Continuous and bimonthly publication
ISSN (on-line): 1806-3756

Licença Creative Commons
15176
Views
Back to summary
Open Access Peer-Reviewed
Case Report

Amiloidose traqueobrônquica primária

Primary tracheobronchial amyloidosis

José Wellington Alves dos Santos, Ayrton Schneider Filho, Alessandra Bertolazzi, Gustavo Trindade Michel, Lauro Vinícius Schvarcz da Silva, Carlos Renato Melo, Vinícius Dallagasperina Pedro, Daniel Spilmann, Juliana Kaczmareck Figaro

ABSTRACT

Tracheobronchial amyloidosis is an uncommon localized form of amyloidosis, characterized by amyloid deposits restricted to the trachea, main bronchi and segmental bronchi. We present the case of a retired 67-year-old man with long-term progressive dyspnea, wheezing and chest pain. A diagnosis of tracheobronchial amyloidosis was made after the third fiberoptic bronchoscopy and histological confirmation through Congo red staining of tissue samples.

Keywords: Amiloidose/traquéia; Broncoscopia; Doenças da traquéia/diagnóstico.

RESUMO

A amiloidose traqueobrônquica é uma forma pouco comum de amiloidose localizada, caracterizada por depósitos amilóides limitados à traquéia, brônquios principais e brônquios segmentares. Nós apresentamos o caso de um homem aposentado de 67 anos com dispnéia progressiva de longa data, sibilância e dor torácica. O diagnóstico de amiloidose traqueobrônquica foi realizado após três fibrobroncoscopias e confirmação histopatológica com coloração vermelho congo.

Palavras-chave: Amiloidose/traquéia; Broncoscopia; Doenças da traquéia/diagnóstico.

Introdução

As amiloidoses constituem um grupo de doenças nas quais as dobras das proteínas extracelulares, ou melhor, o erro nesse dobramento, têm um papel fundamental.(1) A doença pode ser hereditária ou adquirida, podendo ser sistêmica ou localizada. Alguns pacientes são assintomáticos, ao passo que outros exibem uma variedade de sintomas e, em certos casos, a afecção pode ser grave e com risco de morte.(2) A amiloidose traqueobrônquica é uma forma localizada incomum de amiloidose, caracterizada por depósitos amilóides limitados à traquéia, brônquios principais e brônquios segmentados.(3,4)

Relato de caso

Homem de 67 anos, aposentado, hipertenso, ex-fumante e ex-etilista, foi encaminhado ao nosso serviço com queixas de dispnéia progressiva, sibilância e dor torácica nos últimos 6 meses. Uma radiografia de tórax obtida 8 anos antes mostrava aumento hilar direito. Tinha também uma história de longa duração de episódios de hemoptise que cessaram 10 anos antes, assim como uma história de infecções respiratórias recorrentes. No exame físico, apresentava murmúrio vesicular diminuído e crepitações leves nas bases pulmonares. Uma segunda radiografia de tórax apresentou as mesmas características da primeira. Os resultados dos testes de função pulmonar (espirometria e teste de caminhada de seis minutos) e dos testes laboratoriais estavam dentro dos limites da normalidade. Uma recente tomografia computadorizada de tórax mostrava estenose parcial dos brônquios principais e intermediários direitos e calcificações mucosas laminares que se estendiam do terço superior da traquéia para áreas estenóticas inferiores, assim como linfoadenomegalias mediastinais (Figura 1). Uma amostra de escarro induzido foi negativa para bactérias, bacilos álcool-ácido resistentes e fungos. O lavado broncoalveolar revelou um processo inflamatório inespecífico.



