Continuous and bimonthly publication
ISSN (on-line): 1806-3756

Licença Creative Commons
12363
Views
Back to summary
Open Access Peer-Reviewed
Special Article

High-resolution computed tomography patterns of diffuse interstitial lung disease with clinical and pathological correlation

Padrões tomográficos das doenças intersticiais pulmonares difusas com correlação clínica e patológica

Brett Elicker, Carlos Alberto de Castro Pereira, Richard Webb, Kevin O. Leslie

ABSTRACT

High-resolution computed tomography (HRCT) is the radiological imaging technique best suited to revealing changes in lung structure. Various HRCT findings, taken together, can represent typical patterns. These patterns, in conjunction with the anatomical distribution of findings and with clinical data, can narrow the differential diagnosis of diffuse interstitial lung disease and, in many cases, indicate the correct diagnosis with a high degree of accuracy. The most common HRCT patterns seen in cases of diffuse interstitial lung diseases are the nodular pattern, linear/reticular opacities, cystic lesions, ground-glass opacities and consolidations. This article reviews the correlations between HRCT patterns and pathologic findings, summarizing the most common causes, as well as detailing the methods of investigation employed in order to diagnose the most common types of chronic diffuse lung disease.

Keywords: Lung diseases, interstitial/pathology; Tomography, X-Ray computed; Diagnostic techniques, respiratory system.

RESUMO

A tomografia de alta resolução (TCAR) é a técnica de imagem radiológica que reflete mais de perto as alterações da estrutura pulmonar. Os vários achados tomográficos podem ser combinados para formar padrões típicos. Estes, conjuntamente com a distribuição anatômica dos achados, e com os dados clínicos, podem estreitar o diagnóstico das doenças intersticiais pulmonares difusas, e em vários casos sugerir o diagnóstico correto com alto grau de acurácia. Os padrões mais comuns das doenças intersticiais pulmonares difusas na TCAR são o nodular, linear e reticular, lesões císticas, opacidades em vidro fosco e consolidações. Este artigo revisa as correlações entre os padrões tomográficos na TCAR e os achados patológicos e resume as causas mais comuns e os métodos de investigação para se atingir um diagnóstico nas doenças pulmonares crônicas difusas mais comuns.

Palavras-chave: Doenças pulmonares intersticiais/patologia; Tomografia computadorizada por raios X; Técnicas de diagnóstico do sistema respiratório.

Introduction

High-resolution computed tomography (HRCT) is a critical tool for the evaluation of lung disease. Because HRCT provides a global anatomic assessment of the lung, this imaging technique improves significantly the sensitivity and specificity of clinical and histopathological diagnosis. HRCT is particularly helpful in the evaluation of diffuse interstitial lung disease (DILD), as clinical presentation and histopathologic patterns can show significant overlap and there can be significant heterogeneity of disease throughout the lung. These modalities together provide a clinical-radiological-histopathological approach to the patient with DILD that allows for accurate diagnosis and optimal management.

Using thin slices and high-resolution reconstruction techniques, HRCT has the ability to detect discrete abnormalities as small as 0.3 mm. While this resolution is significantly less than that of pathologic examination (e.g., the typical lowest magnification microscope objective has a field diameter of 1 cm), HRCT does allow for visualizing abnormalities at the level of the secondary pulmonary lobule. In this review, we present the key HRCT patterns in DILD, providing the clinical context and histopathological correlations for each.

Technique

There are multiple protocols in current use for obtaining HRCT scans. Examples of two such protocols-spaced axial images and multidetector volumetric HRCT-are given in Chart 1. Axial imaging has the advantage of having slightly better resolution and is a low radiation-dose technique. Volumetric imaging allows assessment of the entire lung.




Images are usually obtained in the supine and prone position. In normal patients, dependent lung opacity is often seen in the posterior, subpleural regions of the lung. In certain diffuse lung diseases, such as nonspecific interstitial pneumonia (NSIP), images can be identical to those seen in normal patients. Prone images will differentiate between these two possibilities, since normal dependent density in the posterior lung will disappear on prone images, whereas true lung disease-related density will persist. Dynamic expiratory images are also obtained to screen for air trapping.

A pattern-based approach to diagnosis

There are four general patterns of HRCT abnormality that are fundamental to the interpretation of HRCT scans: 1) reticular opacities; 2) nodules; 3) increased lung opacity; and 4) decreased lung opacity. Within each of these patterns, other features of the images can help narrow the differential diagnosis, such as the distribution of abnormalities in the axial and coronal planes, as well as the co-occurrence/overlap of patterns. Our purpose in this article is to describe these basic HRCT patterns, drawing important clinical and histopathological correlations. For the interested reader, histopathological findings are presented in greater detail elsewhere.(1)

Pattern 1. Reticular opacities

Thickening of the interstitial connective tissue network of the lung will result in reticular opacities of varying morphology. This thickening can result from fluid/cellular infiltration or deposition of fibrous tissue. Reticular opacities can be divided into interlobular septal thickening, reticulation associated with traction bronchiectasis, and honeycombing.

Interlobular septal thickening

Interlobular septal thickening (Figure 1) is defined as thickening of the interstitium that surrounds and delineates the secondary pulmonary lobule. Septal lines tend to be straight and 1-2 cm in length. The centrilobular artery, which lies in the center of the pulmonary lobule, is often visible. A few interlobular septa are often seen in normal patients. In abnormal patients, however, many will be seen, outlining the polygonal lobules. It is important to note that septal thickening can be seen in a wide variety of diseases. This finding is most useful when it is the predominant abnormality, in which case the differential diagnosis is limited and depends upon whether the thickening is smooth, nodular, or irregular (Chart 2). The clinical context, especially information regarding the duration of clinical symptoms and the tempo of disease progression, is extremely helpful in the interpretation of interlobular septal thickening.







Predominant reticular opacities

Clinical and histopathological correlations

Pulmonary edema

Although HRCT is not usually required for the diagnosis of pulmonary edema, it can be performed when there is a discrepancy between the clinical history and findings seen on the chest X-ray. In the absence of an enlarged heart silhouette, echocardiography can reveal diastolic dysfunction, such as mitral reflux, left atrial enlargement, and elevated pulmonary artery pressure. Brain natriuretic peptide levels can also be elevated.(2) To rule out myocardial infarction, which can be asymptomatic, cardiac enzyme levels should be determined and an electrocardiogram should be performed. Elevated creatinine levels can indicate underlying renal failure, another cause of pulmonary edema. An example of pulmonary edema in a lung biopsy is presented in Figure 2.




Lymphangitic spread of tumor

Lymphangitic lung metastases can result from pulmonary and extrapulmonary tumors alike. Common extrathoracic origins include breast, stomach, pancreas, and prostate.(3) When lymphangitic metastases originate from a primary lung tumor, the metastases are commonly unilateral and a nodule or mass is seen.(4) In the presence of a known primary tumor, typical HRCT findings can be considered diagnostic. In the absence of a known primary tumor, the diagnosis requires cellular or tissue confirmation (bronchoalveolar lavage [BAL], pleural fluid collection, transbronchial biopsy, or surgical lung biopsy).(5) Because such tumors are typically distributed among the lymphatics of the bronchovascular bundles, bronchoscopic biopsy is a highly effective diagnostic method (Figure 3).





Sarcoidosis

The diagnosis of sarcoidosis requires a biopsy finding of nonnecrotizing granulomas, together with clinical-radiological findings that are consistent with the disease. Ruling out other causes of granulomatous disease (especially tuberculosis) is of paramount importance.(6) Biopsies should be performed at the most easily accessible sites, such as the skin or superficial lymph nodes. In some cases, fiberoptic bronchoscopy with bronchial and transbronchial biopsies is required, and, as a last resort, mediastinoscopy or surgical lung biopsy can be performed. Nodules are the hallmark of pulmonary sarcoidosis, being seen in ≈90% of all cases. Such nodules are widely distributed but tend to be concentrated around bronchovascular structures, the pleura, and the interlobular septa.(7)

Transbronchial biopsy is highly effective in confirming the diagnosis (Figure 4). Hilar adenopathy is an expected finding, and there can be a confluence of nodules within larger parenchymal opacities. In the late stages of the disease, fibrosis can be present, as manifested by irregular reticulation, traction bronchiectasis, and confluent masses of fibrotic tissue.



Erdheim-Chester disease

Erdheim-Chester disease is a rare systemic histiocytosis that typically affects the long bones, with lung involvement occurring in 15% of cases.(8) The disease is now recognized as a condition distinct from the systemic forms of Langerhans cell histiocytosis (LCH). A diagnosis of Erdheim-Chester disease should be considered in males over the age of 40 who present with diffuse bone pain and DILD. In such cases, metastatic carcinoma is the diagnosis to be ruled out. In patients with Erdheim-Chester disease, pulmonary involvement is suggested by the presence of symmetrical reticular shadows on chest X-rays, interlobular septal thickening (on chest X-rays and CT scans), centrilobular nodular opacities, ground-glass opacities, and fissural thickening.(9) The pathology is distinctive, showing bland fibrosis in the pleura and along the lymphatics of the interlobular septa. In contrast to what is seen in cases of LCH, histiocytes of patients with Erdheim-Chester disease are immunohistochemically negative for S100 protein and CD1a but positive for CD68.

Lymphoid pulmonary lesions

Lymphoid pulmonary lesions constitute a general category of disease that includes follicular ­bronchiolitis, nodular lymphoid hyperplasia, lymphoid interstitial pneumonia, and low grade lymphoma.(9) In rare cases, lymphoid hyperplasia can simulate sarcoidosis, since the involvement is concentrated along the septa, in subpleural areas, and around airways (all of the locations of lymphatic channels in the lung).

Traction bronchiectasis

Bronchial dilatation occurring as a consequence of interstitial fibrosis is referred to as traction bronchiectasis (Figure 5). The bronchi often appear irregular (corkscrewed) and are not associated with radiologic evidence of bronchial inflammation (gross bronchial wall thickening or mucous impaction). Traction bronchiectasis is often accompanied by other signs of lung fibrosis (honeycombing or irregular reticulation). While traction bronchiectasis is quite specific for fibrosis, the differential diagnosis is broader than that of honeycombing. Idiopathic pulmonary fibrosis (IPF) is commonly associated with traction bronchiectasis. However, in the absence of honeycombing, other diseases are more likely (Chart 3). In patients with known collagen vascular disease, bibasilar, peripheral, traction bronchiectasis accompanied by ground-glass attenuation can be considered diagnostic of NSIP. When the circumstances are less diagnostic, a surgical biopsy might be required.







Honeycombing

Honeycomb lung remodeling (honeycombing) reflects the end stage of a number of diseases that cause parenchymal destruction. It presents a characteristic HRCT pattern, with subpleural, thick-walled cysts that share walls and, when advanced, are often stacked in multiple layers (Figure 6). It is typically accompanied by other signs of fibrosis (traction bronchiectasis and reticulation). Honeycombing is highly suggestive of a pathologic diagnosis of usual interstitial pneumonia (UIP), although it can be attributable to other diseases (Chart 3). Honeycombing seen on HRCT scans is often considered diagnostic of UIP in patients presenting the appropriate clinical profile, and the majority of such patients will not be subjected to surgical lung biopsy. Because bilateral honeycombing on HRCT scans is considered diagnostic under these conditions, it is vitally important for the radiologist to be confident that honeycombing is truly present before describing it.




Clinical and histopathological correlations

Idiopathic pulmonary fibrosis

A surgical lung biopsy finding of UIP is characteristic of IPF, which is a chronic idiopathic form of lung fibrosis. The histopathology of UIP is one of destructive fibrosis alternating with normal lung in the surgical biopsy specimen (Figures 7 and 8). A characteristic advancing edge of focal injury is always present and is referred to as "fibroblastic foci". Clinical diagnostic criteria for UIP were proposed by a consensus committee of the American Thoracic Society/European Respiratory Society in 2000.(10)

Since then, the following aspects have become apparent:

 Honeycombing is required for a reliable ­HRCT-based diagnosis (i.e., reticular abnormalities with minimal ground-glass are not sufficient).(11)

 Transbronchial biopsy is rarely indicated in the diagnostic workup of suspected cases.(12)

 The disease is uncommon in patients below the age of 50.(13)

 The disease can be found in asymptomatic patients.

