Continuous and bimonthly publication
ISSN (on-line): 1806-3756

Licença Creative Commons
24131
Views
Back to summary
Open Access Peer-Reviewed
Update Course - Mycoses

Chapter 2 - Coccidioidomycosis

Capítulo 2 - Coccidioidomicose

Antônio de Deus Filho

ABSTRACT

Coccidioidomycosis is a systemic mycosis caused by the dimorphic fungi Coccidioides immitis and Coccidioides posadasii. Infection is acquired by inhalation of infective arthroconidia that live in the soil. In 60% of cases, the infection is benign and resolves spontaneously. In the northern hemisphere, coccidioidomycosis is endemic to arid and semi-arid regions at latitudes between 40°N and 40°S, particularly in the southwestern United States and in northern Mexico. In the semi-arid northeastern region of Brazil, cases of coccidioidomycosis have recently been reported in four states: Piauí (100 cases); Ceará (20 cases); Maranhão (6 cases); and Bahia (2 cases). The illness manifests in one of three clinical forms: the primary pulmonary form; the progressive pulmonary form; or the disseminated form. On average, the symptoms of respiratory infection appear 10 days after exposure. The diagnosis is made by the isolation of Coccidioides sp. in culture or by positive results from smear microscopy (10% potassium hydroxide test), periodic acid-Schiff staining or silver staining of any suspect material (sputum, cerebrospinal fluid, skin exudate, lymph node aspirate, etc.) Agar gel immunodiffusion is the diagnostic test most widely used. The most common finding on X-rays and CT scans is diffuse distribution of multiple pulmonary nodules, most of which are cavitated. The recommended treatment is fluconazole or itraconazole, the mean dose ranging from 200 to 400 mg/day, although as much as 1,200 mg/day is used in certain cases. In severe cases, amphotericin B can be the drug of choice. In cases of neurological involvement, the recommended treatment is administration of fluconazole, at a minimum dose of 400 mg/day.

Keywords: Mycoses/immunology; Coccidioidomycosis; Lung diseases, fungal.

RESUMO

A coccidioidomicose é uma micose sistêmica causada pelos fungos dimórficos Coccidioides immitis e ­Coccidioides posadasii. A infecção é adquirida pela inalação de artroconídios infectantes presentes no solo. Usualmente apresenta-se como infecção benigna de resolução espontânea em 60% dos casos. A micose é encontrada em regiões áridas e semiáridas do continente americano entre os paralelos 40°N e 40°S, principalmente no sudoeste dos Estados Unidos e no norte do México. A coccidioidomicose foi diagnosticada recentemente na região semiárida do nordeste do Brasil em quatro estados: Piauí (100 casos), Ceará (20 casos), Maranhão (6 casos) e Bahia (2 casos). A micose se manifesta sob três formas clínicas principais: forma pulmonar primária, forma pulmonar progressiva ou forma disseminada. Os sintomas de infecção respiratória manifestam-se, em média, 10 dias após a exposição. O diagnóstico faz-se pelo isolamento do Coccidioides sp. em cultivo ou pelo exame direto positivo (hidróxido de potássio a 10%) de qualquer material suspeito (escarro, líquido cefalorraquidiano, exsudato de tegumento, linfonodos, etc.), ou corados por ácido periódico de Schiff ou impregnação argêntea. A imunodifusão em gel de ágar é o teste imunológico mais empregado na rotina diagnóstica. As manifestações radiológicas e tomográficas mais frequentes são nódulos pulmonares múltiplos, a maioria escavados, distribuídos difusamente. As drogas indicadas para o tratamento são fluconazol e itraconazol, com doses médias variando de 200 a 400 mg/dia, podendo chegar a 1.200 mg/dia. Nos casos graves, a anfotericina B pode ser a droga de escolha inicial. Na manifestação neurológica, o fluconazol é a droga preferida na dose mínima de 400 mg/dia.

Palavras-chave: Micoses/imunologia; Coccidioidomicose; Pneumopatias fúngicas.

