ABSTRACT
The objective of this new Brazilian consensus is to update and to continue the standardization of the principal terms and fundamental patterns in chest CT scans in Portuguese. There is a succinct definition of the principal terms used to describe chest CT findings, as well as illustrations of classic examples. The group of authors comprised radiologists specializing in chest radiology and holding membership in the Brazilian College of Radiology and Diagnostic Imaging, as well as pulmonologists having a special interest in diagnostic imaging and holding membership in the Brazilian Thoracic Association.
Keywords:
Lung; Consensus; Tomography.
RESUMO
O objetivo deste novo consenso brasileiro é atualizar e dar continuidade à padronização da terminologia dos principais descritores e padrões fundamentais da TC de tórax em língua portuguesa. Este consenso contém uma descrição sucinta dos principais termos utilizados na TC de tórax e ilustrações de exemplos clássicos. O grupo de autores é formado por médicos radiologistas membros do Colégio Brasileiro de Radiologia e Diagnóstico por Imagem, especializados em radiologia torácica, e por pneumologistas membros da Sociedade Brasileira de Pneumologia e Tisiologia, com particular interesse em diagnóstico por imagem.
Palavras-chave:
Pulmão; Consenso; Tomografia.
IntroduçãoNa avaliação de pacientes com doenças torácicas, a TC é um instrumento diagnóstico de grande importância. Nos últimos anos, novos padrões e terminologias de descritores de TC de tórax foram reconhecidos na língua inglesa, e alguns termos tornaram-se obsoletos.(1-4) Apesar da grande divulgação dos consensos brasileiros publicados em 2002 e em 2005, respectivamente, nas revistas "Radiologia Brasileira" (órgão oficial do Colégio Brasileiro de Radiologia e Diagnóstico por Imagem) e "Jornal Brasileiro de Pneumologia" (órgão oficial da Sociedade Brasileira de Pneumologia e Tisiologia), alguns termos ainda não foram uniformizados para a língua portuguesa.(5,6)
Após a recente publicação, em 2008, do novo glossário da Sociedade Fleischner,(7) um grupo de médicos radiologistas (membros do Colégio Brasileiro de Radiologia e Diagnóstico por Imagem) especializados em radiologia torácica, em conjunto com pneumologistas (membros da Sociedade Brasileira de Pneumologia e Tisiologia) com particular interesse em diagnóstico por imagem, elaboraram uma nova versão do consenso brasileiro. O objetivo principal desta atualização é dar continuidade à padronização da terminologia dos descritores mais importantes, por meio de uma exposição sucinta e de fácil leitura, e ilustrar os principais termos e padrões da TC de tórax com exemplos clássicos.
GlossárioAprisionamento aéreoRetenção de excesso de gás (ar) em todo ou em parte do pulmão, especialmente durante a expiração, como resultado de uma obstrução parcial ou completa de vias aéreas, ou secundária a uma anormalidade focal da complacência pulmonar. O aprisionamento aéreo é reconhecido na fase expiratória como uma redução da atenuação do parênquima pulmonar, evidenciada, sobretudo, por uma densidade menor que a habitual (Figura 1) e ausência de redução de volume.(8-10)
Ver também Padrão de atenuação (perfusão) em mosaico.
AtelectasiaRedução volumétrica do pulmão decorrente de uma menor aeração de uma parte ou de todo o pulmão.(11) Manifesta-se como um aumento da atenuação do parênquima pulmonar associado à redução de volume, caracterizado pelo deslocamento das fissuras, das estruturas mediastinais ou do diafragma e pela aproximação das estruturas broncovasculares do parênquima envolvido (Figuras 2 e 3).(3,12) A distribuição pode ser subsegmentar, segmentar, lobar ou envolver todo um pulmão. Pode também ser qualificada, segundo a forma, como laminar (discoide) ou redonda.(13) Nos estudos com contraste iodado, o realce homogêneo do parênquima pulmonar pode ajudar na diferenciação com consolidação (Figura 3). O termo "colapso" pode ser utilizado na presença de atelectasia completa de um lobo ou de todo o pulmão.

Atelectasia laminarÁrea focal de atelectasia subsegmentar com configuração linear ou discoide, quase sempre se estendendo até a pleura (Figura 4). Geralmente horizontal ou oblíqua, mas pode também ser orientada verticalmente. A espessura pode variar de alguns milímetros a mais de 1 cm.(14) Sinônimo: atelectasia discoide.
Atelectasia redondaAtelectasia de forma arredondada ou oval que decorre de aderência do parênquima pulmonar adjacente à área de espessamento pleural, como ocorre, por exemplo, na doença pleural relacionada ao asbesto ou na resolução de empiema.(15) Manifesta-se como uma opacidade focal arredondada para a qual convergem estruturas broncovasculares (sinal da cauda de cometa) com base pleural junto à área de espessamento da pleura (Figura 5).(16,17) Apresenta realce homogêneo ao contraste iodado endovenoso.
Banda parenquimatosaOpacidade linear, geralmente periférica, na maioria das vezes em contato com a superfície pleural, que pode estar espessada e retraída no local de contato (Figura 6). Usualmente tem espessura de 1-3 mm e se estende por menos de 5 cm.(3) Costuma ter distribuição horizontal (perpendicular à superfície pleural), mas pode ser oblíqua. Geralmente traduz fibrose pleuroparenquimatosa. Distorções da arquitetura pulmonar costumam ser identificadas. Bandas parenquimatosas são mais frequentemente encontradas em pacientes expostos ao asbesto.(18)
Bola fúngicaResulta da colonização fúngica de cavidades pulmonares preexistentes, geralmente secundárias à tuberculose ou à sarcoidose, mas pode também ocorrer dentro de cistos (por ex.: cisto broncogênico), bolhas e brônquios dilatados. Na maioria das vezes, a colonização é causada por Aspergillus spp., sendo comum, nesse caso, o uso do termo "aspergiloma". Representa um enovelado de hifas associado a muco, fibrina e restos celulares. Na TC, apresenta-se como uma imagem de uma massa, arredondada ou oval, com tendência a mover-se para uma localização pendente com a aquisição de imagens em decúbitos diferentes (Figura 7).(19) Outros achados comuns da bola fúngica incluem a presença do "sinal do crescente aéreo", calcificação amorfa no interior da lesão, aspecto espongiforme da lesão e espessamento pleural adjacente. O termo "bola fúngica" não deve ser utilizado como sinônimo de "micetoma", por representarem processos diferentes.(20)
Ver também Sinal do crescente aéreo e Micetoma.
BolhaÁrea focal hipodensa que apresenta paredes bem definidas e lisas que não ultrapassam 1 mm de espessura (Figura 8).(4) Geralmente de conteúdo gasoso, mas pode ocasionalmente ter nível líquido. Em geral, associa-se a outros sinais de enfisema pulmonar e apresenta localização parasseptal (achados que auxiliam na diferenciação de cistos na TC). Tipicamente mede 1 cm ou mais de diâmetro. Bolhas menores que 1 cm, localizadas na pleura visceral ou na região pulmonar subpleural, são denominadas de blebs na língua inglesa.(3,7) As blebs (tentativamente traduzidas como vesículas) de localização apical são frequentemente responsáveis pelo pneumotórax espontâneo primário. O termo em inglês de bolha é bulla.
Ver também Enfisema bolhoso e Enfisema parasseptal (acinar distal).
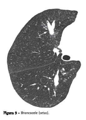
BroncoceleDilatação brônquica com retenção de secreções (impacção mucoide), geralmente causada por obstrução proximal, que pode ser congênita (por ex.: atresia brônquica) ou adquirida (por ex.: aspergilose broncopulmonar alérgica).(21) A broncocele apresenta-se como uma imagem tubular ou ramificada que se assemelha a um dedo de luva (Figura 9). Na TC, pode-se observar, em casos de atresia brônquica, uma redução da atenuação do parênquima distal à lesão.
Broncograma aéreoTradução radiológica da identificação de brônquio(s) contendo ar, circundado(s) por parênquima pulmonar doente, onde o ar dos espaços aéreos foi substituído por um produto patológico qualquer, radiologicamente mais denso que o ar (por ex.: transudato, exsudato, sangue, produto de acúmulo ou células neoplásicas). Em geral, é a expressão utilizada quando se identifica uma imagem tubular gasosa (hipodensa), no interior de uma área de pulmão opacificado (Figuras 3 e 10). Essa imagem tubular deve ter o tamanho e a orientação usual de um brônquio ou de vários brônquios, presumivelmente representando um segmento da árvore brônquica.(22,23)
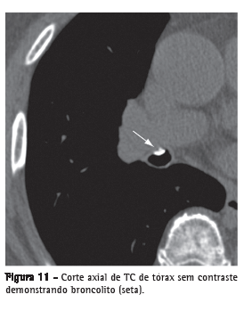
BroncolitoLinfonodo peribrônquico calcificado que erode para o interior do brônquio adjacente, geralmente secundário a infecções por Histoplasma sp. ou Mycobacterium tuberculosis. Na TC, é identificado como um pequeno foco de calcificação dentro da ou adjacente à via aérea, mais frequentemente no brônquio do lobo médio (Figura 11). Distalmente, pode existir impacção de secreções, bronquiectasias ou atelectasia.(24,25)
BronquiectasiaDilatação brônquica irreversível, que pode ser focal ou difusa. Geralmente decorre de infecção crônica, obstrução das vias aéreas proximais ou anormalidades brônquicas congênitas. Os achados morfológicos na TCAR (Figura 12) incluem o diâmetro interno do brônquio maior do que o da artéria pulmonar adjacente (sinal do anel de sinete); a perda do afilamento gradual do brônquio, definido como a manutenção do calibre por mais que 2 cm, distal à bifurcação (aspecto em "trilho de trem"); e a identificação de via aérea a menos de 1 cm da superfície pleural.