Based on these observations, the criteria for the clinical diagnosis of IPF should include all of the following:

 age > 50 years

 exclusion of other potential causes of interstitial lung disease (ILD), such as relevant environmental and occupational exposures, use of fibrogenic drugs, and collagen vascular diseases

 abnormal pulmonary function test results including evidence of restriction, impaired gas exchange (at rest or upon exertion), or decreased diffusing capacity of the lung for carbon monoxide (DLCO)

 bibasilar inspiratory crackles

 HRCT findings of bibasilar reticular abnormalities with honeycombing and absence of findings suggestive of other diseases (e.g., air trapping, centrilobular nodules, and extensive ground-glass opacities)

The specificity of these findings for IPF is approximately 90%.(14)








Collagen vascular diseases

All of the named rheumatic diseases can produce lung fibrosis. Rheumatoid arthritis and scleroderma are predominately implicated in cases where a UIP HRCT pattern is seen, and with similar functional abnormalities.

Hypersensitivity pneumonitis

Hypersensitivity reactions to inhaled organic antigens encompass a group of diffuse lung diseases mediated by immune reactions and caused by repeated inhalation of a wide variety of organic dusts, bioaerosols, and chemical compounds. These diseases are collectively referred to as hypersensitivity pneumonitis (HP). Extensive exposure to such antigens typically occurs in the home; In Brazil, exposure is especially associated with pet birds and heavy concentrations of indoor molds.(15) In chronic HP, findings indicative of fibrosis are present on HRCT scans and are associated with a worse prognosis. Honeycombing is common in the chronic form. In a study conducted in Brazil, honeycombing was present in 48 (57%) of 85 patients who underwent surgical lung biopsy.(16) The disease was restricted to the upper lobes in only 11 cases. However, when the lower lobes were involved, other findings indicative of HP, such as centrilobular nodules, areas of decreased attenuation, areas of ground-glass attenuation, and peribronchial distribution of lesions, were often present. In biopsy samples, this translated to chronic inflammatory interstitial infiltration concentrated around the airways and frequently accompanied by chronic bronchiolitis and scattered small nonnecrotizing interstitial granulomas. In only 6% of the cases, the CT scan revealed peripheral distribution of honeycombing, closely mimicking UIP. None of these patients had UIP-like lesions at lung biopsy. These findings are similar to those of other studies.(17,18) In patients with fibrosing lung disease and having been exposed to HP-provoking antigens, a clinical diagnosis can be accepted, provided that the CT context is appropriate and the BAL cytology reveals lymphocytosis.(19)

Fibrosing sarcoidosis (stage IV)


Advanced (stage IV) fibrosis in sarcoidosis (fibrosing sarcoidosis) is found in fewer than 10% of cases. Fibrosing sarcoidosis occurs predominately in the upper lung regions, in a central/dorsal distribution, with bronchial/fissure distortion. Conglomerate hilar-perihilar masses are common. Septal lines, bronchovascular thickening, micronodules, and adenopathy (sometimes calcified) can be observed. When honeycombing is present, it is peripheral and involves the upper lung zones.(20) A pattern simulating UIP is quite rare, and, in this setting, there can be fewer granulomas than in the earlier stages of the disease. Histopathologic confirmation of sarcoidosis can be obtained through bronchial or transbronchial biopsies (positive in 60-80%),(20,21) biopsies from other sites, or, rarely, surgical lung biopsy.

Nonspecific interstitial pneumonia


Originally described in 1994 by Katzenstein and Fiorelli,(22) NSIP was introduced as a new form of idiopathic ILD separate and distinguishable from those proposed in Liebow's original classification.(23) An inflammatory DILD characterized by temporal uniformity of the disease process, NSIP presents varying degrees of interstitial inflammation or fibrosis. Pure inflammatory disease is rare. The prognosis is better in cases of NSIP than in cases of UIP. Patients with NSIP tend to be younger than do patients with IPF (mean age, 53 vs. 67 years). Most cases occur in the context of an underlying disorder such as connective tissue disease, drug-induced lung disease, or chronic HP.(24) The NSIP histopathological pattern is the predominant pattern seen in most rheumatic diseases, especially in systemic sclerosis, rheumatoid arthritis, dermatomyositis/polymyositis, and undifferentiated connective tissue disease, the last being a newly described distinct entity.(25) The NSIP pattern is a common presentation of HP.(26) However, in such cases, the distribution on HRCT scans is quite different from that seen in NSIP associated with collagen vascular disease or drug reaction. This HRCT differentiation is especially helpful because typical histologic findings of HP, such as granulomas, giant cells, and interstitial bronchiolocentric pneumonia, are absent by definition.

Several HRCT features are suggestive of a diagnosis of NSIP.(27) Although UIP presents the same subpleural and basilar predominance, ground-glass opacities, which are rarely seen in UIP, are found in more than 75% of cases of NSIP. Reticular abnormalities, with or without traction bronchiectasis, are common and appear to correlate with the amount of fibrosis observed histopathologically. In the axial plane, subpleural sparing (a thin rim of unaffected lung at the pleuroparenchymal interface) and tracking of opacities along lower-zone bronchovascular bundles are two findings that often correlate with histopathologic findings of NSIP.

Honeycombing is rare in NSIP, and there is debate as to whether this should be an exclusionary finding. In the original sample of 64 patients described by Katzenstein and Fiorelli, overall mortality was low and microscopic honeycombing was not present in any of the patients.(22) In a later study conducted by Travis et al.,(28) patients with microscopic honeycombing were included, and overall survival fell significantly. Since those early clinical studies, the reported occurrence of honeycombing on CT imaging in NSIP has been variable, ranging from 0% to 30% (mean, 20%).(29-34) In contrast, extensive honeycombing is much more commonly a manifestation of UIP.(35)

The findings described above for NSIP are not specific. Therefore, in the absence of a definable collagen vascular disease or exposure to fibrogenic drugs, surgical lung biopsy is necessary. Some cases of desquamative interstitial pneumonia (DIP), HP (with or without classical histological findings), and several less common diseases can also produce this pattern.

Drug-induced lung disease


Drug toxicity disease can result in DILD, with histopathologic reactions ranging from acute injury to UIP-like fibrotic patterns.(36) The mechanisms of drug-induced lung injury vary from cytotoxicity to hypersensitivity reactions. A wide variety of therapy-related reactions have been described as a consequence of chemotherapeutic agents (bleomycin, busulfan, chlorambucil, cyclophosphamide, 1,3-bis(2-chloroethyl)-1-nitrosourea, and 1-(2‑chloroethyl)-3-cyclohexyl-1-nitrosourea), statins, amiodarone, nitrofurantoin, methotrexate, and chest irradiation.
Bronchoscopy with transbronchial biopsy is often required in order to rule out infection. The surgical lung biopsy is not specific for a particular drug in the vast majority of cases.(37)

Asbestosis


Asbestosis is a pneumoconiosis caused by the inhalation of asbestos fibers and is characterized by slowly progressive pulmonary fibrosis. In the early stage of the disease, an irregular reticular pattern is a typical HRCT finding, whereas the cystic pattern is characteristic of the advanced stage. Asbestosis affects workers involved in the extraction of minerals, as well as those engaged in the manufacture and installation of products containing asbestos (industrial textiles, insulation, and manufactured cement goods). Asbestosis-related interstitial fibrosis varies in appearance. In some cases, the fibrosis is histopathologically indistinguishable from UIP,(38) although, in most instances, asbestosis is an airway-associated fibrotic lung disease and lacks the typical peripheral lobular accentuation of UIP. Parenchymal bands are more commonly a result of asbestosis. Asbestosis can be diagnosed without lung biopsy in the presence of three clinical signs (a restrictive pattern of lung impairment, DLCO below the lower limit of the normal range, and bilateral fine crackles at the posterior lung base), together with irregular opacities (on chest X-rays or HRCT scans) and a history of relevant exposure.(39) A diagnosis of asbestosis can also be made based on the co-occurrence of ILD with typical pleural plaques on CT scans. A finding of asbestos bodies in the BAL fluid is highly specific.(40)

Pattern 2. Nodules


There are several ways to classify nodules: well-defined vs. poorly-defined; upper vs. lower lobe distribution; and relationship to the secondary pulmonary lobule. The last is the most useful characteristic, since it provides a focused differential diagnosis and is reflective of the underlying disease pathophysiology. There are three possible HRCT distributions of nodules: perilymphatic, random, and centrilobular (Charts 4, 5, and 6).









Perilymphatic nodules


Clinical and histopathological correlations


Perilymphatic nodules are characterized by their distribution in the bronchovascular sheath, pleura, and interlobular septa, corresponding to the lymphatic routes in the lung (Figure 9). All of the conditions in this category necessarily have an affinity for the lymphatic channels.



Sarcoidosis


Sarcoidosis is a noninfectious granulomatous disease of likely immune origin. The distribution of nodular granulomas along lymphatic routes is nearly diagnostic of sarcoidosis on HRCT scans. Lung biopsy performed using bronchoscopy might be required for diagnosis in cases in which there are no lesions at sites that are more accessible, such as the skin (except erythema nodosum, in which biopsy shows nonspecific findings) or superficial lymph nodes. A high degree of diagnostic accuracy is achieved if more than four bronchoscopic samples are taken. This is possible because lymphatic channels traverse the bronchovascular bundles in great numbers and are therefore copiously sampled in the transbronchial biopsy specimen.(41) In addition, for a diagnosis of sarcoidosis, the sensitivity and specificity of a CD4/CD8 ratio > 3.5 in the BAL fluid are 52-59% and 94-96%, respectively.(42) A surgical lung biopsy from a patient with sarcoidosis is presented in Figure 4. The lymphatic distribution can be striking and nicely recapitulates the HRCT findings.


Lymphangitic spread of tumor


For information regarding HRCT findings in cases of lymphangitic spread of tumor, see "Interlobular septal thickening" above.


Silicosis/silicatosis


Inhalation of significant quantities of pure silica dust, and/or mixed dusts with aluminum and magnesium silicates, is responsible for the clinical pneumoconiosis known as silicatosis, or silicosis. Pulmonary nodules visible on chest imaging occur mainly as the manifestation of an occupational disease, with nodules occurring in the centrilobular and subpleural regions. Nodules are distributed in the upper and middle lung regions, with a posterior predominance. Because the disease can persist or progress, even in cases of removal from exposure to silica particles, a detailed patient history should be taken. Given the long latency of the disease, particular attention should be paid to all previous occupations, even those from the remote past. The prevalence of silicosis remains high in certain areas of professional activity in Brazil, such as mining in general, metallurgy, and the manufacture of ceramic/porcelain floor tiles, as well as sandblasting.(43)

The diagnosis of silicosis is based on the interpretation and analysis of radiographic imaging, as well as on the occupational history of the worker/patient. Histopathological examination is limited to cases in which a discrepancy exists between these two analyses, thereby raising the significant possibility of another diagnosis.(43) Transbronchial biopsy is diagnostic in the majority of cases.

Nodular lymphoid hyperplasia


There is considerable ongoing debate regarding diffuse nodular lymphoid hyperplasia in the lung. The lesions are located around the airways and lymphatic routes in the lung. The histopathology reveals numerous apparently reactive lymphoid follicles with germinal centers. Low grade malignant lymphoma of the B-cell marginal zone type is the diagnosis to be ruled out. Diffuse pulmonary nodular lymphoid hyperplasia might be a ­preneoplastic condition, and some cases are related to immunoglobulin deficiency, Sjögren's syndrome, or mixed autoimmune disease with
Sjögren's syndrome.(44,45)


Amyloidosis


Amyloidosis is a disorder of immunoglobulin protein folding in which normally soluble plasma proteins aggregate as an insoluble abnormal fibrillar form causing progressive disruption to tissue structure and organ function. Diffuse amyloid deposition within the lung parenchyma is usually associated with involvement of other organs systems. Perilymphatic
nodules are a rare manifestation of amyloidosis.(46)


Random nodules


Random nodules are defined by their seemingly haphazard occurrence in
peribronchovascular regions, interlobular septa, and pleura, without a consistent perilymphatic pattern and absence of a consistent relationship with the secondary pulmonary lobule. An HRCT image from a patient with hematogenous metastases from thyroid cancer is shown in Figure 10.