Introduction

Coccidioidomycosis is a systemic mycosis that affects humans and a wide range of animals. It is caused by the soil-dwelling dimorphic fungus Coccidioides immitis. The disease is acquired by inhalation of infective arthroconidia that live in the soil, where the fungus grows as a saprophyte, presenting filamentous growth.(1) The infection is usually benign and resolves spontaneously; however, a small proportion of infected individuals develop progressive, potentially lethal, infection that can affect not only the lungs but other organs through hematogenous dissemination.(2) Coccidioidomycosis, also known as Posadas-Wernicke disease, desert rheumatism, San Joaquin Valley fever and coccidioidal granuloma, is a systemic mycosis caused by C. immitis, a fungus that is endemic to arid and semi-arid regions in the American continent at latitudes between 40°N and 40°S; the southwestern United States and northern Mexico constitute the largest contiguous area to which the fungus is known to be endemic. It is also endemic to certain areas of Central America and South America.(3-6) The semi-arid northeastern region of Brazil has only recently been identified as an area endemic for coccidioidomycosis.(7-8) Because little is known about coccidioidomycosis in Brazil, it is likely that many cases of coccidioidomycosis are incorrectly diagnosed as nonspecific pneumonia, TB or even pneumoconiosis and silicosis. Based on molecular phylogeny studies, the existence of another species of the etiologic agent has been recently demonstrated. The species was "hidden" with C. immitis and was designated Coccidioides posadasii, after Alexandre Posadas, the man who discovered it. Therefore, it is currently established that C. immitis corresponds to the fungi isolated in California, particularly in the San Joaquin Valley, and the species C. posadasii is prevalent in all the remaining endemic areas of the American continent, from the southern United States to Argentina. Consequently, the etiologic agent of coccidioidomycosis in Brazil is designated C. posadasii.(9-14) In regular culture media at room temperature, the dimorphic fungi C. immitis and C. posadasii grow as saprophytes, forming vegetative mycelia that are hyaline, with whitish, cotton-like colonies. At the end of the third or fourth day of incubation, abundant growth is observed, forming hyaline hyphae, septate and ramified, the diameter of which ranges from 2 to 4 µm. Beginning on the fifth day of culture, a great quantity of arthroconidia is formed, alternating between degenerate and empty interseptal spaces of cytoplasm. When they detach themselves from the hyphae, the arthroconidia present thick walls and tend to arch, taking the shape of a barrel, measuring from 2 to 4 µm, and being generally multinucleated. Living parasitically in animal tissue and in special growth conditions in vitro, they present as spherules containing endospores.(15) The characteristic parasitic form is the spherule, observed in preparations of clinical specimens using potassium hydroxide or in histological sections stained using H&E staining, periodic acid-Schiff staining or the Grocott-Gomori methenamine-silver stain technique. They present as nonsprouting spherical or round elements of thick walls, ranging from 5 to 60 µm in diameter and, when mature, containing numerous small, globular and uninucleated endospores of 2-5 µm in diameter.(1,2,10-14,16)

History

The first case of coccidioidomycosis was identified in 1891, in Argentina, by medical student Alejandro Posadas.(17) Coccidioidomycosis was found in a soldier from Chaco, who presented with a clinical profile of recurrent skin tumors. Posadas and pathologist Robert Wernicke described a then-unknown parasite that was found in the lesions and was similar to coccidian protozoa. In 1894, Rixford reported the first two cases in the United States, in immigrants who had recently arrived in California and who worked as agriculturists in the San Joaquin Valley. In 1986, Rixford and Gilchrist identified in the lesions a parasite similar to that described by Posadas. They described the agent as a protozoan of the order Coccidia, class Sporozoa, and designated it C. immitis. The real nature of this agent was revealed in 1900 by Ophüls and Moffitt,(18) who described the third case in North America, again in a Portuguese immigrant. After having observed that "mold" appeared regularly in culture, they described the etiologic agent as being a fungus.(2) In Brazil, the first cases were reported in 1978 and 1979, but only in 1998 was Brazil

included in the map of geographic distribution of coccidioidomycosis,(4) after the report of the first outbreaks of the acute pulmonary form in Piauí and in Ceará.(8,16,19) Although it was first described in 1891,
coccidioidomycosis was diagnosed in Brazil only in 1978, when Gomes et al.(20) reported a case of coccidioidomycosis in a patient from Bahia, and in the following year, when Vianna et al.(21) reported another case of coccidioidomycosis in a patient from the state of Piauí. In 1991, the first micro-epidemic, which occurred in the city of Oeiras, in the state of Piauí, was diagnosed,(7,19) and the number of cases has increased considerably since then. Coccidioidomycosis has also been diagnosed in dogs and armadillos (Dasypus novemcinctus), and C. posadasii has been isolated from soil samples collected from armadillo holes in the states of Piauí and Ceará.(10-12,14,22-24) It should be highlighted that the number of known cases in the state of Piauí doubled in the period between August of 2003 and July of 2006.(25) It is very likely that coccidioidomycosis is underdiagnosed and that its geographic distribution extends to other northeastern states of Brazil.(7,8,23,26) The latest updated data, dating from December of 2007, are as follows: Piauí, 100 cases in 40 cities; Ceará, 20 cases in 9 cities; Maranhão, 6 cases in 4 cities; and Bahia, 2 cases in 2 cities. Coccidioidomycosis is believed to be underdiagnosed and therefore might also occur in other northeastern states of Brazil.(27-29)

Incidence and prevalence

Coccidioidomycosis is a disease for which reporting is not compulsory. Therefore, its real prevalence and incidence cannot be established with precision. In the United States, it is estimated that 100,000 new cases of infection occur every year, 35,000 of which only in the state of California. In northeastern Brazil, coccidioidin skin tests performed in the countryside of Ceará and Piauí were positive in 26.4% and 10.0% of the cases, respectively.(30,31) The northeastern Brazilian states of Piauí, Ceará, Maranhão and Bahia constitute the latest coccidioidomycosis-endemic area defined in the Americas.(7,8,22,32-34) New cases are expected to be diagnosed in the remaining northeastern states, which are similar in terms of climate and vegetation. In Brazil, the hunting and extraction of armadillos from their natural habitat poses a high risk of C. posadasii infection. The large number of cases diagnosed in Piauí is due to the collaborative work of multidisciplinary teams from the Federal University of Piauí and from the Oswaldo Cruz Foundation, Rio de Janeiro, Brazil. Greater knowledge of the illness, including the identification of occupational risks, the transmission of the disease, the clinical characteristics and the radiological alterations, allowed pulmonologists and infectious disease specialists, with qualified laboratory support, to confirm the diagnosis in an increasing number of cases; it should be pointed out that the number of known cases in the state of Piauí doubled in the period between August of 2003 and July of 2006.(25) It is very likely that coccidioidomycosis is underdiagnosed and that its geographic distribution extends to other northeastern states of Brazil.(7,8,23,26) When the geographic distribution of coccidioidomycosis is compared with that of paracoccidioidomycosis, it seems that the greatest difference between the two is humidity. In regions where the climate is characterized by greater humidity, Paracoccidioides brasiliensis is more prevalent, and in drier, low-humidity regions of the Caatinga, C. posadasii is more prevalent. In Piauí, this becomes extremely evident when the city of residence of patients is analyzed: it is safe to say that the state has autochthonous coccidioidomycosis, whereas the diagnosed cases of paracoccidioidomycosis, with rare exceptions, are all imported, i.e., allochthonous. According to the literature,(35) the cases described in northeastern Brazil present a bimodal seasonality, being more frequent in the beginning of the rainy season in January and in the drier, hotter months in the region, i.e., September (16.7%), October (10,0%) and November (20.0%).(29) In isolation, January was the month of highest incidence of the disease (30.0%) in the state of Piauí, coinciding with the beginning of the rainy season and with greater precipitation in the entire state. Seasonal influences, resulting from meteorological and climate changes, determine years of higher or lower incidence of the disease.(36,37)

