Continuous and bimonthly publication
ISSN (on-line): 1806-3756

Licença Creative Commons
18934
Views
Back to summary
Open Access Peer-Reviewed
Case Report

Chylothorax after surgical treatment of right-sided thoracic outlet syndrome

Fístula linfática após tratamento cirúrgico de síndrome do desfiladeiro torácico à direita

Luiz Felipe Lopes Araujo, Alexandre Heitor Moreschi, Guilherme Baroni de Macedo, Laura Moschetti, Eduardo Lopes Machado, Maurício Guidi Saueressig

ABSTRACT

Chylothorax as a complication of the surgical treatment of thoracic outlet syndrome is a quite rare event. We report a case of right-sided chylothorax and present a brief review on the treatment of postoperative chylothorax.

Keywords: Chylothorax; Thoracic outlet syndrome; Cervical rib syndrome; Postoperative complications.

RESUMO

A fístula linfática como complicação de correção de síndrome do desfiladeiro torácico é um evento muito raro. ­Relatamos um caso de fístula linfática à direita e apresentamos uma breve revisão do tratamento de quilotórax pós-­cirúrgico.

Palavras-chave: Quilotórax; Síndrome do desfiladeiro torácico; Síndrome da costela cervical; Complicações pós-operatórias.

Introduction

The supraclavicular approach to surgical treatment of thoracic outlet syndrome is frequently used, since it presents a high rate of therapeutic success and a low risk of complications.(1,2) Brachial plexus lesion and vascular lesions are the most frequent complications.(1,3-5) Chylothorax as a complication of this surgical procedure is rare,(6,7) and, if occurring, is normally left-sided.(8) Its incidence ranges from 0.25% to 0.5%, even in general thoracic surgery.(8) Here, we report a case of chylothorax occurring after resection of a right cervical rib and of the right first rib. The chylothorax was successfully treated through an additional surgical
procedure.

Case report

A 25-year-old female patient, a seamstress having worked in a shoe factory for seven years, was referred to our facility for investigation of a two-year history of progressive pain in the right wrist, accompanied by local paresthesia. One year following pain onset, she began to present paresis of the right hand. The patient was depressed, having been under psychiatric treatment for seven years. Physical examination presented cervical muscle contracture, palmar muscle atrophy with weakened grasp movement and sensory alteration in the same region. The results of Adson's test, military posture and Ross test were positive. The patient was therefore diagnosed with a clinical profile consistent with thoracic outlet syndrome.

Electroneuromyography revealed decreased amplitudes in the sensory conduction of the right ulnar nerve, as well as in the motor conduction of the right ulnar and median nerves, conduction block of the right ulnar nerve at elbow level and reinnervation at the C8-T1 level. The motor conduction speed of the right ulnar nerve was 66.7 m/s below elbow level and 47.6 m/s above elbow level.

A Doppler ultrasound of the elevated right upper limb revealed significant compression of the right subclavian artery, together with a reduction in the arterial, axillary and brachial flow.

A chest X-ray showed bilateral cervical ribs (Figure 1).




The patient was submitted to a physical therapy program, which resulted in no clinical improvement. Therefore, surgery for the resection of the right cervical rib and ipsilateral first rib, using a supraclavicular approach, was recommended.

During the liberation of the clavicular insertion of the sternocleidomastoid muscle, extravasation of the lymphatic content was observed, and this was attributed to the rupture of a lymphatic vessel that later transited. Although there was thorough investigation, the visualization of the broken lymphatic vessel was not possible. The facial tissues under the sternocleidomastoid muscle, where the onset of lymphatic fluid accumulation took place, were sutured en bloc with polypropylene at 5.0. This was followed by resection of the right first rib and right cervical rib, together with chest drainage for incidental rupture of the pleural cavity.