Clinical and histopathological correlations


Hematogenous metastasis


Hematogenous metastasis is the most common cause of multiple randomly distributed pulmonary nodules. Basilar predominance is typical, due to preferential blood flow to the lung bases. Since the malignant cells enter the pulmonary lymphatics, features of lymphangitic carcinomatosis with irregularly thickened interlobular septa and pleural effusion are common. In surgical lung biopsies, irregular nodules of endovascular and endolymphatic tumor are present (Figure 3).

Although the appearance of miliary nodules has many causes, the most common are metastasis, tuberculosis, fungal infections, and sarcoidosis.(47) Miliary metastasis are frequently due to thyroid cancer, renal cancer, melanoma, or other malignancies, whereas larger and less profuse metastases tend to be adenocarcinomas in adults, typically originating from the lung, breast, or gastrointestinal tract.


Miliary tuberculosis


Miliary tuberculosis is often insidious. Reports of the yield of lung tissue and secretion assays in studies of miliary tuberculosis vary widely, probably in part because of the great diversity in cases included in such studies. Overall, roughly 50% of sputum samples collected from suspected cases test positive in cultures. In a study conducted in South Africa,(48) granulomata was found in 30 (63%) of 48 transbronchial biopsies, 20 of which presented necrosis. Of the 30 presenting granulomata, 13 were smear-positive for acid-fast bacilli (AFB). Two sites likely to be involved and accessible for study are the liver and bone marrow. Among liver biopsies, granulomata are found in 88%, necrotizing granulomas in 45%, and AFB in 40%. Among bone marrow biopsies, granulomata are found in 67%, necrotizing granulomas in 42%, and AFB in 25%.(49)


Miliary fungal infections


Acute disseminated histoplasmosis is an uncommon presentation of miliary fungal infection in adults. In patients with a miliary pattern and granulomas on transbronchial biopsies, without necrosis or infectious agents, an open lung biopsy with tissue culture can be necessary in order to rule out infectious disease and to establish more conclusively a diagnosis of sarcoidosis.


Centrilobular nodules


The central part of the secondary pulmonary lobule contains the branches of the terminal bronchioles, their accompanying pulmonary arteries, and, adjacent to them, supporting connective tissue with lymph vessels. Therefore, centrilobular nodular opacities can result from bronchiolar and peribronchiolar diseases, as well as from vascular and perivascular diseases. Mosaic attenuation associated with air trapping on expiratory HRCT, or functional evidence of airflow obstruction indicates diseases involving the peripheral airways. Centrilobular nodules are sometimes accompanied by the so-called "tree-in-bud" opacities, in which the abnormality resembles a budding tree. In the majority of cases, the tree-in-bud pattern occurs as a result of infectious diseases. Tree-in-bud is a subtype of a centrilobular pattern. Pathologically, this abnormality represents bronchiolar impaction and is almost always due to infection. The differential diagnosis is detailed in Chart 7.




Clinical and histopathological correlations


Subacute hypersensitivity pneumonitis


Innumerable ill-defined centrilobular ground-glass nodules with uniform distribution are characteristic of subacute HP (Figure 11).(50) This diagnosis can be confirmed by a history of exposure, clinical symptoms of a flu-like illness, lymphocytosis of the BAL fluid, and clinical improvement when the patient is removed from the offending environmental agent. In the subacute phase, surgical lung biopsy shows characteristic findings (chronic bronchiolitis, patchy cellular interstitial pneumonia, and small, scattered poorly-formed nonnecrotizing granulomas in the alveolar walls in peribronchiolar regions; Figure 12), especially when avian antigens are responsible. Plasma cells are typically prominent in the interstitium in HP.






Respiratory bronchiolitis-associated interstitial lung disease


Respiratory bronchiolitis-associated interstitial lung disease (RB-ILD) appears to exist within a spectrum of smoking-related DILDs, sometime co-existing with LCH. Typically, RB-ILD produces poorly-defined centrilobular nodules in small numbers and predominantly in the upper lobes. In cases of RB-ILD, the HRCT findings can simulate subacute HP, with widespread poorly-formed nodular abnormalities and areas of hypoattenuation (mosaic pattern). However, the history is often helpful (RB-ILD occurs only in smokers, whereas HP is rare in smokers) and the BAL profile is usually definitive in distinguishing between RB-ILD and HP. In RB-ILD and respiratory bronchiolitis alike, a characteristic brown pigmentation of macrophages is found. The histopathological difference resides in the extent of peribronchiolar macrophage reaction (much greater in RB-ILD). The BAL findings, in conjunction with the history and HRCT findings, usually allow the diagnosis of RB-ILD to be made without the need for thoracoscopic lung biopsy.(51)

Langerhans cell histiocytosis


In smokers, poorly defined centrilobular nodules can also be seen early in LCH, without the presence of cysts. Since LCH is an airway-centered disease, a transbronchial biopsy finding of LCH lesion is not unexpected. Langerhans cells can be found in the BAL fluid of patients with any one of a number of inflammatory conditions, potentially producing a false-positive result if this modality is used as a diagnostic test for LCH.(41) Knowledge of the CT findings is essential for accurate diagnosis. The exact incidence of LCH in the smoking population remains unknown.(52)

Follicular bronchiolitis


Reactive lymphoid hyperplasia, present in a peribronchiolar distribution, is referred to as follicular bronchiolitis. In the radiological and pathology literature, follicular bronchiolitis and lymphoid interstitial pneumonia are thought to represent two ends of a spectrum, one being localized to the peribronchiolar regions (the former), and one being more diffuse (the latter). Underlying conditions associated with follicular bronchiolitis includes rheumatoid arthritis, mixed collagen vascular disease, Sjögren's syndrome, other autoimmune disorders, and inherited or acquired immunodeficiency syndromes.(53,54) The disease can occur in an idiopathic form. Follicular bronchiolitis is a rare cause of a tree-in-bud pattern, and even less commonly occurs in a diffuse form.

Infectious pneumonia

In the immunocompromised host, bacterial (Staphylococcus aureus and
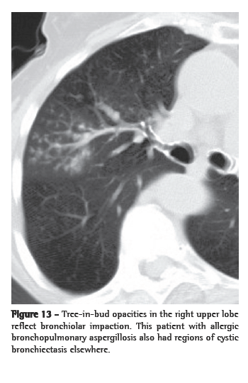
Haemophilus influenzae), fungal (more commonly Aspergillus spp.) and, quite rarely, viral infection can all result in a tree-in-bud pattern (Figure 13) accompanied by variable consolidation (including cytomegalovirus and respiratory syncytial virus).(55)



Infectious bronchiolitis

In the normal host, acute diffuse bronchiolitis without associated consolidation (Figure 14) can occasionally result from viral or mycoplasma infection.(56,57) Residual bronchiectasis can result. HP, which also can present with diffuse centrilobular nodules, virtually never demonstrates tree-in-bud lesions.



Endobronchial spread of Mycobacterium tuberculosis

Infection with Mycobacterium tuberculosis typically produces a tree-in-bud pattern, which indicates active disease. Associated cavitation is highly suggestive but can be absent.(58)

Infection with M. avium-intracellulare complex

When the tree-in-bud pattern is found in a thin elderly Caucasian woman, infection with M. avium-intracellulare complex should always be a consideration. The radiological manifestations consist of bronchiectasis and multiple centrilobular nodules. Disease is most severe in the lingula and middle lobe.(59) Sputum examination and cultures are essential to establish the diagnosis of mycobacterial infections. Bronchoscopy might be needed to obtain secretions and biopsies for culture.

Bronchiectasis

Diseases that result in bronchiectasis are commonly accompanied by tree-in-bud lesions.(60) In cystic fibrosis, the tree-in-bud pattern can be an early sign of disease.

Diffuse panbronchiolitis

Diffuse panbronchiolitis is a histopathologically characteristic disease represented by an inflammatory condition with extensive involvement of the peripheral airways, producing a tree-in-bud pattern with or without associated bronchiectasis. Although the term diffuse panbronchiolitis implies a generic inflammatory disease of the bronchioles, the histopathology is sufficiently distinctive that, once seen, is rarely forgotten and is not easily confused with other inflammatory disorders. The disease is reported primarily in Asians. However, some cases have been described in non-Asian Brazilians.(61,62) The disease is predominantly seen between the second and fifth decade of life. Chronic sinusitis is common. In Western countries, where the disease is rare, a lung biopsy is usually necessary for diagnosis.(63) Transbronchial or surgical lung biopsy shows a distinctive accumulation of foamy histiocytes in bronchiolar walls and in the immediate ­peribronchiolar regions.(64)

Diffuse aspiration bronchiolitis

Chronic inflammatory reaction to repeated aspiration of foreign material results in diffuse aspiration bronchiolitis.(65) Conditions favoring aspiration, such as esophageal disorders and neurological defects, are typically found.

Tumor emboli

In rare cases, tumor emboli can expand small vessels and produce a tree-in-bud pattern.(55)

Clinical approach to diagnosis in patients with centrilobular opacities

In cases of the tree-in-bud pattern and centrilobular nodules (with or without alveolar/ground-glass attenuation), transbronchial lung biopsy and BAL are the methods of choice for diagnosing infections (tuberculosis, fungi, viruses, and lobular bacterial pneumonia), neoplasms (bronchoalveolar cell carcinoma and lymphangitic carcinomatosis), and cryptogenic inflammatory lung disorders (HP, LCH, and sarcoidosis).(66) If the transbronchial biopsy and BAL are negative, surgical lung biopsy can be required.

Pattern 3. Increased lung opacity

Increased lung opacity can be described as ground-glass opacity or consolidation. Ground-glass opacity (Figure 15) is increased lung opacity that does not obscure the associated vessels and represents abnormalities below the resolution of HRCT. Consolidation (Figure 16) is increased lung opacity in which the vessels are obscured and represents confluent disease. These findings are quite nonspecific and can reflect diseases that are primarily alveolar, interstitial, or mixed. The differential diagnosis of ground-glass opacity and consolidation overlaps greatly and is predominantly based upon symptom duration: acute or chronic (Chart 8). The distribution of findings (focal, patchy, or diffuse/symmetric) can be helpful in further narrowing the differential diagnosis (Chart 9).













Parenchymal consolidation and ground-glass opacity are HRCT findings that have been associated with active or reversible lung disease. However, ground-glass opacity can also be seen in cases in which fibrosis is the predominant abnormality. Ground-glass attenuation can only be considered as reflecting the presence of potentially reversible disease if there are no associated findings of fibrosis in the same area. The differential diagnosis of ground-glass and consolidation opacities should be based upon the host immune status and duration of symptoms. The presence of connective tissue diseases, environmental inhalants, and drug use also should be considered when increased diffuse lung opacity is present.

Acute increased opacity

Clinical and histopathological correlations

Pulmonary edema

The most common cause of acute diffuse pulmonary disorders with consolidation/ground-glass opacities is pulmonary edema. In hydrostatic edema, there is generally a combination of septal thickening and ground-glass opacities. Heart size can be normal or enlarged. Thickening of the perihilar peribronchovascular interstitial (peribronchial cuffing) and fissures are common. The vascular distribution is balanced or inverted. Hazy, poorly-defined, centrilobular opacities can also be seen. There is a tendency for hydrostatic edema to have a perihilar and gravitational distribution. In noncardiogenic edema, the heart size is normal, the vascular distribution is normal or balanced, and the distribution of edema is patchy or peripheral. Peribronchial cuffing and septal lines are generally absent.(67)

Acute respiratory distress syndrome

Acute respiratory distress syndrome (ARDS) can result from a wide variety of lung injuries, including trauma, aspiration, sepsis, and infectious pneumonia.(68) The distribution of CT abnormalities is characteristically bilateral, gravity-dependent, and accentuated at the lung bases. When ARDS is caused by pulmonary disease, it tends to be asymmetric with a mix of consolidation and ground-glass opacity, whereas ARDS caused by extrapulmonary disease presents predominantly symmetrical ground-glass opacity. In hydrostatic edema and ARDS alike, pleural effusion and air bronchograms are common. Traction bronchiectasis in diffuse alveolar damage (DAD) suggests that the disease is in the proliferative or fibrotic phase.(69)

Infections

Bacterial pneumonia. Bacterial pneumonia, especially when caused by Streptococcus ­pneumoniae, Legionella, or other agents including mycoplasma, can result in fulminant pneumonia, with ARDS.

