Continuous and bimonthly publication
ISSN (on-line): 1806-3756

Licença Creative Commons
22953
Views
Back to summary
Open Access Peer-Reviewed
Case Report

Tracheoesophageal fistula after caustic ingestion

Fístula esôfago-traqueal após ingestão cáustica

Eduardo Crema, Marcelo Cunha Fatureto, Marcel Noronha Gonzaga, Ricardo Pastore, Alex Augusto da Silva

ABSTRACT

Tracheoesophageal fistulas are uncommon and present diverse etiologies, among which is burning of the esophagus due to caustic ingestion. Herein, we report the case of a 27-year-old male patient having ingested a caustic substance 14 days prior and presenting burning retrosternal pain, weakness, productive cough with purulent sputum and dyspnea accompanied by hoarseness for the preceding 24 h. Endoscopy of the upper digestive tract revealed a tracheoesophageal fistula. Treatment consisted of cervical exclusion of the esophageal transit, together with gastrostomy. Subsequently, the nutrient transit was reconstructed through pharyngocoloplasty. The postoperative evolution was favorable.

Keywords: Tracheoesophageal fistula/etiology; Tracheoesophageal fistula/surgery; Esophageal perforation/chemically induced; Colon/surgery

RESUMO

As fístulas esôfago-traqueais são incomuns e apresentam diversas etiologias, entre elas, a queimadura química esofágica devida à ingestão cáustica. Relatamos o caso de um paciente de 27 anos com história de ingestão cáustica havia catorze dias, com dor retroesternal em queimação, fraqueza, tosse com escarro purulento e dispnéia associada à rouquidão no último dia. A endoscopia digestiva alta e a broncofibroscopia revelaram fístula esôfago-traqueal. O tratamento consistiu no suporte clínico, drenagem torácica bilateral, exclusão do transito esofágico com esofagostomia cervical terminal e gastrostomia. Houve cicatrização espontânea da fístula esôfago traqueal em seis semanas. Posteriormente, realizou-se a reconstrução do trânsito alimentar através de faringocoloplastia. A evolução pós-operatória foi satisfatória.

Palavras-chave: Fístula traqueoesofágica/etiologia; Fístula traqueoesofágica/cirurgia;Perfuração esofágica/induzido quimicamente; Cólon/cirurgia.

Introduction

The ingestion of caustic or corrosive substances remains a cause for concern in the field of pulmonology due to the severity of the cases. These substances are readily available, since they are present in various cleaning products. Therefore, ingestion (accidental or intentional) of such substances occurs frequently.(1-3)

In children, accidental ingestion prevails, whereas voluntary ingestion (with suicidal intent) is more common in adults.(1,2) Alkalis are the substances most frequently ingested, caustic soda (sodium hydroxide) being the principal agent.(1-4)

Chief among the acute complications of caustic ingestion are gastric hemorrhage, esophageal perforation, gastrocolic fistula, esophageal-aortic fistula, and tracheoesophageal fistula (TEF).(1,2) The principal late complication is esophageal stenosis.(1-3,5)

We report the case of a patient with TEF caused by caustic ingestion. The patient was treated for this clinical condition and later underwent reconstruction of the gastric transit through pharyngocoloplasty. Since TEFs are uncommon, their surgical management is still the source of controversy in the international literature.(6,7) In this context, we address the peculiarities of TEFs, as well as their treatment, since they constitute severe clinical situations presenting high rates of morbidity and mortality.

Case report

A 27-year-old male patient, native to and resident of the city of Conceição das Alagoas, located in the state of Minas Gerais, sought treatment in the emergency room 14 days after having ingested a caustic substance. He presented dysphagia for solid and semi-solid foods, odynophagia, and burning retrosternal pain for 3 days, without improvement. He presented undetermined fever during the preceding 24 h, together with weakness, productive cough with purulent sputum, and dyspnea accompanied by hoarseness. The patient described himself as a nonsmoker and nondrinker. He also stated that he had never undergone surgery.

His overall health status was regular, although he was emaciated. He presented tachypnea, dyspnea, fever (38.9 °C), dehydration and intense sialorrhea. Physical examination revealed limited chest expansion and reduced breath sounds in the left hemithorax, as well as bilateral diffuse rhonchi. There were no cardiovascular and abdominal alterations.

Laboratory tests revealed discrete anemia (hemoglobin 11.8 g/dl), leukocytosis (18,500 leukocytes/mm3, with 8% rods), discrete electrolyte disturbance and hypoalbuminemia (2.2 g/dl). A chest X ray showed a small pneumothorax, left pulmonary consolidation and mediastinum deviation to the left.

