Continuous and bimonthly publication
ISSN (on-line): 1806-3756

Licença Creative Commons
38031
Views
Back to summary
Open Access Peer-Reviewed
Case Report

Hamartoma pulmonar como diagnóstico diferencial de metástase de carcinoma de mama: relato de caso

Pulmonary hamartoma as a differential diagnosis of breast cancer metastasis: case report

Vanessa Assis da Silva, Paula Kataguiri, Damila Cristina Trufelli, Leandro Luongo de Matos, João Carlos das Neves-Pereira, José Ribas Milanez de Campos

ABSTRACT

We present the case of a 60-year-old female patient who had been in menopause for 14 years and presented a pulmonary nodule on chest X-ray diagnosed in the postoperative follow-up evaluation of breast cancer. The patient had a history of mastectomy and ipsilateral axillary lymphadenectomy for invasive ductal breast carcinoma, as well as of hormone therapy, chemotherapy, and adjuvant radiotherapy. After thoracoscopic nodulectomy, the frozen section analysis revealed a pulmonary hamartoma. Recent studies show that 75% of patients who undergo surgery for pulmonary nodules after a curative mastectomy for breast cancer present lung metastases, 11.5% present primary lung cancer, and 13.5% present benign lesions, including hamartoma.

Keywords: Hamartoma; Breast neoplasms; Lung neoplasms; Neoplasm metastasis.

RESUMO

Relata-se o caso de uma paciente de 60 anos, em menopausa há 14 anos, com presença de nódulo pulmonar à radiografia de tórax diagnosticado no seguimento pós-operatório por neoplasia de mama. A paciente tinha história de mastectomia e linfadenectomia axilar ipsilateral por carcinoma ductal invasivo de mama, assim como de hormonioterapia, quimioterapia e radioterapia adjuvante. Após nodulectomia por vídeotoracoscopia, o exame de congelação mostrou tratar-se de um hamartoma pulmonar. Estudos recentes demonstram que 75% dos pacientes que se submeteram a cirurgia por nódulos pulmonares após mastectomia curativa de câncer de mama apresentaram metástases pulmonares, 11,5% apresentaram câncer primário de pulmão e 13,5% apresentaram lesões benignas, dentre as quais o hamartoma.

Palavras-chave: Hamartoma; Neoplasias mamárias; Neoplasias pulmonares; Metástase neoplásica.

Introdução

Metástases pulmonares são ocorrências comuns em pacientes com câncer de mama,(1,2) os quais são geralmente tratados com quimioterapia sistêmica.(1) Alguns estudos clínicos sugerem que a ressecção de metástases pulmonares (metastasectomia) pode ser uma opção de tratamento.(2-5) Porém, o papel da cirurgia para metástases pulmonares originadas do câncer de mama ainda não está totalmente estabelecido.(6)

Os nódulos pulmonares que aparecem em pacientes que se submeteram a mastectomia por câncer de mama são, em sua maioria, metástases pulmonares. Porém, não é infreqüente encontrar tumores metacrônicos de pulmão e também algumas doenças benignas, dentre as quais destaca-se o hamartoma pulmonar.(6)

Relato do caso

Paciente do sexo feminino, 60 anos, branca, em menopausa há 14 anos, é encaminha devido à presença de nódulo pulmonar à radiografia de tórax (Figura 1) diagnosticado no seguimento pós-operatório por neoplasia de mama. Trata-se de uma paciente que tem como antecedente pessoal a realização de mastectomia total à direita e linfadenectomia axilar ipsilateral há 3 anos por carcinoma ductal invasivo (diagnosticado por core biopsy) de 45 mm em seu maior eixo, grau nuclear II e estádio IIB (T2N1Mx). Submetida também à hormonioterapia (tamoxifeno 20 mg/dia) e quimioterapia (ciclofosfamida + metrotexate + 5-fluorouracil: quatro ciclos neoadjuvantes e seis ciclos adjuvantes), assim como a radioterapia adjuvante (dose total de 50 Grays por cinco semanas). Negava sintomas pulmonares, febre e emagrecimento.





Foi então realizada tomografia computadorizada de tórax que identificou um nódulo pulmonar pleuro-parenquimatoso de aproximadamente 30 × 25 mm (Figura 2) em pulmão direito. Assim foi aventada a hipótese de metástase pulmonar do carcinoma de mama previamente operado, sendo indicada biópsia para confirmação diagnóstica.





A paciente foi então submetida a nodulectomia por vídeotoracoscopia. O exame de congelação mostrou tratar-se de um tumor benigno (provavelmente um hamartoma pulmonar), sendo então encerrado o procedimento.

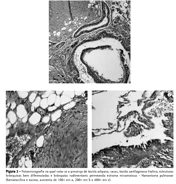
O exame anátomo-patológico revelou tratar-se de uma lesão de 30 × 25 mm, não encapsulada, regular e de consistência firme e fibroelástica. A microscopia (Figura 3) evidenciou vasos, tecido adiposo, tecido cartilaginoso, estruturas brônquicas bem diferenciadas, porém desorganizadas, e estroma fibrovascular ricamente vascularizado com brônquios rudimentares de permeio, compatível com hamartoma pulmonar.