Pneumocystis jiroveci. Pneumocystis jiroveci should always be considered. Cystic changes accompanied by diffuse ground-glass opacities are highly suggestive but are found in less than one third of all cases.

Cytomegalovirus pneumonia. Cytomegalovirus pneumonia can lead to interstitial pneumonia, and, in severe cases, DAD. The most helpful finding in distinguishing infectious from noninfectious causes of acute diffuse lung disease in the normal host is that of centrilobular nodules. When these are present in a patchy distribution, they suggest infectious disease.(70)

Hypersensitivity pneumonitis

Centrilobular nodules of ground-glass opacity distributed diffusely and profusely through the lungs are characteristic of HP. In other cases, areas of ground-glass attenuation, centrilobular nodules, and patchy air-space opacifications with micronodules are seen. In the acute stage air-space consolidation can also be found.(50)

Diffuse alveolar hemorrhage (DAH)

Diffuse alveolar hemorrhage (DAH), defined as active hemorrhage into the alveolar parenchyma, produces increased lung opacity. The causes of DAH are many. Renal involvement should always suggest an etiology of vasculitis or connective tissue disease. When DAH occurs as an immunologic phenomenon, it is frequently accompanied by systemic vasculitis, and, in such cases, serologic studies are essential to the diagnosis and management.(71) Hemoptysis can be absent. A surgical lung biopsy sample from a patient with Wegener's granulomatosis who presented with hemoptysis and perihilar ground-glass opacity is shown in Figure 17. To avoid confusion with traumatic hemorrhage caused by the biopsy procedure, DAH should never be diagnosed in the absence of siderophores and fibrin, signs that lung hemorrhage is a true manifestation of immunologic injury (the cause of the majority of DAH cases). Although confusion can occur in a patient with airway-associated acute hemorrhage (such as that seen in bronchiectasis), this is nearly always a segmental or lobar, rather than a diffuse, phenomenon.



Acute interstitial pneumonia

The idiopathic form of DAD is referred to clinically as acute interstitial pneumonia (AIP), which is the same idiopathic clinico-pathologic entity ­originally described by Hamman and Rich in 4 patients.(72) Patients with AIP present progressive respiratory symptoms and respiratory insufficiency occurring over the course of days to weeks. The disease is distinguished from other forms of DAD by the absence of an identifiable cause or predisposing disease. Infection is the diagnosis to be ruled out, and specific staining for organisms (at the minimum, Grocott silver staining for fungi and pneumocystis) should always be performed, as in all cases of DAD. The biopsy shows hyaline membranes lining alveolar spaces, typically with variable interstitial and airspace organization by the time biopsy is performed.(73)

The CT findings are typically indistinguishable from those of ARDS and include extensive bilateral air-space consolidation and patchy or diffuse bilateral areas of ground-glass attenuation. Traction bronchiectasis is often seen as a delayed manifestation in the areas of air-space consolidation or ground-glass attenuation. Some patients with IPF (or other interstitial pneumonias) can experience a precipitous course, with periods of acute deterioration in respiratory status, together with DAD and other manifestations of acute injury.(74) Digital clubbing is limited to patients with acute exacerbation of underlying fibrotic lung disease and serves as a helpful clue to separate such patients from those with AIP.

Radiation pneumonitis

Acute lung manifestations can occur approximately 8 weeks after completion of radiation therapy involving doses of 40 Gy or more. Thoracic irradiation is a relatively uncommon cause of acute increased lung opacity.(75)

Drug-induced interstitial lung disease

Drug-induced interstitial lung disease (acute lung opacity) can have a number of histopathologic manifestations, including DAD, eosinophilic pneumonia, organizing pneumonia (OP), and, in rare cases, pulmonary hemorrhage.(36,37) In addition, a single drug can cause different histologic reactions in different patients. It has been shown that DAD is associated with many pharmacologic agents, chief among which are chemotherapeutic drugs such as bleomycin.
Connective tissue disease-related interstitial lung disease
Like drugs, systemic autoimmune diseases can produce a wide variety of histopathological patterns.(76) In patients previously diagnosed with ­connective tissue disease (CTD), DAD or acute OP can occur-or the pneumonitis can represent the initial manifestation of disease, especially in systemic lupus erythematosus, polymyositis, and adult-onset Still's disease.(77,78) Serum creatine phosphokinase and ferritin should be measured in order to evaluate the last two.

Acute eosinophilic pneumonia

Acute eosinophilic pneumonia can occur in asthmatic patients but can also result from the use of medications or illicit drugs, or even from heavy ­cigarette smoking. An idiopathic form has been described. Only one third of patients have an elevated peripheral eosinophil count. The BAL shows eosinophils > 25%.(79) Treatment of the patient with even a single dose of corticosteroids prior to biopsy can markedly reduce the number of eosinophils in the tissue and thereby complicate the diagnostic evaluation.

Organizing pneumonia

Organizing lung injury from any cause can be clinically acute, resulting in a presentation with respiratory failure.(80) The acute noninfectious form is either idiopathic, associated with a CTD, or related to drug toxicity. An intermediate form between DAD and OP, designated acute fibrinous and organizing pneumonia, is characterized by rich fibrinous alveolar exudates, although without hyaline membranes. By definition, infection is absent. Acute fibrinous and organizing pneumonia can either be idiopathic or be associated with an underlying or concomitant condition, such as collagen vascular disease, drug reaction, and occupational exposure.

Clinical management

Acute noninfectious DILDs often present symptoms that are consistent with pneumonia.(81) Patients thought to have ARDS on the basis of pneumonia, and those considered to have ARDS but without a defined predisposing condition, should undergo BAL and, depending on the findings, a lung biopsy, to rule out one of the acute noninfectious DILDs. Lymphocytosis (>25%) in BAL fluid is the rule in HP. A predominance of neutrophils in BAL fluid suggests DAD or infection; blood in sequential BAL samples indicates DAH; eosinophilia, or acute eosinophilic pneumonia.

In the setting of acute onset lung disease, infection always heads the list of differential diagnoses. Transbronchial biopsies, bronchial washings, and BAL play a crucial role in the clinical evaluation. When fibrin, hyaline membranes, or organization in alveolar spaces is identified, the differential diagnosis includes infection, drug toxicity, CTD, and AIP.(1) Specific staining for bacterial, fungal, and mycobacterial infections should be performed. In the absence of these agents, a careful search for viral cytopathic changes is warranted, mainly if the patient is known to be immunocompromised, and especially if necrosis is present. In cases of acute HP, biopsy can reveal DAD with typical HP findings (granulomas and cellular pneumonitis).

The causes of DAD diagnosed through surgical lung biopsy have been described in some studies.(82,83) Infections and AIP are the most common causes. Other major causes are CTD, exacerbation of IPF, and drug use. Infections are more common in immunocompromised hosts. In selected patients with clinical ARDS, surgical lung biopsy can be performed safely, often reveals an unsuspected diagnosis, and leads to alterations in therapy.(82)

Chronic consolidation/ground-glass opacities

The previously healthy patient who presents with mild chronic dyspnea and ground-glass opacity (or diffuse consolidation) should be investigated for HP, DIP, RB-ILD, NSIP, AIP, OP, bronchiolitis obliterans organizing pneumonia, chronic eosinophilic pneumonia (CEP), and sarcoidosis.(84) Rare patients will present some of the atypical causes of chronic consolidation/ground-glass opacity, such as pulmonary alveolar proteinosis (PAP), bronchoalveolar carcinoma (BAC), and lymphoma. Although ground-glass opacity and consolidation can denote interstitial or alveolar disease,(85) ground-glass opacity is more often seen in HP, DIP, RB-ILD, and NSIP. Consolidation is mainly seen in OP, CEP, and BAC.

A history of smoking might be an important additional factor in this population. Patients with DIP or RB-ILD are almost exclusively smokers. The BAL findings in this group of diseases can be highly specific and can directly confirm a particular diagnosis or condition, effectively supplanting lung biopsy. Diffuse diseases presenting chronic increased lung opacity and often diagnosable through BAL include alveolar proteinosis, BAC, and CEP. In addition, supportive BAL cytology combined with clinical and HRCT features is frequently sufficient for the diagnosis of HP (lymphocytes, plasma cells, and foamy macrophages) or OP (mixed cellularity and low CD4/CD8 ratio).(86)

Clinical and histopathological correlations


Hypersensitivity pneumonitis

In a normal host who is a nonsmoker and does not have cardiac failure, the most common cause of ground-glass opacity is HP.(84) In HP, ground-glass opacity indicates subacute disease. With relevant exposure, a ground-glass opacity pattern associated with centrilobular nodules and lobular air trapping (the so called "head-cheese pattern" or "terrine sign", Figure 18) is highly suggestive of the diagnosis.




Nonspecific interstitial pneumonia

It has been shown that CTD, HP, drug-induced lung disease, and resolved acute respiratory distress syndrome can all produce an NSIP histologic pattern.(87) However, there is still considerable debate as to whether NSIP is a condition distinct from UIP. In addition, including HRCT honeycombing in the­ ­diagnostic algorithm further obscures this ­distinction. Although response to therapy and survival are better in NSIP than in UIP, recent studies have shown that the two diseases can have minor differences in gene expression.(88) In other cases, NSIP can exhibit a gene profile indistinguishable from that of HP.(89) In NSIP, ground-glass opacity is common and, when accompanied by traction bronchiectasis or irregular reticulation, reflects the fibrotic form of disease (cellular NSIP is quite rare). At this juncture, given the inherent diversity of conditions known to produce the NSIP pattern on HRCT scans and histopathologically, a degree of caution is advisable when attempting to predict prognosis for a given patient.

Chronic forms of organizing pneumonia

Chronic smoldering forms of noninfectious OP can produce clinical findings of progressive dyspnea, low fever, constitutional symptoms, and lung consolidations that are unresponsive to the standard treatment for infectious pneumonia. Many conditions can result in OP. In a study conducted in the city of São Paulo, Brazil and involving 95 patients, OP was idiopathic in one third of the cases and secondary to an identifiable cause in of the remaining cases.(90) The most common causes were: drugs (especially amiodarone and MTX), environmental exposure (such as that seen in HP), chronic aspiration, and CTD. Consolidations, central or peripheral, were seen in 64% of cases, ground-glass opacity in 53%, and nodules in 26%. Transbronchial biopsy was diagnostic in 58% of cases.

In cryptogenic organizing pneumonia (COP), typical CT patterns consist of peripheral parenchymal consolidations with air bronchograms and variable associated ground-glass opacities. The consolidations in COP are suggestive of the diagnosis when subpleural and peribronchovascular distributions occur together or when the opacities are migratory.(91) The "atoll" or reversed halo sign (a central ground-glass opacity surrounded by a crescent or ring of consolidation) is found in OP, but can be seen in other conditions, like CEP, and paracoccidioidomycosis.(92,93) In one study, a perilobular pattern of abnormalities (curvilinear opacities that are of greater thickness and, more important, less sharply defined than those encountered in thickened interlobular septa, and with an arcade-like or polygonal appearance) was observed in more than half of the patients.(94)

The diagnosis of OP is based on a combination of clinical, imaging, and histological findings.(95) In cases of CTD, cases of exposure to drugs or environmental antigens, and cases of aspiration, localized areas of OP can be a secondary pathologic finding. Therefore, a diagnosis of OP should be made only in the presence of typical HRCT findings, absence of findings indicative of fibrosis on HRCT, and a good response to corticosteroids. If these criteria are not met, surgical lung biopsy should be performed.