Bronquiectasias são frequentemente acompanhadas de espessamento das paredes brônquicas, impacção mucoide e alterações de pequenas vias aéreas.(26,27) A patologia define três tipos de bronquiectasia, a depender da aparência do brônquio acometido: cilíndrica, varicosa e sacular (ou cística).
Ver também Sinal do anel de sinete.
Bronquiectasia e bronquiolectasia de traçãoReferem-se, respectivamente, à dilatação brônquica e bronquiolar, causada pela retração do parênquima em decorrência de fibrose (Figura 13).(3) Manifestam-se como dilatações brônquicas e bronquiolares, geralmente irregulares, associadas à distorção do parênquima por fibrose e a outras alterações pulmonares (principalmente opacidades reticulares, opacidade em vidro fosco e consolidação). Possuem aspecto tubular, cístico ou microcístico (bronquíolos localizados na periferia), a depender da relação do eixo do brônquio ou do bronquíolo com o corte da TC. Esse último aspecto pode ser confundido com faveolamento, outra frequente alteração associada à fibrose pulmonar.(28)
BronquiolectasiaDilatação bronquiolar. Análoga às bronquiectasias, mas em uma via aérea de muito menor calibre, identificada na periferia pulmonar (Figura 14). Manifestam-se como estruturas arredondadas ou tubulares, geralmente na periferia pulmonar, e com paredes espessadas ou preenchidas por secreção (ver Padrão de árvore em brotamento).(3,7) Também podem se associar a outras opacidades pulmonares e à distorção do parênquima em situações de fibrose.
Ver também Bronquiectasia e bronquiolectasia de tração.
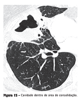
Cavidade (escavação)Representa espaço que contém gás, com ou sem nível líquido, dentro de um nódulo, massa ou consolidação pulmonar. Geralmente ocorre pela eliminação ou pela drenagem da parte necrótica pela via aérea (Figura 15) ou para o espaço pleural. As paredes costumam ter contornos irregulares e medir mais de 1 mm de espessura. "Cavidade" não é sinônimo de "abscesso". O termo "cavitação" não deve ser usado como sinônimo de "escavação": na língua portuguesa, "cavitação" tem significado diferente, e seu uso é incorreto.(7)
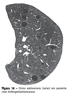
CistoCisto é qualquer espaço arredondado, bem circunscrito, que é circundado por uma parede epitelizada ou fibrosa, de espessura variável.(29) Na TC, caracteriza-se por uma área arredondada de baixo coeficiente de atenuação no parênquima pulmonar com uma interface bem definida com o pulmão normal adjacente (Figura 16).(1,7) A espessura da parede do cisto pode variar, sendo normalmente fina (< 2 mm). Cistos geralmente contêm ar, mas, ocasionalmente, podem conter líquido (por ex.: cisto broncogênico) ou mesmo algum material sólido. Doenças que cursam geralmente com múltiplos cistos pulmonares incluem a linfangioliomiomatose, a histiocitose de células de Langerhans, a pneumonia intersticial linfocítica e a síndrome de Birt-Hogg-Dubé.(30,31)
ColapsoGeralmente utilizado como sinônimo de atelectasia completa de um lobo ou de todo o pulmão (Figura 2).(7)
Ver também Atelectasia.
ConsolidaçãoRepresenta o preenchimento, com substituição do ar, dos espaços alveolares por um produto patológico qualquer, como, por exemplo, exsudato inflamatório (pneumonia), transudato (edema), sangue (hemorragia alveolar), lipoproteína (proteinose alveolar), gordura (pneumonia lipoídica), células (carcinoma bronquioloalveolar, linfoma, pneumonia em organização) ou conteúdo gástrico (pneumonia aspirativa).(32) Na TC, manifesta-se como um aumento da atenuação do parênquima pulmonar que impede a visualização dos vasos e dos contornos externos das paredes brônquicas. Broncogramas aéreos podem ser encontrados (Figuras 3 e 10). O valor de atenuação do parênquima consolidado, ao exame de TC sem contraste, raramente é útil no diagnóstico diferencial, exceto em algumas situações (por ex.: baixa atenuação na pneumonia lipoídica e alta atenuação na toxicidade por amiodarona).(33,34)
Distorção da arquiteturaDeslocamentos do trajeto e/ou distorções da morfologia de estruturas anatômicas, como brônquios, vasos, cissuras ou septos interlobulares, usualmente relacionados a doenças parenquimatosas difusas, particularmente as fibrosantes.(7) Na TCAR, a perda da definição anatômica do lóbulo secundário e a redução de volume local são consideradas sinais de distorção da arquitetura lobular e podem ser considerados sinais indiretos de fibrose (Figura 13).(3)
Enfisema pulmonarAumento permanente do espaço aéreo distal ao bronquíolo terminal, com destruição das paredes alveolares.(35) O critério histológico adicional de "ausência de fibrose óbvia" tem sido questionado porque algum grau de fibrose intersticial pode estar presente em consequência do tabagismo.(36) O enfisema é classificado de acordo com a região do ácino acometida: proximal (enfisema centroacinar ou centrolobular), distal (enfisema parasseptal), ou todo o ácino (enfisema panacinar ou panlobular).(37) Os achados tomográficos são de áreas de baixa atenuação, tipicamente sem paredes visíveis.(37,38)
Enfisema bolhosoDestruição bolhosa do parênquima associada a enfisema centroacinar, acinar distal (parasseptal) ou panacinar (Figura 17). É denominado de enfisema bolhoso gigante quando as bolhas, que podem variar de 1 a mais de 20 cm de diâmetro, ocupam pelo menos um terço do hemitórax.(7,39)
Ver também Bolha.
Enfisema centroacinarDestruição das paredes dos alvéolos centroacinares, associada ao aumento dos bronquíolos respiratórios e dos alvéolos que se originam nesses bronquíolos. É a forma mais comum de enfisema em fumantes de cigarro. Os achados tomográficos são de áreas centrolobulares de diminuição da atenuação, usualmente sem paredes visíveis, com distribuição não uniforme, predominantemente localizadas nas regiões pulmonares superiores (Figura 18).(37,38) As artérias centrolobulares podem frequentemente ser identificadas no interior das áreas hipodensas. O termo centrolobular é comumente utilizado como sinônimo na TC.
Enfisema intersticialDissecção do interstício pulmonar por ar, tipicamente localizado nos feixes broncovasculares, nos septos interlobulares e na pleura visceral, sendo mais frequentemente identificado em neonatos submetidos à ventilação mecânica (Figura 19). O enfisema intersticial dificilmente é reconhecido radiologicamente em adultos e é raramente identificado nos exames de TC. O processo expressa-se como áreas com densidade de ar com distribuição perivascular, peribroncovascular e/ou ao longo dos septos interlobulares (Figura 20), ou como áreas arredondadas de baixa atenuação simulando pequenas bolhas ou cistos (Figuras 19 e 20).(40,41)

