Continuous and bimonthly publication
ISSN (on-line): 1806-3756

Licença Creative Commons
41008
Views
Back to summary
Open Access Peer-Reviewed
Case Report

Chronic cavitary pulmonary histoplasmosis

Histoplasmose pulmonar cavitária crônica

José Wellington Alves dos Santos, Gustavo Trindade Michel, Mônica Lazzarotto, Juliana Kaczmareck Figaro, Daniel Spilmann, Gustavo Köhler Homrich

ABSTRACT

Histoplasmosis is a systemic mycosis caused by the thermally dimorphic fungus Histoplasma capsulatum, which can be isolated from soil contaminated with droppings from birds or bats. Chronic cavitary pulmonary histoplasmosis is one of the rarest clinical presentations of this disease. The differential diagnosis with tuberculosis should be made in patients presenting with cavitated lesions in upper lung segments. We report the case of a female patient with chronic cavitary pulmonary histoplasmosis who had presented with progressive dyspnea and worsening of the radiological pattern over a four-year period.

Keywords: Histoplasmosis; Cavitation; Pulmonary emphysema.

RESUMO

A histoplasmose é uma micose sistêmica causada pelo fungo dimórfico térmico Histoplasma capsulatum, que pode ser isolado a partir de solo contaminado com excrementos de aves e morcegos. Dentre as apresentações clínicas dessa doença, a histoplasmose pulmonar cavitária crônica (HPCC) é uma manifestação rara. O diagnóstico diferencial com tuberculose deve ser realizado em pacientes que apresentam lesões cavitadas nos segmentos pulmonares superiores. É relatado um caso de uma paciente com HPCC que apresentou dispneia progressiva e piora do padrão radiológico em quatro anos de evolução da doença.

Palavras-chave: Histoplasmose; Cavitação; Enfisema pulmonar.

Introduction

Histoplasmosis is a systemic mycosis caused by the thermally dimorphic fungus Histoplasma capsulatum, which can be isolated from soil contaminated with droppings from birds or bats.(1,2) Similar to other systemic mycoses, the initial exposure is through inhalation, and pulmonary impairment is the predominant form of presentation of the disease. Large outbreaks of the disease have been reported; however, most of the infections are sporadic.(3) Chronic pulmonary histoplasmosis is a rare clinical manifestation of the disease that affects the upper lobes of the lungs and can present as cavitation and fibrosis.(4-7) We report the case of a female patient with chronic cavitary pulmonary histoplasmosis (CCPH).

Case report

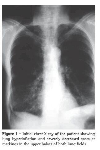
A 69-year-old female smoker (30 pack-years) homemaker from São Sepe, Brazil, presented with rheumatoid arthritis for 14 years. The patient had undergone a thyroidectomy 20 years before. The epidemiological history was not clear regarding possible fungal exposure. The patient had been experiencing progressive dyspnea, productive cough, recurrent respiratory infections, loss of appetite, nausea and weight loss for 4 years. The patient was using levothyroxine, calcitriol and prednisone 15 mg/day; however, she had previously used methotrexate. Physical examination revealed that the patient had lost weight (patient weight at the time was 30 kg, and body mass index was 14 kg/m2). No cervical lymph node enlargement, supraclavicular lymph node enlargement or digital clubbing was observed. Pulmonary auscultation revealed only a diffuse reduction in breath sounds. A chest X-ray taken at the onset of the condition (4 years before) showed lung hyperinflation and severely decreased vascular markings in the upper halves of both lung fields (Figure 1). An HRCT scan had revealed paraseptal emphysema, cavities and destruction of the lung parenchyma, predominantly in the upper lobes (Figure 2). Arterial blood gas analysis and the tuberculin skin test revealed no abnormalities.








Spirometry showed incipient obstructive lung disease, and treatment with formoterol was initiated. In the previous year, due to worsening of the symptoms, the patient had been submitted to another HRCT scan, which revealed worsening of the radiological pattern (Figure 3). Direct sputum smear microscopy was negative for AFB. The Grocott-Gomori methenamine-silver stain technique revealed intracellular yeast-like structures. Sputum culture and bronchoalveolar lavage fluid culture on Sabouraud dextrose agar revealed the presence of Histoplasma capsulatum. Treatment with 200 mg/day of itraconazole was initiated.(8)



The patient is currently under outpatient follow-up treatment. The symptoms have improved, and the patient has gained weight.