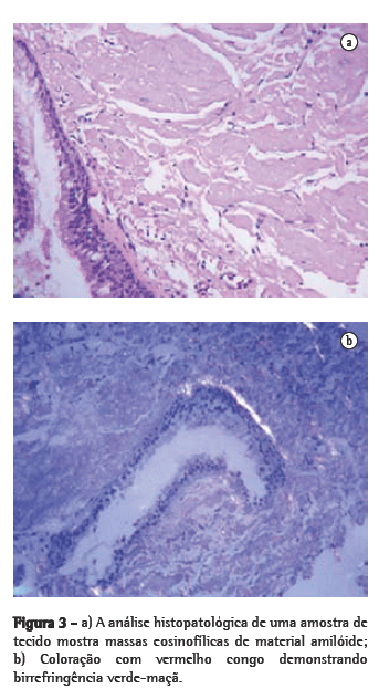
A fibrobroncoscopia foi realizada por três vezes durante a abordagem diagnóstica. Todos os exames revelaram compressão extrínseca do lado direito da traquéia, infiltrados mucosos nodulares distribuídos a partir da carina principal para os brônquios principais e intermediários direitos, assim como estenose do brônquio intermediário (Figura 2). Somente durante a terceira fibrobroncoscopia foi possível obter uma amostra utilizável dos infiltrados endobrônquicos. A análise histopatológica da amostra tecidual corada com vermelho congo demonstrou birrefringência verde-maçã quando visualizada sob luz polarizada (Figura 3). Um diagnóstico de amiloidose foi fortemente sugerido. Amostras de tecido adiposo periumbilical e de medula óssea não evidenciaram doença sistêmica. Os resultados do exame de urina (proteinúria e creatinúria por 24 h) e perfil protéico estavam dentro dos limites de normalidade. Não foram reveladas anormalidades no ecocardiograma, eletrocardiograma e ultra-sonografia abdominal. O diagnóstico foi de amiloidose traqueobrônquica. Após seis meses, o paciente somente fez uso de broncodilatadores de curta duração, apresentando sintomas respiratórios leves e resultados normais nos testes de função pulmonar.






Discussão

A amiloidose traqueobrônquica é uma doença rara resultante da deposição anormal de proteínas sob a mucosa da traquéia e dos grandes ­brônquios­.­(1-7) É uma doença de progressão lenta que exige evidências histopatológicas para a confirmação do diagnóstico.(2,4,5) A amiloidose traqueobrônquica ocorre tipicamente em pacientes entre 40 e 50 anos, constituindo 0,5% das lesões traqueobrônquicas sintomáticas.(2,4) São sintomas comuns a tosse crônica, dispnéia, sibilância, hemoptise e pneumonias recorrentes.(2-12) Foram reportados casos de amiloidose traqueobrônquica que simulam asma de difícil manejo.(12) Metade de todos os pacientes apresenta radiografia de tórax normal; as alterações mais comuns são atelectasia lobar, calcificações brônquicas, bronquiectasias e adenopatia hilar.(4,11) A tomografia computadorizada de tórax e a fibrobroncoscopia revelam espessamento de parede brônquica, estreitamento irregular do lúmen das vias aéreas e nódulos calcificados dentre a ­submucosa­.­(3,4,6). A tomografia computadorizada pode sugerir o diagnóstico, mas a fibrobroncoscopia permite uma visualização melhor das lesões e tem a vantagem de permitir a obtenção de amostras para a análise histopatológica. Na maioria dos casos, o diagnóstico é atingido somente após exames seqüenciais de fibrobroncoscopia.

Durante a abordagem diagnóstica, é essencial considerar a possibilidade de doenças neoplásicas, doenças granulomatosas, traqueobroncopatia osteocondroplástica e policondrite recidivante.(8,9,13,14) Os sintomas clínicos de longa duração associados a resultados de estudos de imagem e de fibrobroncoscopia estreitam as possibilidades diagnósticas, sendo os principais diagnósticos diferenciais a traqueobroncopatia osteocondroplástica e a policondrite recidivante.(8,13) Neste relato de caso, o diagnóstico histopatológico somente foi realizado após a terceira fibrobroncoscopia, o que reflete o baixo nível de suspeição de amiloidose traqueobrônquica por parte dos patologistas e broncoscopistas. Embora a abordagem terapêutica recém-desenvolvida, conhecida como terapia por radiação por feixe de elétrons, possa ser uma opção viável,(15) não temos experiência com esse tipo de intervenção em nosso serviço. O paciente descrito aqui recusou ser submetido à intervenção cirúrgica, sendo, portanto, tratado somente com broncodilatadores de curta duração.

Em conclusão, os pacientes com amiloidose traqueobrônquica podem apresentar uma grande variedade de sintomas inespecíficos e achados característicos em exames de imagem. O diagnóstico é essencialmente confirmado através de fibrobroncoscopia, com coloração adequada (vermelho congo) das amostras de tecidos brônquicos.