Clinical forms

Coccidioidomycosis manifests in one of three clinical forms: the primary pulmonary form; the progressive pulmonary form; or the disseminated form.

Primary pulmonary coccidioidomycosis

The most common form of presentation of coccidioidomycosis, primary pulmonary coccidioidomycosis is characterized by pulmonary manifestations that generally appear one to three weeks after exposure to the fungus. Approximately 60% of the infected individuals evolve to spontaneous cure without clinical or radiological manifestations. The remaining 40% generally present symptoms of acute respiratory disease, mimicking the flu, accompanied by fever, night sweats and cough or pleuritic chest pain, or a combination of the two. The manifestations appear between 10 and 15 days after exposure to the fungus, and the intensity of the symptoms depends directly on the infective load, ranging from the flu to a severe, nonspecific respiratory infection, accompanied by high fever, chest pain and cough with or without expectoration, as well as by general symptoms or allergic manifestations, particularly erythema nodosum. Primary pulmonary coccidioidomycosis generally resolves spontaneously within 30-60 days, even without antifungal treatment. However, approximately 5% of these patients develop residual pulmonary lesions (generally solitary nodules) that are asymptomatic in most patients. These cases are often diagnosed after surgical removal due to suspected lung cancer. Another 5% of these patients develop thin-walled cavities, solitary and juxtapleural, that might resolve spontaneously in approximately 2 years. In certain cases, principally in diabetic or immunocompromised patients, the acute pulmonary form does not resolve; it progresses to chronic pneumonia and is characterized by the formation of pulmonary cavitation. The lungs might also be diffusely affected as a result of the inhalation of a large quantity of infective arthroconidia or as a late and secondary presentation resulting from hematogenous dissemination. These forms present with multiple diffuse infiltrates, the largest of which might present cavitation accompanied by severe respiratory manifestations, which can lead to respiratory failure and are more commonly observed in immunocompromised patients. The disease might progress to death, mimicking septic shock, accompanied by acute respiratory distress syndrome, with high mortality rates.(13,27)

Progressive pulmonary coccidioidomycosis

Progressive pulmonary coccidioidomycosis is generally chronic and develops after the first infection, the symptoms of which do not resolve after 2 months. Progressive pulmonary coccidioidomycosis might present as follows: 1) nodular or cavitary lesions, sometimes as an incidental radiological finding; 2) cavitary lung disease with fibrosis; and 3) miliary pulmonary dissemination, with nonspecific clinical and radiological manifestations. Due to its chronic progression, progressive pulmonary coccidioidomycosis constitutes an important differential diagnosis with pulmonary TB.(5,12,25,38)

Disseminated coccidioidomycosis

In approximately 0.2% of the patients with primary pulmonary coccidioidomycosis the lesions disseminate predominantly to the skin, central nervous system and osteoarticular system. The presence of mediastinal or paratracheal lymphadenomegaly is indicative of dissemination. The disseminated form generally progresses in an acute manner, reaching various organs or systems, rapidly leading to death when diagnosis and treatment are not timely. However, the disseminated form might progress in a protracted form, disseminating to various organs, presenting periods of remission and recurrence, despite antifungal treatment. The most common disseminated lesions are seen on the skin, in the central nervous system, in bones, in joints and in the genitourinary system.(5,12,26,38) The skin is the site that is most commonly affected by lesions, second only to the lungs, the face being predominantly affected. The lesions are generally papules or warts; however, they can present as plaques, superficial abscesses, pustules and granulomatous lesions.

