Continuous and bimonthly publication
ISSN (on-line): 1806-3756

Licença Creative Commons
21408
Views
Back to summary
Open Access Peer-Reviewed
Original Article

Alterações histopatológicas pulmonares em pacientes com insuficiência respiratória aguda: um estudo em autopsias

Pulmonary histopathological alterations in patients with acute respiratory failure: an autopsy study

Alexandre de Matos Soeiro, Edwin Roger Parra, Mauro Canzian, Cecília Farhat, Vera Luiza Capelozzi

ABSTRACT

Objective: To present the pulmonary histopathological alterations found in the autopsies of patients with acute respiratory failure (ARF) and determine whether underlying diseases and certain associated risk factors increase the incidence of these histopathological patterns. Methods: Final autopsy reports were reviewed, and 3030 autopsies of patients > 1 year of age with an underlying disease and associated risk factors were selected. All had developed diffuse infiltrates and died of ARF-related pulmonary alterations. Results: The principal pulmonary histopathological alterations resulting in immediate death were diffuse alveolar damage (DAD), pulmonary edema, lymphocytic interstitial pneumonia (LIP) and alveolar hemorrhage. The principal underlying diseases were AIDS, bronchopneumonia, sepsis, liver cirrhosis, pulmonary thromboembolism, acute myocardial infarction (AMI), cerebrovascular accident, tuberculosis, cancer, chronic kidney failure and leukemia. The principal associated risk factors were as follows: age ≥ 50 years; arterial hypertension; congestive heart failure; chronic obstructive pulmonary disease; and diabetes mellitus. These risk factors and AIDS correlated with a high risk of developing LIP; these same risk factors, if concomitant with sepsis or liver cirrhosis, correlated with a risk of developing DAD; thromboembolism and these risk factors correlated with a risk of developing alveolar hemorrhage; these risk factors and AMI correlated with a risk of developing pulmonary edema. Conclusion: Pulmonary findings in patients who died of ARF presented four histopathological patterns: DAD, pulmonary edema, LIP and alveolar hemorrhage. Underlying diseases and certain associated risk factors correlated positively with specific histopathological findings on autopsy.

Keywords: Respiratory insufficiency; Autopsy; Lung diseases, interstitial; Pulmonary edema; Hemorrhage.

RESUMO

Objetivos: Apresentar alterações histopatológicas pulmonares encontradas em autopsias de pacientes falecidos por insuficiência respiratória aguda (IRA) e verificar se doenças de base e específicos fatores de risco associados aumentam a incidência dessas alterações. Métodos: Foram revisados laudos finais de autopsias e selecionadas 3.030 autopsias de pacientes > 1 ano de idade, com infiltrado pulmonar radiológico, portadores de doença de base e fatores de risco associados, que morreram por alterações pulmonares decorrentes de IRA. Resultados: As principais alterações histopatológicas pulmonares causadoras de morte imediata foram: dano alveolar difuso (DAD); edema pulmonar; pneumonia intersticial linfocítica (PIL) e hemorragia alveolar. As principais doenças de base encontradas foram: AIDS; broncopneumonia; sepse; cirrose hepática; tromboembolismo pulmonar; infarto agudo do miocárdio (IAM); acidente vascular cerebral; tuberculose; câncer; insuficiência renal crônica e leucemia. Os principais fatores de risco associados foram: idade ≥ 50 anos; hipertensão arterial; insuficiência cardíaca congestiva; doença pulmonar obstrutiva crônica e diabetes mellitus. Pacientes com esses fatores de risco e AIDS apresentaram alta probabilidade de desenvolver PIL; pacientes com esses mesmos fatores, de desenvolver DAD, se portadores de sepse ou cirrose hepática; pacientes com tromboembolismo e os mesmos fatores de risco, de desenvolver hemorragia alveolar; pacientes com esses fatores de risco e IAM, de desenvolver edema pulmonar. Conclusões: Os achados pulmonares em pacientes com óbito por IRA apresentaram quatro padrões histopatológicos: DAD, edema pulmonar, PIL e hemorragia alveolar. Doenças de base e específicos fatores de risco associados correlacionaram-se positivamente com determinados padrões histopatológicos detectados à autópsia.