At two hours after the end of the surgical procedure, the total quantity of lymphatic drainage was 600 mL. A postoperative control chest X-ray showed that there was no appropriate pulmonary re-expansion, and the insertion of an axillary chest tube was theref ore recommended.

Eleven hours following the procedure, we found chylothorax, with drainage of 1,630 mL. We opted for a second intervention in order to ligate the thoracic duct and to investigate the cervical region further. We conducted right video-assisted thoracoscopy with clipping of the thoracic duct near the diaphragm and exploration of the cervical region. Once again, the exact placement of the Chylothorax was not identified. The chest tube was then placed, under direct vision, in the apical region of the right hemithorax.

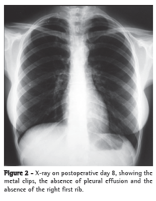
After the second intervention, the patient presented favorable evolution with a drastic decrease in chest drainage. On postoperative day 3, we introduced a diet with medium-chain triglycerides, although the diet was unrestricted from postoperative day 6 onward. On postoperative day 7, the chest tube was removed (Figure 2). The patient was discharged from the hospital on postoperative day 8, although still presenting difficulty in raising the right upper limb. After six months of follow-up treatment with an appropriate physical therapy program, the patient showed total recovery of the movements of the right upper limb. Pain and paresthesia ceased immediately after the surgery.



Discussion

The principal approaches used for the surgical treatment of thoracic outlet syndrome are the axillary and supraclavicular approaches.(1,3,6) The supraclavicular approach provides an excellent surgical field, with easy access to resection of the first rib and, if necessary, of a cervical rib. Nevertheless, it presents a higher risk of lesion by traction of the long thoracic nerve, as well as less favorable aesthetic results.(1)

Chylothorax as a complication of the surgical treatment of thoracic outlet syndrome is an event rarely described in the literature.(6,7) In most reports, complications include vascular and nerve lesions, the nervous lesions being the most common,(3,4) especially in the supraclavicular approach. In a study of 770 consecutive cases of first rib resection by supraclavicular approach, there was only one case of chylothorax, which resolved spontaneously.(6) In another study, involving 668 surgical
procedures and comparing the transaxillary approach, scalenectomy and combined scalenectomy for first rib resection by the supraclavicular approach.(7) Again, only one case of chylothorax was described, being treated through exploration of the incision site and clipping of the thoracic duct.(7) There is no description of the operated side in any of the studies.

One case of fistula in a tributary of the left thoracic duct, in which the patient had undergone surgery for the same reason in another institution, has been reported.(9) The complication was treated with a second intervention and clipping on postoperative day 3, and the subsequent evolution was favorable. The author emphasized that this was the only case in 500 surgical procedures performed over a period of 30 years, and that there were no known similar cases described in the literature.

The intrathoracic lymphatic system can present various anatomical variations. The normal thoracic duct anatomical pattern is seen in approximately 65% of patients. The main variations are the double thoracic duct, the duct terminating on the right or at the azygos vein and deviation of the duct to the left hemithorax. The right-sided termination occurs in approximately 1.6% of the cases, and, in approximately 20% of the patients, the thoracic duct enters the vein through a plexus with two or more branches.(10) In addition, there is a complex system of collateral lymphatic vessels that connects to the venous system in various places, making it extremely difficult to identify during the surgical procedure.(8)

Postoperative chylothorax is an uncommon situation which can manifest at up to four weeks after the initial procedure, presenting an significant risk of mortality, which can reach 50%.(11,12) The consequences include possible impairment (mechanical, immunological and metabolic).(8,12)

The quantity of lymphatic fluid accumulated in one hemithorax can cause the compression of the ipsilateral lung and of the mediastinum, with consequent impairment of the cardiopulmonary function. Since the lymphatic fluid is rich in T lymphocytes, its extravasation can cause severe immunological deficiency, making the patient more susceptible to infections. Finally, the lymphatic fluid loss also results in the loss of large quantities of fatty acids and electrolytes, leading to considerable nutritional loss.

