidades em vidro fosco, opacidades reticulares bibasais, bulas e cistos, assim como enfisema, nos lobos superiores.(123)

Outras doenças pulmonares intersticiais com cistos

Cistos podem ocorrem em várias DIPDs, incluindo PH crônica, sarcoidose crônica, pneumonia intersticial linfóide, PID e BR-DPI.(120,124,125) Em um estudo de acurácia diagnóstica através da TCAR em doenças pulmonares císticas crônicas,(120) um diagnóstico confiável foi obtido por dois radiologistas em aproximadamente metade dos casos.(1) Naquele estudo, o diagnóstico foi correto em aproximadamente 90% dos casos em que o diagnóstico era de PID/BR-DPI, pneumonia intersticial linfóide, LAM e HCL, e em 100% dos casos de PIU.

A perfusão em mosaico (Figura 18) representa regiões de atenuação pulmonar diminuída devido a uma redução do fluxo sanguíneo. Isto pode ser o resultado de doenças bronquiolares ou vasculares. Quando o pulmão parece heterogêneo, é importante discernir quais regiões são anormais: atenuação baixa ou alta. A densidade pulmonar é geralmente um fator de confusão quando se tenta diferenciar perfusão em mosaico (atenuação baixa) de opacidade em vidro fosco (atenuação alta). O Quadro 12 apresenta os aspectos úteis nesta diferenciação.

A perfusão em mosaico pode ser vista em qualquer doença bronquiolar ou vascular e, por isso, o diferencial é muito amplo. Quando este fenômeno é resultante de doença vascular, os achados na TCAR mimetizam aqueles vistos em pacientes com doença infiltrativa no escaneamento da inspiração; porém, no escaneamento da expiração, o aprisionamento aéreo não deve ser um aspecto dominante na doença vascular. Infelizmente, a doença vascular pode ser difícil de ser identificada corretamente através da TCAR e pode facilmente ser confundida com doença pulmonar infiltrativa ou doença das vias aéreas.(127) Evidências funcionais de obstrução das vias aéreas ou volume residual elevado podem ser úteis em tais casos.

O aprisionamento aéreo é um sinal indireto de doença obstrutiva das pequenas vias aéreas e pode ser identificado pela presença de atenuação em mosaico na TC inspiratória que é acentuada com imagens expiratórias. Embora o aprisionamento aéreo seja facilmente detectado quando focal pois produz atenuação em mosaico, pode ser difícil detectá-lo quando difuso.

Como o aprisionamento aéreo geralmente se torna aparente somente em imagens expiratórias, o escaneamento expiratório é uma parte essencial da avaliação de bronquiolite por TC. Entretanto, a interpretação da TC expiratória é complicada pelo conhecimento de que a prevalência de aprisionamento aéreo em indivíduos saudáveis pode ser substancial. O achado de aprisionamento aéreo na TC deve ser ignorado na ausência de evidência fisiológica de volume residual elevado (por pletismografia), obstrução das vias aéreas ou dispnéia.(128) Se a perfusão em mosaico é visualizada na ausência de quaisquer outras anormalidades (por ex., bronquiectasia, padrão de árvore em brotamento e outros sinais de êmbolos pulmonares crônicos), o diagnóstico diferencial é mais focado e inclui as doenças listadas abaixo.

Asma e bronquiolite crônica

Não-fumantes com obstrução persistente das vias aéreas e diagnóstico de asma ou DPOC podem ter bronquiolite crônica associada. Na ausência de eosinófilos aumentados em escarro e falta de resposta a tratamentos-padrão para asma, tais pacientes devem ser avaliados com TCAR expiratória. Aqueles com aprisionamento aéreo significativo devem ser considerados para biópsia pulmonar cirúrgica para uma identificação melhor da doença de base.(129)

Com exceção do observado em pacientes transplantados, as formas mais comuns de bronquiolite resultando em atenuação em mosaico isolada em DIDP clínico são as seguintes:

a) distúrbios do tecido conjuntivo (especialmente artrite reumatóide)
b) infecções virais ou por micoplasma prévias
c) PH crônica
d) bronquiolite constritiva criptogênica e hiperplasia de células neuroendócrinas pulmonares

Bronquiolite constritiva

Define-se como bronquiolite constritiva criptogênica o dano permanente às pequenas vias aéreas, sem causa identificável.(130) Este distúrbio é raro e ocorre principalmente em mulheres. A bronquiolite constritiva criptogênica tende a ser progressiva e pouco responde à terapia com corticosteróides mas pode responder a agentes imunossupressores. A limitação progressiva ao fluxo aéreo pode resultar em falência respiratória e morte. A patologia é em geral discreta e geralmente baseada no reconhecimento da perda bronquiolar (que pode ser difícil de quantificar), tipicamente acompanhada por bronquíolos dilatados com paredes finas e esparsos além de estase mucóide nos lúmens das vias aéreas.