Clinical diagnosis

The pulmonary manifestations of coccidioidomycosis have been underdiagnosed. Among the difficulties that account for the lack of diagnosis of fungal manifestations are the lack of knowledge on the part of the health team and the lack of laboratory support to raise suspicion and confirm the mycological diagnosis. The pulmonary manifestations of coccidioidomycosis should be principally distinguished from acute respiratory infections, TB and other pulmonary mycoses. It is important to distinguish between the isolate nodular form and lung cancer.
Meningoencephalitis should be distinguished from TB, giving more weight to epidemiological data (being a resident of or having been to an endemic area), as well as from characteristics of other systemic mycoses, particularly cryptococcosis and paracoccidioidomycosis. Other than the lungs, the most frequently affected sites are the skin, meninges, bones and joints.(12,26,38)

Laboratory diagnosis

Direct microscopy

Direct microscopy of any suspect material (sputum, cerebrospinal fluid, skin exudate, abscess pus, bronchial lavage fluid, bone lesion aspirate, joint lesion aspirate, urine, bone marrow aspirate, lymph node aspirate, etc.) should be routinely performed. Screening is performed in preparations with potassium hydroxide solution at 10% in order to demonstrate the parasitic elements characteristic of C. immitis. The visualization of immature spherules allows a presuming diagnosis to be established. However, these elements might be mistaken for other fungal agents, principally those of paracoccidioidomycosis. Nevertheless, the presence of mature spherules, filled with endospores, is pathognomonic and definitive for the diagnosis (Figure 1). In organic fluids, the test should be performed on the sediment of material centrifuged up to 3 h after its collection. In addition to the 10% potassium hydroxide test, the material can be mounted on slides and examined using periodic acid-Schiff staining or the Grocott-Gomori methenamine-silver stain technique.(4,12,26,38)





Culture

Due to the virulence of the agents (C. immitis and C. posadasii) and to the high risk of laboratory contamination, cultures should be avoided if the diagnostic possibility of coccidioidomycosis is known. However, once performed, culture should be manipulated in a class II type B2 biosafety cabinet.(12) These agents grow well in practically all media routinely used in mycology. Fungal growth occurs after one or two weeks. However, it can be seen as early as day 5. Other techniques used to confirm the presence of these agents are not routinely available in laboratories and include the exoantigen test and the PCR technique for the investigation of a specific sequence in the DNA of the suspect isolate (cell surface antigen).(4,12,26)

Histopathological examination

Histopathological examination can be performed on the material obtained through biopsy of lesion of the skin, lung, bone, joint and brain or of other suspect materials, as well as on material obtained during autopsy. C. immitis and C. posadasii stain extremely well when the classic techniques of H&E staining, periodic acid-Schiff staining or Grocott-Gomori methenamine-silver stain are used, as seen in Figure 1b.

Immunological screening

The three principal reactions for detecting antibodies are as follows: tube precipitation; complement fixation; and agar gel immunodiffusion (AGID). The first shows IgM precipitating antibodies, which appear early in acute primary forms, of which 75% react positively. The complement fixation reaction detects IgG antibodies, which appear later, in the progressive and disseminated forms. The titers of IgG antibodies generally correlate with the severity of the case. The AGID test is the most widely used, and the purpose of the test is the same as that of the complement fixation reaction. In meningeal forms, it is recommended that these reactions also be performed on cerebral spinal fluid, both for diagnosis and for treatment follow-up. Paired serology with increasing titers is indicative of the diagnosis. In the laboratory routine, a commercially available kit for AGID reaction to C. immitis is generally used, the sensitivity of which ranges from 70% to 90%, according to the profile of the patients; specificity is practically absolute.(4,12,26,38)

Animal inoculation

Animal inoculation is not widely used in clinical practice and is only performed in special situations, provided that there are appropriate conditions for its execution.

Skin test

The skin test to detect delayed hypersensitivity is highly specific and quite sensitive. A positive skin test result indicates recent or past infection and does not guarantee the etiology of the manifestation under study, which is why the skin test is used only to determine the prevalence of the mycosis in endemic areas.(4,26)

Other tests

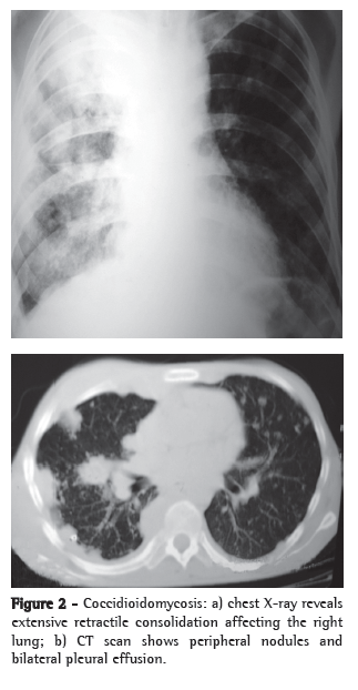
Nonspecific tests that are useful for the evaluation of patients include X-rays and CT scans of the affected site, principally of the chest, and can greatly aid in the diagnosis (Figures 2 and 3). The most common findings on chest X-rays are multiple lung nodules of peripheral distribution, associated with parenchymal consolidation. CT scans of the chest reveal peripheral lung nodules that are predominantly cavitated.(29,39)








Cerebrospinal fluid

In neurological forms, the cerebrospinal fluid generally has a clear or slightly turbid appearance, presenting moderate mononuclear pleocytosis (200 to 500 cells/mL), increased protein levels, low glucose levels and, sporadically, eosinophilia.