Discussion

Histoplasmosis is a systemic mycosis caused by the thermally dimorphic fungus H. ­capsulatum, which is found in its filamentous form as macroconidia (8-15 µm) or microconidia (2-4 µm) in the soil of endemic areas, such as the USA, Latin America, Southeast Asia and Africa.(1,2,9) In human tissue, H. capsulatum converts into oval, single-budding yeasts of 2-4 µm.(10) Infection generally occurs through the inhalation of airborne microconidia during work or recreational activities that bring the participants into contact with soil contaminated with bat or bird feces (in old buildings, bridges or caves).(4,10) In Brazil, H. capsulatum can be found in various states, such as Rio Grande do Sul, Rio de Janeiro, São Paulo, Minas Gerais and Mato Grosso.(2,11,12) The clinical spectrum of the disease ranges from acute pulmonary infection to chronic pulmonary infection and includes disseminated histoplasmosis. The disseminated form of the disease affects principally immunocompromised patients. Acute symptomatic H. capsulatum infection is observed in less than 1% of infected patients, most patients either being asymptomatic or presenting mild symptoms that are later found to be unrelated to histoplasmosis.(10)

In addition, the disease usually has a self-limiting course.(4) These factors contribute to the underdiagnosis of histoplasmosis, which can lead to the initiation of empirical treatment for tuberculosis.

Affecting the upper lobes of the lungs and accompanied by fibrosis, CCPH is related to continuous exposure to the agent and is the only fungal infection that seems to affect primarily patients of advanced age.(5,7) This might be due to a close association between pulmonary emphysema and the development of this form of the disease.(2,10,13) The disease primarily affects White males who have had the acute form of the disease and are exposed to the agent.(2) The manifestation of CCPH in females is rare.(4)

Systemic manifestations are nonspecific and include fatigue, fever, night sweats, anorexia and weight loss. Pulmonary symptoms include productive cough and dyspnea, a profile similar to that of COPD. When left untreated, CCPH is accompanied by progressive respiratory failure due to lung volume loss, and the five-year survival rate can be as low as 50%.(10)

The radiological aspect of the initial lesion is characterized by foci of interstitial inflammatory infiltrate, adjacent to emphysematous bullae, and the lesion commonly affects the apical and apicoposterior segments of the upper lobes.(2,5,6,10) Thickening of the walls of the bullae is common and is followed by necrosis and increased fibrosis, which leads to lung volume loss. This continuous process culminates with large and persistent cavities that can affect an entire lobe.(10) The dissemination of fungal material to the hanging portions of the lungs might be the mechanism of development of interstitial fibrosis in the lower lobes through the creation of new inflammatory foci.(4,10) Mediastinal adenopathy is not observed in this clinical form, which distinguishes CCPH from other granulomatous diseases, such as sarcoidosis.(4,14)

Similar to post-primary tuberculosis, CCPH can present with malaise, cough and night sweats; these, however, are milder in CCPH.(4) Due to the rate of incidence of tuberculosis in Brazil (43.78/100,000 population in 2005), the estimated rate of empirical treatment for tuberculosis is high (50%), which delays the detection and treatment of CCPH.(2,15) In addition to tuberculosis, the differential diagnosis should include nontuberculous mycobacterial infections, sarcoidosis, coccidioidomycosis, aspergillosis, paracoccidioidomycosis and carcinoma.(7,10)

Diagnosis can be established through the isolation of the fungus from sputum or from samples obtained through bronchoscopy in 60-85% of the cases when multiple samples are obtained. These samples should be stained using the Grocott-Gomori methenamine-silver stain technique.(2,16) Culture on Sabouraud dextrose agar is the gold standard for the etiologic diagnosis, although the result might not be known for 2-4 weeks.(10,17) The immunodiffusion test is appropriate to screen patients, and the sensitivity of the test is approximately 100%; the relevance of the test is greater in areas in which the prevalence of the fungus is low.(2)

Histoplasmin skin test can yield false-negative results in patients with CCPH and therefore is inappropriate as a screening test.(17) The use of the urinary antigen test has been limited because the antigen can be detected in only 10-20% of CCPH patients.(10)

The treatment of choice for CCPH is itraconazole, at a dose of 400-600 mg/day, for 1-2 years.(8,10) In severe cases requiring hospitalization, amphotericin B can be used.(2) However, it is important to be on the alert for possible recurrence, which can occur in 9-15% of the cases regardless of which of the two antifungal agents are used.(10)

A rare manifestation of histoplasmosis, CCPH should be included in the differential diagnosis of tuberculosis in patients with cavitated lesions in the upper segments of the lungs. Therefore, screening for fungi during sputum examination using the Grocott-Gomori methenamine-silver stain technique and culture of samples on appropriate culture media, as well as the immunodiffusion test, should be incorporated into the routine diagnostic investigation.



References


1. Capone D, Wanke B, Monteiro PC, Lazéra MS, de Noronha Andrade G, do Valle AC, et al. Chronic pulmonary histoplasmosis in the State of Rio de Janeiro, Brazil. Mycopathologia. 1999;145(2):75-9.