Pneumonite de hipersensibilidade

Pacientes com PH podem apresentar um padrão isolado em mosaico devido à doença subaguda (bronquiolite celular com células gigantes ou granulomas) ou crônica, com bronquiolite fibrótica.(16,131) A possibilidade de exposição ambiental deve ser cuidadosamente investigada.

Hiperplasia de células neuroendócrinas pulmonares difusas

A hiperplasia de células neuroendócrinas pulmonares difusas é uma condição muito rara e pouco conhecida, caracterizada por perfusão em mosaico devido a aprisionamento aéreo, espessamento de parede das vias aéreas e nódulos pequenos ocasionais na TCAR.(132) Os número de células neuroendócrinas está aumentado ao redor das pequenas vias aéreas e entre o seu epitélio. A doença primariamente afeta mulheres de meia-idade e se manifesta como uma obstrução das vias aéreas inexplicada (visto que a doença afeta tipicamente não-fumantes).

Correlações clínicas e histopatológicas

A perfusão em mosaico pode ser vista em quaisquer doenças bronquiolares ou vasculares, e o diagnóstico diferencial é, portanto, muito amplo. Em alguns casos, é difícil diferenciar tais doenças de doença infiltrativa. Entretanto, baseado nos aspectos diferenciais listados no Quadro 12, um diagnóstico confiável pode ser geralmente atingido. O aprisionamento aéreo a partir de TC expiratória, que não é visualizado em doença vascular, pode confirmar o diagnóstico de doença das vias aéreas.(133) Evidências funcionais da obstrução ao fluxo aéreo ou volume residual elevado podem ser muito úteis em casos difíceis.



A bronquiolite obliterante é um achado comum em pacientes com bronquiectasias por quaisquer causas.(134) Como um achado microscópico isolado, é etiologicamente inespecífica e deve ser interpretada no contexto da apresentação clínica e aspectos radiográficos. Em outras palavras, processos de doença clinicamente distintos podem exibir padrões histologicamente sobrepostos de bronquiolite Apesar dos achados morfologicamente inespecíficos, em muitos casos certas formas de bronquiolite são histologicamente distintas; estas tendem a ocorrem em contextos clínicos característicos. Lesões tais como bronquiolite constritiva e panbronquiolite difusa são exemplos. Entretanto, mesmo estes padrões microscópicos não têm significância diagnóstica a menos que correlacionados com aspectos clínicos e radiográficos.(135)

Sinal "headcheese" ou "terrine"

A combinação de opacidade em vidro fosco e perfusão em mosaico no mesmo paciente é denominada de sinal headcheese ou terrine (Quadro 13; Figuras 26 e 27). Isto dá ao pulmão uma aparência heterogênea com três densidades pulmonares: atenuação alta (opacidade em vidro fosco); normal; e atenuação baixa (perfusão em mosaico). Visto que é tipicamente devido a PH, este achado é muito útil.(136)







Considerações finais

Visto que a TCAR é a técnica de imagem radiológica que mais de perto reflete as alterações na estrutura pulmonar, este é o método de escolha para o estudo diagnóstico de pacientes com DIPD ou com suspeita de DIPD. Embora um achado único na TCAR é geralmente inespecífico, a combinação de vários achados combinados com sua distribuição anatômica pode sugerir o diagnóstico mais provável.

Referências

1. Leslie KO. Pathology of interstitial lung disease. Clin Chest Med. 2004;25(4):657-703, vi.

2. Chinnaiyan KM, Alexander D, Maddens M, McCullough PA. Curriculum in cardiology: integrated diagnosis and management of diastolic heart failure. Am Heart J. 2007;153(2):189-200.

3. Bruce DM, Heys SD, Eremin O. Lymphangitis carcinomatosa: a literature review. J R Coll Surg Edinb. 1996;41(1):7-13.

4. Heitzman ER, Markarian B, Raasch BN, Carsky EW, Lane EJ, Berlow ME. Pathways of tumor spread through the lung: radiologic correlations with anatomy and pathology. Radiology. 1982;144(1):3-14.

5. Levy H, Horak DA, Lewis MI. The value of bronchial washings and bronchoalveolar lavage in the diagnosis of lymphangitic carcinomatosis. Chest. 1988;94(5):1028-30.

6. Ma Y, Gal A, Koss MN. The pathology of pulmonary sarcoidosis: update. Semin Diagn Pathol. 2007;24(3):150-61.

7. Miller BH, Rosado-de-Christenson ML, McAdams HP, Fishback NF. Thoracic sarcoidosis: radiologic-pathologic correlation. Radiographics. 1995;15(2):421-37. Erratum in: Radiographics. 1997;17(6):1610.

8. Kong PM, Pinheiro L, Kaw G, Sittampalam K, Teo CH. Erdheim-Chester disease: a rare cause of interstitial lung disease. Singapore Med J. 2007;48(2):e57-9.