Postoperative chylothorax can be treated in a conservative way, with pleural drainage and the institution of a diet rich in medium-chain triglycerides or even total parenteral nutrition.(13) Additional interventions involving direct ligation of the fistula or ligation of the thoracic duct to the diaphragm are surgical alternatives,(12,14,15) and such procedures can be conducted by thoracotomy or video-assisted thoracoscopy.(16,17) This procedure can reduce mortality rates by as much as 15%.(8) The advent of robotics has also been described.(18) There is still controversy and considerable discussion regarding the time at which to opt for surgical treatment. In the current literature, the principal recommendations are to wait until after up to three weeks of conservative treatment, when there is pleural drainage of 200-500 mL in 24 h. Some studies have suggested that early surgical treatment can spare the patient from significant clinical deterioration, shorten hospital stays and reduce hospital costs.(14) When surgery is opted for, the current tendency is to conduct the procedure using thoracoscopy, with clipping of the thoracic duct, since this technique can lower the rates of morbidity and mortality, as well as increasing the resolution rate. More recently, the use of somatostatin has been discussed as a therapeutic alternative.(8,19,20)

The surgical complication in this case was treated successfully, and there was resolution of the profile on postoperative day 4 following the second intervention, as evidenced by the drainage of 200 mL of serous liquid and by the chest X-ray finding of an expanded lung. The early recommendation for a second intervention was motivated by a large volume of drainage observed and by the tendency of the surgical team to adopt practices that are more aggressive in order to avert an unfavorable clinical evolution.
There is a consensus among the surgeons at our health care facility that waiting for the postoperative chylothorax to be resolved using conservative measures is not justified when thoracoscopic clipping has been shown to be widely mastered and employed, and that a delay of one or two weeks in recommending surgery could lead to unnecessary nutritional and immunological depletion.

The risk of surgical complications during the surgical treatment of thoracic outlet syndrome is very low, being principally related to nerve and vascular injury. Anatomical variations in lymphatic drainage should be taken into consideration in this type of surgery. In these situations, the surgical threshold for performing a second intervention should be low, in order to avoid an unfavorable evolution of the pathology, the surgical treatment of which carries a mortality risk of near zero. An early second intervention, with ligation of the thoracic duct, and the institution of a diet rich in medium-chain triglycerides were determinant to the favorable evolution of our patient.

References

1. Urschel HC, Kourlis H. Thoracic outlet syndrome: a 50-year experience at Baylor University Medical Center. Proc (Bayl Univ Med Cent). 2007;20(2):125-35.

2. Weigel G, Schmidt M, Gradl B, Girsch W. TOS-surgery via a single supraclavicular incision. Acta Neurochir Suppl. 2007;100:141-3.

3. Thomas GI, Jones TW, Stavney LS, Manhas DR. Thoracic outlet syndrome. Am Surg. 1978;44(8):483-95.

4. Dale WA. Thoracic outlet compression syndrome. Critique in 1982. Arch Surg. 1982;117(11):1437-45.

5. Chang DC, Lidor AO, Matsen SL, Freischlag JA. Reported in-hospital complications following rib resections for neurogenic thoracic outlet syndrome. Ann Vasc Surg. 2007;21(5):564-70.

6. Hempel GK, Shutze WP, Anderson JF, Bukhari HI. 770 consecutive supraclavicular first rib resections for thoracic outlet syndrome. Ann Vasc Surg. 1996;10(5):456-63.

7. Sanders RJ, Pearce WH. The treatment of thoracic outlet syndrome: a comparison of different operations. J Vasc Surg. 1989;10(6):626-34.

8. Vaz MA, Fernandes PP. Chylothorax [Article in Portuguese]. J Bras Pneumol. 2006;32 Suppl 4:S197-203.

9. Leffert RD. Complications of surgery for thoracic outlet syndrome. Hand Clin. 2004;20(1):91-8.

10. Urschel HC. Thoracic Outlet Syndrome. In: Shields TW, LoCicero J, Ponn RB, Rusch VW, editors. General Thoracic Surgery. Philadelphia: Lippincott Williams & Wilkins; 2005. p. 689-97.