2. Unis G, Severo LC. Chronic pulmonary histoplasmosis mimicking tuberculosis. J Bras Pneumol. 2005;31(4):318‑24.

3. Wheat LJ, Wass J, Norton J, Kohler RB, French ML. Cavitary histoplasmosis occurring during two large urban outbreaks. Analysis of clinical, epidemiologic, roentgenographic, and laboratory features. Medicine (Baltimore). 198;63(4):201-9.

4. Gurney JW, Conces DJ. Pulmonary histoplasmosis. Radiology. 1996;199(2):297-306.

5. Chong S, Lee KS, Yi CA, Chung MJ, Kim TS, Han J. Pulmonary fungal infection: imaging findings in immunocompetent and immunocompromised patients. Eur J Radiol. 2006;59(3):371-83.

6. Severo LC, Rizzon CF, Roesch EW, Oliveira Fde M, Porto Nda S. Chronic pulmonary histoplasmosis in Brazil: report of two cases with cavitation diagnosed by transthoracic needle biopsy. Rev Inst Med Trop Sao Paulo. 1997;39(5):293-7.

7. McAdams HP, Rosado-de-Christenson ML, Lesar M, Templeton PA, Moran CA. Thoracic mycoses from endemic fungi: radiologic-pathologic correlation. Radiographics. 1995;15(2):255-70.

8. Wheat LJ, Freifeld AG, Kleiman MB, Baddley JW, McKinsey DS, Loyd JE, et al. Clinical practice guidelines for the management of patients with histoplasmosis: 2007 update by the Infectious Diseases Society of America. Clin Infect Dis. 2007;45(7):807-25.

9. Pometta R, Trovato C, Viviani MA, Masini T, Conte D. Chronic pulmonary histoplasmosis in a patient with a recent history of tuberculosis and persistent round lung lesions. Eur J Clin Microbiol Infect Dis. 1999;18(3):229‑31.

10. Kauffman CA. Histoplasmosis: a clinical and laboratory update. Clin Microbiol Rev. 2007;20(1):115-32.

11. Severo LC, Oliveira FM, Irion K, Porto NS, Londero AT. Histoplasmosis in Rio Grande do Sul, Brazil: a 21-year experience. Rev Inst Med Trop Sao Paulo. 2001;43(4):183-7.

12. Ferreira MS, Borges AS. Histoplasmosis [Article in Portuguese]. Rev Soc Bras Med Trop. 2009;42(2):192-8.

13. García-Marrón M, García-García JM, Pajín-Collada M, Alvarez-Navascués F, Martínez-Muñiz MA, Sánchez-Antuña AA. Chronic pulmonary histoplasmosis diagnosed in a nonimmunosuppressed patient 10 years after returning from an endemic area [Article in Spanish]. Arch Bronconeumol. 2008;44(10):567-70.

14. Kurowski R, Ostapchuk M. Overview of histoplasmosis. Am Fam Physician. 2002;66(12):2247-52.

15. DATASUS [homepage on the Internet]. Brasília: Ministério da Saúde. [cited 2009 Apr 24]. Available from: http://www.datasus.gov.br

16. Leimann BC, Pizzini CV, Muniz MM, Albuquerque PC, Monteiro PC, Reis RS, et al. Histoplasmosis in a Brazilian center: clinical forms and laboratory tests. Rev Iberoam Micol. 2005;22(3):141-6.

17. Santos JW, Neves KR, Machado FP, Schaich F, Gazzoni MF, Dalcin TC, et al. Pitfalls in diagnosis of pulmonary histoplasmosis. Resp Med Extra. 2007;3(1):9-13.



Study carried out in the Department of Pulmonology, Santa Maria University Hospital, Federal University of Santa Maria, Santa Maria, Brazil.
Correspondence to: José Wellington Alves dos Santos. Rua Venâncio Aires 2020/403, Centro, CEP 97010-004, Santa Maria, RS, Brasil.
Tel 55 55 220-8585. E-mail: jwasb@terra.com.br
Financial support: None.
Submitted: 24 April 2009. Accepted, after review: 8 September 2009.



About the authors

José Wellington Alves dos Santos
Director of the Department of Pulmonology. Santa Maria University Hospital, Federal University of Santa Maria, Santa Maria, Brazil.

Gustavo Trindade Michel
Adjunct Professor. Santa Maria University Hospital, Federal University of Santa Maria, Santa Maria, Brazil.

Mônica Lazzarotto
Resident in Pulmonology. Department of Pulmonology, Santa Maria University Hospital, Federal University of Santa Maria, Santa Maria, Brazil.

Juliana Kaczmareck Figaro
Medical Student. Federal University of Santa Maria, Santa Maria, Brazil.

Daniel Spilmann
Medical Student. Federal University of Santa Maria, Santa Maria, Brazil.

Gustavo Köhler Homrich
Medical Student. Federal University of Santa Maria, Santa Maria, Brazil.

Indexes

Development by:

© All rights reserved 2025 - Jornal Brasileiro de Pneumologia