Enfisema panacinarO enfisema panacinar (panlobular) envolve todas as porções do ácino e, mais ou menos uniformemente, o lóbulo pulmonar secundário.
Predomina nos lobos inferiores e representa a forma de enfisema associada à deficiência de alfa-1 antitripsina. O enfisema panacinar se manifesta na TC como uma diminuição generalizada da atenuação pulmonar, com redução do calibre dos vasos sanguíneos nas áreas acometidas, com ou sem distorção dos mesmos (Figura 21).(37,38,42) O enfisema panacinar acentuado pode coexistir e combinar com o enfisema centroacinar grave. Na TC, pode ser indistinguível dos achados de bronquiolite constritiva grave.
Enfisema parasseptal (acinar distal)Enfisema que envolve predominantemente os alvéolos distais, seus ductos e sacos alveolares. Caracteristicamente, é delimitado por qualquer superfície pleural ou septos interlobulares. Na TC, caracteriza-se por áreas de baixa atenuação nas regiões subpleurais e peribroncovasculares, separadas por septo interlobular intacto (Figura 22).(37,38) Algumas vezes associa-se a bolhas.
Espaços aéreosCorresponde aos espaços contidos pelas paredes alveolares, incluindo-se os sacos e ductos alveolares, e os alvéolos nas paredes dos bronquíolos respiratórios.(43) O termo pode ser utilizado em associação com consolidação, opacidade ou nódulos para caracterizar a origem dessas lesões nesta região anatômica pulmonar, através do preenchimento desses espaços por líquido ou células. O sinal do broncograma aéreo (Figuras 3 e 10) é a marca registrada do preenchimento do espaço aéreo. Ver também Broncograma aéreo.
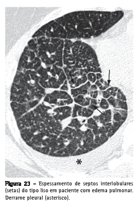
Espessamento de septos interlobularesEspessamento dos septos de tecido conjuntivo que separam os lóbulos pulmonares secundários. Caracterizado na radiografia por finas opacidades lineares, também denominadas de linhas B de Kerley.
Usualmente encontra-se em íntimo contato com a superfície pleural lateral, junto aos seios costofrênicos, apresentando um ângulo reto em relação à parede. Atualmente os termos "linhas septais" ou "espessamento septal" têm sido preferidos ao invés de linhas de Kerley. Na TCAR (Figura 23), o espessamento dos septos interlobulares é caracterizado pela presença de opacidades lineares que delimitam os lóbulos pulmonares secundários, mais facilmente caracterizável na região subpleural, onde tem aspecto de linhas perpendiculares à superfície pleural.(3,44) Nas regiões centrais dos pulmões, o espessamento dos septos de lóbulos adjacentes resulta no aspecto de arcadas poligonais. O espessamento septal pode ser secundário à alteração de qualquer um de seus componentes (veias, vasos linfáticos ou tecido conectivo) e é um achado comum a várias alterações pulmonares, embora sua presença seja particularmente destacada nos casos de edema pulmonar e de linfangite carcinomatosa. O espessamento septal pode ser do tipo liso (Figura 23), nodular (Figura 24) ou irregular. Essa diferenciação pode ajudar no diagnóstico diferencial das diversas etiologias.

Estruturas centrolobularesRegião central do lóbulo pulmonar secundário, representada pelo conjunto artéria pulmonar-bronquíolo e pelo interstício pulmonar circunjacente.(45) Na TCAR de pacientes normais, corresponde a uma pequena imagem nodular ou linear, localizada a 3-10 mm da superfície pleural ou do septo interlobular, que representa a artéria pulmonar intralobular, com aproximadamente 1 mm de diâmetro (Figura 25).(46,47)

O bronquíolo correspondente, quando normal, tem paredes com espessura aproximada de 0,15 mm, aquém do limite de resolução da TCAR. Portanto, a doença bronquiolar que produz acentuação da estrutura centrolobular ocorre quando existe espessamento da parede ou preenchimento da luz bronquiolar (Figura 26). Padrões centrolobulares incluem: (a) nódulos; (b) árvore em brotamento; (c) espessamento do interstício peribroncovascular periférico; e (d) áreas com atenuação reduzida sem paredes visíveis (enfisema).
Faveolamento (favo de mel)Cistos pulmonares criados pela destruição de espaços aéreos distais, por fibrose do parênquima pulmonar, com desarranjo da arquitetura de ácinos e bronquíolos. Os cistos de faveolamento são revestidos por epitélio bronquiolar metaplásico e representam o estágio terminal de várias doenças pulmonares.(1,48) Na TCAR, caracteriza-se por múltiplos cistos, em geral de localização subpleural, com diâmetros semelhantes (tipicamente de 0,3-1 cm), agrupados em camadas e compartilhando
paredes bem definidas de 1-3 mm de espessura (Figura 27).(49)