9. Koss MN. Malignant and benign lymphoid lesions of the lung. Ann Diagn Pathol. 2004;8(3):167-87.

10. American Thoracic Society. Idiopathic pulmonary fibrosis: diagnosis and treatment. International consensus statement. American Thoracic Society (ATS), and the European Respiratory Society (ERS). Am J Respir Crit Care Med. 2000;161(2 Pt 1):646-64.

11. Lynch DA. Fibrotic idiopathic interstitial pneumonia: high-resolution computed tomography considerations. Semin Respir Crit Care Med. 2003;24(4):365-76.

12. Collard HR, Loyd JE, King TE Jr, Lancaster LH. Current diagnosis and management of idiopathic pulmonary fibrosis: a survey of academic physicians. Respir Med. 2007;101(9):2011-6.

13. Pereira CA, Malheiros T, Coletta EM, Ferreira RG, Rubin AS, Otta JS, et al. Survival in idiopathic pulmonary fibrosis-cytotoxic agents compared to corticosteroids. Respir Med. 2006;100(2):340-7.

14. Hunninghake GW, Zimmerman MB, Schwartz DA, King TE Jr, Lynch J, Hegele R, et al. Utility of a lung biopsy for the diagnosis of idiopathic pulmonary fibrosis. Am J Respir Crit Care Med. 2001;164(2):193-6.

15. Bagatin E, Pereira CA, Afiune JB. Granulomatous diseases of occupational etiology. J Bras Pneumol. 2006;32(Suppl 2):S69-S84.

16. Lima MS. Pneumonite de hipersensibilidade subaguda e crônica: características clínicas, funcionais, tomográficas e histológicas e correlações com a sobrevida. [thesis]. São Paulo: Universidade Federal de São Paulo; 2007.

17. Lynch DA, Newell JD, Logan PM, King TE Jr, Müller NL. Can CT distinguish hypersensitivity pneumonitis from idiopathic pulmonary fibrosis? AJR Am J Roentgenol. 1995;165(4):807-11.

18. Silva CI, Müller NL, Lynch DA, Curran-Everett D, Brown KK, Lee KS, et al. Chronic hypersensitivity pneumonitis: differentiation from idiopathic pulmonary fibrosis and nonspecific interstitial pneumonia by using thin-section CT. Radiology. 2008;246(1):288-97.

19. Lacasse Y, Selman M, Costabel U, Dalphin JC, Ando M, Morell F, et al. Clinical diagnosis of hypersensitivity pneumonitis. Am J Respir Crit Care Med. 2003;168(8):952-8.

20. Abehsera M, Valeyre D, Grenier P, Jaillet H, Battesti JP, Brauner MW. Sarcoidosis with pulmonary fibrosis: CT patterns and correlation with pulmonary function. AJR Am J Roentgenol. 2000;174(6):1751-7.

21. Primack SL, Hartman TE, Hansell DM, Müller NL. End-stage lung disease: CT findings in 61 patients. Radiology. 1993;189(3):681-6.

22. Katzenstein AL, Fiorelli RF. Nonspecific interstitial pneumonia/fibrosis. Histologic features and clinical significance. Am J Surg Pathol. 1994;18(2):136-47.

23. Liebow, AA Carrington, CB: The interstitial pneumonias. In: Simon M, Potchen EJ, Le May M. Frontiers of pulmonary radiology: pathophysiologic, roentgenographic and radioisotopic considerations; proceedings of the symposium sponsored by Harvard Medical School, April 21-22, 1967. New York: Grune & Stratton; 1969. p. 102-141.

24. Flaherty KR, Martinez FJ. Nonspecific interstitial pneumonia. Semin Respir Crit Care Med. 2006;27(6):652-8.

25. Kinder BW, Collard HR, Koth L, Daikh DI, Wolters PJ, Elicker B, et al. Idiopathic nonspecific interstitial pneumonia: lung manifestation of undifferentiated connective tissue disease? Am J Respir Crit Care Med. 2007;176(7):691-7.

26. Vourlekis JS, Schwarz MI, Cool CD, Tuder RM, King TE, Brown KK. Nonspecific interstitial pneumonitis as the sole histologic expression of hypersensitivity pneumonitis. Am J Med. 2002;112(6):490-3.

27. Hartman TE, Swensen SJ, Hansell DM, Colby TV, Myers JL, Tazelaar HD, et al. Nonspecific interstitial pneumonia: variable appearance at high-resolution chest CT. Radiology. 2000;217(3):701-5. Erratum in: Radiology. 2001;218(2):606.

28. Travis WD, Matsui K, Moss J, Ferrans VJ. Idiopathic nonspecific interstitial pneumonia: prognostic significance of cellular and fibrosing patterns: survival comparison with usual interstitial pneumonia and desquamative interstitial pneumonia. Am J Surg Pathol. 2000;24(1):19-33.

29. MacDonald SL, Rubens MB, Hansell DM, Copley SJ, Desai SR, du Bois RM, et al. Nonspecific interstitial pneumonia and usual interstitial pneumonia: comparative appearances at and diagnostic accuracy of thin-section CT. Radiology. 2001;221(3):600-5.