Palavras-chave: Insuficiência respiratória; Autopsia; Doenças pulmonares intersticiais; Edema pulmonar; Hemorragia.

Introdução

A insuficiência respiratória aguda (IRA) é importante causa de óbito em pacientes com uma variedade de doenças de base. Além disso, têm-se constatado comorbidades e mortalidade de mais de 40-50% em pacientes com IRA, especialmente naqueles com infiltrados difusos visualizados em radiografias de tórax.(1-3) O diagnóstico diferencial de alterações pulmonares nestes pacientes inclui pneumonia intersticial, recidiva da doença de base e dano alveolar difuso (DAD), bem como outros processos, tais como, edema pulmonar e embolia pulmonar, ou qualquer combinação destes.(4,5) A pronta investigação e diagnóstico são essenciais à melhora da sobrevida do paciente.(6-8) Os achados clínicos e radiológicos da IRA são inespecíficos,(9-11) e a tomografia computadorizada tem-se mostrado útil na avaliação desses pacientes,(12) principal-mente para determinar quando indicar a biopsia. Neste contexto, a complexidade das apresentações clínicas faz com que o diagnóstico seja um constante desafio para o clínico. A despeito de avanços recentes, os tipos de apoio diagnóstico, em sua maior parte, ainda são dispendiosos. Os clínicos geralmente iniciam o tratamento a fim de evitar a rápida progressão da doença e poupar o paciente de procedimentos mais invasivos. Portanto, é importante determinar as principais causas de morte nesta população a fim de estabelecer ações profiláticas corretas, o que é a maneira menos custosa e mais estratégica de prevenir alterações pulmonares, evitando a necessidade da biopsia pulmonar.(12) O objetivo deste trabalho foi apresentar as alterações histopatológicas pulmonares identificadas em autopsias de pacientes cujas radiografias de tórax revelaram infiltração difusa e que, posteriormente, vieram a falecer em decorrência de IRA, bem como determinar se doenças de base e comorbidades associadas aumentam o risco de desenvolver padrões histopatológicos específicos.

Métodos

Este estudo foi aprovado pelo Comitê de Ética da Faculdade de Medicina da Universidade de São Paulo e foi realizado de acordo com as normas de pesquisa em seres humanos expressas na Resolução nº 196/96 do Conselho Nacional de Saúde. Foi realizado no Departamento de Patologia da Faculdade de Medicina da Universidade de São Paulo, que funciona junto ao Hospital das Clínicas, um serviço terciário de saúde que recebe um grande número de pacientes com doenças de alta complexidade. No período de 1990 a 2000, 18.899 autopsias foram realizadas, representando uma média anual de 1.889 autopsias; nos últimos cinco anos, foram realizadas autopsias em 60% de todos os casos de óbito hospitalar.(4,5) Em nossa instituição, todas as autopsias são realizadas por um patologista residente, sob a supervisão de um patologista sênior, que também verifica a análise histológica a fim de elaborar os relatórios finais. Os relatórios finais contêm uma breve descrição dos principais dados clínicos, laboratoriais e radiológicos dos pacientes. Após revisar os relatórios finais, selecionamos todos os pacientes com mais de 1 ano de idade que apresentassem IRA e infiltrados difusos em radiografias de tórax. Também obtivemos os seguintes dados sobre cada paciente: idade, sexo, doença de base principal, causa pulmonar de morte imediata e comorbidades associadas.

Dentre as autopsias realizadas durante o período examinado (1990 a 2000), 3.030 (16%) preencheram os critérios de nosso estudo. As 15.869 autopsias restantes foram excluídas, por terem sido realizadas sob as seguintes circunstâncias: morte intra-uterina ou perinatal; morte decorrente de má formação; e em indivíduos não diagnosticados com IRA.