Acute interstitial pneumonia

Acute interstitial pneumonia is typically characterized by the rapid development of progressive dyspnea and cough; in rare cases, lower respiratory symptoms can persist for up to 60 days.(96)

Lymphocytic interstitial pneumonia

Lymphocytic interstitial pneumonia is usually associated with Sjögren's syndrome in adults and with HIV infection in children.(97) Diffuse ground-glass opacity and consolidation are the most common CT findings, and thin-walled cysts can also be present, presumably due to follicular bronchiolitis. Lymphoid interstitial pneumonia, first described by Liebow, is overwhelmingly represented by low-grade B-cell mucosa-associated lymphoid tissue lymphoma (the so-called "MALToma") of the lung. It should be borne in mind that the accrual of dense lymphoid tissue in the lung is always considered lymphoma until proven otherwise. Patients with Sjögren's syndrome who present with obstructive physiology, as well as with cysts or centrilobular nodules on HRCT scans, but do not present with ground-glass opacity can be diagnosed with follicular bronchiolitis without open lung biopsy. In other cases, a surgical biopsy should be performed in order to rule out lymphoma.(98)

Pulmonary lymphomas

Primary lymphomas of the lung are rare. One of the most common is MALToma, which is also referred to as "extranodal marginal zone B-cell lymphoma". These pulmonary lymphomas are characteristically of indolent, low-grade morphology and can present in otherwise healthy individuals or in patients with Sjögren's syndrome. High-grade lymphomas also occur in the lung, although these tend to be more localized on imaging and are much easier to diagnose histopathologically. Low-grade MALTomas can be difficult or impossible to distinguish from benign lymphoid hyperplasia and lymphoid interstitial pneumonia. Fortunately, the progression of the low-grade form of the disease is quite slow.(99)

Sarcoidosis

In rare cases, sarcoidosis can present ground-glass opacity or consolidations. The reported frequency of ground-glass opacity varies widely, and this finding is occasionally the predominant abnormality. Ground-glass opacity is typically multifocal rather than diffuse.(100) Pathologic correlation of ground-glass opacity in patients with sarcoidosis has shown that conglomerate granulomas can occur, as can delicate fibrosis below the limits of HRCT resolution.(101-103) Consolidations, mimicking OP, are uncommon in sarcoidosis.(104) The presentation is acute and the prognosis is excellent. Other CT findings of sarcoidosis and miliary nodules are usually seen as well.

Chronic eosinophilic pneumonia

Significant accumulation of eosinophils in the lungs is characteristic of CEP. It has been suggested that a differential cell count of greater than 40% eosinophils in the BAL fluid is diagnostic of CEP.(105) The symptoms are similar to those found in COP (fever, weight loss, night sweats, cough, and dyspnea), evolving over weeks or months. Asthma antedates the diagnosis in 50% of the cases. Similar to what is seen in COP, consolidations can be migratory. In fact, the two diseases can be difficult or impossible to distinguish on HRCT scans,(106) in some cases also overlapping in lung biopsies. The diagnosis of CEP is based on a history of insidious clinical onset, characteristic chest X-ray appearance of peripheral infiltrates with transient opacities, and peripheral eosinophilia. In this scenario, most authors do not recommend lung biopsy. BAL analysis can be helpful in cases without peripheral eosinophilia.

A large number of conditions can result in eosinophilic lung diseases. For a diagnosis of CEP, it is important to rule out the known causes of pulmonary eosinophilia: a careful history and examination to exclude systemic diseases (Churg-Strauss syndrome, sarcoidosis, etc.) as well as a careful review of concomitant drug intake to rule out drug-induced pulmonary eosinophilia is necessary. Examination of the stool for ova and parasites is important.(105) It is not uncommon for CEP to be misdiagnosed as bacterial pneumonia. The hallmark of CEP is a rapid, dramatic response to oral corticosteroids.

Exogenous lipoid pneumonia

Prolonged microaspiration of lipid emulsions can produce lung disease with a distinctive HRCT pattern sometimes referred to as a "crazy-paving" pattern: consolidation with low attenuation and ground-glass opacities. The most common chronic form of the disease is caused by the prolonged ingestion of mineral oil-based laxatives for the treatment of obstipation.(107) The diagnosis is suggested by the finding of free lipid or lipids in the alveolar cell vacuoles in the BAL fluid. If this is not confirmed, transbronchial or surgical lung biopsy becomes necessary. In many cases, the cause is determined in retrospect, after the diagnosis has been established through surgical lung biopsy.

Bronchioloalveolar carcinoma

The definition of BAC is adenocarcinoma showing growth of neoplastic cells among alveolar structures (lepidic growth) without evidence of stromal, vascular, or pleural invasion.(108) There are three subtypes of BAC: nonmucinous, mucinous, and mixed. The pneumonia pattern is more common in patients with the mucinous type, and such patients are often mistakenly diagnosed with infectious pneumonia. Radiographic findings such as ground-glass opacities, nonresolving consolidation, and centrilobular satellite nodules due to bronchogenic dissemination should raise the suspicion of BAC.(109) Classically, BAC demonstrates a relatively slow growth pattern and an indolent clinical course. However, in a subset of patients, rapid growth and death from bilateral diffuse consolidative disease occurs within months of diagnosis. Patients with advanced diffuse BAC can present with severe bronchorrhea and refractory hypoxemia from intrapulmonary shunting.(110) The BAL often reveals the presence of well-differentiated neoplastic alveolar cells, although this finding is not sufficient for differentiating BAC from a primary invasive or metastatic adenocarcinoma.(111) It is important to distinguish between BAC and metastases from a primary colon tumor, which can mimic the histopathologic appearance and even immunophenotype of mucinous BAC.(112) A core needle biopsy or a surgical specimen is required to distinguish BAC from other forms of pulmonary adenocarcinoma.

Pulmonary alveolar proteinosis

The accumulation of surfactant due to poor catabolism by alveolar macrophages leads to the development of PAP. This is mainly due to antibodies against granulocyte-macrophage colony-stimulating factor (GM-CSF) and resulting lack of maturation/differentiation of the monocyte/macrophage lineage.(113) Chest X-rays can reveal ground-glass opacity or asymmetric consolidation, often with perihilar predominance. The HRCT image has the appearance of geographic air-space ground-glass opacities with thickening of the interlobular septa resulting in the crazy-paving pattern. However, crazy paving is not specific for PAP and can be seen in mucinous BAC, exogenous lipoid pneumonia, sarcoidosis, NSIP, OP, pneumocystis pneumonia, and several other diffuse acute conditions.(114) However, when crazy paving is extensive and symmetric in a patient with chronic symptoms, it is highly suggestive of PAP. The BAL plays a crucial role in the diagnosis of PAP (the classic "milky" effluent is considered diagnostic). In idiopathic cases, determination of serum antibodies to GM-CSF (high levels indicating PAP) is a noninvasive means of confirming the diagnosis.(113)

Pattern 4. Decreased lung opacity

Various abnormalities are associated with abnormally reduced attenuation. Honeycombing and bronchiectasis must be distinguished from other cystic abnormalities. Emphysema is characterized by lung destruction that effects different portions of the secondary pulmonary lobule and is classified into three distributions (Chart 10; Figures 19, 20, and 21).











Cystic diseases

Primary cystic lung diseases are rare and should be differentiated from other, more common diseases that produce abnormal (low) attenuation. Features and the differential diagnosis of lung cysts are listed in Chart 11.

Pulmonary cyst refers to well-defined, circumscribed and often rounded lesions with a thin wall (usually < 3 mm thick).(115) A frequent cause of localized cystic lung changes is advanced fibrosis giving rise to honeycombing. These cysts can have a diameter ranging from several millimeters to several centimeters. This wall is shared by adjacent cysts, a finding not seen in others lung cystic diseases.(115) Some diseases can mimic cystic lung diseases on CT imaging. The two most common potential causes of confusion are cystic bronchiectasis and emphysema (see below), although other conditions can be associated with cysts.

Cystic bronchiectasis

When diffuse, cystic bronchiectasis can mimic cystic lung disease on HRCT. However, differentiation between the two entities is usually possible when an accompanying pulmonary artery branch producing the ring sign is seen, and when scrolling through the adjacent CT slices and looking at images in another reconstruction phase shows the tubular character of the abnormality.

Emphysema

In general, emphysema has three major forms of presentation: centrilobular, in which multiple small centrilobular low attenuation without walls or with occasionally visible walls predominate in the upper lung zones (Figure 19).

Paraseptal emphysema (Figure 20) can occasionally simulate honeycomb changes in the lung. Paraseptal emphysematous changes are usually one layer deep in the subpleural portion of the lung, whereas honeycomb change is typically seen as stacking of two or more layers of small, thick-walled cystic spaces along the periphery of the lung. In centrilobular emphysema, there is rarely a cyst wall, and vessels can be seen coursing through the cystic airspaces, although there can be fibrosis in centrilobular emphysema spaces, with the resultant lung cyst aspect.


Panlobular emphysema predominates in the lung bases. In panlobular emphysema, there is an overall decrease in lung attenuation (Figure 21).

Respiratory bronchiolitis-associated interstitial lung disease

The definition of RB-ILD is a smoking-related interstitial lung disease in which cysts can result from bronchiolitis or from associated centriacinar emphysema.(116,117) The HRCT interpretation can be further complicated when emphysema and RB-ILD is present in the upper lobes and lung fibrosis is present at the lung bases, where honeycombing can also be present. In such cases, spirometry can be normal, but DLCO and gas exchange are severely impaired.(118)

Langerhans cell histiocytosis

The CT findings in LCH depend on the stage of the disease and range from nodules to cysts.(119) Regardless of the stage of disease, there is relative sparing of lung bases compared with the upper lungs. Initially, the findings on CT consist of a predominantly nodular pattern with lesions ranging from 1 to 10 mm in diameter and typically having quite irregular borders. Some of the nodules might be cavitated. (Figure 22) As the disease advances, cysts become a more predominant finding. In the end stage of the disease, cysts might be the only finding, with no nodules remaining. The combination of cysts and nodules, which spare the lung bases, in a male smoker, is sufficient for a confident diagnosis of LHC.(120) In women smokers, lymphangioleiomyomatosis (LAM) should be considered, since nodules (and cysts) can also be present.(121) Langerhans cells can be identified in BAL fluid, although the sensitivity and specificity of this test are quite low. The definitive diagnosis of LCH requires identification of Langerhans cell lesions which is usually achieved by surgical lung biopsy at a site selected based on HRCT scans of the chest. In practice, however, lung biopsy is performed on a case-by-case basis.(122) In surgical lung biopsies, the presence of inactive stellate scars can be the only clue to diagnosis. At this stage of the disease, the lesions contain few Langerhans cells.

Lymphangioleiomyomatosis

Patients presenting an abnormal proliferation of atypical smooth muscle cells within the lung, kidney, lymphatics, or any combination of sites can be considered candidates for a diagnosis of LAM. The disease can occur sporadically or in association with tuberous sclerosis complex. In either case, LAM is seen only in adult women, generally presenting before the menopause. The gold standard for the diagnosis of LAM is a tissue biopsy of lung or involved lymphatics, with nodular infiltration by abnormal smooth muscle cells, termed LAM cells. Immunohistochemistry will show that this peculiar and distinct smooth muscle is positive for the melanoma markers HMB45 and MART-1, as well as for estrogen/progesterone receptors, smooth muscle actin, and desmin.

An HRCT scan will reveal multiple thin-walled cysts scattered throughout all lung fields in an even distribution, with normal intervening lung parenchyma (Figure 23). When the lung appearance is classical and the patient also has other typical manifestations of LAM, a tissue biopsy is not required for diagnosis.(122) In cases requiring biopsy for diagnosis, the surgical lung biopsy can show a widely varying extent of disease, ranging from mainly thin-walled cysts with little visible LAM muscle in their walls (Figures 24 and 25) to predominant chronic hemorrhage that can obscure the diagnostic findings. A peculiar benign epithelial cell proliferation can also be present in LAM patients who have tuberous sclerosis complex. Such lesions are referred to as "micronodular pneumocyte hyperplasia" and do not stain with the LAM muscle markers listed above.











Neurofibromatosis type 1

In cases of neurofibromatosis type 1, HRCT scans reveal ground-glass opacities, bibasilar reticular opacities, bullae, and cysts, as well as emphysema, in the upper lobes.(123)

Other interstitial lung diseases with cysts

Cysts can occur in several DILDs, including chronic HP, chronic sarcoidosis, lymphoid interstitial pneumonia, DIP, and RB-ILD.(120,124,125) In a study of the diagnostic accuracy of HRCT in chronic cystic lung diseases,(120) a reliable diagnosis was rendered by two radiologists in approximately half of the cases.(126) In that study, the diagnosis was correct in approximately 90% of cases in which DIP/RB-ILD, lymphoid interstitial pneumonia, LAM, and LCH were the diagnoses, and in 100% of cases in which UIP was the diagnosis.