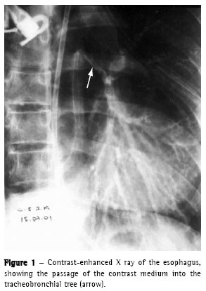
We performed upper digestive endoscopy, which revealed a large fistula between the esophagus and the left bronchus, although the device passed without difficulty (Zagar class 3b(8)). The esophageal mucosa was friable with intense deposits of fibrin. A nasogastric tube was positioned in the second portion of the duodenum (Figure 1).





The control chest X ray, after upper digestive endoscopy, revealed left pneumothorax. Left thoracic drainage was performed with immediate lung re-expansion. In the fiberoptic bronchoscopy, we observed an area of destruction of the distal trachea, carina and left bronchus of approximately 3 x 1.5 cm (Figures 2 and 3), as well as exposure of the mediastinal tissue, together with de-epithelization and retraction of the epiglottis and right vocal chord.









Due to the poor clinical condition of the patient and the severity of the lesions found, we chose to perform terminal cervical esophagostomy and gastrostomy. We used a combination of broad spectrum antibiotic therapy, central venous access, correction of the electrolyte disturbance, respiratory therapy and psychological support.

The patient presented favorable evolution, being discharged 17 days after admission. Two months after discharge, he presented to the emergency room with progressive dyspnea for 10 days, together with intense intercostal wheezing and retractions. The fiberoptic bronchoscopy revealed supraglottic stenosis (annular neoformation of the fibrotic tissue), and tracheostomy was indicated. He was monitored as an outpatient, and, six months after the caustic ingestion, a palatopharyngoplasty was performed, and the tracheostomy was deactivated.

Eight months after his first admission, the patient was hospitalized (for better nutritional preparation), and the reconstruction of the gastric transit was scheduled. We performed pharyngocoloplasty with retrosternal interposition of the transverse colon and posterior pharyngocolic anastomosis. The patient presented considerable improvement, was discharged on postoperative day 12 and was in outpatient treatment for 28 months, presenting favorable clinical evolution.

Discussion

Acquired TEF can have various etiologies, malignant neoplasms of the esophagus being the most common.(7) Among the benign TEFs, ischemia and posterior necrosis of the tracheal and esophageal membrane, due to the tracheal and gastric tube cuffs seen in individuals on prolonged mechanical ventilation, are the most common etiologies.(6,9) Less common etiologies include foreign bodies, instrumental esophageal dilation, esophageal diverticulum perforation, mediastinal abscesses, thoracic trauma (open or closed) and chemical burns in the esophagus.(6,7,9)

In the TEFs resulting from caustic ingestion, the necrosis caused by the extent of the chemical burning of the esophagus seems to be the main pathophysiological factor.(4) Due to the etiological diversity and the low frequency of TEFs, there is no consensus in the literature regarding the ideal treatment of this clinical condition and the proposed treatments are various.(6,7,9-11)

Some authors(6) studied 31 patients with benign TEFs and found that the majority of cases were due to complication of endotracheal intubation. The authors treated all of the patients through left cervical incision involving suture of the tracheal and esophageal defect with interposition of the sternocleidomastoid muscle flap between the two organs. The results were positive.

Other authors(7) reported their experience in the treatment of 41 patients with congenital and acquired (benign and malignant) TEFs, in which 11 patients presented TEFs due to malignant neoplasms, 7 due to tracheoesophageal trauma, 5 due to chemical burns, 4 due to congenital disorders and the rest due to other etiologies. The proposed surgical treatment was fistulectomy involving the correction (suture) of the esophageal and tracheal defects (especially in the cases of posttraumatic TEF cases) or the creation of an artificial esophagus through the transposition of the jejunal loop or colon. The latter was reserved only for cases of extensive esophageal chemical burning with great inflammation and fibrosis of adjacent tissues. In the cases of TEF due to malignant neoplasms, the principal treatment, as a palliative measure, was gastrostomy.

Some authors(4) described their own surgical technique in the treatment of TEF due to caustic ingestion. They proposed esophagectomy in which a pulmonary lobe patch is used in order to obliterate the lesion of the trachea or bronchus, with subsequent reconstruction of the gastric transit through retrosternal interposition of the ileocolic segment.

Regarding the reconstruction of the gastric transit in patients with esophagus stenosis, the use of the colon as transposed viscera is well established in the literature. In more severe caustic stenoses, in which not only the esophagus but also the pharynx is affected, the colon is also the organ of choice.(14)

The author of one study(14) demonstrated that pharyngocoloplasty with posterior pharyngocolic anastomosis, in the treatment of caustic stenosis of the esophagus and pharynx, presents favorable results, low mortality (null index in the sample studied) and postoperative complications with few overall repercussions (cervical fistula in 5% of the cases).

We conclude that the appropriate treatment of TEF is fundamental to obtaining satisfactory results. The technique employed in the therapeutic management of our patient proved to be an effective and safe alternative. Although this is the description of only one case, we found it important to report it, because the complications of caustic accidents, especially TEFs, are uncommon, represent complex, difficult to treat cases and require protracted treatment, as well as demanding integrated and multidisciplinary approaches.