A análise descritiva dos dados incluiu mediana, valores mínimos e máximos. A probabilidade de pacientes com doenças de base e comorbidades desenvolverem padrões histopatológicos específicos (odds ratio) e falecerem de alterações pulmonares associadas à IRA foi determinada pela regressão logística. Todos os procedimentos estatísticos foram realizados por meio do programa Statistical Package for the Social Sciences, versão 10.0 (SPSS Inc., Chicago, IL, EUA). O nível de significância estatística adotado foi de 5%.

Resultados

Os dados relacionados à população do estudo estão resumidos na Tabela 1.

A idade dos pacientes variou de 1 a 99 anos (mediana, 48 anos): 286 (9,6%) entre 1 e 20 anos de idade; 1.333 (43,9%) entre 21 e 49 anos de idade; e 1.411 (46,5%) com 50 anos ou mais. Dentre as autopsias incluídas na amostra, 1.772 (58,4%)

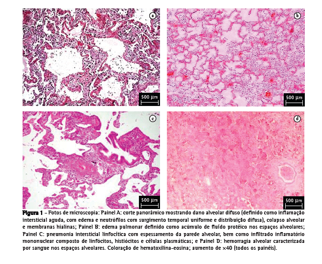
O exame dos relatórios finais das 3.030 autopsias permitiu a identificação das seguintes alterações histopatológicas pulmonares como causa de morte imediata relacionada à IRA: DAD; edema pulmonar; pneumonia intersticial linfocítica (PIL) e hemorragia alveolar (Figura 1). Constatamos a presença de DAD em 1.371 casos (45,2%), edema pulmonar em 708 (23,3%), PIL em 671 (22,1%) e hemorragia alveolar em 281 (9,2%). As principais doenças de base foram: AIDS (em 952/31,4% dos casos), broncopneumonia (em 642/21,8%), sepse (em 355/11,7%), cirrose hepática (em 350/11,5%), tromboembolismo pulmonar (em 173/5,7%), infarto agudo do miocárdio (IAM, em 169/5,5%), acidente vascular cerebral (em 142/4,6%), tuberculose (em 110/3,6%), câncer (em 70/2,3%), insuficiência renal crônica (em 58/1,9%) e leucemia (em 9/0,2%). Os principais fatores de risco associados foram: ter 50 anos ou mais (1.411/46,5% dos casos); sofrer de hipertensão arterial sistêmica (152/5%); sofrer de insuficiência cardíaca congestiva (58/1,9%); apresentar doença pulmonar obstrutiva crônica (50/1,6%); e ter diabete (46/1,5%).

A Tabela 2 mostra os resultados da regressão logística usados para predizer a probabilidade que pacientes com certos fatores de risco associados e doenças de base têm de desenvolver padrões histopatológicos específicos de IRA. Encontramos alta probabilidade de desenvolver padrão histopatológico de PIL em pacientes com aqueles fatores de risco e AIDS (OR = 18,20; p < 0,0001). Pacientes com 50 anos de idade ou mais, com hipertensão arterial sistêmica, insuficiência cardíaca congestiva, doença pulmonar obstrutiva crônica ou diabete apresentaram maior probabilidade de desenvolver o padrão histopatológico de DAD se também tivessem sepse (OR = 3,99; p < 0,0001) ou cirrose hepática (OR = 4,35; p < 0,0001). Esses fatores de risco associados e tromboembolismo pulmonar correlacionaram-se significativamente com o risco de desenvolver hemorragia alveolar (OR = 1,62; p = 0,04). Encontrou-se probabilidade significativa de desenvolver edema pulmonar como padrão histopatológico específico em pacientes com os mesmos fatores de risco concomitantes com IAM (OR = 13,57; p < 0,0001). Pacientes que apresentaram acidente vascular cerebral, broncopneumonia, tuberculose, neoplasia, insuficiência renal crônica e leucemia apresentaram proteção conseqüente, bem como a chance, embora menor, de desenvolver qualquer dos padrões histopatológicos específicos: DAD, edema pulmonar, PIL e hemorragia alveolar.








