Continuous and bimonthly publication
ISSN (on-line): 1806-3756

Licença Creative Commons
25182
Views
Back to summary
Open Access Peer-Reviewed
Original Article

Fibrose pulmonar idiopática simultânea a enfisema em pacientes tabagistas

Idiopathic pulmonary fibrosis and emphysema in smokers

Denise Rossato Silva, Marcelo Basso Gazzana, Sérgio Saldanha Menna Barreto, Marli Maria Knorst

ABSTRACT

Objective: To describe the clinical and functional findings recently reported in the medical literature for patients diagnosed with emphysema involving the upper lobes and idiopathic pulmonary fibrosis (IPF) involving the lower lobes. Methods: Eleven patients with emphysema and IPF were identified retrospectively. All of the patients underwent high-resolution computed tomography of the lung and pulmonary function tests. Results: Of the 11 patients, 8 were male and 3 were female. The mean age was 70.7 ± 7.2 years (range, 61-86 years). All of the patients were smokers (mean smoking history, 61.5 ± 43.5 pack-years). The mean values of forced vital capacity (FVC), forced expiratory volume in one second (FEV1) and FEV1/FVC were 72.1 ± 12.7%, 68.2 ± 11.9% and 74.4 ± 10.8, respectively. Lung volumes were normal in 7 patients. A restrictive pattern was observed in 3 patients, and hyperinflation was present in one. The diffusing capacity was moderatelyto- severely reduced in all of the patients (mean, 27.7% ± 12.9% of predicted). Ten of the 11 patients performed the six-minute walk test. The mean distance covered was 358.4 ± 143.1 m, and 9 of the 10 patients presented desaturation ≥ 4%. Echocardiographic findings suggestive of pulmonary hypertension were present in 4 patients (mean systolic pulmonary artery pressure, 61.8 mmHg; range, 36-84 mmHg). Conclusions: The concomitant presence of emphysema and IPF causes characteristic changes on pulmonary function tests. The most significant finding is a discrepancy between diffusing capacity and spirometry results.

Keywords: Pulmonary emphysema; Pulmonary fibrosis; Lung Diseases, interstitial; Anoxia; Hypertension, pulmonary.

RESUMO

Objetivo: Descrever os achados clínicos e funcionais de pacientes com enfisema em lobos superiores e fibrose pulmonar idiopática (FPI) em lobos inferiores, recentemente descrita na literatura. Métodos: Um grupo de 11 pacientes com a presença simultânea de enfisema e FPI foi identificado retrospectivamente. Todos os pacientes realizaram tomografia computadorizada de tórax com alta resolução e provas de função pulmonar. Resultados: Entre os 11 pacientes identificados, havia 8 homens e 3 mulheres, com média de idade de 70,7 ± 7,2 anos (variação, 61-86 anos). Todos os pacientes eram tabagistas (carga tabágica, 61,5 ± 43,5 anos-maço). As médias da capacidade vital forçada (CVF), do volume expiratório forçado no primeiro segundo (VEF1) e da relação VEF1/CVF foram 72,1% ± 12,7%, 68,2% ± 11,9% e 74,4 ± 10,8, respectivamente. Os volumes pulmonares foram normais em 7 pacientes. Um padrão restritivo foi observado em 3 pacientes e hiperinsuflação estava presente em um. A capacidade de difusão pulmonar apresentou redução moderada a grave em todos os pacientes (média, 27,7% ± 12,9% do previsto). No teste da caminhada de seis minutos, realizado por 10 pacientes, a distância caminhada média foi de 358,4 ± 143,1 m, ocorrendo dessaturação ≥4% em 9 pacientes. Achados ecocardiográficos sugestivos de hipertensão pulmonar estavam presentes em 4 pacientes (média da pressão sistólica da artéria pulmonar, 61,8 mmHg; variação, 36-84 mmHg). Conclusões: A presença simultânea de enfisema e FPI causa alterações características nas provas de função pulmonar. O achado mais importante é a discrepância entre a capacidade de difusão e a espirometria.