Treatment

Specific treatment

The many clinical forms and possible complications make it difficult to indicate specific regimens for each situation.(10-12) The three most widely used drugs are as follows: 1) fluconazole, at a dose of 400 mg/day or at doses as high as 1,200 mg/day, is widely used and yields satisfactory results. However, it has been linked to a high incidence of recurrence; 2) itraconazole, at a dose of 400-600 mg/day, has yielded slightly better results than those obtained using fluconazole in the disseminated forms without central nervous system involvement and has been linked to lower recurrence rates; and 3) amphotericin B, which should be saved for more severe forms of coccidioidomycosis, when a more rapid antifungal effect is required. The total dose of amphotericin B varies according to the case, being generally followed by maintenance therapy with a triazole fungicide until complete resolution, which is evaluated by determining clinical, radiological and serological parameters, as well as other parameters. The current drug of choice for treatment in general is fluconazole. However, comparable results have been obtained using itraconazole and ketoconazole. Fluconazole has different properties from those of itraconazole: it is easily administrated intravenously; its bioavailability is high when used orally; it shows mild drug interaction; and it easily penetrates many tissues. These characteristics make fluconazole the drug of choice for the treatment of meningitis.(40) Itraconazole is clearly better tolerated than ketoconazole. Initial trials have shown that response rates are higher and recurrence rates are lower when the former is used. At an initial dose of 100-200 mg twice daily, itraconazole has become the drug of choice for the treatment of coccidioidomycosis. In extremely severe cases, conventional amphotericin B or its lipid formulations can be used, in isolation or in combination with itraconazole. It has been recently shown that, although there are no reports of clinical trials of this drug, voriconazole can be tested as a viable alternative due to its broad spectrum of action.(40,41)

Primary respiratory infection (acute form)

The primary respiratory forms that most commonly manifest as community-acquired pneumonia after one to three weeks of exposure generally do not require specific antifungal treatment. However, there is no consensus regarding this issue. Some specialists propose that all symptomatic patients be treated in order to reduce the intensity or duration of the symptoms. The most relevant indicators of disease severity include weight loss greater than 10%, profuse night sweats persisting for more than three weeks, infiltrates involving more than half of a lung or portions of both lungs, prominent or persistent hilar adenopathy, concentration of complement-fixing antibodies higher than 1:16, inability to work, symptoms that persist for more than 2 months and being over 55 years of age. The commonly recommended treatment includes antifungal agents at a dose of 200-400 mg/day for a period ranging from 3 to 6 months.(38) After having improved, with or without treatment, patients should be monitored at intervals of 1 to 3 months for 1 year or more in order to ensure that lung infiltrates have resolved and to identify, as early as possible, patients who have developed infection in sites other than the chest. Although physicians speculate that early treatment decreases the frequency or severity of dissemination, there are no data to back it up (grade C recommendation). However, long-term follow-up is recommended for all patients diagnosed with the disease, until complete remission of clinical and radiological manifestations, as well as of serological manifestations (when possible and available), is achieved. Specific treatment is mandatory for patients with initially severe manifestations and for patients at risk. The factors that most influence the decision of initiating treatment are as follows: massive inoculation (cases of laboratory accidents and exposure of armadillo hunters in the semi-arid regions of Brazil); increasingly elevated antibody titers; extensive pulmonary involvement and cellular immunodeficiency, principally in cases of HIV-infected individuals, of organ transplant recipients, of individuals submitted to high doses of corticosteroids and of individuals using TNF inhibitors. Patients with diabetes mellitus or cardiopulmonary disease might show worse disease progression (grade A recommendation). The diagnosis of primary infection in pregnant women at the third trimester of gestation or at puerperium is also an indication for treatment (grade A recommendation). During pregnancy, the use of conventional amphotericin B or its lipid formulations is indicated. However, azole derivatives are contraindicated due to their teratogenic potential (grade A recommendation). For cases presenting as extensive and diffuse pneumonia, bilateral reticulonodular infiltrates or bilateral miliary infiltrates, the recommended initial treatment is amphotericin B for various weeks until clinical and radiological improvement is achieved, moving then to one of the triazoles, which should be maintained for periods ranging from 6 to 24 months.(38,42,43)

Other respiratory manifestations (chronic forms)

In asymptomatic patients, the incidental finding of a solitary lung nodule caused by Coccidioides spp., confirmed through noninvasive methods such as fine-needle aspiration or through serologic methods, does not require antifungal treatment or surgical resection (grade C recommendation). In the absence of significant immunosuppression, antifungal therapy is not recommended if the lesion is completely resected, and diagnosis is established through tissue excision. Stability is achieved if repeated chest X-rays over the course of 2 years do not show any change in the size of the nodule. In cases of pulmonary cavitary lesions, the use of antifungal agents is recommended for symptomatic or asymptomatic patients with increasingly large cavities. In cases in which this treatment fails, surgical resection is recommended. A rare, albeit severe, complication is the rupture of a coccidioidal cavity into the pleural space; in such cases, in immunocompetent patients, most authors recommend surgical resection (generally lobectomy with decortication) of the affected area (grade A recommendation). In chronic pneumonia with progressive fibrosis and cavitation, initial treatment with oral antifungal agents is recommended (grade A recommendation). If the patient improves significantly, the treatment should be maintained for up to 12 months. If the response is not satisfactory, the dose of the azole used should be increased or treatment with amphotericin B should be initiated (grade B recommendation). Surgical resection might be an option for well-located lesions or in cases of significant hemoptysis.