Representa um marcador tomográfico de fibrose pulmonar. As causas principais incluem fibrose pulmonar idiopática, colagenoses, pneumonite por hipersensibilidade crônica, reações pulmonares medicamentosas e asbestose.(28) Deve ser diferenciado de enfisema parasseptal e de bronquiolectasia de tração.
Fibrose maciça progressivaConfluência de pequenos nódulos pulmonares, em geral com fibrose associada (Figura 28). Frequentemente são bilaterais e predominam nos lobos superiores. Pode ser acompanhada de um aumento irregular do espaço aéreo na sua periferia. É geralmente encontrada em pacientes com história de exposição importante a poeiras inorgânicas (por ex.: pneumoconiose dos mineradores de carvão e silicose).(50) Achados tomográficos semelhantes podem ser encontrados em sarcoidose e talcose.(51)
Fissura (cissura)Invaginação da pleura visceral que reveste a superfície externa do pulmão para dentro do parênquima.(7) Cada fissura interlobar é formada pela aposição de duas camadas de pleura visceral. Em geral, identificam-se as fissuras maiores (oblíquas), que separam os lobos inferiores dos demais, e a fissura menor (horizontal), que separa o lobo médio do lobo superior direito (Figura 29). Algumas fissuras supranumerárias podem ser encontradas com frequência.
InterfaceSuperfície de separação entre duas estruturas ou espaços. Quando duas estruturas torácicas com diferentes densidades radiológicas se encontram, seus limites são nítidos. Por exemplo, vasos com densidade de partes moles em contato com a densidade de ar do pulmão arejado circunjacente. O "sinal da interface" define a irregularidade das margens entre diferentes estruturas intratorácicas, tais como vasos, brônquios e superfícies pleurais, em geral em decorrência de doença intersticial que causa fibrose (Figura 30).(3)
InterstícioRede de tecido conjuntivo que se espalha pelos pulmões e se subdivide em: (a) interstício axial (ou broncovascular) - envolve os brônquios, artérias e veias desde os hilos até o nível dos bronquíolos respiratórios; (b) interstício periférico - composto pelo tecido conjuntivo contíguo às superfícies pleurais (subpleural) e septos interlobulares; e (c) interstício intralobular (também chamado acinar ou parenquimatoso) - composto pelas paredes dos alvéolos (septos alveolares), dando suporte à estrutura do lóbulo pulmonar secundário.(2,3,7)
LinfonodomegaliaAumento de volume de linfonodo de qualquer etiologia, quando suas dimensões ultrapassam os limites considerados normais para a cadeia linfonodal em questão (Figura 31).(52,53) O termo "adenomegalia" não é um sinônimo recomendável, pois linfonodos não são estruturas glandulares verdadeiras. O termo "linfonodopatia" reserva-se para situações onde for possível identificar a doença linfonodal, como, por exemplo, quando se identifica necrose em seu interior.
Linha curvilínea subpleuralOpacidade curvilínea de 1-3 mm de espessura, de localização subpleural, com distribuição paralela a sua superfície (Figura 32). É um indicador não específico de atelectasia, edema, fibrose ou inflamação.(3,7)
Linhas intralobularesCaracterizadas na TCAR como imagens lineares finas no interior do lóbulo pulmonar secundário e, quando acentuadas, resultam em um aspecto rendilhado fino (Figura 33). Este achado pode ser encontrado em diversas situações, destacando-se as doenças fibrosantes (por ex.: pneumonia intersticial usual) e aquelas associadas ao padrão de pavimentação em mosaico (por ex.: proteinose alveolar).(3,54)
Ver também Padrão reticular e Padrão de pavimentação em mosaico.
Lóbulo pulmonar secundárioMenor unidade anatômica pulmonar delimitada por septo de tecido conjuntivo. Apresenta aspecto poliédrico, mede 1,0-2,5 cm de diâmetro e contém um número variado de ácinos.(45) O centro do lóbulo é formado pelo conjunto bronquíolo-artéria pulmonar, vasos linfáticos e interstício adjacente. Em sua periferia, o tecido conjuntivo forma septos finos denominados de septos interlobulares, onde se encontram pequenas veias pulmonares e vasos linfáticos (Figura 25). Os septos interlobulares em pacientes normais são identificados, de forma melhor, nas regiões periféricas anterior, lateral e justamediastinal dos lobos superiores e médio, assim como na periferia da região diafragmática anterior dos lobos inferiores, tendendo a apresentar-se de forma incompleta ou ausente nas demais regiões do pulmão. São facilmente reconhecíveis na TCAR sempre que o interstício septal estiver comprometido (Figuras 23 e 24).(3)
MassaQualquer lesão expansiva pulmonar, pleural, mediastinal ou da parede torácica, com densidade de partes moles, de gordura ou óssea, maior que 3 cm, com contornos pelo menos parcialmente definidos, fora de topografia cissural, independentemente das características de seus
contornos ou da heterogeneidade de seu conteúdo (Figura 34).(7)
MicetomaCaracteristicamente representa um grupo de infecções crônicas subcutâneas causadas pela inoculação traumática na pele de material contaminado com actinomicetos, principalmente Nocardia brasiliensis, ou eumicetos, resultando em actinomicetomas e eumicetomas, respectivamente.(20) Apresenta tendência a invadir os tecidos adjacentes, formando nódulos ou massas com cavidades e trajetos fistulosos, com eliminação de secreção purulenta contendo grãos constituídos por novelos de hifas e filamentos. Na maioria dos casos, localiza-se nos membros inferiores, podendo levar a deformidades e fraturas. O acometimento pulmonar e pleural é raro.(55) Quando invadem o pulmão, têm o aspecto de consolidação com necrose, e derrame pleural pode ser identificado.(56) Geralmente acomete agricultores, sendo endêmico na América Latina, Índia e África.(20,57) O micetoma não representa uma colonização de cavidade pulmonar preexistente; portanto, a utilização desse termo como sinônimo de "bola fúngica" deve ser evitada. Ver também Bola fúngica.
NóduloOpacidade focal arredondada, ou pelo menos parcialmente delimitada, menor que 3,0 cm de diâmetro, geralmente com densidade de partes moles ou de cálcio (Figura 35). Quando menor que 10 mm, sugere-se qualificá-lo como "pequeno nódulo". Se menor que 3 mm, o termo "micronódulo" pode ser empregado.(3,7) Deve ser descrito de acordo com as características de suas margens (mal definidas ou bem definidas), e também quanto à localização e distribuição (randômica, perilinfática, centrolobular ou pleural). Quanto à atenuação, o nódulo pode ser classificado como sólido (Figura 35a), quando obscurece completamente o parênquima; não sólido (atenuação em vidro fosco) quando não obscurece as margens vasculares e paredes brônquicas (Figura 35b); ou parcialmente sólido ou semissólido (opacidade em vidro fosco com áreas sólidas), quando obscurece parcialmente as margens vasculares e as paredes brônquicas (Figura 35c).(7) Ver também Massa.
OligoemiaRedução focal, regional ou generalizada do volume sanguíneo pulmonar. A oligoemia apresenta-se como uma diminuição do calibre e do número de vasos pulmonares em regiões específicas ou difusamente, indicando que o fluxo sanguíneo é menor que o habitual (Figura 36).(3,7)
OpacidadeImagem que se distingue, pelo menos parcialmente, das estruturas que a circundam ou se superpõem, por apresentar maior densidade. Na radiografia do tórax esse termo não implica sua natureza do ponto de vista patológico, seu tamanho ou localização específica, podendo ser de origem pulmonar, pleural, da parede torácica ou de origem externa ao paciente. Na TC, as opacidades pulmonares podem representar opacidade em vidro fosco ou consolidação. Ver também Consolidação.
Opacidade (atenuação) em vidro foscoNa TC, corresponde ao aumento da densidade do parênquima pulmonar em que permanecem visíveis os contornos dos vasos e brônquios no interior da área acometida por um processo patológico (Figura 37). Este padrão de imagem está relacionado a espessamento do interstício, preenchimento parcial de espaços aéreos, colapso parcial de alvéolos, aumento do volume sanguíneo capilar ou ainda a uma associação desses mecanismos.(58,59) Deve ser distinguida de "consolidação" (Figuras 10 e 38), na qual os vasos não são identificáveis no interior da área de pulmão comprometido. Ver também Consolidação.
Opacidade linearImagem linear fina, alongada, com densidade de tecido de partes moles.
Raramente, a presença de calcificação ou de material estranho pode aumentar a atenuação. É um termo não específico e de etiologias diversas. Recomenda-se, sempre que possível, utilizar terminologias mais específicas, tais como "atelectasia laminar", "banda parenquimatosa" e "espessamento de septos interlobulares".
Opacidade pendenteOpacidade subpleural em regiões pulmonares pendentes, que correspondem a áreas de atelectasia decorrente do decúbito. Ocorre nas regiões posteriores quando o paciente encontra-se em decúbito dorsal
(Figura 39a) e nas regiões anteriores, quando em decúbito ventral.
Desaparece com a mudança de decúbito (Figura 39b).(4)
Opacidade parenquimatosa (Opacificação parenquimatosa)Aumento da atenuação do parênquima pulmonar que pode ou não obscurecer os contornos dos vasos e brônquios. O termo "consolidação" indica que as margens dessas estruturas não são aparentes (exceto pelos broncogramas aéreos), e "atenuação em vidro fosco" indica que, apesar de alterada a densidade dos pulmões, os vasos e vias aéreas ainda são identificáveis.(4,32) Deve-se dar preferência aos termos mais específicos "consolidação" e "opacidade em vidro fosco" (Figura 38).