30. Johkoh T, Müller NL, Cartier Y, Kavanagh PV, Hartman TE, Akira M, et al. Idiopathic interstitial pneumonias: diagnostic accuracy of thin-section CT in 129 patients. Radiology. 1999;211(2):555-60.

31. Lynch DA, Travis WD, Müller NL, Galvin JR, Hansell DM, Grenier PA, et al. Idiopathic interstitial pneumonias: CT features. Radiology. 2005;236(1):10-21.

32. Johkoh T, Müller NL, Colby TV, Ichikado K, Taniguchi H, Kondoh Y, et al. Nonspecific interstitial pneumonia: correlation between thin-section CT findings and pathologic subgroups in 55 patients. Radiology. 2002;225(1):199-204.

33. Kim TS, Lee KS, Chung MP, Han J, Park JS, Hwang JH, et al. Nonspecific interstitial pneumonia with fibrosis: high-resolution CT and pathologic findings. AJR Am J Roentgenol. 1998;171(6):1645-50.

34. Elliot TL, Lynch DA, Newell JD Jr, Cool C, Tuder R, Markopoulou K, et al. High-resolution computed tomography features of nonspecific interstitial pneumonia and usual interstitial pneumonia. J Comput Assist Tomogr. 2005;29(3):339-45.

35. Sumikawa H, Johkoh T, Ichikado K, Taniguchi H, Kondoh Y, Fujimoto K, et al. Usual interstitial pneumonia and chronic idiopathic interstitial pneumonia: analysis of CT appearance in 92 patients. Radiology. 2006;241(1):258-66.

36. Silva CI, Müller NL. Drug-induced lung diseases: most common reaction patterns and corresponding high-resolution CT manifestations. Semin Ultrasound CT MR. 2006;27(2):111-6.

37. Myers JL, Limper AH, Swensen SJ. Drug-induced lung disease: a pragmatic classification incorporating HRCT appearances. Semin Respir Crit Care Med. 2003;24(4):445-54.

38. Copley SJ, Wells AU, Sivakumaran P, Rubens MB, Lee YC, Desai SR, et al. Asbestosis and idiopathic pulmonary fibrosis: comparison of thin-section CT features. Radiology. 2003;229(3):731-6.

39. American Thoracic Society. Medical Section of the American Lung Association: The diagnosis of nonmalignant diseases related to asbestos. Am Rev Respir Dis. 1986;134(2):363-8.

40. Vathesatogkit P, Harkin TJ, Addrizzo-Harris DJ, Bodkin M, Crane M, Rom WN. Clinical correlation of asbestos bodies in BAL fluid. Chest. 2004;126(3):966-71.

41. Leslie KO, Gruden JF, Parish JM, Scholand MB. Transbronchial biopsy interpretation in the patient with diffuse parenchymal lung disease. Arch Pathol Lab Med. 2007;131(3):407-23.

42. Drent M, Mansour K, Linssen C. Bronchoalveolar lavage in sarcoidosis. Semin Respir Crit Care Med. 2007;28(5):486-95.

43. De Capitani EM. Silicosis (still) among us. J Bras Pneumol. 2006;32(6):xxxiii-xxxv.

44. Abbondanzo SL, Rush W, Bijwaard KE, Koss MN. Nodular lymphoid hyperplasia of the lung: a clinicopathologic study of 14 cases. Am J Surg Pathol. 2000;24(4):587-97.

45. Nicholson AG. Lymphocytic interstitial pneumonia and other lymphoproliferative disorders in the lung. Semin Respir Crit Care Med. 2001;22(4):409-22.

46.Lachmann HJ, Hawkins PN. Amyloidosis and the lung. Chron Respir Dis. 2006;3(4):203-14.

47. Lee KS, Kim TS, Han J, Hwang JH, Yoon JH, Kim Y, et al. Diffuse micronodular lung disease: HRCT and pathologic findings. J Comput Assist Tomogr. 1999;23(1):99-106.

48. Maartens G, Willcox PA, Benatar SR. Miliary tuberculosis: rapid diagnosis, hematologic abnormalities, and outcome in 109 treated adults. Am J Med. 1990;89(3):291-6.

49. Iseman MD. Extrapulmonary tuberculosis in adults. In: Iseman MD, editor. A Clinician's guide to tuberculosis. Philadelphia: Lippincott Williams & Wilkins; 2000. p 145-197.

50. Zompatori M, Calabrò E, Poletti V, Rabaiotti E, Piazza N, Viani S. Hypersensitivity pneumonitis. High resolution CT findings with pathological correlations. A pictorial essay. Radiol Med (Torino). 2003;106(1-2):44-50.

51. Wells AU, Nicholson AG, Hansell DM. Challenges in pulmonary fibrosis. 4: smoking-induced diffuse interstitial lung diseases. Thorax. 2007;62(10):904-10.