Palavras-chave: Enfisema pulmonar; Fibrose pulmonar; Doenças pulmonares intersticiais; Anóxia; Hipertensão pulmonar.

Introdução

O tabagismo é a principal causa evitável de morbidade e morte prematura. No Brasil, estimam-se 200 mil óbitos anuais relacionados ao tabaco.(1) Entre os efeitos mais conhecidos do tabagismo nos pulmões estão a doença pulmonar obstrutiva crônica (DPOC) e o carcinoma broncogênico. A DPOC foi a sexta causa de morte no mundo em 1990, mas poderá vir a se tornar a terceira causa mais comum de morte em 2020, independente das intervenções de saúde pública.(2) Na América Latina, as mortes atribuíveis à DPOC aumentaram cerca de 65% na última década.(3)

Doenças pulmonares intersticiais também têm sido associadas ao tabagismo, como a bronquiolite respiratória associada à doença pulmonar intersticial, a pneumonia intersticial descamativa e a histiocitose de células de Langerhans.(4,5) O papel do tabagismo nestas doenças é sugerido pela melhora clínica e radiológica que pode ocorrer após a cessação do uso do tabaco, assim como pela presença de combinações dessas doenças no mesmo paciente. A coexistência dos três padrões no mesmo paciente foi relatada previamente.(5,6)

O tabagismo também parece ser um fator de risco para o desenvolvimento de fibrose pulmonar idiopática (FPI). A prevalência de uso do tabaco na FPI varia de 41% a 83%, dependendo da definição de caso usada nos estudos.(6,7) Em um estudo de caso-controle, o tabagismo foi identificado como um potencial fator de risco para FPI (OR = 1,6).(8)

Alguns casos de enfisema em lobos superiores em combinação com fibrose em bases pulmonares foram descritos recentemente. Estes pacientes apresentam espirometria normal ou obstrução leve ao fluxo aéreo e volumes pulmonares relativamente preservados, mas com uma redução grave na diffusing capacity of the lung for carbon monoxide (DLCO, capacidade de difusão do monóxido de carbono). Além disso, hipoxemia e hipertensão pulmonar (HP) graves podem ser encontradas.(9)

Neste estudo, descrevemos os aspectos clínicos e funcionais de 11 pacientes portadores de enfisema e FPI.

Métodos

Foi realizado um estudo de casos, retrospectivo, de pacientes com a presença simultânea de enfisema e FPI, atendidos nos ambulatórios de pneumologia de um hospital universitário. O estudo foi aprovado pelo Comitê Institucional de Ética e Pesquisa. Foram incluídos no estudo pacientes com diagnóstico clínico e radiológico concomitante de enfisema e FPI. O diagnóstico de FPI foi baseado nos critérios da American Thoracic Society e da European Respiratory Society.(10) Entre os critérios maiores estão a exclusão de outras causas conhecidas de doença intersticial pulmonar, como toxicidade por drogas, exposição ambiental e doenças do colágeno; função pulmonar anormal, com evidência de restrição, isto é, redução da capacidade vital , freqüentemente com aumento da relação volume expiratório forçado no primeiro segundo/capacidade vital forçada (VEF1/CVF) e/ou redução nas trocas gasosas-aumento do gradiente alvéolo-arterial, diminuição da pressão parcial arterial de oxigênio (PaO2), em repouso ou com exercício, ou diminuição da DLCO; anormalidades reticulares bibasais com mínima área em vidro despolido na tomografia computadorizada de alta resolução (TCAR); e biópsia transbrônquica (BTB) e/ou lavado broncoalveolar (LBA) com características que não sugerem um diagnóstico alternativo. São considerados critérios menores idade >50 anos; início insidioso inexplicado de dispnéia aos esforços; duração da doença >3 meses; e estertores crepitantes inspiratórios bibasais. Em adultos imunocompetentes, a presença de todos os critérios maiores, assim como de pelo menos três dos quatro critérios menores, permite o diagnóstico clínico-radiológico de FPI.