Padrão de árvore em brotamentoOpacidades ramificadas centrolobulares, com pequenas nodulações nas extremidades, assemelhando-se ao aspecto do brotamento de algumas árvores (Figura 26).(3,45) Representam, na maior parte dos casos, bronquíolos dilatados e preenchidos por material patológico, embora possa também estar relacionado com a infiltração do tecido conjuntivo peribroncovascular centrolobular ou, ocasionalmente, com a dilatação ou o preenchimento (por ex.: metástases intravasculares) das artérias pulmonares centrolobulares.(60,61) Significa, em geral, doença das vias aéreas, sendo particularmente comum em processos infecciosos (por ex.: tuberculose, broncopneumonia e bronquiolite infecciosa), mas pode ser encontrado também numa série de outras afecções (por ex.: bronquiectasias, fibrose cística e panbronquiolite).(47)
Padrão de atenuação (perfusão) em mosaicoAparência em retalho de regiões com atenuações distintas que pode representar doença parenquimatosa infiltrativa, enfermidade obliterativa de pequenas vias aéreas ou afecção vascular oclusiva (Figura 40).(62,63)

O aprisionamento aéreo secundário à obstrução brônquica ou bronquiolar pode produzir focos parenquimatosos de redução da atenuação, que se acentuam nas imagens de TC obtidas em fase expiratória.(8) Na enfermidade obliterativa de pequenas vias aéreas e na afecção vascular oclusiva, as áreas com atenuação diminuída são as anormais e geralmente contêm vasos pulmonares em número e tamanho menor que o pulmão normal adjacente, que pode ter atenuação normal ou aumentada (por causa do redirecionamento do fluxo sanguíneo). O padrão de atenuação em mosaico pode também ser produzido por doença pulmonar parenquimatosa, caracterizada por opacidade em vidro fosco, sendo que nessa condição as áreas de maior atenuação representam as regiões acometidas, e as outras zonas
caracterizam focos de pulmão preservado.(3,7)
Ver também Aprisionamento aéreo.
Padrão de pavimentação em mosaicoSuperposição de opacidades em vidro fosco, linhas intralobulares e espessamento de septos interlobulares (Figura 41). A interface entre o pulmão normal e o acometido tende a ser bem delimitada nesse padrão de lesão pulmonar. Esse padrão foi inicialmente identificado em pacientes com proteinose alveolar pulmonar mas também é encontrado em outras doenças pulmonares difusas nas quais os compartimentos intersticial e alveolar estão comprometidos (por ex.: hemorragia pulmonar). O termo em inglês é "crazy paving".(1,2,64)
Padrão nodular centrolobularPadrão de distribuição de pequenos nódulos que ocupam a porção central do lóbulo pulmonar secundário, em geral relacionado a doenças do bronquíolo, da artéria pulmonar ou da bainha conjuntiva peribroncovascular.(7) A principal característica tomográfica é que eles mantêm alguns milímetros de separação da superfície pleural e das fissuras (Figura 42A).(45-47) As causas mais comuns são as doenças que ocorrem por inalação (por ex.: pneumonite por hipersensibilidade, silicose e bronquiolite respiratória). Se acompanhados por padrão de árvore em brotamento (Figura 26), as causas infecciosas devem ser lembradas (por ex.: tuberculose e broncopneumonia).
Padrão nodular perilinfáticoPadrão de distribuição de pequenos nódulos ao longo da rede linfática pulmonar (septos interlobulares, bainha conjuntiva peribroncovascular e superfície pleural) (Figura 42b). As principais doenças que cursam com nódulos perilinfáticos são a sarcoidose e a linfangite carcinomatosa.(45,65)
Padrão nodular miliar - Ver Padrão nodular randômico (miliar).
Padrão nodular randômico (miliar)
Padrão de distribuição de pequenos nódulos de forma aleatória pelos pulmões (Figura 42c). As causas mais comuns são a tuberculose miliar, a histoplasmose miliar e as metástases hematogênicas.(3,45,65)
Padrão perilobularEste padrão é caracterizado pela distribuição da anormalidade ao longo das estruturas que delimitam os lóbulos pulmonares, ou seja, os septos interlobulares, a pleura visceral e grandes vasos pulmonares.(66) O termo é mais frequentemente utilizado no contexto de doenças (por ex.: pneumonia em organização perilobular) que são distribuídas principalmente em volta da periferia do lóbulo secundário. Na TC, é caracterizado pela presença de opacidades poligonais espessas e irregulares na periferia do lóbulo pulmonar secundário (Figura 43).(67) Deve ser distinguido do espessamento de septos interlobulares (padrão septal), por ser mais espesso e irregular; e do sinal do halo invertido.
Ver também Padrão septal e Sinal do halo invertido.
Padrão reticularAlteração, usualmente relacionada às doenças intersticiais, caracterizada nas radiografias por inúmeras pequenas opacidades lineares que resultam em uma aparência de rede.(1) Na TCAR, é possível individualizar os componentes responsáveis por esse padrão na radiografia, que usualmente estão relacionados à presença de linhas intralobulares e septais (Figura 44) ou à presença de cistos cujas paredes se apresentam como linhas na radiografia, como nas doenças císticas pulmonares, no enfisema associado a bolhas e até mesmo nos cistos de faveolamento.(1,3,7)
Ver também Linhas intralobulares.
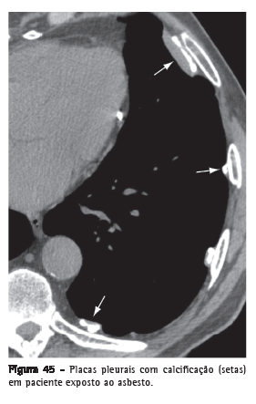
Placa pleuralEspessamento pleural focal, por vezes com calcificações, de espessura variável e com extensão de até 5 cm (Figura 45).(68) Usualmente ocorre
na superfície pleural parietal subcostal ou na pleura diafragmática.

Quando múltiplas e bilaterais, são quase sempre decorrentes de exposição ao asbesto.(69,70)
Pneumatocele
Espaço de conteúdo gasoso cuja parede é formada por espaços aéreos distendidos. Frequentemente muda de tamanho em curto espaço de tempo, decorrente do mecanismo valvular obstrutivo da via aérea, que lhe é característico.(71) Costuma associar-se a algumas enfermidades infecciosas, sobretudo aquelas causadas por Staphylococcus sp. em crianças e Pneumocystis sp. em adultos. Na TC, manifesta-se como espaço aéreo arredondado, demarcado por paredes finas, contido no pulmão (Figura 46a).(3,7) Pode resolver de forma espontânea, ainda que
tardia, no curso do tratamento da infecção (Figura 46b).

Pseudocavidade
Representa uma área arredondada ou oval de baixo coeficiente de atenuação em nódulos ou massas pulmonares ou em uma área de consolidação secundária a: 1) presença de uma porção de parênquima pulmonar preservado; 2) presença de brônquios dilatados ou mesmo de calibre normal; ou 3) uma área de enfisema no interior da lesão (Figura 47). Estas pseudocavidades geralmente medem menos de 1 cm de diâmetro. Podem ser identificadas em pacientes com adenocarcinoma, carcinoma bronquioloalveolar e pneumonia.(7,72)

Pseudoplaca
Opacidade pulmonar periférica, adjacente à pleura visceral, formada por pequenos nódulos pulmonares coalescentes que simulam placa pleural (Figura 48).(73) Mais comumente encontrada na sarcoidose, silicose e pneumoconiose dos mineradores de carvão.