Central nervous system infection (neurological form)

In patients with neurological involvement (meningoencephalitis presenting as a tumor), the current drug of choice is fluconazole, starting with a minimum dose of 400 mg/day (grade A recommendation). Some authors recommend the use of 800-1,000 mg/day in more severe cases (grade B recommendation). However, the use of itraconazole at a dose of 400-600 mg/day has yielded results comparable with those obtained using fluconazole (grade B recommendation).(44,45) Intravenous amphotericin B is not effective. However, in cases that are resistant to azole derivatives or when those are contraindicated, treatment with intrathecal amphotericin B is recommended. The regimen and dose have not as yet been defined. However, a dose of 0.1-1.5 mg per dose has been suggested (grade C recommendation). Due to a strong tendency toward recurrence, some authors recommend lifelong suppressive regimens. The occurrence of hydrocephalus always requires ventriculoperitoneal shunt.

Disseminated infection without central nervous system involvement

Antifungal therapy is generally initiated with an oral azole derivative, more commonly fluconazole or itraconazole, at a dose of 400 mg/day (grade A recommendation).(10,38,45) Regarding fluconazole, most authors recommend that treatment be initiated with higher doses. Amphotericin B is an alternative, principally when patient health status is worsening rapidly or when there is a lesion in a critical site, such as in vertebrae.

Patients infected with HIV-1

Treatment is recommended for all patients with HIV-1 infection and CD+ count < 250 cells/µL accompanied by active coccidioidomycosis.(11,38,46) The treatment should be maintained for as long as CD+ count is < 250 cells/µL.(47,48) Treatment can be discontinued in patients whose CD4+ count increases, provided that the infection is controlled, the exception being cases of meningitis, in which the treatment should be maintained for the lifetime of the patient.(38,46)

Nonspecific treatment

Surgical treatment with lesion resection is indicated in cases of nodules in the lung or in other sites when patients do not respond to antifungal therapy. The same is true for cavitary lung lesions, with or without fibrosis, principally when accompanied by hemoptysis. The detection of a brain mass or abscess requires drainage or surgical resection. Lesion debridement, with removal of necrotic material, is an important auxiliary measure.(11,38,46) In order to correct hypokalemia caused by amphotericin B, potassium chloride or potassium aspartate is used, at doses of 2-10 g/day orally.

Treatment control

Patients with disseminated, neurological and pulmonary lesions should be hospitalized. The criteria for the interruption of antifungal treatment are as follows(11,38,46): 1) clinical and radiological remission with lesion healing; 2) negative results from mycological tests of sputum or bronchoalveolar lavage fluid; and 3) negative results from or maintenance of low titers on serologic tests. Amphotericin B should be discontinued whenever there are severe renal lesions, evidenced by increasing elevation of blood urea and creatinine and changes in urine test results. Likewise, amphotericin B should be discontinued if there are clinical and electrocardiographic changes suggestive of severe myocardial damage. The azole derivatives can cause liver damage, and their use should be discontinued if there is a progressive increase in serum levels of transaminase. After being discharged, patients should remain under outpatient follow-up treatment, with follow-up appointments after 3, 6 and 12 months, then annually. In HIV/AIDS patients, follow-up should be more frequent. Coccidioidomycosis is a disease for which reporting is not compulsory.

Prophylaxis

Although it has been under study for years, no effective vaccine against coccidioidomycosis has as yet been developed.(10-12,38) Vaccines based on total RNA extracted from spherules have proven ineffective.
However, recent studies investigating recombinant antigens have shown promising experimental results. Coccidioidomycosis is not contagious. Therefore, there is no need to isolate patients or to monitor contacts.
Primary chemoprophylaxis is not indicated, even for immunocompromised patients. However, such patients should be monitored closely, due to the possibility of opportunistic development of the fungus. For AIDS patients who contracted disseminated forms or meningoencephalitis, secondary prophylaxis with fluconazole, which has shown better tolerance, is indicated.

Coccidioidomycosis prophylaxis in organ transplantation

The risk of coccidioidomycosis during solid organ transplantation in endemic areas varies between 4 and 9%,(49) and most infections occur within 1 year after transplantation. Due to the fact that the infection in such patients is frequently disseminated and carries a high risk of mortality, there is interest in reducing the number of complications in patients from endemic regions, through preventive antifungal therapy. The strategy to be adopted for prophylaxis should be the identification, among donors, of patients with positive serologic results for or a history of coccidioidomycosis, or a combination of the two. Such patients receive prophylactic fluconazole for the duration of the transplantation, and the results have been encouraging.(50)



References



1. Kwong-Chung KJ, Bennett JE. Coccidioidomycosis. In: Kwon-Chung KJ, Bennett JE, editors. Medical mycology. Philadelphia: Lea & Febiger; 1992. p. 356-96.

2. Rippon JW. Coccidioidomycosis. In: Rippon JW, editor. Medical Mycology: The Pathogenic Fungi and the Pathogenic Actinomycetes. Philadelphia: Saunders; 1988. p. 443-73.

3. Ajello L. Coccidioidomycosis and histoplasmosis. A review of their epidemiology and geographical distribution. Mycopathol Mycol Appl. 1971;45(3):221-30.

4. Pappagianis D. Coccidioides immitis. In: Topley WW, Wilson GS, Collier LH, Balows A, Sussman M, Topley WW, editors. Topley & Wilson's Microbiology and Microbial Infections. London: Arnold; 1998. p. 357-71.

5. Mayorga RP, Espinoza H. Coccidioidomycosis in Mexico and Central America. Mycopathol Mycol Appl. 1970;41(1):13-23.

6. Campins H. Coccidioidomycosis in South America. A review of its epidemiology and geographic distribution. Mycopathol Mycol Appl. 1970;41(1):25-34.