A paciente recuperou-se bem e recebeu alta no segundo dia pós-operatório. Segue em acompanhamento ambulatorial anual no Serviço de Oncologia, tendo completado 5 anos de hormonioterapia com tamoxifeno, sem sinais de recidiva tumoral até o momento.

Discussão

O hamartoma pulmonar representa 77% dos tumores benignos do pulmão(1) e 4% de todos os nódulos pulmonares solitários.(7) Essa lesão foi descrita como uma neoplasia benigna de tecido conectivo fibroso do brônquio envolto por epitélio respiratório, contendo, quase sempre, cartilagem e tecido gorduroso, não respeitando a distribuição histológica pulmonar habitual.(2)

Noventa por cento dos hamartomas manifestam-se como uma massa periférica solitária,(7) e raramente se apresentam na forma de múltiplas lesões.(3) São mais comuns em adultos, e sua incidência é duas vezes maior em homens do que em mulheres,(1) com taxa de crescimento média de 3,2 ± 2,6 mm/ano.(8)

Radiograficamente, a lesão periférica localiza-se preferencialmente nas bases pulmonares e aparece como uma massa bem definida e homogênea; algumas vezes, as margens podem aparecer lobuladas ou boceladas.(9) O tamanho usual é de 1 a 2 cm, porém lesões maiores também são observadas. Em até 30% dos casos pode haver calcificações, comumente na forma difusa. Alguns autores(10) também demonstraram a presença de tecido gorduroso em 50% dos hamartomas avaliados por tomografia computadorizada.

Existe a ocorrência de malignidade em hamartomas. Alguns pesquisadores(5) observaram que a incidência de carcinoma brônquico é 6,3 vezes maior em pacientes com hamartoma do que em uma população normal, sugerindo uma relação etiológica presente.

É freqüente a confusão que se faz quando nódulos pulmonares são encontrados no seguimento de pacientes que se submeteram a mastectomia por câncer de mama.

Segundo um estudo recente,(6) os diagnósticos patológicos de nódulos pulmonares demonstraram que 75% dos pacientes que se submeteram a cirurgia por nódulos pulmonares após cirurgia curativa de câncer de mama apresentaram metástases pulmonares, 11,5% apresentaram câncer primário de pulmão (adenocarcinoma e carcinoma de células escamosas) e 13,5% apresentaram lesões benignas (tuberculose pulmonar, hemangioma esclerosante, pneumonia organizada típica), das quais 28,6% eram hamartomas pulmonares.

Assim, os nódulos pulmonares que aparecem em pacientes submetidos a mastectomia por câncer de mama nem sempre são metástases pulmonares, sendo de fundamental importância a confirmação do diagnóstico histopatológico para definir o tratamento.(11)

A broncoscopia com biópsia é indicada nas lesões endobrônquicas e também nos pacientes com sintomas pulmonares como tosse, hemoptise, infecções pulmonares de repetição e/ou atelectasia.(12) A biópsia aspirativa percutânea transtorácica diagnostica 85% dos hamartomas próximos à parede torácica, diferenciando-os de nódulos de outras etiologias, tais como a metástase pulmonar de neoplasia mamária. Quando estão presentes fragmentos de cartilagem à citologia, o diagnóstico é muito sugestivo de hamartoma.(4) Caso o diagnóstico não tenha sido estabelecido, pois a biópsia percutânea nem sempre é possível em função da rigidez do tumor, a enucleação ou a ressecção por toracotomia aberta ou vídeo-assistida são indicadas.(9,11,13)

Como a neoplasia de mama tem um curso progressivo lento,(14) o tempo médio entre a mastectomia e a identificação de nódulos pulmonares é de aproximadamente 60 meses, tempo este que costuma ser maior quando se trata de neoplasia maligna primária de pulmão (média de 272 meses) e de doenças benignas de outras etiologias (média de 132 meses), incluindo o hamartoma.(6) Além disso, a incidência de múltiplos nódulos pulmonares é significantemente mais freqüente em pacientes com câncer de mama metastático.

A literatura ainda não estabelece se é possível predizer o diagnóstico de metástase pulmonar em nódulos pulmonares múltiplos que surgem no acompanhamento precoce (por menos que cinco anos) de pacientes que foram submetidas a mastectomia por câncer de mama.(15)

Recentemente tem-se estudado outras maneiras de diferenciar as neoplasias malignas primárias e/ou doenças benignas de metástases pulmonares. Como exemplo pode-se citar a tomografia computadorizada por emissão de pósitrons utilizando-se glicose marcada com flúor-18, a qual tem grande especificidade para doença maligna.(16) Um outro aliado igualmente importante é o estudo imunohistoquímico, o qual pode ser realizado nos espécimes de biópsia e também diferencia estas três entidades; destaca-se o anticorpo monoclonal thyroid transcription factor 1, o qual é um dos marcadores presentes no carcinoma primário de pulmão.(17)

Portanto, nódulos pulmonares em pacientes com câncer de mama somente devem ser tratados após confirmação histopatológica, e sua ressecção cirúrgica deve ser considerada como uma opção tanto diagnóstica quanto terapêutica.