52. Vassallo R, Limper AH. Pulmonary Langerhans' cell histiocytosis. Semin Respir Crit Care Med. 2002;23(2):93-101.

53. Aerni MR, Vassallo R, Myers JL, Lindell RM, Ryu JH. Follicular bronchiolitis in surgical lung biopsies: clinical implications in 12 patients. Respir Med. 2008;102(2):307-12.

54. Howling SJ, Hansell DM, Wells AU, Nicholson AG, Flint JD, Müller NL. Follicular bronchiolitis: thin-section CT and histologic findings. Radiology. 1999;212(3):637-42.

55. Rossi SE, Franquet T, Volpacchio M, Giménez A, Aguilar G. Tree-in-bud pattern at thin-section CT of the lungs: radiologic-pathologic overview. Radiographics. 2005;25(3):789-801.

56. Penn CC, Liu C. Bronchiolitis following infection in adults and children. Clin Chest Med. 1993;14(4):645-54.

57. Chan ED, Kalayanamit T, Lynch DA, Tuder R, Arndt P, Winn R, et al. Mycoplasma pneumoniae-associated bronchiolitis causing severe restrictive lung disease in adults: report of three cases and literature review. Chest. 1999;115(4):1188-94.

58. Hatipoğlu ON, Osma E, Manisali M, Uçan ES, Balci P, Akkoçlu A, et al. High resolution computed tomographic findings in pulmonary tuberculosis. Thorax. 1996;51(4):397-402.

59. Levin DL. Radiology of pulmonary Mycobacterium avium-intracellulare complex. Clin Chest Med. 2002;23(3):603-12.

60. Aquino SL, Gamsu G, Webb WR, Kee ST. Tree-in-bud pattern: frequency and significance on thin section CT. J Comput Assist Tomogr. 1996;20(4):594-9

61. Martinez JA, Guimarães SM, Ferreira RG, Pereira CA. Diffuse pan
bronchiolitis in Latin America. Am J Med Sci. 2000;319(3):183-5.

62. Souza R, Kairalla RA, Santos Ud Ude P, Takagaki TY, Capelozzi VL, Carvalho CR. Diffuse panbronchiolitis: an underdiagnosed disease? Study of 4 cases in Brazil. Rev Hosp Clin Fac Med Sao Paulo. 2002;57(4):167-74.

63. Fitzgerald JE, King TE Jr, Lynch DA, Tuder RM, Schwarz MI. Diffuse panbronchiolitis in the United States. Am J Respir Crit Care Med. 1996;154(2 Pt 1):497-503.

64. Iwata M, Colby TV, Kitaichi M. Diffuse panbronchiolitis: diagnosis and distinction from various pulmonary diseases with centrilobular interstitial foam cell accumulations. Hum Pathol. 1994;25(4):357-63.

65. Barnes TW, Vassallo R, Tazelaar HD, Hartman TE, Ryu JH. Diffuse bronchiolar disease due to chronic occult aspiration. Mayo Clin Proc. 2006;81(2):172-6.

66. Poletti V, Costabel U. Bronchiolar disorders: classification and diagnostic approach. Semin Respir Crit Care Med. 2003;24(5):457-64.

67. Ware LB, Matthay MA. Clinical practice. Acute pulmonary edema. N Engl J Med. 2005;353(26):2788-96.

68. Avecillas JF, Freire AX, Arroliga AC. Clinical epidemiology of acute lung injury and acute respiratory distress syndrome: incidence, diagnosis, and outcomes. Clin Chest Med. 2006;27(4):549-57; abstract vii.

69. Johkoh T, Müller NL, Taniguchi H, Kondoh Y, Akira M, Ichikado K, et al. Acute interstitial pneumonia: thin-section CT findings in 36 patients. Radiology. 1999;211(3):859-63.

70. Tomiyama N, Müller NL, Johkoh T, Honda O, Mihara N, Kozuka T, et al. Acute parenchymal lung disease in immunocompetent patients: diagnostic accuracy of high-resolution CT. AJR Am J Roentgenol. 2000;174(6):1745-50.

71. Manganelli P, Fietta P, Carotti M, Pesci A, Salaffi F. Respiratory system involvement in systemic vasculitides. Clin Exp Rheumatol. 2006;24(2 Suppl 41):S48-59.

72. Olson J, Colby TV, Elliott CG. Hamman-Rich syndrome revisited. Mayo Clin Proc. 1990;65(12):1538-48.

73. Pache JC, Christakos PG, Gannon DE, Mitchell JJ, Low RB, Leslie KO. Myofibroblasts in diffuse alveolar damage of the lung. Mod Pathol. 1998;11(11):1064-70.

74. Collard HR, Moore BB, Flaherty KR, Brown KK, Kaner RJ, King TE Jr, et al. Acute exacerbations of idiopathic pulmonary fibrosis. Am J Respir Crit Care Med. 2007;176(7):636-43.