Discussão

O presente trabalho representa um dos mais amplos estudos de autopsias em pacientes com doenças de base e fatores de risco associados que desenvolveram alterações pulmonares e faleceram de IRA. As autopsias incluídas neste estudo foram originárias de pacientes tratados no Hospital das Clínicas, um serviço terciário de saúde que recebe um grande número de pacientes com doenças de alta complexidade, especialmente IRA e doenças terminais. Não surpreende que, nos últimos 15 anos, a IRA tenha sido uma relevante causa de morbi-

Alterações histopatológicas pulmonares em pacientes com insuficiência respiratória aguda: um estudo em autopsias dade e mortalidade.(8,9,13-15) Desde seu aparecimento como problema clínico generalizado, temos estado intimamente associados à pesquisa das causas e tratamento da IRA. No presente estudo, descobrimos que 16% dos pacientes com mais de 1 ano de idade, que foram autopsiados, morreram de IRA, definida como qualquer das várias patologias pulmonares agudas que produzem comprometimento fatal da função pulmonar em indivíduos com pulmões anteriormente normais. Alguns autores observaram resultados semelhantes em pacientes adultos,(8) assim como o fizeram outros em pacientes pediátricos tratados em uma unidade de terapia intensiva (UTI).(9) Também descobrimos que a IRA foi mais comum em pacientes com 50 anos de idade ou mais. Como já descrito por outros autores,(8,11,13-18) as infecções foram outra complicação comum da IRA em nosso estudo. Nosso estudo mostrou, especificamente, que pacientes que desenvolveram IRA tinham doenças de base tais como AIDS (31,4%), sepse (11,7%), cirrose (11,5%), tromboembolismo pulmonar (5,7%), IAM (5,5%), acidente vascular cerebral (4,6%), tuberculose (3,6%), câncer (2,3%), insuficiência renal crônica (1,9%) e leucemia (0,2%). Estes achados foram muito semelhantes àqueles de outros estudos na literatura.(8,11,18-21)

Histologicamente, a IRA relaciona-se com aumento de permeabilidade da membrana alvéolocapilar, resultando em edema, exsudatos pertinazes, membranas hialinas, congestão e hemorragia.(21) O achado histopatológico mais específico e prevalente como causa da IRA, em nossa amostra, foi o DAD, identificado em 1.371 (45,2%) das autopsias avaliadas. Comprometimento difuso, surgimento temporal uniforme de colapso alveolar, membranas hialinas, fibrose obliterativa, neoformação de septos alveolares e formação de fibrose moderada (caracterizando DAD) foram achados morfológicos prevalentes em pacientes que apresentaram sepse ou cirrose hepática como doença de base. (22-24) Portanto, o DAD merece menção especial nesta investigação. O primeiro aspecto diz respeito à associação entre DAD e pacientes em ventilação mecânica à hora do óbito, o que nos leva a questionar se o DAD poderia ser secundário ao dano pulmonar induzido por ventilação ao invés de à doença de base. Esta questão tão importante pode não ter sido respondida neste estudo, já que nossos dados foram coletados retrospectivamente a partir de relatórios patológicos postmortem, os quais nem sempre incluem informação sobre ventilação mecânica. Além do mais, quando o DAD é secundário a barotraumas, o padrão morfológico se caracteriza quase exclusivamente por finas membranas hialinas, ao passo que, em casos de sepse e cirrose hepática, todos os casos de DAD apresentaram membranas hialinas mais proeminentes e incluíram alterações acentuadas nos septos alveolares, bem como extenso colapso alveolar. Um grupo de autores estudaram epidemiologia e desfechos em pacientes com DAD tratados em UTIs na Europa.(24) Constataram lesão pulmonar aguda em 463 (7,1%) das 6.522 admissões avaliadas e em 16,1% dos pacientes em ventilação mecânica. Ademais, 65,4% dos casos ocorreram na UTI.