O diagnóstico tomográfico de enfisema foi baseado nos seguintes achados: áreas bem demarcadas de diminuição da atenuação em comparação com áreas de pulmão normal contíguas, e circundadas por parede muito fina (<1mm) ou sem parede, e/ou múltiplas bolhas (>1 cm) com predomínio em lobos superiores.(11) A definição tomográfica de FPI foi baseada nos seguintes critérios: presença de doença pulmonar parenquimatosa difusa com significativa fibrose pulmonar, definida como opacidades reticulares com predominância na periferia e em bases, faveolamento, distorção arquitetural e/ou bronquiectasias de tração ou bronquiolectasias; opacidades em vidro despolido e/ou áreas de consolidação alveolar poderiam estar associadas, mas não deveriam ser proeminentes.(12) As tomografias de tórax foram revisadas por dois dos autores no momento da consulta assistencial para inclusão no estudo. As descrições dos achados tomográficos foram baseadas nos laudos radiológicos.

Os critérios de exclusão utilizados no estudo foram os seguintes: pacientes com diagnóstico de outras pneumonias intersticiais idiopáticas, doenças do colágeno, imunodeficiências, pneumopatia induzida por drogas, pneumoconioses, pneumonia de hipersensibilidade, sarcoidose, histiocitose pulmonar, linfangioleiomiomatose e pneumonia eosinofílica.

Todos os pacientes realizaram provas de função pulmonar (espirometria com broncodilatador, volumes e capacidades pulmonares medidos por pletismografia e difusão pulmonar) de acordo com as diretrizes para testes de função pulmonar da Sociedade Brasileira de Pneumologia e Tisiologia.(13) Foram considerados os valores de referência para a população brasileira.(14-16)

Foram coletados dados dos registros dos prontuários, tais como história tabágica, co-morbidades, índice de massa corporal, exposição ocupacional/ambiental, sintomas de refluxo gastroesofágico, uso de medicações, oxigenoterapia domiciliar e grau de dispnéia medido pela Modified Medical Research Council Dyspnea Scale (MMRC, Escala Modificada de Dispnéia do Conselho de Pesquisa em Medicina)(17) Adicionalmente, foram coletados dados ­referentes a outros exames complementares realizados, como teste da caminhada de seis minutos, gasometria arterial, ecocardiograma, cateterismo cardíaco direito e achados broncoscópicos. Foram utilizados no estudo os dados registrados na última consulta médica, bem como os exames subsidiários mais recentes.

Os dados foram digitados e analisados em banco de dados no programa Microsoft Excel XP®. Foi realizada uma análise descritiva para as variáveis em estudo. Os dados quantitativos foram apresentados como média ± desvio padrão. Os dados qualitativos foram expressos em número absoluto (% de todos os casos).

Resultados

As principais características dos pacientes estão demonstradas na Tabela 1. Dos 11 pacientes, 8 eram homens. A média de idade dos pacientes foi de 70,7 ± 7,2 anos, variando de 61 a 86 anos. Todos os pacientes eram fumantes. O índice tabágico médio foi de 61,5 ± 43,5 anos-maço (variação, 25-174 ­anos-maço). A média do índice de massa corporal foi 26,5 ± 4,6 kg/m2 (variação, 22,0-38,7 kg/m2). A média do escore de dispnéia (escala MMRC) na última consulta foi de 1,7 ± 1,4. Dos 11 pacientes, 8 apresentavam hipocratismo digital e 1 fazia uso de oxigenoterapia domiciliar. Todos os pacientes faziam uso regular de broncodilatadores. Outras medicações usadas foram hidroclorotiazida, furosemida, captopril (5 pacientes), citalopram (1 paciente). Refluxo gastroesofágico estava presente em 1 paciente, que fazia uso regular de omeprazol.



O tempo entre o início dos sintomas e o diagnóstico foi de 14,4 ± 14,9 meses, variando de 3 meses a 3 anos. O tempo médio desde o diagnóstico foi de 3,0 ± 2,3 anos. Em 9 casos, o diagnóstico de enfisema e fibrose foi concomitante. Nos outros 2, 1 teve o diagnóstico inicial de fibrose e 1, de enfisema.