75. Abratt RP, Morgan GW, Silvestri G, Willcox P. Pulmonary complications of radiation therapy. Clin Chest Med. 2004;25(1):167-77.

76. Leslie KO, Trahan S, Gruden J. Pulmonary pathology of the rheumatic diseases. Semin Respir Crit Care Med. 2007;28(4):369-78.

77. Won Huh J, Soon Kim D, Keun Lee C, Yoo B, Bum Seo J, Kitaichi M, et al. Two distinct clinical types of interstitial lung disease associated with polymyositis-dermatomyositis. Respir Med. 2007;101(8):1761-9.

78. Suleiman M, Wolfovitz E, Boulman N, Levy Y. Adult onset Still's disease as a cause of ARDS and acute respiratory failure. Scand J Rheumatol. 2002;31(3):181-3.

79. Vahid B, Marik PE. An 18-year-old woman with fever, diffuse pulmonary opacities, and rapid onset of respiratory failure: idiopathic acute eosinophilic pneumonia. Chest. 2006;130(6):1938-41.

80. Cohen AJ, King TE Jr, Downey GP. Rapidly progressive bronchiolitis obliterans with organizing pneumonia. Am J Respir Crit Care Med. 1994;149(6):1670-5.

81. Schwarz MI, Albert RK. "Imitators" of the ARDS: implications for diagnosis and treatment. Chest. 2004;125(4):1530-5.

82. Patel SR, Karmpaliotis D, Ayas NT, Mark EJ, Wain J, Thompson BT, et al. The role of open-lung biopsy in ARDS. Chest. 2004;125(1):197-202.

83. Parambil JG, Myers JL, Aubry MC, Ryu JH. Causes and prognosis of diffuse alveolar damage diagnosed on surgical lung biopsy. Chest. 2007;132(1):50-7.

84. Miller WT Jr, Shah RM. Isolated diffuse ground-glass opacity in thoracic CT: causes and clinical presentations. AJR Am J Roentgenol. 2005;184(2):613-22.

85. Battista G, Sassi C, Zompatori M, Palmarini D, Canini R. Ground-glass opacity: interpretation of high resolution CT findings. Radiol Med (Torino). 2003;106(5-6):425-42; quiz 443-4.

86. Costabel U, Guzman J, Bonella F, Oshimo S. Bronchoalveolar lavage in other interstitial lung diseases. Semin Respir Crit Care Med. 2007;28(5):514-24.

87. Maher TM, Wells AU, Laurent GJ. Idiopathic pulmonary fibrosis: multiple causes and multiple mechanisms? Eur Respir J. 2007;30(5):835-9.

88. Yang IV, Burch LH, Steele MP, Savov JD, Hollingsworth JW, McElvania-Tekippe E, et al. Gene expression profiling of familial and sporadic interstitial pneumonia. Am J Respir Crit Care Med. 2007;175(1):45-54.

89. Selman M, Pardo A, Barrera L, Estrada A, Watson SR, Wilson K, et al. Gene expression profiles distinguish idiopathic pulmonary fibrosis from hypersensitivity pneumonitis. Am J Respir Crit Care Med. 2006;173(2):188-98.

90. Galves Jr RR. Bronquiolite obliterante com pneumonia em organização-causas e achados diferenciais em 95 casos. [dissertation]. São Paulo: Universidade Federal de São Paulo, 2006.

91. Polverosi R, Maffesanti M, Dalpiaz G. Organizing pneumonia: typical and atypical HRCT patterns. Radiol Med (Torino). 2006;111(2):202-12.

92. Kim SJ, Lee KS, Ryu YH, Yoon YC, Choe KO, Kim TS, et al. Reversed halo sign on high-resolution CT of cryptogenic organizing pneumonia: diagnostic implications. AJR Am J Roentgenol. 2003;180(5):1251-4.

93. Gasparetto EL, Escuissato DL, Davaus T, de Cerqueira EM, Souza AS Jr, Marchiori E, et al. Reversed halo sign in pulmonary paracoccidioidomycosis. AJR Am J Roentgenol. 2005;184(6):1932-4.

94. Ujita M, Renzoni EA, Veeraraghavan S, Wells AU, Hansell DM. Organizing pneumonia: perilobular pattern at thin-section CT. Radiology. 2004;232(3):757-61.

95. Poletti V, Cazzato S, Minicuci N, Zompatori M, Burzi M, Schiattone ML. The diagnostic value of bronchoalveolar lavage and transbronchial lung biopsy in cryptogenic organizing pneumonia. Eur Respir J. 1996;9(12):2513-6.

96. Vourlekis JS. Acute interstitial pneumonia. Clin Chest Med. 2004;25(4):739-47, vii.

97. Papiris SA, Tsonis IA, Moutsopoulos HM. Sjögren's Syndrome. Semin Respir Crit Care Med. 2007;28(4):459-71.

98. Ishikawa CC, Ab'Saber AM, Parra ER, Lin CJ, Barbas CS, Capelozzi VL. [Immunophenotyping and gene rearrangement analysis in lymphoid/lymphoproliferative disorders of the lungs][Article in Portuguese]. J Bras Pneumol. 2007;33(6):625-34.