7. Wanke B, Lazera M, Monteiro PC, Lima FC, Leal MJ, Ferreira Filho PL, et al. Investigation of an outbreak of endemic coccidioidomycosis in Brazil's northeastern state of Piauí with a review of the occurrence and distribution of Coccidioides immitis in three other Brazilian states. Mycopathologia. 1999;148(2):57-67.

8. Sidrim JJ, Silva LC, Nunes JM, Rocha MF, Paixão GC. Le Nord-Est Brésilien, région d'endémie de coccidioïdomycose? A propos d'une micro-épidémie. J Mycol Méd. 1997;7(1):37.

9. Fisher MC, Koenig GL, White TJ, Taylor JW. Molecular and phenotypic description of Coccidioides posadasii sp. nov., previously recognized as the non-California population of Coccidioides immitis. Mycologia. 2002;94(1):73-84.

10. Chiller TM, Galgiani JN, Stevens DA. Coccidioidomycosis. Infect Dis Clin North Am. 2003;17(1):41-57, viii.

11. Galgiani J. Coccidioides immitis. In: Mandell GL, Bennett JE, Dolin R, editors. Mandell, Douglas and Bennett's Principles and Practice of Infectious Diseases. Philadelphia: Churchill Livingstone; 2000. p. 2747-57.

12. Stevens DA. Coccidioidomycosis. N Engl J Med. 1995;332(16):1077-82.

13. Veras KN, Figueirêdo BC, Martins LM, Vasconcelos JT, Wanke B. Coccidioidomicose: causa rara de síndrome do desconforto respiratório agudo. J Pneumol. 2003;29(1):45-8.

14. Wanke B, Monteiro PC, Lazéra MS, Capone D, Bethlem EP, Rego AP. Micoses Pulmonares. In: Bethlem N. Pneumologia. São Paulo: Atheneu; 1996. p.449-77.

15. Huppert M, Sun SH, Harrison JL. Morphogenesis throughout saprobic and parasitic cycles of Coccidioides immitis. Mycopathologia. 1982;78(2):107-22.

16. Wanke B, Londero AT. Epidemiology and paracoccidioidomycosis infection. In: Franco M, Lacaz CS, Restrepo-Moreno A, Del Negro G, editors. Paracoccidioidomycosis. Boca Raton: CRC Press; 1994. p. 109-20.

17. Posadas A. Um nuevo caso de micosis fungoidea com psorospermias. An Circ Med Argent. 1892;15:585-97.

18. Ophüls W. Observations on a pathogenic mould formerly described as a protazoan: (Coccidioides immitis, Coccidioides pyogenes). J Exp Med. 1905;6:443-86.

19. Wanke B, Lazera MS, Monteiro PC, Lima FC, Leal MJS, Pereira Filho PL, et al. Coccidioidomycosis (CC) in northeastern Brazil: adding a new area to the map of endemic coccidioidomycosis . Proceedings of the 37th Annual Coccidioidomycosis Study Group Meeting; 1993 Apr 3; Tucson, AZ. Tucson: The Valley Fever Center for Excellence; 1993.

20. Gomes OM, Serrano RR, Pradel HO, Moraes NL, Varella AL, Fiorelli AI, et al. Coccidioidomicose pulmonar. Primeiro caso nacional. Rev Assoc Med Bras. 1978;24:167-8.

21. Vianna H, Passos HV, Sant'ana AV. Coccidioidomicose: relato do primeiro caso ocorrido em nativo do Brasil. Rev Inst Med Trop São Paulo. 1979;21(1):51-5.

22. Eulálio KD, de Macedo RL, Cavalcanti MA, Martins LM, Lazéra MS, Wanke B. Coccidioides immitis isolated from armadillos (Dasypus novemcinctus) in the state of Piauí, northeast Brazil. Mycopathologia. 2001;149(2):57-61.

23. Wanke B. Coccidioidomicose no Brasil. Proceedings of II Fórum de Infecções Fúngicas na Prática Clínica; 2003; São Paulo. São Paulo: Infocus América Latina; 2003. p. 55.

24. Macêdo RC. Isolamento e identificação de Coccidioides immitis de amostras do solo relacionadas a surtos de coccidioidomicose [dissertation]. Rio de Janeiro: Instituto Oswaldo Cruz; 2006.

25. Deus Filho A. Manifestações respiratórias das micoses. Estudo em população com pneumopatia no estado do Piauí [thesis]. Rio de Janeiro: Instituto Oswaldo Cruz; 2007.

26. Lacaz CS, Porto E, Martins JE, Heins-Vaccari EM, Melo NT. Coccidioidomicose. In: Lacaz CD Porto E, Martins JE, Heins-Vaccari EM, Melo NT. Tratado de micologia médica Lacaz. 9th edition. São Paulo: Sarvier; 2002. p. 403-15.

27. Costa FA, Reis RC, Benevides F, Tomé GS, Holanda MA. Coccidioidomicose pulmonar em caçador de tatus. J Pneumol. 2001;27(5):275-8.

28. Eulálio KD, Deus Filho A, Cavalcanti MA, Bezerra CF, Macedo RC, Lazera MS, et al. Coccidioidomicose: uma doença emergente no Brasil. Rev Soc Bras Med Trop. 2006;39(Suppl I):S97.