De acordo com as equações de referência para a população brasileira, a CVF (% previsto), o VEF1 (% previsto) e a relação VEF1/CVF médios foram 72,1% ± 12,7%, 68,2% ± 11,9% e 74,4 ± 10,8, respectivamente. Os volumes pulmonares foram normais em 7 dos 11 pacientes; hiperinsuflação leve (capacidade pulmonar total, 124,3% do previsto) foi detectada em 1 paciente. Restrição pulmonar foi demonstrada nos outros 3 pacientes, com capacidade pulmonar total variando de 65,1% a 80,0% do previsto e volume residual de 83,7% a 131,7% do previsto. A DLCO (% previsto) mostrou redução grave em 8 casos e moderada em 3, com uma média de 27,7 ± 12,9%.

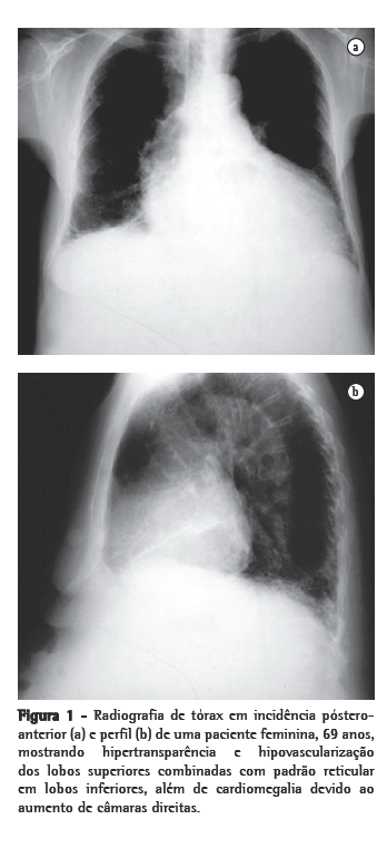
Todos os pacientes tinham achados compatíveis com enfisema e FPI na radiografia de tórax e na TCAR (Figuras 1 e 2). Áreas de radiotransparência em lobos superiores foram encontradas em todos os casos. Opacidades reticulares em bases pulmonares estavam presentes em 6 casos. Apenas 2 pacientes não apresentavam faveolamento. Em 4 casos evidenciaram-se áreas de atenuação em vidro despolido. Bronquiectasias de tração foram descritas em 3 dos 11 casos.





Do total de pacientes no estudo, 5 tinham PaO2 < 70 mmHg em repouso, verificada pela gasometria arterial em ar ambiente. O pH, a pressão parcial arterial de gás carbônico, bicarbonato, PaO2 e a saturação arterial de oxigênio médios foram 7,44 ± 0,03, 32,8 ± 6,7 mmHg, 21,5 ± 3,6 mmol/L, 68,9 ± 11,9 mmHg e 94,2% ± 3,3%, respectivamente. Nenhum paciente apresentou hipercapnia.

O teste da caminhada de seis minutos foi realizado por 10 pacientes -1 paciente não realizou o teste por dificuldade para deambular. A distância caminhada foi de 358,4 ± 143,1 m, sendo que 9 pacientes apresentaram dessaturação ≥ 4% durante o teste. A saturação periférica de oxigênio média antes da caminhada foi de 94,8% ± 2,4% e, após a caminhada, de 86,2% ± 6,6%. A ­freqüência cardíaca média inicial foi 83,9 ± 18,8 bpm e a final, 110,6 ± 21,2 bpm. A freqüência respiratória inicial foi 24,5 ± 6,5 ciclos/min e a final, 35,2 ± 7,1 ciclos/min.