Sinal do anel de sinete
Sinal composto por uma opacidade anelar, que representa um brônquio dilatado, em associação com uma opacidade arredondada menor, contígua a sua parede, representando sua artéria (pulmonar ou raramente brônquica) que lembra o aspecto de um "anel de sinete" ou "anel de pérola".(74) Corresponde ao sinal tomográfico básico de bronquiectasia (Figura 12).(26,75) Ocasionalmente, o sinal do anel de sinete pode também ser encontrado em doenças caracterizadas por uma redução anormal do fluxo arterial pulmonar, tais como no tromboembolismo pulmonar crônico e na interrupção proximal da artéria pulmonar.(76)
Ver também Bronquiectasia.
Sinal do crescente aéreo
Coleção de ar de tamanho variado e em forma de menisco ou de meia-lua localizada na periferia de um nódulo ou de massa com densidade de partes moles, sendo característico, no contexto clínico adequado, de aspergilose pulmonar angioinvasiva em fase de recuperação (Figura 49).(77-79) Nesse caso, o sinal do crescente aéreo é decorrente da retração do parênquima pulmonar infartado e da reabsorção de tecido necrótico na periferia da lesão, com preenchimento do espaço entre o tecido desvitalizado e o parênquima adjacente por ar.(78) Costuma-se também empregá-lo na descrição dos achados de bola fúngica, em que se observa uma coleção de ar circundando a lesão intracavitária ou interposta entre a parede superior da cavidade preexistente e a lesão intracavitária pendente (Figura 7).(7) O sinal do crescente aéreo também já foi descrito em outras doenças, tais como hemorragia intracavitária, abscesso bacteriano e câncer de pulmão.(80,81)
Ver também Bola fúngica.

Sinal do halo
Opacidade em vidro fosco que circunda um nódulo, massa ou uma área de consolidação arredondada (Figura 50). Foi inicialmente descrito como um sinal de hemorragia ao redor de um foco de aspergilose angioinvasiva,(82) sendo bastante específico no contexto de paciente neutropênico febril, surgindo precocemente.(82) O sinal do halo pode ser causado por hemorragia associada a outros tipos de doença (por ex. candidíase, sarcoma de Kaposi) ou por infiltração pulmonar local por neoplasia.(83-86)

Sinal do halo invertido
Opacidade focal em vidro fosco circundada por um anel de consolidação completo ou parcial (Figura 51). Inicialmente descrito como um sinal de pneumonia em organização, já foi, entretanto, associado a outras doenças, tais como paracoccidioidomicose.(87,88)