99. Cancellieri A, Dalpiaz G, Mafessanti M, Pesci A, Polverosi R, Zompatori M Mucosa-associated lymphatic tissue lymphoma In: Mafessanti M, Dalpiaz G, editors. Diffuse Lung Diseases. Millan: Springer; 2004. p. 168-171.

100. Nunes H, Brillet PY, Valeyre D, Brauner MW, Wells AU. Imaging in sarcoidosis. Semin Respir Crit Care Med. 2007;28(1):102-20.

101. Nishimura K, Itoh H, Kitaichi M, Nagai S, Izumi T. Pulmonary sarcoidosis: correlation of CT and histopathologic findings. Radiology. 1993;189(1):105-9. Erratum in: Radiology. 1994;190(3):907.

102. Leung AN, Miller RR, Müller NL. Parenchymal opacification in chronic infiltrative lung diseases: CT-pathologic correlation. Radiology. 1993;188(1):209-14.

103. Akira M, Kozuka T, Inoue Y, Sakatani M. Long-term follow-up CT scan evaluation in patients with pulmonary sarcoidosis. Chest. 2005;127(1):185-91.

104. Johkoh T, Ikezoe J, Takeuchi N, Kohno N, Tomiyama N, Akira M, et al. CT findings in "pseudoalveolar" sarcoidosis. J Comput Assist Tomogr. 1992;16(6):904-7.

105. Cottin V, Cordier JF. Eosinophilic pneumonias. Allergy. 2005;60(7):841-57.

106. Arakawa H, Kurihara Y, Niimi H, Nakajima Y, Johkoh T, Nakamura H. Bronchiolitis obliterans with organizing pneumonia versus chronic eosinophilic pneumonia: high-resolution CT findings in 81 patients. AJR Am J Roentgenol. 2001;176(4):1053-8.

107. de Albuquerque Filho AP. Exogenous lipoid pneumonia: importance of clinical history to the diagnosis. J Bras Pneumol. 2006;32(6):596-8.

108. Travis WD. Pathology and genetics of tumours of the lung, pleura, thymus, and heart. World Health Organization classification of tumours, 7. Lyon: IARC Press; 2004.

109. Gandara DR, Aberle D, Lau D, Jett J, Akhurst T, Heelan R, et al. Radiographic imaging of bronchioloalveolar carcinoma: screening, patterns of presentation and response assessment. J Thorac Oncol. 2006;1(9 Suppl):S20-6. Erratum in: J Thorac Oncol. 2007 Jan;2(1):11. Heelan, Robert [added].

110. Raz DJ, Kim JY, Jablons DM. Diagnosis and treatment of bronchioloalveolar carcinoma. Curr Opin Pulm Med. 2007;13(4):290-6.

111. Springmeyer SC, Hackman R, Carlson JJ, McClellan JE. Bronchiolo-alveolar cell carcinoma diagnosed by bronchoalveolar lavage. Chest. 1983;83(2):278-9.

112. Miyake H, Matsumoto A, Terada A, Yoshida S, Takaki H, Mori H. Mucin-producing tumor of the lung: CT findings. J Thorac Imaging. 1995;10(2):96-8.

113. Vancheeswaran R, Morgan C, Wells A. Pulmonary Alveolar Proteinosis: Investigation and Management-A Review. Clin Pulm Med. 14(6):360-364.

114. Rossi SE, Erasmus JJ, Volpacchio M, Franquet T, Castiglioni T, McAdams HP. "Crazy-paving" pattern at thin-section CT of the lungs: radiologic-pathologic overview. Radiographics. 2003;23(6):1509-19.

115. Webb WR, Müller NL, Naidich DP. Standardized terms for high-resolution computed tomography of the lung: a proposed glossary. J Thorac Imaging. 1993;8(3):167-75.

116. Scully RE, Mark EJ, McNeely WF, Ebeling SH, Phillips LD. Case records of the Massachusetts General Hospital. Weekly clinicopathological exercises. Case 20-1997. A 74-year-old man with progressive cough, dyspnea, and pleural thickening. N Engl J Med. 1997;336(26):1895-903.

117. Rodrigues SC, Rodrigues MM, Colleta EM, Rocha NS, Pereira CA. Respiratory bronchilitis-associated interstitial lung disease. J. Bras. Pneumol. 2004;30(6):574-580.

118. Cottin V, Nunes H, Brillet PY, Delaval P, Devouassoux G, Tillie-Leblond I, et al. Combined pulmonary fibrosis and emphysema: a distinct underrecognised entity. Eur Respir J. 2005;26(4):586-93.