Referências

1. Arrigoni MG, Woolner LB, Bernatz PE, Miller WE, Fontana RS. Benign tumors of the lung. A ten-year surgical experience. J Thorac Cardiovasc Surg. 1970;60(4):589-99.

2. Bateson EM. So-called hamartoma of the lung a true neoplasm of fibrous connective tissue of the bronchi. Cancer. 1973;31(6):1458-67.

3. Bennett LL, Lesar MS, Tellis CJ. Multiple calcified chondrohamartomas of the lung: CT appearance. J Comput Assist Tomogr. 1985;9(1):180-2.

4. Hamper UM, Khouri NF, Stitik FP, Siegelman SS. Pulmonary hamartoma: diagnosis by transthoracic needle-aspiration biopsy. Radiology. 1985;155(1):15-8.

5. Karasik A, Modan M, Jacob CO, Lieberman Y. Increased risk of lung cancer in patients with chondromatous hamartoma. J Thorac Cardiovasc Surg. 1980;80(2):217-20.

6. Tanaka F, Li M, Hanaoka N, Bando T, Fukuse T, Hasegawa S, et al. Surgery for pulmonary nodules in breast cancer patients. Ann Thorac Surg. 2005;79(5):1711-4; discussion 1714-5.

7. Khouri NF, Meziane MA, Zerhouni EA, Fishman EK, Siegelman SS. The solitary pulmonary nodule. Assessment, diagnosis, and management. Chest. 1987;91(1):128-33.

8. Hansen CP, Holtveg H, Francis D, Rasch L, Bertelsen S. Pulmonary hamartoma. J Thorac Cardiovasc Surg. 1992;104(3):674-8.

9. Shields TW, LoCicero III J, Ponn RB. Benign tumors of the lung. In: Shields TW, LoCicero III J, Ponn RB, editors. General Thoracic Surgery. Michigan: Lippincott Williams and Wilkins; 1999. p. 1345-9.

10. Siegelman SS, Khouri NF, Scott WW Jr, Leo FP, Zerhouni EA. Computed tomography of the solitary pulmonary nodule. Semin Roentgenol. 1984;19(3):165-72.

11. Ramming KP. Surgery for pulmonary metastases. Surg Clin North Am. 1980;60(4):815-24.

12. Cosio BG, Villena V, Echave-Sustaeta J, de Miguel E, Alfaro J, Hernandez L, et al. Endobronchial hamartoma. Chest. 2002;122(1):202-5.

13. Friedel G, Pastorino U, Ginsberg RJ, Goldstraw P, Johnston M, Pass H, et al. Results of lung metastasectomy from breast cancer: prognostic criteria on the basis of 467 cases of the International Registry of Lung Metastases. Eur J Cardiothorac Surg. 2002;22(3):335-44.

14. Winer EP, Morrow M, Osborne CK, Harris JR. Malignant tumors of the breast. In: De Vita Jr. VT, Hellman S, Rosenberg SA, editors. Cancer. Principles and practice of oncology. Philadelphia: Lippincott Williams and Wilkins, 2001. p.1651-716.

15. Staren ED, Salerno C, Rongione A, Witt TR, Faber LP. Pulmonary resection for metastatic breast cancer. Arch Surg. 1992;127(11):1282-4.

16. Bruzzi JF, Munden RF. PET/CT imaging of lung cancer. J Thorac Imaging. 2006;21(2):123-36. 17. Su YC, Hsu YC, Chai CY. Role of TTF-1, CK20, and CK7 immunohistochemistry for diagnosis of primary and secondary lung adenocarcinoma. Kaohsiung J Med Sci. 2006;22(1):14-9.
_________________________________________________________________________________________
* Trabalho realizado no Hospital Israelita Albert Einstein, São Paulo (SP) Brasil.
1. Acadêmica de Medicina. Faculdade de Medicina do ABC, Santo André (SP) Brasil.
2. Residente de Cirurgia Geral e de Urgência. Faculdade de Medicina do ABC, Santo André (SP) Brasil.
3. Médico do Serviço de Cirurgia Torácica. Hospital Israelita Albert Einstein, São Paulo (SP) Brasil.
4. Chefe do Serviço de Cirurgia Torácica. Hospital Israelita Albert Einstein, São Paulo (SP) Brasil.
Endereço para correspondência: Vanessa Assis da Silva. Rua Henrique Jacobs, 129, Artur Alvim, CEP 03566-010, São Paulo, SP, Brasil. Tel/Fax 55 11 6749-3637. E-mail: vanessa.assis@yahoo.com.br
Recebido para publicação em 28/9/2006. Aprovado, após revisão, em 20/12/2006.

Indexes

Development by:

© All rights reserved 2025 - Jornal Brasileiro de Pneumologia