No presente estudo, o edema pulmonar foi o principal substrato morfológico da IRA em 708 (23,3%) dos pacientes. Contudo, em pacientes que desenvolveram IAM, encontrou-se associação significativa com morte por edema pulmonar (OR = 13,57), para fatores de risco tais como ter 50 anos de idade ou mais, sofrer de hipertensão arterial sistêmica, apresentar doença pulmonar obstrutiva crônica e sofrer de diabete. De fato, o edema pulmonar foi anteriormente relatado por outros autores em 57% dos pacientes com doenças cardiovasculares ou infecciosas que haviam sido submetidos a cirurgia.(14) Um outro grupo de autores descreveu o edema pulmonar como uma complicação da IRA em 70% dos pacientes sem doença cardiovascular.(20)

Constatamos que, em 22,1% dos pacientes que desenvolveram IRA durante o curso da doença de base, a PIL caracterizou-se por septos alveolares edematosos aumentados, com infiltrado inflamatório mononuclear composto de linfócitos, histiócitos, células plasmáticas e neutrófilos. Como era esperado, isto aumentou o risco de morte em pacientes que apresentaram os fatores de risco anteriormente mencionados, juntamente com AIDS como doença de base (OR = 18,20).

A hemorragia alveolar foi constatada nos pulmões de 281 pacientes (9,2%), e foi considerada a causa imediata de IRA, representando risco de morte significativo (OR = 1,62) para pacientes com tromboembolismo pulmonar e fatores de risco específicos. Um grupo de autores descreveu embolia pulmonar em 5% de pacientes que morreram de IRA.
(13) Dois outros grupos relataram embolia pulmonar, respectivamente, em 14 e 20% de pacientes que morreram de IRA.(14,25)

Nosso estudo demonstrou o valor da autopsia na verificação de alterações histopatológicas pulmonares em pacientes com doenças de base e fatores de risco específicos que desenvolveram IRA. Muitas questões têm surgido com relação ao valor da autopsia, haja vista os avanços tecnológicos que melhoraram a sensitividade e especificidade dos novos métodos diagnósticos.(6-11) Como conseqüência, o número de autopsias realizadas em várias instituições ao redor do mundo tem diminuído nas últimas décadas. Há várias razões para este declínio: falta de interesse dos clínicos e patologistas; pressão emocional da família; além das conseqüências legais que podem resultar de achados inesperados.(7,9,12,26) Além disso, vários estudos na literatura relataram consideráveis discrepâncias entre os diagnósticos clínicos e postmortem, após a avaliação da autopsia. Tal desacordo diagnóstico pode variar de 10 a 90%, dependendo da doença e da população envolvida.(6-9,11,18) Estas discrepâncias podem ser atribuídas a diferentes manifestações clínicas de uma única doença e à má qualidade do atendimento médico.(9) Entretanto, estudos recentes têm demonstrado o valor da autopsia no ensino da medicina, na avaliação de procedimentos médicos, na fisiopatologia, na epidemiologia, na saúde pública e na avaliação do tratamento empregado.(1,6-8,10,11,26-29) Contudo, e especificamente em pediatria, a autopsia pode detectar doenças genéticas, permitindo melhor aconselhamento à família.(7,9)

Nosso estudo tem limitações com relação a certos aspectos, como levar em consideração, ou não, o valor da autopsia no ensino de medicina e procedimentos médicos, já que muitos dos achados postmortem poderiam ter influenciado o tratamento do paciente, em vida, e evitado a morte de outros pacientes. Em primeiro lugar, este foi um estudo retrospectivo de relatórios médicos, nos quais a qualidade da informação pode ser limitada, não obstante a reconhecida reputação de nossa instituição na educação e pesquisa em medicina. Os relatórios finais geralmente contêm uma breve descrição dos principais dados clínicos, laboratoriais e radiológicos dos pacientes. A segunda limitação de nosso estudo está relacionada à variabilidade interobservador, mesmo considerando que, em nossa instituição, todas as autopsias são realizadas pelo patologista residente, sob a supervisão de um patologista sênior, que também verifica a análise histológica a fim de elaborar os relatórios finais. Diferentes observadores podem ter opiniões diferentes. Além disso, a acurácia dos achados em autopsia também depende do interesse e habilidade do patologista.