Mosaic perfusion (Figure 18) represents regions of decreased lung attenuation due to a reduction in blood flow. This could be the result of either bronchiolar or vascular diseases. When the lung appears heterogeneous, it is important to discern which regions are abnormal: low or high attenuation. Lung density is often misleading when trying to differentiate between mosaic perfusion (low attenuation) and ground-glass opacity (high attenuation). The features useful in this differentiation are presented in Chart 12.




Mosaic perfusion can be seen with any bronchiolar or vascular disease, thus the differential is quite broad. When this phenomenon results from vascular disease, HRCT findings mimic those seen in patients with infiltrative disease on inspiration scanning, but on expiratory scanning, air trapping should not be a dominant feature in vascular disease. Unfortunately, vascular disease can be quite difficult to identify correctly on HRCT scans and can be easily ­misinterpreted as infiltrative lung disease or airway disease.(127) Functional evidence of airflow obstruction or elevated residual volume can be quite helpful in such cases.

Air trapping is an indirect sign of obstructive small airways disease and can be identified by the presence of mosaic attenuation on inspiratory CT that is accentuated with expiratory imaging. Although air trapping is easily detected when focal because it produces mosaic attenuation, it can be difficult to detect when it is diffuse. Because air trapping often becomes apparent only on expiratory imaging, expiratory scans are an essential part of the CT evaluation for bronchiolitis. However, interpretation of expiratory CT is complicated by the knowledge that the prevalence of air trapping in healthy individuals can be substantial. The CT finding of air trapping should be ignored in the absence of ­physiologic evidence of elevated residual volume (by plethysmography), airway obstruction, or dyspnea.(128) If mosaic perfusion is seen in the absence of any other abnormality (e.g., bronchiectasis, tree-in-bud pattern, and other signs of chronic pulmonary emboli), the differential diagnosis is more focused and includes the diseases listed below.

Asthma and chronic bronchiolitis

Nonsmokers with persistent airflow obstruction and a diagnosis of asthma or COPD can have associated chronic bronchiolitis. In the absence of increased eosinophils in sputum and lack of response to standard treatments for asthma, such patients should be evaluated with expiratory HRCT. Those with significant air trapping should be considered for surgical lung biopsy for better identification of the underlying disease.(129)

Excluding that seen in transplantation patients, the most common forms of bronchiolitis resulting in isolated mosaic attenuation in clinical DILD are as follows:

a) connective tissue disorders (especially rheumatoid arthritis)
b) previous viral or mycoplasma infections
c) chronic HP
d) cryptogenic constrictive bronchiolitis and pulmonary neuroendocrine cell hyperplasia

Constrictive bronchiolitis

Permanent damage to the small airways, with no identifiable cause, is referred to as cryptogenic constrictive bronchiolitis.(130) This disorder is rare and occurs mostly in women. Cryptogenic constrictive bronchiolitis tends to be progressive and is poorly responsive to corticosteroid therapy but can respond to immunosuppressive agents. Progressive airflow limitation can result in respiratory failure and death. The pathology is often quite subtle and relies upon the recognition of bronchiolar loss (which can be difficult to quantify), typically accompanied by scattered thin-walled dilated bronchioles and mucous stasis in airway lumens.

Hypersensitivity pneumonitis

Patients with HP can present an isolated mosaic pattern due to subacute disease (cellular bronchiolitis with giant cells or granulomas) or chronic disease, with fibrotic bronchiolitis.(16,131) The possibility of environmental exposure should be carefully investigated.

Diffuse pulmonary neuroendocrine cell hyperplasia

Diffuse pulmonary neuroendocrine cell hyperplasia is a quite rare and poorly understood condition that is characterized by mosaic perfusion due to air trapping, airway wall thickening, and occasional small nodules on high resolution CT scans.(132) Neuroendocrine cell numbers are increased around small airways and within the airway epithelium. The disease primarily affects middle-aged women and manifests as airflow obstruction that is unexplained (since the disease typically affects nonsmokers).

Clinical and histopathological correlations

Mosaic perfusion can be seen with any bronchiolar or vascular disease, and the differential diagnosis is therefore quite broad. In some cases, it can be difficult to differentiate between such diseases and infiltrative disease. However, based on the distinguishing features listed in Chart 12, a reliable diagnosis can usually be made. Air trapping on expiratory scans, which is not seen in vascular disease, can confirm the diagnosis of airway disease.(133) Functional evidence of airflow obstruction or elevated residual volume can be quite helpful in difficult cases.

Bronchiolitis obliterans is a common finding in patients with bronchiectasis of any cause.(134) As an isolated microscopic finding, it is etiologically nonspecific and must be interpreted in the context of clinical presentation and radiographic features. In other words, clinically distinct disease processes can exhibit histologically overlapping patterns of bronchiolitis. Despite morphologically nonspecific findings in many cases, certain forms of bronchiolitis are histologically distinctive; these tend to occur in characteristic clinical settings. Examples include lesions such as constrictive bronchiolitis and diffuse panbronchiolitis. However, even these microscopic patterns do not have diagnostic significance unless correlated with clinical and radiographic features.(135)

"Headcheese" or "terrine" sign

The combination of ground-glass opacity and mosaic perfusion in the same patient is termed the "headcheese" or "terrine" sign (Chart 13; Figures 26 and 27). This gives the lung a heterogeneous appearance with three lung densities: high attenuation (ground-glass opacity); normal; and low attenuation (mosaic perfusion). Since it is typically due to HP, this is a quite useful finding.(136)







Final considerations

Since HRCT is the radiological imaging technique that most closely reflects changes in lung structure, it is the method of choice for the diagnostic work-up of patients with known or suspected DILD. Although a single HRCT finding is often nonspecific, the combination of the various HRCT findings, together with their anatomical distribution, can suggest the most likely diagnosis.

References

1. Leslie KO. Pathology of interstitial lung disease. Clin Chest Med. 2004;25(4):657-703, vi.

2. Chinnaiyan KM, Alexander D, Maddens M, McCullough PA. Curriculum in cardiology: integrated diagnosis and management of diastolic heart failure. Am Heart J. 2007;153(2):189-200.

3. Bruce DM, Heys SD, Eremin O. Lymphangitis carcinomatosa: a literature review. J R Coll Surg Edinb. 1996;41(1):7-13.

4. Heitzman ER, Markarian B, Raasch BN, Carsky EW, Lane EJ, Berlow ME. Pathways of tumor spread through the lung: radiologic correlations with anatomy and pathology. Radiology. 1982;144(1):3-14.

5. Levy H, Horak DA, Lewis MI. The value of bronchial washings and bronchoalveolar lavage in the diagnosis of lymphangitic carcinomatosis. Chest. 1988;94(5):1028-30.

6. Ma Y, Gal A, Koss MN. The pathology of pulmonary sarcoidosis: update. Semin Diagn Pathol. 2007;24(3):150-61.

7. Miller BH, Rosado-de-Christenson ML, McAdams HP, Fishback NF. Thoracic sarcoidosis: radiologic-pathologic correlation. Radiographics. 1995;15(2):421-37. Erratum in: Radiographics. 1997;17(6):1610.

8. Kong PM, Pinheiro L, Kaw G, Sittampalam K, Teo CH. Erdheim-Chester disease: a rare cause of interstitial lung disease. Singapore Med J. 2007;48(2):e57-9.

9. Koss MN. Malignant and benign lymphoid lesions of the lung. Ann Diagn Pathol. 2004;8(3):167-87.

10. American Thoracic Society. Idiopathic pulmonary fibrosis: diagnosis and treatment. International consensus statement. American Thoracic Society (ATS), and the European Respiratory Society (ERS). Am J Respir Crit Care Med. 2000;161(2 Pt 1):646-64.

11. Lynch DA. Fibrotic idiopathic interstitial pneumonia: high-resolution computed tomography considerations. Semin Respir Crit Care Med. 2003;24(4):365-76.

12. Collard HR, Loyd JE, King TE Jr, Lancaster LH. Current diagnosis and management of idiopathic pulmonary fibrosis: a survey of academic physicians. Respir Med. 2007;101(9):2011-6.

13. Pereira CA, Malheiros T, Coletta EM, Ferreira RG, Rubin AS, Otta JS, et al. Survival in idiopathic pulmonary fibrosis-cytotoxic agents compared to corticosteroids. Respir Med. 2006;100(2):340-7.

14. Hunninghake GW, Zimmerman MB, Schwartz DA, King TE Jr, Lynch J, Hegele R, et al. Utility of a lung biopsy for the diagnosis of idiopathic pulmonary fibrosis. Am J Respir Crit Care Med. 2001;164(2):193-6.

15. Bagatin E, Pereira CA, Afiune JB. Granulomatous diseases of occupational etiology. J Bras Pneumol. 2006;32(Suppl 2):S69-S84.

16. Lima MS. Pneumonite de hipersensibilidade subaguda e crônica: características clínicas, funcionais, tomográficas e histológicas e correlações com a sobrevida. [thesis]. São Paulo: Universidade Federal de São Paulo; 2007.

17. Lynch DA, Newell JD, Logan PM, King TE Jr, Müller NL. Can CT distinguish hypersensitivity pneumonitis from idiopathic pulmonary fibrosis? AJR Am J Roentgenol. 1995;165(4):807-11.

18. Silva CI, Müller NL, Lynch DA, Curran-Everett D, Brown KK, Lee KS, et al. Chronic hypersensitivity pneumonitis: differentiation from idiopathic pulmonary fibrosis and nonspecific interstitial pneumonia by using thin-section CT. Radiology. 2008;246(1):288-97.

19. Lacasse Y, Selman M, Costabel U, Dalphin JC, Ando M, Morell F, et al. Clinical diagnosis of hypersensitivity pneumonitis. Am J Respir Crit Care Med. 2003;168(8):952-8.

20. Abehsera M, Valeyre D, Grenier P, Jaillet H, Battesti JP, Brauner MW. Sarcoidosis with pulmonary fibrosis: CT patterns and correlation with pulmonary function. AJR Am J Roentgenol. 2000;174(6):1751-7.

21. Primack SL, Hartman TE, Hansell DM, Müller NL. End-stage lung disease: CT findings in 61 patients. Radiology. 1993;189(3):681-6.

22. Katzenstein AL, Fiorelli RF. Nonspecific interstitial pneumonia/fibrosis. Histologic features and clinical significance. Am J Surg Pathol. 1994;18(2):136-47.

23. Liebow, AA Carrington, CB: The interstitial pneumonias. In: Simon M, Potchen EJ, Le May M. Frontiers of pulmonary radiology: pathophysiologic, roentgenographic and radioisotopic considerations; proceedings of the symposium sponsored by Harvard Medical School, April 21-22, 1967. New York: Grune & Stratton; 1969. p. 102-141.

24. Flaherty KR, Martinez FJ. Nonspecific interstitial pneumonia. Semin Respir Crit Care Med. 2006;27(6):652-8.

25. Kinder BW, Collard HR, Koth L, Daikh DI, Wolters PJ, Elicker B, et al. Idiopathic nonspecific interstitial pneumonia: lung manifestation of undifferentiated connective tissue disease? Am J Respir Crit Care Med. 2007;176(7):691-7.

26. Vourlekis JS, Schwarz MI, Cool CD, Tuder RM, King TE, Brown KK. Nonspecific interstitial pneumonitis as the sole histologic expression of hypersensitivity pneumonitis. Am J Med. 2002;112(6):490-3.

27. Hartman TE, Swensen SJ, Hansell DM, Colby TV, Myers JL, Tazelaar HD, et al. Nonspecific interstitial pneumonia: variable appearance at high-resolution chest CT. Radiology. 2000;217(3):701-5. Erratum in: Radiology. 2001;218(2):606.

28. Travis WD, Matsui K, Moss J, Ferrans VJ. Idiopathic nonspecific interstitial pneumonia: prognostic significance of cellular and fibrosing patterns: survival comparison with usual interstitial pneumonia and desquamative interstitial pneumonia. Am J Surg Pathol. 2000;24(1):19-33.