Referências


1. Merlini G, Bellotti V. Molecular mechanisms of amyloidosis. N Engl J Med. 2003;349(6):583-96.

2. Tracheobronchial amyloidosis: a surgical disease with long-term consequences. J Thorac Cardiovasc Surg. 2004;128(5):789-92.

3. Georgiades CS, Neyman EG, Barish MA, Fishman EK. Amyloidosis: review and CT manifestations. Radiographics. 2004;24(2):405-16.

4. Berk JL, O'Regan A, Skinner M. Pulmonary and tracheobronchial amyloidosis. Semin Respir Crit Care Med. 2002;23(2):155-65.

5. Rubinow A, Celli BR, Cohen AS, Rigden BG, Brody JS. Localized amyloidosis of the lower respiratory tract. Am Rev Respir Dis. 1978;118(3):603-11.

6. Capizzi SA, Betancourt E, Prakash UB. Tracheobronchial amyloidosis. Mayo Clin Proc. 2000;75(11):1148-52.

7. Gillmore JD, Hawkins PN. Amyloidosis and the respiratory tract. Thorax. 1999;54(5):444-51.

8. Prakash UB. Tracheobronchopathia osteochondroplastica. Semin Respir Crit Care Med. 2002;23(2):167-75.

9. Moura e Sá J, Almeida J, Amado J, Fernandes B, Caminha J, Ferraz JM. Traqueobroncopatia osteocondroplástica. Experiência de uma Unidade de Broncologia. Rev Port Pneuml. 2002;VIII:329-39

10. Gibbaoui H, Abouchacra S, Yaman M. A case of primary diffuse tracheobronchial amyloidosis. Ann Thorac Surg. 2004;77(5):1832-4.

11. Daniels JT, Cury JD, Diaz J. An unusual cause of postobstructive pneumonia. Chest. 2007;131(3):930-3.

12. Corrêa da Silva LM, Bellicanta J, Marques RD, Corrêa da Silva LC. Amiloidose traqueobrônquica. J Bras Pneumol 2004;30(6):581-4.

13. Ozbay B, Dilek FH, Yalçinkaya I, Gencer M. Relapsing polychondritis. Respiration. 1998;65(3):206-7.

14. Sarodia BD, Dasgupta A, Mehta AC. Management of airway manifestations of relapsing polychondritis: case reports and review of literature. Chest. 1999;116(6):1669-75.

15. Neben-Wittich MA, Foote RL, Kalra S. External beam radiation therapy for tracheobronchial amyloidosis. Chest. 2007;132(1):262-7.





Trabalho realizado no Hospital Universitário de Santa Maria - HUSM - Universidade Federal de Santa Maria - UFSM - Santa Maria (RS) Brasil.
1. Diretor do Departamento de Residência Médica/Ministério da Educação -DEREM/MEC - Brasília (DF) Brasil.
2. Broncoscopista Chefe do Serviço de Pneumologia do Hospital Universitário de Santa Maria - HUSM - Universidade Federal de Santa Maria - UFSM - Santa Maria (RS) Brasil.
3. Professora Assistente do Serviço de Pneumologia do Hospital Universitário de Santa Maria - HUSM - Universidade Federal de Santa Maria - UFSM - Santa Maria (RS) Brasil.
4. Professor Assistente do Serviço de Pneumologia do Hospital Universitário de Santa Maria - HUSM - Universidade Federal de Santa Maria - UFSM - Santa Maria (RS) Brasil.
5. Médico Residente no Serviço de Pneumologia do Hospital Universitário de Santa Maria - HUSM - Universidade Federal de Santa Maria - UFSM - Santa Maria (RS) Brasil.
6. Chefe do Laboratório de Patologia. Universidade Federal de Santa Maria - UFSM - Santa Maria (RS) Brasil.
7. Acadêmico de Medicina. Universidade Federal de Santa Maria - UFSM - Santa Maria (RS) Brasil.
Endereço para correspondência: Vinícius Dallagasperina Pedro. Rua Benjamin Constant, 1257, apto. 302, CEP 970500-023, Centro, Santa Maria, RS, Brasil.
Tel 55 55 3025-7661. E-mail: incubop@hotmail.com
Apoio financeiro: Nenhum.
Recebido para publicação em 26/11/2007. Aprovado, após revisão, em 18/2/2008.


Indexes

Development by:

© All rights reserved 2025 - Jornal Brasileiro de Pneumologia