Todos os pacientes realizaram ecocardiograma transtorácico. Devido à ausência de regurgitação tricúspide, a pressão sistólica na artéria pulmonar (PSAP) não pôde ser estimada em 4 pacientes. Nestes, o diâmetro médio do ventrículo direito foi de 1,7 ± 0,3 cm. Dos 7 restantes, 3 pacientes apresentavam PSAP ≤ 35 mmHg. Nos outros 4 casos, a PSAP foi > 35 mmHg (média, 61,8 mmHg; variação, 36-84 mmHg). Nestes casos, a média do diâmetro do ventrículo direito e da velocidade de regurgitação tricúspide foram, respectivamente, 3,6 ± 1,6 cm e 3,7 ± 0,9 m/s. Sinais clínicos de cor pulmonale estavam presentes em 2 pacientes, que foram submetidos a cateterismo cardíaco direito, demonstrando PSAP de 55 e 48 mmHg, respectivamente (a PSAP estimada por ecocardiograma foi de 85 e 84 mmHg, respectivamente). Desses 2 pacientes, 1 evoluiu a óbito devido a cor pulmonale agudizado e insuficiência respiratória.

Do total de pacientes, 8 foram submetidos à broncoscopia. Os achados broncoscópicos e os resultados do lavado broncoalveolar (pesquisa de bactérias, fungos e bacilos álcool-ácido resistentes) foram normais em todos os casos. Em 3 pacientes, a BTB demonstrou mucosa respiratória normal. Os achados da BTB nos outros casos foram parênquima pulmonar periférico com sinais de hemorragia recente e antiga; pequeno foco organizante; parênquima pulmonar periférico com área de fibrose e hiperplasia de músculo liso; e parênquima pulmonar periférico sem alterações. Não foi realizada BTB em 1 dos pacientes e 2 pacientes não realizaram broncoscopia por perda de seguimento, ao passo que 1 aguarda a realização do procedimento.

Discussão

Neste estudo relatamos os achados clínicos e funcionais de 11 pacientes que apresentaram, simultaneamente, enfisema em lobos pulmonares superiores e fibrose em lobos pulmonares inferiores, resultando em um padrão misto nas provas de função pulmonar. Na concomitância das duas doenças, o VEF1 e a relação VEF1/CVF podem ser normais ou compatíveis com obstrução ou restrição leves, com volumes pulmonares relativamente preservados e redução importante na DLCO. Podem ocorrer HP e hipoxemia em repouso ou com o exercício nesses pacientes.

A hiperinsuflação e a alta complacência das áreas de enfisema compensam a perda de volume devido à fibrose, resultando em volumes pulmonares normais ou pouco alterados. No enfisema, devido à destruição progressiva das estruturas alveolares, a DLCO está reduzida. Na FPI, a redução da DLCO ocorre devido à contração do volume capilar pulmonar e anormalidades na relação ventilação-perfusão.(18) Deste modo, a combinação de enfisema e FPI pode ter efeito aditivo ou sinérgico na redução da DLCO e, conseqüentemente, na hipoxemia. A presença de enfisema, mesmo limitado em extensão (média de 14% do volume pulmonar total), nos pacientes com FPI, foi associada com piora nas provas de função pulmonar.(19)
Recentemente, um estudo retrospectivo avaliou as características de pacientes que apresentavam redução na DLCO como única alteração nas provas de função pulmonar. O diagnóstico mais freqüente nesta série de casos foi a combinação de enfisema e FPI.(20)

Os casos que descrevemos são semelhantes aos relatados por estudos prévios.(9,19,21,22) A maior parte de nossos pacientes apresentava espirometria normal ou com obstrução leve e volumes pulmonares normais. A DLCO estava reduzida em todos os pacientes e apenas 1 paciente, entre os 10 que realizaram o teste de caminhada, não apresentou hipoxemia durante o exercício.

Em um estudo,(21) compararam-se as características de 21 pacientes com FPI e volumes pulmonares preservados (definido como CVF > 80%) com 27 pacientes com FPI e restrição pulmonar. O grupo de pacientes com volumes preservados tinha maior número de homens, de tabagistas ativos e de diagnósticos de enfisema comparado ao grupo com restrição pulmonar. Entretanto, a tomografia computadorizada foi usada para documentar a presença concomitante de enfisema em apenas 9 dos 21 pacientes. Em nosso estudo, todos os pacientes tinham achados compatíveis com FPI e enfisema na TCAR.