Sinal do septo nodular (em contas, em rosário)Espessamento irregular e nodular dos septos interlobulares com aparência de um colar de contas (Figura 24).(7) Embora inicialmente descrito como um sinal de linfangite carcinomatosa, é mais frequentemente encontrado na sarcoidose.(89)
AgradecimentosDedicatória especial: Ao Dr. Jorge Issamu Kavakama, médico radiologista brilhante que influenciou gerações com seu talento, carisma e entusiasmo e foi um participante ativo na elaboração e na divulgação das outras versões do consenso brasileiro sobre a terminologia dos descritores de TC de tórax.
Referências 1. Müller NL, Silva CI. Interstitial patterns. In: Müller NL, Silva CI, editors. Imaging of the Chest. Philadelphia: Saunders; 2008. p. 158-99.
2. Webb RW, Müller NL, Naidich DP. High-resolution computed tomography findings of lung disease. In: Webb RW, Müller NL, Naidich DP, editors. High-resolution CT of the lung. 4th ed. Philadelphia: Lippincott Williams & Wilkins; 2009. p. 65-176.
3. Webb RW, Müller NL, Naidich DP. Illustrated glossary of high-resolution computed tomography terms. In: Webb WR, Muller NL, Naidich DP, editors. High-resolution CT of the lung. Philadelphia: Lippincott Williams & Wilkins; 2009. p. 585-602.
4. Austin JH, Müller NL, Friedman PJ, Hansell DM, Naidich DP, Remy-Jardin M, et al. Glossary of terms for CT of the lungs: recommendations of the Nomenclature Committee of the Fleischner Society. Radiology. 1996;200(2):327-31.
5. Departamento de Imagem da Sociedade Brasileira de Pneumologia e Tisiologia. Brazilian Consensus on Terminology Used in order to Describe Computed Tomography of the Chest. J Bras Pneumol. 2005;31(2):149-56.
6. Souza Jr AS, Araujo NT, Jasinovodolinski D, Marchiori E, Kavakama J, Irion KL, et al. Terminologia para a descrição de tomografia computadorizada do tórax: sugestões iniciais para um consenso brasileiro. Radiol Bras. 2002;35(2):125-28.
7. Hansell DM, Bankier AA, MacMahon H, McLoud TC, Müller NL, Remy J. Fleischner Society: glossary of terms for thoracic imaging. Radiology. 2008;246(3):697-722.
8. Arakawa H, Webb WR, McCowin M, Katsou G, Lee KN, Seitz RF. Inhomogeneous lung attenuation at thin-section CT: diagnostic value of expiratory scans. Radiology. 1998;206(1):89-94.
9. Webb WR. High-resolution computed tomography of obstructive lung disease. Radiol Clin North Am. 1994;32(4):745-57.
10. Arakawa H, Webb WR. Air trapping on expiratory high-resolution CT scans in the absence of inspiratory scan abnormalities: correlation with pulmonary function tests and differential diagnosis. AJR Am J Roentgenol. 1998;170(5):1349-53.
11. Tuddenham WJ. Glossary of terms for thoracic radiology: recommendations of the Nomenclature Committee of the Fleischner Society. AJR Am J Roentgenol. 1984;143(3):509-17.
12. Molina PL, Hiken JN, Glazer HS. Imaging evaluation of obstructive atelectasis. J Thorac Imaging. 1996;11(3):176-86.
13. Woodring JH, Reed JC. Types and mechanisms of pulmonary atelectasis. J Thorac Imaging. 1996;11(2):92-108.
14. Westcott JL, Cole S. Plate atelectasis. Radiology. 1985;155(1):1-9.
15. Cohen AM, Crass JR, Chung-Park M, Tomashefski JF Jr. Rounded atelectasis and fibrotic pleural disease: the pathologic continuum. J Thorac Imaging. 1993;8(4):309-12.
16. McHugh K, Blaquiere RM. CT features of rounded atelectasis. AJR Am J Roentgenol. 1989;153(2):257-60.
17. O'Donovan PB, Schenk M, Lim K, Obuchowski N, Stoller JK. Evaluation of the reliability of computed tomographic criteria used in the diagnosis of round atelectasis. J Thorac Imaging. 1997;12(1):54-8.
18. Akira M, Yamamoto S, Yokoyama K, Kita N, Morinaga K, Higashihara T, Kozuka T. Asbestosis: high-resolution CT-pathologic correlation. Radiology. 1990;176(2):389-94.
19. Roberts CM, Citron KM, Strickland B. Intrathoracic aspergilloma: role of CT in diagnosis and treatment. Radiology. 1987;165(1):123-8.
20. Ameen M, Arenas R. Developments in the management of mycetomas. Clin Exp Dermatol. 2009;34(1):1-7.
21. Martinez S, Heyneman LE, McAdams HP, Rossi SE, Restrepo CS, Eraso A. Mucoid impactions: finger-in-glove sign and other CT and radiographic features. Radiographics. 2008;28(5):1369-82.
22. Collins J. CT signs and patterns of lung disease. Radiol Clin North Am. 2001;39(6):1115-35.
23. Reed JC, Madewell JE. The air bronchogram in interstitial disease of the lungs. A radiological-pathological correlation. Radiology. 1975;116(1):1-9.
24. Conces DJ Jr, Tarver RD, Vix VA. Broncholithiasis: CT features in 15 patients. AJR Am J Roentgenol. 1991;157(2):249-53.
25. Seo JB, Song KS, Lee JS, Goo JM, Kim HY, Song JW, et al. Broncholithiasis: review of the causes with radiologic-pathologic correlation. Radiographics. 2002;22:S199-213.
26. Naidich DP, McCauley DI, Khouri NF, Stitik FP, Siegelman SS. Computed tomography of bronchiectasis. J Comput Assist Tomogr. 1982;6(3):437-44.
27. Grenier P, Maurice F, Musset D, Menu Y, Nahum H. Bronchiectasis: assessment by thin-section CT. Radiology. 1986;161(1):95-9.
28. Lynch DA, Travis WD, Müller NL, Galvin JR, Hansell DM, Grenier PA, et al. Idiopathic interstitial pneumonias: CT features. Radiology. 2005;236(1):10-21.
29. Genereux GP. The end-stage lung: pathogenesis, pathology, and radiology. Radiology. 1975;116(02):279-89.
30. Hartman TE. CT of cystic diseases of the lung. Radiol Clin North Am. 2001;39(6):1231-44.
31. Grant LA, Babar J, Griffin N. Cysts, cavities, and honeycombing in multisystem disorders: differential diagnosis and findings on thin-section CT. Clin Radiol. 2009;64(4):439-48.
32. Leung AN, Miller RR, Müller NL. Parenchymal opacification in chronic infiltrative lung diseases: CT-pathologic correlation. Radiology. 1993;188(1):209-14.
33. Laurent F, Philippe JC, Vergier B, Granger-Veron B, Darpeix B, Vergeret J, et al. Exogenous lipoid pneumonia: HRCT, MR, and pathologic findings. Eur Radiol. 1999;9(6):1190-6.
34. Kuhlman JE, Scatarige JC, Fishman EK, Zerhouni EA, Siegelman SS. CT demonstration of high attenuation pleural-parenchymal lesions due to amiodarone therapy. J Comput Assist Tomogr. 1987;11(1):160-2.
35. Thurlbeck WM, Müller NL. Emphysema: definition, imaging, and quantification. AJR Am J Roentgenol. 1994;163(5):1017-25.
36. Cardoso WV, Sekhon HS, Hyde DM, Thurlbeck WM. Collagen and elastin in human pulmonary emphysema. Am Rev Respir Dis. 1993;147(4):975-81.
37. Takahashi M, Fukuoka J, Nitta N, Takazakura R, Nagatani Y, Murakami Y, et al. Imaging of pulmonary emphysema: a pictorial review. Int J Chron Obstruct Pulmon Dis. 2008;3(2):193-204.
38. Foster WL Jr, Gimenez EI, Roubidoux MA, Sherrier RH, Shannon RH, Roggli VL, et al. The emphysemas: radiologic-pathologic correlations. Radiographics. 1993;13(2):311-28.
39. Stern EJ, Webb WR, Weinacker A, Müller NL. Idiopathic giant bullous emphysema (vanishing lung syndrome): imaging findings in nine patients. AJR Am J Roentgenol. 1994;162(2):279-82.
40. Kemper AC, Steinberg KP, Stern EJ. Pulmonary interstitial emphysema: CT findings. AJR Am J Roentgenol. 1999;172(6):1642.
41. Donnelly LF, Lucaya J, Ozelame V, Frush DP, Strouse PJ, Sumner TE, et al. CT findings and temporal course of persistent pulmonary interstitial emphysema in neonates: a multiinstitutional study. AJR Am J Roentgenol. 2003;180(4):1129-33.
42. Spouge D, Mayo JR, Cardoso W, Müller NL. Panacinar emphysema: CT and pathologic findings. J Comput Assist Tomogr. 1993;17(5):710-3.
43. Murata K, Khan A, Herman PG. Pulmonary parenchymal disease: evaluation with high-resolution CT. Radiology. 1989;170(3 Pt 1):629-35.
44. Kang EY, Grenier P, Laurent F, Müller NL. Interlobular septal thickening: patterns at high-resolution computed tomography. J Thorac Imaging. 1996;11(4):260-4.
45. Webb WR. Thin-section CT of the secondary pulmonary lobule: anatomy and the image--the 2004 Fleischner lecture. Radiology. 2006;239(2):322-38.
46. Gruden JF, Webb WR, Warnock M. Centrilobular opacities in the lung on high-resolution CT: diagnostic considerations and pathologic correlation. AJR Am J Roentgenol. 1994;162(3):569-74.
47. Murata K, Itoh H, Todo G, Kanaoka M, Noma S, Itoh T, et al. Centrilobular lesions of the lung: demonstration by high-resolution CT and pathologic correlation. Radiology. 1986;161(3):641-5.