119. Abbott GF, Rosado-de-Christenson ML, Franks TJ, Frazier AA, Galvin JR. From the archives of the AFIP: pulmonary Langerhans cell histiocytosis. Radiographics. 2004;24(3):821-41.

120. Koyama M, Johkoh T, Honda O, Tsubamoto M, Kozuka T, Tomiyama N, et al. Chronic cystic lung disease: diagnostic accuracy of high-resolution CT in 92 patients. AJR Am J Roentgenol. 2003;180(3):827-35.

121. Tazi A. Adult pulmonary Langerhans' cell histiocytosis. Eur Respir J. 2006;27(6):1272-85.

122. Johnson SR. Lymphangioleiomyomatosis. Eur Respir J. 2006;27(5):1056-65.

123. Zamora AC, Collard HR, Wolters PJ, Webb WR, King TE. Neurofibromatosis-associated lung disease: a case series and literature review. Eur Respir J. 2007;29(1):210-4.

124. Franquet T, Hansell DM, Senbanjo T, Remy-Jardin M, Müller NL. Lung cysts in subacute hypersensitivity pneumonitis. J Comput Assist Tomogr. 2003;27(4):475-8.

125. Nagashima O, Takahashi K, Suzuki T, Miura K, Sato K, Muramatsu M, et al. An elderly case of sarcoidosis with multiple pulmonary cysts [Article in Japanese]. Nihon Kokyuki Gakkai Zasshi. 2005;43(6):370-4.

126. Genereux GP. The end-stage lung: pathogenesis, pathology, and radiology. Radiology. 1975;116(02):279-89.

127. Worthy SA, Müller NL, Hartman TE, Swensen SJ, Padley SP, Hansell DM. Mosaic attenuation pattern on thin-section CT scans of the lung: differentiation among infiltrative lung, airway, and vascular diseases as a cause. Radiology. 1997;205(2):465-70.

128. Pipavath SJ, Lynch DA, Cool C, Brown KK, Newell JD. Radiologic and pathologic features of bronchiolitis. AJR Am J Roentgenol. 2005;185(2):354-63.

129. Ghanei M, Tazelaar HD, Harandi A, Peyman M, Hoseini Akbari HM, Aslani J. Clinical differentiation between resistant asthma and chronic bronchiolitis: testing a practical approach. Iran J Allergy Asthma Immunol. 2007;6(4):207-14.

130. Ryu JH. Classification and approach to bronchiolar diseases. Curr Opin Pulm Med. 2006;12(2):145-51.

131. Markopoulo KD, Cool CD, Elliot TL, Lync DA, Newell JD Jr, Hale VA, et al. Obliterative bronchiolitis: varying presentations and clinicopathological correlation. Eur Respir J. 2002;19(1):20-30.

132. Lee JS, Brown KK, Cool C, Lynch DA. Diffuse pulmonary neuroendocrine cell hyperplasia: radiologic and clinical features. J Comput Assist Tomogr. 2002;26(2):180-4.

133. Visscher DW, Myers JL. Bronchiolitis: the pathologist's perspective. Proc Am Thorac Soc. 2006;3(1):41-7.

134. Culiner MM. Obliterative bronchitis and bronchiolitis with bronchiectasis. Dis Chest. 1963;44:351-60.

135. Ryu JH, Myers JL, Swensen SJ. Bronchiolar disorders. Am J Respir Crit Care Med. 2003;168(11):1277-92.

136. Chung MH, Edinburgh n high-resolution CT: differential diagnosis and functional correlates in a consecutive series. J Thorac Imaging. 2001;16(2):69-75.






Trabalho realizado no Departamento de Radiologia, Universidade da Califórnia em São Francisco, São Francisco (CA) EUA; Departamento de Medicina Pulmonar, Hospital do Servidor Público Estadual de São Paulo/Universidade Federal de São Paulo, São Paulo (SP) Brasil; e Departamento de Medicina Laboratorial e Patologia, Clínica Mayo, Arizona, Scottsdale (AZ) EUA.
1. Professor Clínico Assistente de Radiologia. Universidade da Califórnia em São Francisco, São Francisco (CA) EUA.
2. Chefe do Departamento de Pneumologia. Hospital do Servidor Público Estadual de São Paulo - HSPE-SP - São Paulo (SP) Brasil.
3. Professor de Radiologia. Universidade da Califórnia em São Francisco, São Francisco (CA) EUA.
4. Professor de Patologia. Faculdade de Medicina da Clínica Mayo, Scottsdale (AZ) EUA.
Endereço para correspondência: Carlos Alberto de Castro Pereira. Av. Iraí, 393, conjs 33/34, Moema, CEP 04083-001, São Paulo, SP, Brasil.
Tel 55 11 5543-8070. E-mail: pereirac@uol.com.br
Apoio financeiro: Nenhum.
Recebido para publicação em 3/3/2008. Aprovado, após revisão, em 5/3/2008.

Indexes

Development by:

© All rights reserved 2025 - Jornal Brasileiro de Pneumologia