Em um estudo multicêntrico retrospectivo, foram avaliados 61 pacientes com diagnóstico de enfisema e FPI associados. Todos eram tabagistas e apresentavam dispnéia aos esforços. Os volumes pulmonares eram normais em 75% dos pacientes. A prevalência de hipertensão pulmonar foi de 47% no momento do diagnóstico e de 55% durante o seguimento. Os pacientes foram seguidos por 2,1 ± 2,8 anos após o diagnóstico. A presença de HP no momento do diagnóstico foi identificada como um fator prognóstico importante nesta série de casos.(22) Em nosso estudo, 4 dos 11 pacientes (36,4%) que realizaram ecocardiograma tinham HP no momento do diagnóstico, sendo que em 2 casos a mesma foi confirmada por cateterismo cardíaco.

Todos os pacientes da nossa série eram fumantes. O tabagismo é responsável pela maior parte dos casos de enfisema pulmonar(18) e pode ser um fator de risco independente na FPI.(8) O tabagismo ativo, em pacientes com FPI, pode estar associado com valores maiores de volume residual e capacidade residual funcional, assim como maior redução na DLCO.(23) O mecanismo envolvido na combinação de enfisema e FPI é desconhecido, mas estudos sugerem que o tabagismo possa ser o fator etiológico comum. O uso do tabaco aumenta a liberação de tumor necrosis factor-alpha (TNF-α, fator de necrose tumoral alfa) nos pulmões. Em um modelo animal, a expressão excessiva de TNF-α resultou em achados patológicos compatíveis com enfisema e FPI.(24) Outro estudo sugeriu que uma mesma rota patogenética possa estar implicada na gênese dessas duas doenças.(25)

Em nossa série, 8 pacientes apresentavam baqueteamento digital. Sabe-se que este achado não pode ser explicado pelo enfisema. O baqueteamento digital que surge na vida adulta, principalmente num paciente tabagista, sugere a presença de câncer de pulmão. Entretanto, bronquiectasias pós-infecciosas ou o diagnóstico de doença intersticial associada, como no caso de nossos pacientes, são causas que devem ser consideradas no diagnóstico diferencial do hipocratismo digital num paciente com DLCO.

Nosso estudo apresenta limitações que precisam ser consideradas. A principal delas é que os casos foram identificados retrospectivamente a partir de uma busca ativa no grupo de pacientes atendidos nos ambulatórios especializados em doenças intersticiais e DPOC de nosso hospital. Estudos retrospectivos correm risco de vieses de seleção (por perda de casos), bem como de aferição (dados obtidos de prontuários médicos). Alguns achados tomográficos, tais como opacidades reticulares e bronquiectasias de tração, foram relatados com freqüência menor que a esperada. Como a descrição das alterações tomográficas foi realizada a partir dos laudos das tomografias, é possível que as mesmas não reflitam a real ocorrência dos achados. Outro aspecto que necessita ser considerado é que em nenhum dos nossos casos foi realizada biópsia pulmonar cirúrgica para confirmar o diagnóstico. Em alguns dos casos, os achados tomográficos eram típicos, sendo que a biópsia cirúrgica teria pouco benefício. Outros pacientes recusaram o procedimento. Há que se considerar também que este procedimento tem um risco que não é desprezível. Na maior série de pacientes com enfisema e FPI relatada na literatura,(22) apenas 8 dos 61 pacientes foram submetidos à biópsia cirúrgica. Nas outras séries de casos,(9,19,21) nenhum paciente realizou tal procedimento. E, por fim, em 3 pacientes não foi realizada broncoscopia com BTB ou LBA para exclusão de diagnósticos alternativos devido à perda de seguimento. No mesmo estudo citado acima,(22) foi realizado LBA em apenas 27 dos 61 pacientes.