11. Pêgo-Fernandes PM, Jatene FB, Tokunaga CC, Simão DT, Beirutty R, Iwahashi ER, et al. Ligation of the thoracic duct for the treatment of chylothorax in heart diseases. Arq Bras Cardiol. 2003;81(3):309-17.

12. Nair SK, Petko M, Hayward MP. Aetiology and management of chylothorax in adults. Eur J Cardiothorac Surg. 2007;32(2):362-9.

13. Jatene FB, Bosisio IB, Jatene MB, Monteiro AC, Mignoni D, Vivi A, et al. Posttraumatic chylothorax. Experience in the postoperative period following cardiothoracic surgery [Article in Portuguese]. Arq Bras Cardiol. 1993;61(4):229-32.

14. Sieczka EM, Harvey JC. Early thoracic duct ligation for postoperative chylothorax. J Surg Oncol. 1996;61(1):56-60.

15. Suemitsu R, Ondo K, Fukuyama S, Ueda H. Late-period-onset chylothorax after a pulmonary resection for lung cancer: a case report. Ann Thorac Cardiovasc Surg. 2007;13(5):345-8.

16. Kumar S, Kumar A, Pawar DK. Thoracoscopic management of thoracic duct injury: Is there a place for conservatism? J Postgrad Med. 2004;50(1):57-9.

17. Hayden JD, Sue-Ling HM, Sarela AI, Dexter SP. Minimally invasive management of chylous fistula after esophagectomy. Dis Esophagus. 2007;20(3):251-5.

18. Thompson KJ, Kernstine KH, Grannis FW Jr, Mojica P, Falabella A. Treatment of chylothorax by robotic thoracic duct ligation. Ann Thorac Surg. 2008;85(1):334-6.

19. Demos NJ, Kozel J, Scerbo JE. Somatostatin in the treatment of chylothorax. Chest. 2001;119(3):964-6.

20. Rocha G, Henriques Coelho T, Correia Pinto J, Guedes MB, Guimarães H. Octreotide for conservative management of postoperative chylothorax in the neonate [Article in Portuguese]. Acta Med Port. 2007;20(5):467-70.


About the authors

Luiz Felipe Lopes Araujo
Thoracic Surgeon. Porto Alegre Hospital de Clínicas, Porto Alegre, Brazil.

Alexandre Heitor Moreschi
Thoracic Surgeon. Porto Alegre Hospital de Clínicas, Porto Alegre, Brazil.

Guilherme Baroni de Macedo
Medical Resident in General Surgery. Porto Alegre Hospital de Clínicas, Porto Alegre, Brazil.

Laura Moschetti
Medical Resident in Thoracic Surgery. Porto Alegre Hospital de Clínicas, Porto Alegre, Brazil.

Eduardo Lopes Machado
Medical Student. Federal University of Rio Grande Foundation, Rio Grande, Brazil.

Maurício Guidi Saueressig
Thoracic Surgeon. Porto Alegre Hospital de Clínicas, Porto Alegre, Brazil.


Study carried out at the Porto Alegre Hospital de Clínicas, Porto Alegre, Brazil.
Correspondence to: Luiz Felipe Lopes Araujo. Rua Ramiro Barcelos, 2350, 2º. Andar, Serviço de Cirurgia Torácica, Bom Fim, CEP 90035-903, Porto Alegre, RS, Brasil.
Tel 55 51 2101-8684. E-mail: lfelipearaujo@terra.com.br
Financial support: None.
Submitted: 18 February 2008. Accepted, after review: 16 July 2008.



Indexes

Development by:

© All rights reserved 2025 - Jornal Brasileiro de Pneumologia