A despeito das limitações deste estudo de coorte retrospectivo, a ampla amostra de autopsias analisadas permite-nos concluir que DAD, edema pulmonar, PIL e hemorragia alveolar foram o principal padrão histopatológico encontrado em pacientes cujo óbito resultou de IRA. Pacientes com doenças de base e fatores de risco específicos apresentaram maior risco de desenvolver estes padrões histopatológicos específicos em autopsia, e devem ser avaliados a fim de evitar desfecho desfavorável em virtude da IRA.

Outras investigações se fazem necessárias, a fim de avaliar a prevalência da IRA em amostras prospectivas de pacientes, e determinar os vários mecanismos por meio dos quais a IRA se desenvolve, em casos de etiologias distintas. A despeito do declínio da autopsia nas últimas décadas, nossos achados sugerem que sua realização pode fornecer informação complementar importante para conseguirmos controle de qualidade e melhoria nos protocolos de tratamento.

Referências

1. Barbas CS, Capelozzi VL, Hoelz C, Magaldi RB, Souza R, Sandeville ML, et al. Impacto de biópsia pulmonar a céu aberto na insuficiência respiratória aguda refratária. J Bras Pneumol. 2006;32(5):418-23.

2. Milberg JA, Davis DR, Steinberg KP, Hudson LD. Improved survival of patients with acute respiratory distress syndrome (ARDS): 1983-1993. JAMA. 1995;273(4):306-9.

3. Behrendt CE. Acute respiratory failure in the United States: incidence and 31-day survival. Chest.2000;118(4):1100-5.

4. Xavier AC, Siqueira SA, Costa LJ, Mauad T, Nascimento Saldiva PH. Missed diagnosis in hematological patients-an autopsy study. Virchows Arch. 2005;446(3):225-31.

5. Bernardi FD, Saldiva PH, Mauad T. Histological examination has a major impact on macroscopic necropsy diagnoses. J Clin Pathol. 2005;58(12):1261-4.

6. Blosser SA, Zimmerman HE, Stauffer JL. Do autopsies of critically ill patients reveal important findings that were clinically undetected? Crit Care Med. 1998;26(8):1332-6.

7. Kumar P, Taxy J, Angst DB, Mangurten HH. Autopsies in children: are they still useful? Arch Pediatr Adolesc Med.1998;152(6):558-63.

8. Mort TC, Yeston NS. The relationship of pre mortem diagnoses and post mortem findings in a surgical intensive care unit. Crit Care Med. 1999;27(2):299-303.

9. Castellanos Ortega A, Ortiz Melón F, García Fuentes M, Prieto Valderrey F, Santidrián Miguel JP, Mazorra Macho F. [The evaluation of autopsy in the pediatric intensive unit] [Article in Spanish]. An Esp Pediatr. 1997;46(3):224-8.

10. Fernandez-Segoviano P, Lázaro A, Esteban A, Rubio JM, Iruretagoyena JR. Autopsy as quality assurance in the intensive care unit. Crit Care Med. 1988;16(7):683-5.

11. Stevanovic G, Tucakovic G, Dotlic R, Kanjuh V. Correlation of clinical diagnoses with autopsy findings: a retrospective
study of 2,145 consecutive autopsies. Hum Pathol.1986;17(12):1225-30.

12. Canzian M, Soeiro AM, Taga MF, Barbas CS, Capelozzi VL. Correlation between surgical lung biopsy and autopsy findings and clinical data in patients with diffuse pulmonary infiltrates and acute respiratory failure. Clinics. 2006;61(5): 425- 32

13. Gerain J, Sculier JP, Malengreaux A, Rykaert C, Thémelin L. Causes of deaths in an oncologic intensive care unit: a clinical and pathological study of 34 autopsies. Eur J Cancer. 1990;26(3):377-81.

14. Tóth T, Szöts I, Juhász M, Benedek G. The importance of pulmonary complications as a cause of death in surgical patients. Int Surg. 1984;69(1):35-7.

15. Motsay GJ, Lillehei RC. Acute respiratory distress syndrome in adults. Definition, etiology and treatment. Int Surg. 1973;58(5):304-7.