Concluímos que, a presença concomitante de enfisema e FPI deve ser reconhecida como uma entidade com características próprias, na qual há uma discrepância entre os achados espirométricos e a DLCO. Os efeitos opostos dessas doenças sobre a retração elástica, levando à preservação dos fluxos e volumes pulmonares, faz com que essa associação possa não ser percebida. Entretanto, a redução importante da DLCO, a HP moderada a grave e a hipoxemia com o exercício evidenciam a gravidade dessa combinação.

Embora a concomitância de enfisema e FPI possa ser um achado casual, as evidências sugerem que o tabagismo possa ser um indutor de ambas as doenças no mesmo paciente.

Referências


1. Instituto Nacional do Câncer - INCA [homepage on the Internet]. Rio de Janeiro: INCA - Ministério da Saúde, c1996-2008 [cited 2002 Dec 31]. Available from: http://www.inca.gov.br

2. Calverley PM, Walker P. Chronic obstructive pulmonary disease. Lancet. 2003;362(9389):1053-61.

3. Menezes AM, Jardim JR, Pérez-Padilla R, Camelier A, Rosa F, Nascimento O, et al. Prevalence of chronic obstructive pulmonary disease and associated factors: the PLATINO Study in São Paulo, Brazil. Cad Saude Publica. 2005;21(5):1565-73.

4. Selman M. The spectrum of smoking-related interstitial lung disorders: the never-ending story of smoke and disease. Chest. 2003;124(4):1185-7.

5. Vassallo R, Jensen EA, Colby TV, Ryu JH, Douglas WW, Hartman TE, et al. The overlap between respiratory bronchiolitis and desquamative interstitial pneumonia in pulmonary Langerhans cell histiocytosis: high-resolution CT, histologic, and functional correlations. Chest. 2003;124(4):1199-205.

6. Ryu JH, Colby TV, Hartman TE, Vassallo R. Smoking-related interstitial lung diseases: a concise review. Eur Respir J. 2001;17(1):122-32.

7. American Thoracic Society. Idiopathic pulmonary fibrosis: diagnosis and treatment. International consensus statement. American Thoracic Society (ATS), and the European Respiratory Society (ERS). Am J Respir Crit Care Med. 2000;161(2 Pt 1):646-64.

8. Baumgartner KB, Samet JM, Stidley CA, Colby TV, Waldron JA. Cigarette smoking: a risk factor for idiopathic pulmonary fibrosis. Am J Respir Crit Care Med. 1997;155(1):242-8.

9. Grubstein A, Bendayan D, Schactman I, Cohen M, Shitrit D, Kramer MR. Concomitant upper-lobe bullous emphysema, lower-lobe interstitial fibrosis and pulmonary hypertension in heavy smokers: report of eight cases and review of the literature. Respir Med. 2005;99(8):948-54.

10. American Thoracic Society; European Respiratory Society. American Thoracic Society/European Respiratory Society International Multidisciplinary Consensus Classification of the Idiopathic Interstitial Pneumonias. This joint statement of the American Thoracic Society (ATS), and the European Respiratory Society (ERS) was adopted by the ATS board of directors, June 2001 and by the ERS Executive Committee, June 2001. Am J Respir Crit Care Med. 2002;165(2):277-304.

11. Müller NL, Fraser RS, Colman NC, Paré PD. Doenças das vias respiratórias. In: Müller NL, Fraser RS, Colman NC, Paré PD, editors. Diagnóstico radiológico das doenças do tórax. Rio de Janeiro: Guanabara Koogan; 2003. pg 443-510.

12. Müller NL, Fraser RS, Colman NC, Paré PD. Doenças pulmonares intersticiais crônicas. In: Müller NL, Fraser RS, Colman NC, Paré PD, editors. Diagnóstico radiológico das doenças do tórax. Rio de Janeiro: Guanabara Koogan; 2003. pg 443-510.

13. Sociedade Brasileira de Pneumologia e Tisiologia. Diretrizes para testes de função pulmonar 2002. J Bras Pneumol. 2002;28(Supl 3):S1-S238.

14. Pereira CA, Sato T, Rodrigues SC. New reference values for forced spirometry in white adults in Brazil. J Bras Pneumol 2007;33(4):397-406.

