Continuous and bimonthly publication
ISSN (on-line): 1806-3756

Licença Creative Commons
17658
Views
Back to summary
Open Access Peer-Reviewed
Case Report

Toracoplastia traumática: relato de caso

Trauma-related thoracoplasty: case report

Gabriela Addor, Andreia Salarini Monteiro, David Henrique Nigri, Luiz Felippe Judice, Rui Haddad, Carlos Alberto de Barros Franco

ABSTRACT

Trauma primarily affects young people and is the leading cause of death in the first three decades of life. Flail chest is observed in approximately 10% of all patients with severe chest trauma, and the mortality rate among such patients is 10-15%. We report herein the case of a car accident victim with chest trauma causing hemopneumothorax and multiple rib fractures, intense pain and deformity of the chest wall. Surgical stabilization was performed, with good results. Therapeutic options are also discussed.

Keywords: Thoracic injuries; Flail chest; Thoracoplasty.

RESUMO

O trauma é uma doença que afeta predominantemente os jovens, sendo a principal causa de morte nas primeiras três décadas de vida. O tórax instável é observado em aproximadamente 10% dos casos de trauma de tórax, com mortalidade de 10-15%. O caso clínico apresentado refere-se a uma paciente, vítima de acidente automobilístico, com trauma de tórax, ocasionando hemopneumotórax e fratura de múltiplos arcos costais, dor de difícil controle e deformidade torácica. São discutidas as opções terapêuticas. No presente caso, foi realizada fixação cirúrgica, com bom resultado.

Palavras-chave: Traumatismos torácicos; Tórax fundido; Toracoplastia.

Introdução

O trauma é uma doença que afeta predominantemente os jovens, sendo a principal causa de morte nas primeiras três décadas de vida. Nos Estados Unidos da América, estima-se que o traumatismo de tórax seja responsável por 25% dessas mortes. Uma análise das várias causas de lesão torácica mostrou que os acidentes de trânsito e as quedas são as principais causas do aumento da incidência de lesões torácicas com instabilidade do gradil costal.(1)

O tórax instável é observado em aproximadamente 10% dos casos de trauma grave de tórax, com mortalidade de 10-15%. Sua alta mortalidade está, em parte, relacionada à associação de graves lesões extra-torácicas (trauma cranioencefálico, vísceras abdominais, lesões vasculares). Entretanto, nos pacientes que sobrevivem ao trauma inicial, as principais causas de morte estão relacionadas principalmente à pneumonia e sepse, associadas à entubação e ventilação mecânica prolongadas, freqüentemente necessárias nesses casos. O tórax instável bilateral e a idade acima de 50 anos são fatores agravantes.(2) Apesar de toda literatura pertinente, o tratamento do tórax instável grave, com múltiplas fraturas e falência respiratória, continua um tema controverso.

Relato do caso

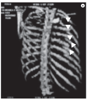
Paciente do sexo feminino, 32 anos, vítima de acidente automobilístico, que ocasionou hemopneumotórax esquerdo, contusão pulmonar esquerda e fraturas duplas do terceiro ao oitavo arcos costais esquerdos, evidenciados na radiografia e tomografias computadorizadas (TC) do tórax (Figuras 1 e 2). As tomografias de crânio, coluna cervical, abdômen e pelve apresentaram-se normais, assim como eletrocardiograma, ecocardiograma, enzimas musculares e marcadores de necrose miocárdica. Foi realizada drenagem torácica fechada em selo d'água e solicitada a instalação de cateter epidural para analgesia contínua com bomba de infusão. A paciente apresentava deformidade torácica importante e dor, apesar de doses elevadas de analgésicos. Antecipou-se que o quadro, se não tratado cirurgicamente, evoluiria para deformidade complexa da parede, com possível acometimento da respiração. Não necessitou de ventilação mecânica. Em vista desse quadro clínico, foi decidido o tratamento cirúrgico para estabilização das fraturas. O procedimento foi realizado por toracotomia póstero-lateral esquerda. Foram encontradas fraturas duplas do terceiro ao oitavo arcos costais esquerdos com ruptura completa de vários pedículos intercostais, herniação e impactação do segmento fraturado (6 arcos) para o interior da cavidade pleural, com compressão importante do parênquima pulmonar (toracoplastia traumática). Foi realizada redução das fraturas e fixação das costelas com fios de aço número 5, perfurando as extremidades das costelas com broca número 2, passando-se o fio de um segmento de costela para outro e amarrando-se o fio de aço. Foi colocado um dreno de tórax, que foi retirado no terceiro dia. A paciente evoluiu com excelente controle da dor e melhora na dinâmica ventilatória. A radiografia e a tomografia no pós-operatório confirmam o bom resultado do tratamento cirúrgico. (Figura 3).














Discussão

O trauma fechado de tórax é uma importante causa de morbidade e mortalidade, principalmente quando há tórax instável. É observado quando ocorrem múltiplas fraturas da caixa torácica, mais especificamente quando observamos fraturas de três ou mais costelas, em 2 ou mais pontos, havendo flutuação, movimento respiratório paradoxal, ou ambos.(3) A toracoplastia traumática pode ser definida como a condição na qual o segmento fraturado migra para dentro do tórax e é envolvido pelos segmentos dos arcos costais fixos, causando impactação desse segmento no interior da cavidade pleural. Isto causa dor intratável (tração permanente de nervos intercostais) e comprime o parênquima pulmonar, piorando consideravelmente o quadro clínico do paciente. O tórax instável grave está associado à falência respiratória, por retenção de secreções, atelectasia, pneumonia e restrição da movimentação da caixa torácica mais tardiamente.(2) A instabilidade torácica pode ser tratada eficientemente com analgesia, preferencialmente epidural, e fisioterapia, com mobilização adequada de secreção.