16. Friederici HH, Sebastian M. Autopsies in a modern teaching hospital. A review of 2,537 cases. Arch Pathol Lab Med. 1984;108(6):518-21.

17. Thornton CM, O'Hara MD. A regional audit of perinatal and infant autopsies in Northern Ireland. Br J Obstet Gynaecol. 1998;105(1):18-23.

18. Demling RH, Nerlich M. Acute respiratory failure. Surg Clin North Am. 1983;63(2):337-55.

19. Clowes GH Jr. Pulmonary abnormalities in sepsis. Surg Clin North Am. 1974;54(5):993-1013.

20. Vito L, Dennis RC, Weisel RD, Hechtman HB. Sepsis presenting as acute respiratory insufficiency. Surg Gynecol Obstet. 1974;138(6):896-900.

21. Kobzik L. The lung. In: Cotran RS, Kumar V, Collins T, Robbins SL, editors. Robbins pathologic basis of disease. 6th ed. Philadelphia: Saunders; 1999. p. 626-679.

22. Katsurada K, Yamada R, Sugimoto T. Respiratory insufficiency in patients with severe head injury. Surgery. 1973;73(2):191-9.

23. Flick MR. Pulmonary edema and acute lung injury. In: Murray JF, Nadel JA, editors. Textbook of respiratory medicine. 2nd ed. Philadelphia: Saunders; 1994. p. 1725-62.

24. Dyck DR, Zylak CJ. Acute respiratory distress in adults. Radiology. 1973;106(3):497-501.

25. Moser KM, LeMoine JR, Nachtwey FJ, Spragg RG. Deep venous thrombosis and pulmonary embolism. Frequency in a respiratory intensive care unit. JAMA. 1981;246(13):1422-4.

26. Smith CJ, Scott SM, Wagner BM. The necessary role of the autopsy in cardiovascular epidemiology. Hum Pathol. 1998;29(12):1469-79.

27. Terrabuio Junior AA, Parra ER, Farhat C, Capelozzi VL. Autopsy-proven causes of death in lungs of patients immunocompromised by secondary interstitial pneumonia. Clinics. 2007;62(1):69-76.

28. Andrade ZR, Garippo AL, Saldiva PH, Capelozzi VL. Immunohistochemical and in situ detection of cytomegalovirus in lung autopsies of children immunocompromised by secondary interstitial pneumonia. Pathol Res Pract. 2004;200(1):25-32.

29. Gutierrez EB, Zanetta DM, Saldiva PH, Capelozzi VL. Autopsy-proven determinants of death in HIV-infected patients treated for pulmonary tuberculosis in Sao Paulo, Brazil. Pathol Res Pract. 2002;198(5):339-46.


________________________________________________________________________________________________________________
Trabalho realizado na Faculdade de Medicina da Universidade de São Paulo - FMUSP - São Paulo (SP) Brasil.
1. Estudante de Medicina. Faculdade de Medicina da Universidade de São Paulo Medical - FMUSP - São Paulo (SP) Brasil.
2. Doutor em Ciências. Faculdade de Medicina da Universidade de São Paulo - FMUSP - São Paulo (SP) Brasil.
3. Doutor em Patologia Médica. Instituto do Coração - InCor - São Paulo (SP) Brasil.
4. Mestre em Estatística. Pontifícia Universidade Católica de São Paulo - PUC-SP - São Paulo (SP) Brasil.
5. Professor Associado do Departamento de Patologia Pulmonar. Faculdade de Medicina da Universidade de São Paulo - FMUSP - São Paulo (SP) Brasil.
Endereço para correspondência: Edwin Roger Parra. Av. Dr. Arnaldo, 455, Sala 1143, CEP 01246-903, São Paulo, SP, Brasil.
Tel 55 11 3061-7427. E-mail: erparra20003@yahoo.com.br
Recebido para publicação em 2/2/2007. Aprovado, após revisão, em 20/6/2007.

Indexes

Development by:

© All rights reserved 2025 - Jornal Brasileiro de Pneumologia