15. Neder JA, Andreoni S, Castelo-Filho A, Nery LE. Reference values for lung function tests. I. Static volumes. Braz J Med Biol Res. 1999;32(6):703-17.

16. Neder JA, Andreoni S, Peres C, Nery LE. Reference values for lung function tests. III. Carbon monoxide diffusing capacity (transfer factor). Braz J Med Biol Res. 1999;32(6):729-37.

17. Mahler DA, Wells CK. Evaluation of clinical methods for rating dyspnea. Chest. 1988;93(3):580-6.

18. Shapiro SD, Snider GL, Rennard SI. Chronic bronchitis and emphysema. In: Murray JF, Nadel JA, editors. Murray and Nadel's textbook of respiratory medicine. Philadelphia: Saunders, 2005. p 1115-68.

19. Mura M, Zompatori M, Pacilli AM, Fasano L, Schiavina M, Fabbri M. The presence of emphysema further impairs physiologic function in patients with idiopathic pulmonary fibrosis. Respir Care. 2006;51(3):257-65.

20. Aduen JF, Zisman DA, Mobin SI, Venegas C, Alvarez F, Biewend M, et al. Retrospective study of pulmonary function tests in patients presenting with isolated reduction in single-breath diffusion capacity: implications for the diagnosis of combined obstructive and restrictive lung disease. Mayo Clin Proc. 2007;82(1):48-54.

21. Doherty MJ, Pearson MG, O'Grady EA, Pellegrini V, Calverley PM. Cryptogenic fibrosing alveolitis with preserved lung volumes. Thorax. 1997;52(11):998-1002.

22. Cottin V, Nunes H, Brillet PY, Delaval P, Devouassoux G, Tillie-Leblond I, et al. Combined pulmonary fibrosis and emphysema: a distinct underrecognised entity. Eur Respir J. 2005;26(4):586-93.

23. Schwartz DA, Merchant RK, Helmers RA, Gilbert SR, Dayton CS, Hunninghake GW. The influence of cigarette smoking on lung function in patients with idiopathic pulmonary fibrosis. Am Rev Respir Dis. 1991;144(3 Pt 1):504-6.

24. Lundblad LK, Thompson-Figueroa J, Leclair T, Sullivan MJ, Poynter ME, Irvin CG, et al. Tumor necrosis factor-alpha overexpression in lung disease: a single cause behind a complex phenotype. Am J Respir Crit Care Med. 2005;171(12):1363-70.

25. Gauldie J, Kolb M, Ask K, Martin G, Bonniaud P, Warburton D. Smad3 signaling involved in pulmonary fibrosis and emphysema. Proc Am Thorac Soc. 2006;3(8):696-702.






Trabalho realizado no Hospital de Clínicas de Porto Alegre, Porto Alegre (RS) Brasil.
1. Médica Pneumologista. Hospital de Clínicas de Porto Alegre, Porto Alegre (RS) Brasil.
2. Médico Assistente do Serviço de Pneumologia do Hospital de Clínicas de Porto Alegre, Porto Alegre (RS) Brasil.
3. Professor Titular do Departamento de Medicina Interna. Faculdade de Medicina, Universidade Federal do Rio Grande do Sul - UFRGS - Porto Alegre (RS) Brasil.
4. Professora Associada do Departamento de Medicina Interna. Faculdade de Medicina, Universidade Federal do Rio Grande do Sul - UFRGS - Porto Alegre (RS) Brasil.
Endereço para correspondência: Marli Maria Knorst. Serviço de Pneumologia, Hospital de Clínicas de Porto Alegre, Rua Ramiro Barcelos, 2350, 2º andar,
CEP 90035-003, Porto Alegre, RS, Brasil.
Tel 55 51 2101-8241. E-mail: mmknorst@terra.com.br
Apoio financeiro: Nenhum.
Recebido para publicação em 6/9/2007. Aprovado, após revisão, em 8/2/2008.

Indexes

Development by:

© All rights reserved 2025 - Jornal Brasileiro de Pneumologia