29. Cordeiro RA. Fenotipagem de cepas de Coccidioides posadasii e desenvolvimento de novas estratégias para o diagnóstico da coccidioidomicose - uma doença emergente no Nordeste Brasileiro [thesis]. Fortaleza: Universidade Federal do Ceará; 2006.

30. Diógenes MJ, Jamacuru WF, Silva MA, Carvalho FF. Inquérito epidemiológico com esferulina em Jaguaribara-CE, Brasil, 1993. An Bras Dermatol. 1995;70(6):525-9.

31. Wanke B. Coccidioidomicose. Rev Soc Bras Med Trop. 1994;27(Suppl IV):375-8.

32. Eulálio KD. Coccidiodomicose: uma doença emergente no Brasil. Proceedings of II Encontro Brasileiro de Coccidioidomicose and of XLII Congresso da Sociedade Brasileira de Medicina Tropical. 2006 Mar 4-8; Teresina. Brasília: SBMT; 2006, p. 72.

33. Deus Filho A, Wanke B, Martins LS, Leal MJ, Eulálio KD. Microepidemia de coccidioidomicose em caçadores de tatu na cidade de Floriano no estado do Piauí. J Pneumol. 2000;26(3):S29-S30.

34. Deus Filho A, Rocha Filho Z, Wanke B. Coccidioidomicose pulmonar em caçador de tatu no município de Miguel Leão no estado do Piauí. J Pneumol. 2000;26(3):S29.

35. Comrie AC. Climate factors influencing coccidioidomycosis seasonality and outbreaks. Environ Health Perspect. 2005;113(6):688-92.

36. Kolivras KN, Comrie AC. Modeling valley fever (coccidioidomycosis) incidence on the basis of climate conditions. Int J Biometeorol. 2003;47(2):87-101.

37. Centers for Disease Control and Prevention (CDC). Increase in coccidioidomycosis--Arizona, 1998-2001. MMWR Morb Mortal Wkly Rep. 2003;52(6):109-12.

38. Galgiani JN, Ampel NM, Catanzaro A, Johnson RH, Stevens DA, Williams PL. Practice guideline for the treatment of coccidioidomycosis. Infectious Diseases Society of America. Clin Infect Dis. 2000;30(4):658-61.

39. Capone D. Coccidioidomicose pulmonar primária aguda. Aspectos radiográficos e tomográficos [thesis]. Rio de Janeiro: Universidade Federal do Rio de Janeiro; 2004.

40. Barone JA, Moskovitz BL, Guarnieri J, Hassell AE, Colaizzi JL, Bierman RH, et al. Enhanced bioavailability of itraconazole in hydroxypropyl-beta-cyclodextrin solution versus capsules in healthy volunteers. Antimicrob Agents Chemother. 1998;42(7):1862-5.

41. Chiller TM, Galgiani JN, Stevens DA. Coccidioidomycosis. Infect Dis Clin North Am. 2003;17(1):41-57, viii.

42. Galgiani JN, Ampel NM, Blair JE, Catanzaro A, Johnson RH, Stevens DA, et al. Coccidioidomycosis. Clin Infect Dis. 2005;41(9):1217-23.

43. Galgiani JN, Ampel NM, Catanzaro A, Johnson RH, Stevens DA, Williams PL. Practice guideline for the treatment of coccidioidomycosis. Infectious Diseases Society of America. Clin Infect Dis. 2000;30(4):658-61.

44. Tucker RM, Denning DW, Dupont B, Stevens DA. Itraconazole therapy for chronic coccidioidal meningitis. Ann Intern Med. 1990;112(2):108-12.

45. Anstead GM, Graybill JR. Coccidioidomycosis. Infect Dis Clin North Am. 2006;20(3):621-43.

46. DiCaudo DJ. Coccidioidomycosis: a review and update. J Am Acad Dermatol. 2006;55(6):929-42; quiz 943-5.

47. Ampel NM, Dols CL, Galgiani JN. Coccidioidomycosis during human immunodeficiency virus infection: results of a prospective study in a coccidioidal endemic area. Am J Med. 1993;94(3):235-40.

48. Ampel NM. Delayed-type hypersensitivity, in vitro T-cell responsiveness and risk of active coccidioidomycosis among HIV-infected patients living in the coccidioidal endemic area. Med Mycol. 1999;37(4):245-50.

49. Blair JE, Logan JL. Coccidioidomycosis in solid organ transplantation. Clin Infect Dis. 2001;33(9):1536-44.

50. Cohen IM, Galgiani JN, Potter D, Ogden DA. Coccidioidomycosis in renal replacement therapy. Arch Intern Med. 1982;142(3):489-94.



Study carried out at the Pulmonology Department of the Getúlio Vargas Hospital of the Universidade Federal do Piauí - UFPI, Federal University of Piauí - Teresina, Brazil.
Correspondence: Antônio de Deus Filho. Avenida Marechal Castelo Branco, 400, apto. 1600, CEP 64014-058, Teresina, PI, Brasil.
Tel 55 86 3217-8406. E-mail: mdedeus@uol.com.br
Financial support: None.



About the authors

Antônio de Deus Filho
Adjunct Professor. Universidade Federal do Piauí - UFPI, Federal University of Piauí - Teresina, Brazil.

Indexes

Development by:

© All rights reserved 2025 - Jornal Brasileiro de Pneumologia