29. MacDonald SL, Rubens MB, Hansell DM, Copley SJ, Desai SR, du Bois RM, et al. Nonspecific interstitial pneumonia and usual interstitial pneumonia: comparative appearances at and diagnostic accuracy of thin-section CT. Radiology. 2001;221(3):600-5.

30. Johkoh T, Müller NL, Cartier Y, Kavanagh PV, Hartman TE, Akira M, et al. Idiopathic interstitial pneumonias: diagnostic accuracy of thin-section CT in 129 patients. Radiology. 1999;211(2):555-60.

31. Lynch DA, Travis WD, Müller NL, Galvin JR, Hansell DM, Grenier PA, et al. Idiopathic interstitial pneumonias: CT features. Radiology. 2005;236(1):10-21.

32. Johkoh T, Müller NL, Colby TV, Ichikado K, Taniguchi H, Kondoh Y, et al. Nonspecific interstitial pneumonia: correlation between thin-section CT findings and pathologic subgroups in 55 patients. Radiology. 2002;225(1):199-204.

33. Kim TS, Lee KS, Chung MP, Han J, Park JS, Hwang JH, et al. Nonspecific interstitial pneumonia with fibrosis: high-resolution CT and pathologic findings. AJR Am J Roentgenol. 1998;171(6):1645-50.

34. Elliot TL, Lynch DA, Newell JD Jr, Cool C, Tuder R, Markopoulou K, et al. High-resolution computed tomography features of nonspecific interstitial pneumonia and usual interstitial pneumonia. J Comput Assist Tomogr. 2005;29(3):339-45.

35. Sumikawa H, Johkoh T, Ichikado K, Taniguchi H, Kondoh Y, Fujimoto K, et al. Usual interstitial pneumonia and chronic idiopathic interstitial pneumonia: analysis of CT appearance in 92 patients. Radiology. 2006;241(1):258-66.

36. Silva CI, Müller NL. Drug-induced lung diseases: most common reaction patterns and corresponding high-resolution CT manifestations. Semin Ultrasound CT MR. 2006;27(2):111-6.

37. Myers JL, Limper AH, Swensen SJ. Drug-induced lung disease: a pragmatic classification incorporating HRCT appearances. Semin Respir Crit Care Med. 2003;24(4):445-54.

38. Copley SJ, Wells AU, Sivakumaran P, Rubens MB, Lee YC, Desai SR, et al. Asbestosis and idiopathic pulmonary fibrosis: comparison of thin-section CT features. Radiology. 2003;229(3):731-6.

39. American Thoracic Society. Medical Section of the American Lung Association: The diagnosis of nonmalignant diseases related to asbestos. Am Rev Respir Dis. 1986;134(2):363-8.

40. Vathesatogkit P, Harkin TJ, Addrizzo-Harris DJ, Bodkin M, Crane M, Rom WN. Clinical correlation of asbestos bodies in BAL fluid. Chest. 2004;126(3):966-71.

41. Leslie KO, Gruden JF, Parish JM, Scholand MB. Transbronchial biopsy interpretation in the patient with diffuse parenchymal lung disease. Arch Pathol Lab Med. 2007;131(3):407-23.

42. Drent M, Mansour K, Linssen C. Bronchoalveolar lavage in sarcoidosis. Semin Respir Crit Care Med. 2007;28(5):486-95.

43. De Capitani EM. Silicosis (still) among us. J Bras Pneumol. 2006;32(6):xxxiii-xxxv.

44. Abbondanzo SL, Rush W, Bijwaard KE, Koss MN. Nodular lymphoid hyperplasia of the lung: a clinicopathologic study of 14 cases. Am J Surg Pathol. 2000;24(4):587-97.

45. Nicholson AG. Lymphocytic interstitial pneumonia and other lymphoproliferative disorders in the lung. Semin Respir Crit Care Med. 2001;22(4):409-22.

46. Lachmann HJ, Hawkins PN. Amyloidosis and the lung. Chron Respir Dis. 2006;3(4):203-14.

47. Lee KS, Kim TS, Han J, Hwang JH, Yoon JH, Kim Y, et al. Diffuse micronodular lung disease: HRCT and pathologic findings. J Comput Assist Tomogr. 1999;23(1):99-106.

48. Maartens G, Willcox PA, Benatar SR. Miliary tuberculosis: rapid diagnosis, hematologic abnormalities, and outcome in 109 treated adults. Am J Med. 1990;89(3):291-6.

49. Iseman MD. Extrapulmonary tuberculosis in adults. In: Iseman MD, editor. A Clinician's guide to tuberculosis. Philadelphia: Lippincott Williams & Wilkins; 2000. p 145-197.

50. Zompatori M, Calabrò E, Poletti V, Rabaiotti E, Piazza N, Viani S. Hypersensitivity pneumonitis. High resolution CT findings with pathological correlations. A pictorial essay. Radiol Med (Torino). 2003;106(1-2):44-50.

51. Wells AU, Nicholson AG, Hansell DM. Challenges in pulmonary fibrosis. 4: smoking-induced diffuse interstitial lung diseases. Thorax. 2007;62(10):904-10.

52. Vassallo R, Limper AH. Pulmonary Langerhans' cell histiocytosis. Semin Respir Crit Care Med. 2002;23(2):93-101.

53. Aerni MR, Vassallo R, Myers JL, Lindell RM, Ryu JH. Follicular bronchiolitis in surgical lung biopsies: clinical implications in 12 patients. Respir Med. 2008;102(2):307-12.

54. Howling SJ, Hansell DM, Wells AU, Nicholson AG, Flint JD, Müller NL. Follicular bronchiolitis: thin-section CT and histologic findings. Radiology. 1999;212(3):637-42.

55. Rossi SE, Franquet T, Volpacchio M, Giménez A, Aguilar G. Tree-in-bud pattern at thin-section CT of the lungs: radiologic-pathologic overview. Radiographics. 2005;25(3):789-801.

56. Penn CC, Liu C. Bronchiolitis following infection in adults and children. Clin Chest Med. 1993;14(4):645-54.

57. Chan ED, Kalayanamit T, Lynch DA, Tuder R, Arndt P, Winn R, et al. Mycoplasma pneumoniae-associated bronchiolitis causing severe restrictive lung disease in adults: report of three cases and literature review. Chest. 1999;115(4):1188-94.

58. Hatipoğlu ON, Osma E, Manisali M, Uçan ES, Balci P, Akkoçlu A, et al. High resolution computed tomographic findings in pulmonary tuberculosis. Thorax. 1996;51(4):397-402.

59. Levin DL. Radiology of pulmonary Mycobacterium avium-intracellulare complex. Clin Chest Med. 2002;23(3):603-12.

60. Aquino SL, Gamsu G, Webb WR, Kee ST. Tree-in-bud pattern: frequency and significance on thin section CT. J Comput Assist Tomogr. 1996;20(4):594-9

61. Martinez JA, Guimarães SM, Ferreira RG, Pereira CA. Diffuse panbronchiolitis in Latin America. Am J Med Sci. 2000;319(3):183-5.

62. Souza R, Kairalla RA, Santos Ud Ude P, Takagaki TY, Capelozzi VL, Carvalho CR. Diffuse panbronchiolitis: an underdiagnosed disease? Study of 4 cases in Brazil. Rev Hosp Clin Fac Med Sao Paulo. 2002;57(4):167-74.

63. Fitzgerald JE, King TE Jr, Lynch DA, Tuder RM, Schwarz MI. Diffuse panbronchiolitis in the United States. Am J Respir Crit Care Med. 1996;154(2 Pt 1):497-503.

64. Iwata M, Colby TV, Kitaichi M. Diffuse panbronchiolitis: diagnosis and distinction from various pulmonary diseases with centrilobular interstitial foam cell accumulations. Hum Pathol. 1994;25(4):357-63.

65. Barnes TW, Vassallo R, Tazelaar HD, Hartman TE, Ryu JH. Diffuse bronchiolar disease due to chronic occult aspiration. Mayo Clin Proc. 2006;81(2):172-6.

66. Poletti V, Costabel U. Bronchiolar disorders: classification and diagnostic approach. Semin Respir Crit Care Med. 2003;24(5):457-64.

67. Ware LB, Matthay MA. Clinical practice. Acute pulmonary edema. N Engl J Med. 2005;353(26):2788-96.

68. Avecillas JF, Freire AX, Arroliga AC. Clinical epidemiology of acute lung injury and acute respiratory distress syndrome: incidence, diagnosis, and outcomes. Clin Chest Med. 2006;27(4):549-57; abstract vii.

69. Johkoh T, Müller NL, Taniguchi H, Kondoh Y, Akira M, Ichikado K, et al. Acute interstitial pneumonia: thin-section CT findings in 36 patients. Radiology. 1999;211(3):859-63.

70. Tomiyama N, Müller NL, Johkoh T, Honda O, Mihara N, Kozuka T, et al. Acute parenchymal lung disease in immunocompetent patients: diagnostic accuracy of high-resolution CT. AJR Am J Roentgenol. 2000;174(6):1745-50.

71. Manganelli P, Fietta P, Carotti M, Pesci A, Salaffi F. Respiratory system involvement in systemic vasculitides. Clin Exp Rheumatol. 2006;24(2 Suppl 41):S48-59.

72. Olson J, Colby TV, Elliott CG. Hamman-Rich syndrome revisited. Mayo Clin Proc. 1990;65(12):1538-48.

73. Pache JC, Christakos PG, Gannon DE, Mitchell JJ, Low RB, Leslie KO. Myofibroblasts in diffuse alveolar damage of the lung. Mod Pathol. 1998;11(11):1064-70.

74. Collard HR, Moore BB, Flaherty KR, Brown KK, Kaner RJ, King TE Jr, et al. Acute exacerbations of idiopathic pulmonary fibrosis. Am J Respir Crit Care Med. 2007;176(7):636-43.

75. Abratt RP, Morgan GW, Silvestri G, Willcox P. Pulmonary complications of radiation therapy. Clin Chest Med. 2004;25(1):167-77.

76. Leslie KO, Trahan S, Gruden J. Pulmonary pathology of the rheumatic diseases. Semin Respir Crit Care Med. 2007;28(4):369-78.

77. Won Huh J, Soon Kim D, Keun Lee C, Yoo B, Bum Seo J, Kitaichi M, et al. Two distinct clinical types of interstitial lung disease associated with polymyositis-dermatomyositis. Respir Med. 2007;101(8):1761-9.

78. Suleiman M, Wolfovitz E, Boulman N, Levy Y. Adult onset Still's disease as a cause of ARDS and acute respiratory failure. Scand J Rheumatol. 2002;31(3):181-3.

79. Vahid B, Marik PE. An 18-year-old woman with fever, diffuse pulmonary opacities, and rapid onset of respiratory failure: idiopathic acute eosinophilic pneumonia. Chest. 2006;130(6):1938-41.

80. Cohen AJ, King TE Jr, Downey GP. Rapidly progressive bronchiolitis obliterans with organizing pneumonia. Am J Respir Crit Care Med. 1994;149(6):1670-5.

81. Schwarz MI, Albert RK. "Imitators" of the ARDS: implications for diagnosis and treatment. Chest. 2004;125(4):1530-5.

82. Patel SR, Karmpaliotis D, Ayas NT, Mark EJ, Wain J, Thompson BT, et al. The role of open-lung biopsy in ARDS. Chest. 2004;125(1):197-202.

83. Parambil JG, Myers JL, Aubry MC, Ryu JH. Causes and prognosis of diffuse alveolar damage diagnosed on surgical lung biopsy. Chest. 2007;132(1):50-7.

84. Miller WT Jr, Shah RM. Isolated diffuse ground-glass opacity in thoracic CT: causes and clinical presentations. AJR Am J Roentgenol. 2005;184(2):613-22.

85. Battista G, Sassi C, Zompatori M, Palmarini D, Canini R. Ground-glass opacity: interpretation of high resolution CT findings. Radiol Med (Torino). 2003;106(5-6):425-42; quiz 443-4.

86. Costabel U, Guzman J, Bonella F, Oshimo S. Bronchoalveolar lavage in other interstitial lung diseases. Semin Respir Crit Care Med. 2007;28(5):514-24.