References

1. Corsi PR, Hoyos MBL, Rasslan S, Viana AT, Gagliardi D. Lesäo aguda esôfago-gástrica causada por agente químico. Rev Assoc Med Brás. 2000;46(2):98-105.

2. Ramasamy K, Gumaste VV. Corrosive ingestion in adults. J Clin Gastroenterol 2003;37(2):119-24.

3. Andreollo NA, Lopes LR, Tercioti Júnior V, Brandalise NA, Leonardi LS. Esôfago de Barret associado à estenose cáustica do esôfago. Arq Gastroenterol. 2003;40(3):148-51.

4. Sarfati E, Jacob L, Servant JM, d'Acremont B, Roland E, Ghidalia T, Celerier M. Tracheobronchial necrosis after caustic ingestion. J Thorac Cardiovasc Surg. 1992;103(3):412-3.

5. Mamede RC, Mello Filho FV. Ingestion of caustic substances and its complications. São Paulo Med J. 2001;119(1):10-5.

6. Baisi A, Bonavina L, Narne S, Peracchia A. Benign tracheoesophageal fistula: results of surgical therapy. Dis Esophagus. 1999;12(3):209-11.

7. Gudovsky LM, Koroleva NS, Biryukov YB, Chernousov AF, Perelman MI. Tracheoesophageal fistulas. Ann Thorac Surg. 1993;55(4):868-75.

8. Zagar ZA, Kochjar R, Mehta S, Mehta SK. The role of endoscopy in the management of corrosive ingestion and modified endoscopic classification of burns. Gastrointest Endosc. 1991;37(2):165-9.

9. Gerzic Z, Rakic S, Randjelovic T. Acquired benign esophagorespiratory fistula: report of 16 consecutive cases. Ann Thorac Surg. 1990;50(5):724-7.

10. Hosoya Y, Yokoyama T, Arai W, Hyodo M, Nishino H, Sugawara Y, et al. Tracheoesophageal fistula secondary to chemotherapy for malignant B-cell lymphoma of the thyroid: successful surgical treatment with jejunal interposition and mesenteric patch. Dis Esophagus. 2004;17(3):266-9.

11. Bardini R, Radicchi V, Parimbelli P, Tosato SM, Narne S. Repair of a recurrent benign Tracheoesophageal fistula with a Gore-Tex membrane. Ann Thorac Surg. 2003;76(1):304-6.

12. Ergün O, Celik A, Mutaf O. Two-stage coloesophagoplasty in children with caustic burns of the esophagus: hemodynamic basis of delayed cervical anastomosis--theory and fact. J Pediatr Surg. 2004;39(4):545-8.

13. Miranda MP, Genzini T, Ribeiro MA, Crescentini F, Faria JCM. Emprego de anastomose vascular microcirúrgica para incremento do fluxo sanguíneo na esofagocoloplastia. An Paul Med Cir. 2000;127(1):142-6.

14. Cecconello I. Faringocoloplastia no tratamento da estenose caustica do esôfago e da faringe [tese]. São Paulo: Faculdade de Medicina da Universidade de Sao Paulo; 1989.

*Study carried out at the Universidade Federal do Triângulo Mineiro (UFTM, Federal University of Triângulo Mineiro) - Uberaba (MG) Brazil.
1. PhD, Full Professor in the Department of Surgical Gastroenterology at the the Universidade Federal do Triângulo Mineiro (UFTM, Federal University of Triângulo Mineiro) - Uberaba (MG) Brazil.
2. Adjunct Professor, Chief of the Department of Thoracic Surgery at the Universidade Federal do Triângulo Mineiro (UFTM, Federal University of Triângulo Mineiro) - Uberaba (MG) Brazil.
3. Degree in Medicine from the Universidade Federal do Triângulo Mineiro (UFTM, Federal University of Triângulo Mineiro) - Uberaba (MG) Brazil.
4. PhD, Adjunct Professor in the Surgical Techniques and Experimental Surgery Department at the Universidade Federal do Triângulo Mineiro (UFTM, Federal University of Triângulo Mineiro) - Uberaba (MG) Brazil.
5. PhD, Adjunct Professor, Chief of the Department of Surgical Gastroenterology at the Universidade Federal do Triângulo Mineiro (UFTM, Federal University of Triângulo Mineiro) - Uberaba (MG), Brazil.
Correspondence to: Marcelo Cunha Fatureto. Departamento de Cirurgia da UFTM. Av. Getúlio Guaritá, s/n, CEP 38025-440, Uberaba, MG, Brazil. Phone 55 34 3332-2155. E-mail: cremauftm@mednet.com.br/mfat@terra.com.br
Submitted: 16/12/05. Accepted, after review: 13/3/06.


Indexes

Development by:

© All rights reserved 2025 - Jornal Brasileiro de Pneumologia