48. Genereux GP. The end-stage lung: pathogenesis, pathology, and radiology. Radiology. 1975;116(02):279-89.
49. Primack SL, Hartman TE, Hansell DM, Müller NL. End-stage lung disease: CT findings in 61 patients. Radiology. 1993;189(3):681-6.
50. Chong S, Lee KS, Chung MJ, Han J, Kwon OJ, Kim TS. Pneumoconiosis: comparison of imaging and pathologic findings. Radiographics. 2006;26(1):59-77.
51. Ward S, Heyneman LE, Reittner P, Kazerooni EA, Godwin JD, Müller NL. Talcosis associated with IV abuse of oral medications: CT findings. AJR Am J Roentgenol. 2000;174(3):789-93.
52. Glazer GM, Gross BH, Quint LE, Francis IR, Bookstein FL, Orringer MB. Normal mediastinal lymph nodes: number and size according to American Thoracic Society mapping. AJR Am J Roentgenol. 1985;144(2):261-5.
53. Mountain CF, Dresler CM. Regional lymph node classification for lung cancer staging. Chest. 1997;111(6):1718-23.
54. Webb WR, Stein MG, Finkbeiner WE, Im JG, Lynch D, Gamsu G. Normal and diseased isolated lungs: high-resolution CT. Radiology. 1988;166(1 Pt 1):81-7.
55. Abd El-Bagi ME, Fahal AH. Mycetoma revisited. Incidence of various radiographic signs. Saudi Med J. 2009;30(4):529-33.
56. Muñoz-Hernández B, Noyola MC, Palma-Cortés G, Rosete DP, Galván MA, Manjarrez ME. Actinomycetoma in arm disseminated to lung with grains of Nocardia brasiliensis with peripheral filaments. Mycopathologia. 2009;168(1):37-40.
57. Lacaz CS. Distribuição geográfica dos micetomas no Brasil. An Bras Dermatol. 1981;56(3):167-72.
58. Remy-Jardin M, Remy J, Giraud F, Wattinne L, Gosselin B. Computed tomography assessment of ground-glass opacity: semiology and significance. J Thorac Imaging. 1993;8(4):249-64.
59. Remy-Jardin M, Giraud F, Remy J, Copin MC, Gosselin B, Duhamel A. Importance of ground-glass attenuation in chronic diffuse infiltrative lung disease: pathologic-CT correlation. Radiology. 1993;189(3):693-8.
60. Aquino SL, Gamsu G, Webb WR, Kee ST. Tree-in-bud pattern: frequency and significance on thin section CT. J Comput Assist Tomogr. 1996;20(4):594-9.
61. Franquet T, Giménez A, Prats R, Rodríguez-Arias JM, Rodríguez C. Thrombotic microangiopathy of pulmonary tumors: a vascular cause of tree-in-bud pattern on CT. AJR Am J Roentgenol. 2002;179(4):897-9.
62. Worthy SA, Müller NL, Hartman TE, Swensen SJ, Padley SP, Hansell DM. Mosaic attenuation pattern on thin-section CT scans of the lung: differentiation among infiltrative lung, airway, and vascular diseases as a cause. Radiology. 1997;205(2):465-70.
63. Martin KW, Sagel SS, Siegel BA. Mosaic oligemia simulating pulmonary infiltrates on CT. AJR Am J Roentgenol. 1986;147(4):670-73.
64. Rossi SE, Erasmus JJ, Volpacchio M, Franquet T, Castiglioni T, McAdams HP. "Crazy-paving" pattern at thin-section CT of the lungs: radiologic-pathologic overview. Radiographics. 2003;23(6):1509-19.
65. Colby TV, Swensen SJ. Anatomic distribution and histopathologic patterns in diffuse lung disease: correlation with HRCT. J Thorac Imaging. 1996;11(1):1-26.
66. Johkoh T, Müller NL, Ichikado K, Nakamura H, Itoh H, Nagareda T. Perilobular pulmonary opacities: high-resolution CT findings and pathologic correlation. J Thorac Imaging. 1999;14(3):172-7.
67. Ujita M, Renzoni EA, Veeraraghavan S, Wells AU, Hansell DM. Organizing pneumonia: perilobular pattern at thin-section CT. Radiology. 2004;232(3):757-61.
68. Lynch DA, Gamsu G, Aberle DR. Conventional and high resolution computed tomography in the diagnosis of asbestos-related diseases. Radiographics. 1989;9(3):523-51.
69. Friedman AC, Fiel SB, Fisher MS, Radecki PD, Lev-Toaff AS, Caroline DF. Asbestos-related pleural disease and asbestosis: a comparison of CT and chest radiography. AJR Am J Roentgenol. 1988;150(2):269-75.
70. Aberle DR, Gamsu G, Ray CS, Feuerstein IM. Asbestos-related pleural and parenchymal fibrosis: detection with high-resolution CT. Radiology. 1988;166(3):729-34.
71. Quigley MJ, Fraser RS. Pulmonary pneumatocele: pathology and pathogenesis. AJR Am J Roentgenol. 1988;150(6):1275-7.
72. Weisbrod GL, Chamberlain D, Herman SJ. Cystic change (pseudocavitation) associated with bronchioloalveolar carcinoma: a report of four patients. J Thorac Imaging. 1995;10(2):106-11.
73. Remy-Jardin M, Beuscart R, Sault MC, Marquette CH, Remy J. Subpleural micronodules in diffuse infiltrative lung diseases: evaluation with thin-section CT scans. Radiology. 1990;177(1):133-9.
74. Ouellette H. The signet ring sign. Radiology. 1999;212(1):67-8.
75. McGuinness G, Naidich DP, Leitman BS, McCauley DI. Bronchiectasis: CT evaluation. AJR Am J Roentgenol. 1993;160(2):253-9.
76. Remy-Jardin M, Remy J, Louvegny S, Artaud D, Deschildre F, Duhamel A. Airway changes in chronic pulmonary embolism: CT findings in 33 patients. Radiology. 1997;203(2):355-60.
77. Curtis AM, Smith GJ, Ravin CE. Air crescent sign of invasive aspergillosis. Radiology. 1979;133(1):17-21.
78. Kuhlman JE, Fishman EK, Burch PA, Karp JE, Zerhouni EA, Siegelman SS. CT of invasive pulmonary aspergillosis. AJR Am J Roentgenol. 1988;150(5):1015-20.
79. Abramson S. The air crescent sign. Radiology. 2001;218(1):230-2.
80. Marshall GB, Farnquist BA, MacGregor JH, Burrowes PW. Signs in thoracic imaging. J Thorac Imaging. 2006;21(1):76-90.
81. Wang LF, Chu H, Chen YM, Perng RP. Adenocarcinoma of the lung presenting as a mycetoma with an air crescent sign. Chest. 2007;131(4):1239-42.
82. Kuhlman JE, Fishman EK, Siegelman SS. Invasive pulmonary aspergillosis in acute leukemia: characteristic findings on CT, the CT halo sign, and the role of CT in early diagnosis. Radiology. 1985;157(3):611-4.
83. Primack SL, Hartman TE, Lee KS, Müller NL. Pulmonary nodules and the CT halo sign. Radiology. 1994;190(2):513-5.
84. Gaeta M, Blandino A, Scribano E, Minutoli F, Volta S, Pandolfo I. Computed tomography halo sign in pulmonary nodules: frequency and diagnostic value. J Thorac Imaging. 1999;14(2):109-13.
85. Kim Y, Lee KS, Jung KJ, Han J, Kim JS, Suh JS. Halo sign on high resolution CT: findings in spectrum of pulmonary diseases with pathologic correlation. J Comput Assist Tomogr. 1999;23(4):622-6.
86. Lee YR, Choi YW, Lee KJ, Jeon SC, Park CK, Heo JN. CT halo sign: the spectrum of pulmonary diseases. Br J Radiol. 2005;78(933):862-5.
87. Kim SJ, Lee KS, Ryu YH, Yoon YC, Choe KO, Kim TS, et al. Reversed halo sign on high-resolution CT of cryptogenic organizing pneumonia: diagnostic implications. AJR Am J Roentgenol. 2003;180(5):1251-4.
88. Gasparetto EL, Escuissato DL, Davaus T, de Cerqueira EM, Souza AS Jr, Marchiori E, et al. Reversed halo sign in pulmonary paracoccidioidomycosis. AJR Am J Roentgenol. 2005;184(6):1932-4.
89. Ren H, Hruban RH, Kuhlman JE, Fishman EK, Wheeler PS, Zerhouni EA, et al. Computed tomography of inflation-fixed lungs: the beaded septum sign of pulmonary metastases. J Comput Assist Tomogr. 1989;13(3):411-6.
Trabalho realizado pela Sociedade Brasileira de Pneumologia e Tisiologia - SBPT - Brasília (DF) Brasil.
Endereço para correspondência: C. Isabela S. Silva. Department of Radiology, University of British Columbia/Vancouver General Hospital, 3350-950 West 10th Avenue, Vancouver, BC V5Z 4E3, Canada.
Tel 1 604 875-4165. Fax: 1 604 875-4319. E-mail: c.isabela.silva@gmail.com
Apoio financeiro: Nenhum.
Recebido para publicação em 15/7/2009. Aprovado, após revisão, em 17/7/2009.
Sobre os autoresC. Isabela S. Silva
Pesquisadora Associada. Departamento de Radiologia, University of British Columbia, Vancouver, Canadá.
Edson Marchiori
Professor Titular. Departamento de Radiologia, Universidade Federal Fluminense. Niterói (RJ) Brasil.
Arthur Soares Souza Júnior
Professor Adjunto. Faculdade de Medicina de São José do Rio Preto - FAMERP - São José do Rio Preto (SP) Brasil.
Nestor L. Müller
Professor Titular. Departamento de Radiologia, University of British Columbia, Vancouver, Canadá.
Comissão de Imagem da Sociedade Brasileira de Pneumologia e Tisiologia, Biênio 2008-2010
Os integrantes da Comissão foram:
Alexandre Dias Mançano,
Carmem Lúcia Fujita,
Cesar Augusto de Araújo Neto,
Dante L. Escuissato,
Dany Jasinowodolinski,
Gustavo de Souza Portes Meirelles,
Jorge L. Pereira Silva,
José Antônio Baddini Martinez,
Klaus L. Irion,
Luiz Felipe Nobre,
Marcelo Buarque de Gusmão Funari,
Marcelo Pereira Chaves,
Mário Terra Filho e Pedro A. Daltro.