87. Maher TM, Wells AU, Laurent GJ. Idiopathic pulmonary fibrosis: multiple causes and multiple mechanisms? Eur Respir J. 2007;30(5):835-9.

88. Yang IV, Burch LH, Steele MP, Savov JD, Hollingsworth JW, McElvania-Tekippe E, et al. Gene expression profiling of familial and sporadic interstitial pneumonia. Am J Respir Crit Care Med. 2007;175(1):45-54.

89. Selman M, Pardo A, Barrera L, Estrada A, Watson SR, Wilson K, et al. Gene expression profiles distinguish idiopathic pulmonary fibrosis from hypersensitivity pneumonitis. Am J Respir Crit Care Med. 2006;173(2):188-98.

90. Galves Jr RR. Bronquiolite obliterante com pneumonia em organização-causas e achados diferenciais em 95 casos. [dissertation]. São Paulo: Universidade Federal de São Paulo, 2006.

91. Polverosi R, Maffesanti M, Dalpiaz G. Organizing pneumonia: typical and atypical HRCT patterns. Radiol Med (Torino). 2006;111(2):202-12.

92. Kim SJ, Lee KS, Ryu YH, Yoon YC, Choe KO, Kim TS, et al. Reversed halo sign on high-resolution CT of cryptogenic organizing pneumonia: diagnostic implications. AJR Am J Roentgenol. 2003;180(5):1251-4.

93. Gasparetto EL, Escuissato DL, Davaus T, de Cerqueira EM, Souza AS Jr, Marchiori E, et al. Reversed halo sign in pulmonary paracoccidioidomycosis. AJR Am J Roentgenol. 2005;184(6):1932-4.

94. Ujita M, Renzoni EA, Veeraraghavan S, Wells AU, Hansell DM. Organizing pneumonia: perilobular pattern at thin-section CT. Radiology. 2004;232(3):757-61.

95. Poletti V, Cazzato S, Minicuci N, Zompatori M, Burzi M, Schiattone ML. The diagnostic value of bronchoalveolar lavage and transbronchial lung biopsy in cryptogenic organizing pneumonia. Eur Respir J. 1996;9(12):2513-6.

96. Vourlekis JS. Acute interstitial pneumonia. Clin Chest Med. 2004;25(4):739-47, vii.

97. Papiris SA, Tsonis IA, Moutsopoulos HM. Sjögren's Syndrome. Semin Respir Crit Care Med. 2007;28(4):459-71.

98. Ishikawa CC, Ab'Saber AM, Parra ER, Lin CJ, Barbas CS, Capelozzi VL. [Immunophenotyping and gene rearrangement analysis in lymphoid/lymphoproliferative disorders of the lungs][Article in Portuguese]. J Bras Pneumol. 2007;33(6):625-34.

99. Cancellieri A, Dalpiaz G, Mafessanti M, Pesci A, Polverosi R, Zompatori M Mucosa-associated lymphatic tissue lymphoma In: Mafessanti M, Dalpiaz G, editors. Diffuse Lung Diseases. Millan: Springer; 2004. p. 168-171.

100. Nunes H, Brillet PY, Valeyre D, Brauner MW, Wells AU. Imaging in sarcoidosis. Semin Respir Crit Care Med. 2007;28(1):102-20.

101. Nishimura K, Itoh H, Kitaichi M, Nagai S, Izumi T. Pulmonary sarcoidosis: correlation of CT and histopathologic findings. Radiology. 1993;189(1):105-9. Erratum in: Radiology. 1994;190(3):907.

102. Leung AN, Miller RR, Müller NL. Parenchymal opacification in chronic infiltrative lung diseases: CT-pathologic correlation. Radiology. 1993;188(1):209-14.

103. Akira M, Kozuka T, Inoue Y, Sakatani M. Long-term follow-up CT scan evaluation in patients with pulmonary sarcoidosis. Chest. 2005;127(1):185-91.

104. Johkoh T, Ikezoe J, Takeuchi N, Kohno N, Tomiyama N, Akira M, et al. CT findings in "pseudoalveolar" sarcoidosis. J Comput Assist Tomogr. 1992;16(6):904-7.

105. Cottin V, Cordier JF. Eosinophilic pneumonias. Allergy. 2005;60(7):841-57.

106. Arakawa H, Kurihara Y, Niimi H, Nakajima Y, Johkoh T, Nakamura H. Bronchiolitis obliterans with organizing pneumonia versus chronic eosinophilic pneumonia: high-resolution CT findings in 81 patients. AJR Am J Roentgenol. 2001;176(4):1053-8.

107. de Albuquerque Filho AP. Exogenous lipoid pneumonia: importance of clinical history to the diagnosis. J Bras Pneumol. 2006;32(6):596-8.

108. Travis WD. Pathology and genetics of tumours of the lung, pleura, thymus, and heart. World Health Organization classification of tumours, 7. Lyon: IARC Press; 2004.

109. Gandara DR, Aberle D, Lau D, Jett J, Akhurst T, Heelan R, et al. Radiographic imaging of bronchioloalveolar carcinoma: screening, patterns of presentation and response assessment. J Thorac Oncol. 2006;1(9 Suppl):S20-6. Erratum in: J Thorac Oncol. 2007 Jan;2(1):11. Heelan, Robert [added].

110. Raz DJ, Kim JY, Jablons DM. Diagnosis and treatment of bronchioloalveolar carcinoma. Curr Opin Pulm Med. 2007;13(4):290-6.

111. Springmeyer SC, Hackman R, Carlson JJ, McClellan JE. Bronchiolo-alveolar cell carcinoma diagnosed by bronchoalveolar lavage. Chest. 1983;83(2):278-9.

112. Miyake H, Matsumoto A, Terada A, Yoshida S, Takaki H, Mori H. Mucin-producing tumor of the lung: CT findings. J Thorac Imaging. 1995;10(2):96-8.

113. Vancheeswaran R, Morgan C, Wells A. Pulmonary Alveolar Proteinosis: Investigation and Management-A Review. Clin Pulm Med. 14(6):360-364.

114. Rossi SE, Erasmus JJ, Volpacchio M, Franquet T, Castiglioni T, McAdams HP. "Crazy-paving" pattern at thin-section CT of the lungs: radiologic-pathologic overview. Radiographics. 2003;23(6):1509-19.

115. Webb WR, Müller NL, Naidich DP. Standardized terms for high-resolution computed tomography of the lung: a proposed glossary. J Thorac Imaging. 1993;8(3):167-75.

116. Scully RE, Mark EJ, McNeely WF, Ebeling SH, Phillips LD. Case records of the Massachusetts General Hospital. Weekly clinicopathological exercises. Case 20-1997. A 74-year-old man with progressive cough, dyspnea, and pleural thickening. N Engl J Med. 1997;336(26):1895-903.

117. Rodrigues SC, Rodrigues MM, Colleta EM, Rocha NS, Pereira CA. Respiratory bronchilitis-associated interstitial lung disease. J. Bras. Pneumol. 2004;30(6):574-580.

118. Cottin V, Nunes H, Brillet PY, Delaval P, Devouassoux G, Tillie-Leblond I, et al. Combined pulmonary fibrosis and emphysema: a distinct underrecognised entity. Eur Respir J. 2005;26(4):586-93.

119. Abbott GF, Rosado-de-Christenson ML, Franks TJ, Frazier AA, Galvin JR. From the archives of the AFIP: pulmonary Langerhans cell histiocytosis. Radiographics. 2004;24(3):821-41.

120. Koyama M, Johkoh T, Honda O, Tsubamoto M, Kozuka T, Tomiyama N, et al. Chronic cystic lung disease: diagnostic accuracy of high-resolution CT in 92 patients. AJR Am J Roentgenol. 2003;180(3):827-35.

121. Tazi A. Adult pulmonary Langerhans' cell histiocytosis. Eur Respir J. 2006;27(6):1272-85.

122. Johnson SR. Lymphangioleiomyomatosis. Eur Respir J. 2006;27(5):1056-65.

123. Zamora AC, Collard HR, Wolters PJ, Webb WR, King TE. Neurofibromatosis-associated lung disease: a case series and literature review. Eur Respir J. 2007;29(1):210-4.

124. Franquet T, Hansell DM, Senbanjo T, Remy-Jardin M, Müller NL. Lung cysts in subacute hypersensitivity pneumonitis. J Comput Assist Tomogr. 2003;27(4):475-8.

125. Nagashima O, Takahashi K, Suzuki T, Miura K, Sato K, Muramatsu M, et al. An elderly case of sarcoidosis with multiple pulmonary cysts [Article in Japanese]. Nihon Kokyuki Gakkai Zasshi. 2005;43(6):370-4.

126. Genereux GP. The end-stage lung: pathogenesis, pathology, and radiology. Radiology. 1975;116(02):279-89.

127. Worthy SA, Müller NL, Hartman TE, Swensen SJ, Padley SP, Hansell DM. Mosaic attenuation pattern on thin-section CT scans of the lung: differentiation among infiltrative lung, airway, and vascular diseases as a cause. Radiology. 1997;205(2):465-70.

128. Pipavath SJ, Lynch DA, Cool C, Brown KK, Newell JD. Radiologic and pathologic features of bronchiolitis. AJR Am J Roentgenol. 2005;185(2):354-63.

129. Ghanei M, Tazelaar HD, Harandi A, Peyman M, Hoseini Akbari HM, Aslani J. Clinical differentiation between resistant asthma and chronic bronchiolitis: testing a practical approach. Iran J Allergy Asthma Immunol. 2007;6(4):207-14.

130. Ryu JH. Classification and approach to bronchiolar diseases. Curr Opin Pulm Med. 2006;12(2):145-51.

131. Markopoulo KD, Cool CD, Elliot TL, Lync DA, Newell JD Jr, Hale VA, et al. Obliterative bronchiolitis: varying presentations and clinicopathological correlation. Eur Respir J. 2002;19(1):20-30.

132. Lee JS, Brown KK, Cool C, Lynch DA. Diffuse pulmonary neuroendocrine cell hyperplasia: radiologic and clinical features. J Comput Assist Tomogr. 2002;26(2):180-4.

133. Visscher DW, Myers JL. Bronchiolitis: the pathologist's perspective. Proc Am Thorac Soc. 2006;3(1):41-7.

134. Culiner MM. Obliterative bronchitis and bronchiolitis with bronchiectasis. Dis Chest. 1963;44:351-60.

135. Ryu JH, Myers JL, Swensen SJ. Bronchiolar disorders. Am J Respir Crit Care Med. 2003;168(11):1277-92.

136. Chung MH, Edinburgh KJ, Webb EM, McCowin M, Webb WR. Mixed infiltrative and obstructive disease on high-resolution CT: differential diagnosis and functional correlates in a consecutive series. J Thorac Imaging. 2001;16(2):69-75.




Study carried out in the Department of Radiology, University of California at San Francisco, San Francisco, CA, USA; the Department of Pulmonary Medicine, Hospital do Servidor Público Estadual de São Paulo/Universidade Federal de São Paulo, São Paulo, Brazil; and the Department of Laboratory Medicine and Pathology, Mayo Clinic Arizona, Scottsdale, AZ, USA.
1. Assistant Clinical Professor of Radiology. University of California at San Francisco, San Francisco, CA, USA.
2. Head of the Pulmonology Department. Hospital do Servidor Público Estadual de São Paulo - HSPE-SP, São Paulo Hospital for State Civil Servants - São Paulo, Brazil.
3. Professor of Radiology. University of California at San Francisco, San Francisco, CA, USA.
4. Professor of Pathology. Mayo Clinic College of Medicine, Scottsdale, AZ, USA.
Correspondence to: Carlos Alberto de Castro Pereira. Av. Iraí, 393, conjs 33/34, Moema, CEP 04083-001, São Paulo, SP, Brasil.
Tel 55 11 5543-8070. E-mail: pereirac@uol.com.br
Financial support: None.
Submitted: 3 March 2008. Accepted, after review: 5 March 2008.
**A versão completa em português deste artigo está disponível em www.jornaldepneumologia.com.br

Indexes

Development by:

© All rights reserved 2025 - Jornal Brasileiro de Pneumologia