Antes de 1956, o tratamento era realizado através de estabilização externa da parede torácica. No período de 1956 a 1975, utilizou-se intubação precoce e ventilação mecânica, o que resultava em boa estabilização ('estabilização pneumática interna'); porém, sem reduzir mortalidade. Estudos a partir de 1975, e em 1983, enfatizaram uma estratégia conservadora, com analgesia eficiente e fisioterapia intensiva, sem ventilação mecânica, observando-se redução na mortalidade.(4) O tratamento da instabilidade do tórax que não apresenta boa resposta ao tratamento conservador é um tema extremamente controverso.(2) Alguns autores optam por intubação e ventilação mecânica prolongada. Outros, entretanto, advogam a estabilização cirúrgica das fraturas com osteossíntese e fixação dos segmentos instáveis do tórax, reduzindo a duração da necessidade de suporte ventilatório, a estadia em centros de tratamento intensivo e a morbidade, especialmente em casos onde não há contusão pulmonar.(2) Em um estudo,(2) os pacientes com indicação de estabilização cirúrgica foram: os que necessitaram toracotomia para correção de outras lesões; os que apresentavam lesão antero-lateral extensa e deslocamento progressivo das costelas fraturadas (o deslocamento antero-lateral é mais propenso a desenvolver restrição e pseudoartrose, com limitação profissional no futuro); os pacientes não intubados que mantinham insuficiência respiratória, apesar de analgesia peridural continua e intenso tratamento para mobilização de secreções; e aqueles que estavam intubados e ventilados exclusivamente por tórax instável, sem outras indicações de ventilação mecânica prolongada, como contusão pulmonar grave, injuria cerebral, ou ambas. Em 1997, alguns autores defendiam a fixação cirúrgica, aliada à analgesia apropriada, para pacientes com insuficiência respiratória refratária sem indicação de intubação por outra razão; e para pacientes jovens com grave impactação, como o caso apresentado aqui, para prevenção de restrição futura. A utilização da fixação cirúrgica tem sido eficiente em um grupo restrito de pacientes, principalmente nos submetidos a intervenção cirúrgica por outra causa; nos que mantêm dor, apesar de analgesia apropriada; nos que apresentam movimento paradoxal do tórax, apesar da ventilação mecânica; ou deformidade grave da parede torácica; e nos pacientes com tórax flácido, sem contusão torácica significante, e com dificuldade respiratória.(1)

Outros autores(5) mostraram melhores resultados em termos de tempo de internação e de evolução clínica, no grupo operado, quando comparado ao tratado clinicamente, com médias de internação de 9 e 21 dias, e mortalidade de 85 e 29%, respectivamente. Isto favorece amplamente o grupo cirúrgico. Apesar disso, a indicação de cirurgia nesses pacientes continua controversa. Geralmente, quando indicado, o tratamento cirúrgico visa evitar deformidades acentuadas da parede torácica e, com isto, prevenir a ocorrência de dor crônica e insuficiência respiratória de difícil controle, no futuro. Essas últimas foram as indicações consideradas para fixação cirúrgica das fraturas, no caso aqui apresentado.

Referências

1. Zelenak J, Kutarna J, Hutan M, Kalig K. Stabilisation of thoracic wall in patients with chest injury. Bratisl Lek Listy. 2002;103(4-5):176-8.

2. Lardinois D, Krueger T, Dusmet M, Ghisletta N, Gugger M, Ris HB. Pulmonary function testing after operative stabilisation of the chest wall for flail chest. Eur J Cardiothorac Surg. 2001;20(3):496-501.

3. Bub RF, Campos M, Ghiotto JL. Traumatismo torácico. In: Knobel E, editor. Condutas no paciente grave. Rio de Janeiro: Atheneu; 1998. p. 891-907.

4. Sivaloganathan M, Stephens R, Grocott M. Management of flail chest. Hosp Med. 2000;61(11):811.

5. Ahmed Z, Mohyuddin Z. Management of flail chest injury: internal fixation versus endotracheal intubation and ventilation. J Thorac Cardiovasc Surg. 1995;110(6):1676-80.
___________________________________________________________________________________________
* Trabalho realizado na Escola Médica de Pós-Graduação da Pontifícia Universidade Católica do Rio de Janeiro - PUC - Rio de Janeiro (RJ) Brasil.
1. Professor(a) Auxiliar do Curso de Pneumologia. Escola Médica de Pós-Graduação da Pontifícia Universidade Católica do Rio de Janeiro - PUCRJ - Rio de Janeiro (RJ) Brasil.
2. Médica pneumologista. Centro de Tratamento Intensivo do Hospital Municipal Miguel Couto, Rio de Janeiro (RJ) Brasil.
3. Professor Titular. Departamento de Cirurgia da Faculdade de Medicina da Universidade Federal Fluminense - UFF - Niterói (RJ) Brasil.
4. Professor Titular do Curso de Cirurgia Torácica. Escola Médica de Pós-Graduação da Pontifícia Universidade Católica do Rio de Janeiro - PUCRJ - Rio de Janeiro (RJ) Brasil.
5. Professor Titular de Pneumologia. Escola Médica de Pós-Graduação da Pontifícia Universidade Católica do Rio de Janeiro - PUCRJ - Rio de Janeiro (RJ) Brasil.
Endereço para correspondência: Gabriela Addor. Rua Sorocaba, 464/402, Botafogo, CEP 22271-110, Rio de Janeiro, RJ, Brasil.
Tel 55 21 2266-7392. E-mail: gaddor@terra.com.br/respirar@pobox.com
Recebido para publicação em 26/4/05. Aprovado, após revisão, em 23/6/06.

Indexes

Development by:

© All rights reserved 2025 - Jornal Brasileiro de Pneumologia