Continuous and bimonthly publication
ISSN (on-line): 1806-3756

Licença Creative Commons
68465
Views
Back to summary
Open Access Peer-Reviewed
Review Article

Ressonância magnética do tórax: Aplicações tradicionais e novas, com ênfase em pneumologia

Magnetic resonance imaging of the chest: Current and new applications, with an emphasis on pulmonology

Marcel Koenigkam Santos, Jorge Elias Júnior, Fernando Marum Mauad, Valdair Francisco Muglia, Clóvis Simão Trad

ABSTRACT

The objective of the present review study was to present the principal applications of magnetic resonance imaging (MRI) of the chest, including the description of new techniques. Over the past decade, this method has evolved considerably because of the development of new equipment, including the simultaneous interconnection of phased-array multiple radiofrequency receiver coils and remote control of the table movement, in addition to faster techniques of image acquisition, such as parallel imaging and partial Fourier acquisitions, as well as the introduction of new contrast agents. All of these advances have allowed MRI to gain ground in the study of various pathologies of the chest, including lung diseases. Currently, MRI is considered the modality of choice for the evaluation of lesions in the mediastinum and in the chest wall, as well as of superior sulcus tumors. However, it can also facilitate the diagnosis of lung, pleural, and cardiac diseases, as well as of those related to the pulmonary vasculature. Pulmonary MRI angiography can be used in order to evaluate various pulmonary vascular diseases, and it has played an ever greater role in the study of thromboembolism. Because cardiac MRI allows morphological and functional assessment in the same test, it has also become part of the clinical routine in the evaluation of various cardiac diseases. Finally, the role of MRI has been extended to the identification and characterization of pulmonary nodules, the evaluation of airway diseases, and the characterization of pleural effusion.

Keywords: Magnetic resonance imaging; Thorax; Pulmonary medicine.

RESUMO

O objetivo deste estudo de revisão foi apresentar as principais aplicações da ressonância magnética (RM) no estudo do tórax, incluindo a descrição de novas técnicas. Na ultima década, esse método teve grande evolução, com novos equipamentos, incluindo a interconexão simultânea de bobinas e a movimentação da mesa simultaneamente à aquisição das imagens, além do advento de novas técnicas rápidas de aquisição de imagem, tais como imagem paralela e aquisição parcial de dados, com ou sem utilização de apneia, somando-se ainda a introdução de novos agentes de contraste. Todos esses avanços fizeram com que a RM tenha ganhado espaço no estudo de diferentes patologias do tórax, incluindo as doenças pulmonares. Atualmente, a RM pode ser considerada a modalidade de escolha para a avaliação das lesões mediastinais, da parede torácica e dos tumores do sulco superior, mas também pode auxiliar no diagnóstico de doenças pulmonares, pleurais, cardíacas e da vasculatura pulmonar. A angiografia pulmonar por RM pode ser utilizada na avaliação de várias doenças vasculares pulmonares, e seu papel no estudo do tromboembolismo vem crescendo. A RM cardíaca, devido à possibilidade de avaliação morfológica e funcional em um mesmo exame, também já faz parte da rotina clínica na investigação de muitas patologias cardíacas. Por fim, o papel da RM vem sendo ampliado para a identificação e caracterização de nódulos pulmonares, avaliação das doenças das vias aéreas e caracterização dos derrames pleurais.

Palavras-chave: Imagem por ressonância magnética; Tórax; Pneumologia.

Introdução

Tradicionalmente, as limitações da ressonância magnética (RM) de tórax estão relacionadas aos artefatos de movimento, causados pela respiração e pelos batimentos cardíacos, somando-se ainda os problemas relacionados à baixa quantidade de prótons de hidrogênio na cavidade torácica devido ao ar no espaço aéreo, como os artefatos de suscetibilidade magnética e a menor relação sinal ruído. Recentemente, porém, o método evoluiu sobremaneira, com novos equipamentos, incluindo a interconexão de bobinas e a movimentação da mesa simultaneamente à aquisição das imagens, associados ao advento de novas técnicas rápidas de aquisição de imagem, como a imagem paralela e a aquisição parcial de dados, com ou sem utilização de apneia, somando-se, ainda, a introdução de novos agentes de contraste. Todos esses avanços fizeram com que a RM tenha ganhado espaço no estudo de diferentes doenças do tórax, incluindo as pulmonares.

Descreveremos essas novas técnicas e aplicações da RM, muitas das
vezes comparando-as com a TC, mostrando sua equivalência ou superioridade na avaliação de certas doenças, mas sem se esquecer das limitações do método. Para um adequado exame de RM do tórax, é recomendado o uso de um aparelho de alto campo, com bobinas modernas e adequadas, protocolos dirigidos e bem executados, tudo isso associado a um mínimo de colaboração do paciente, sem contraindicação clínica (como o uso de marca-passo) e, se esse estiver sob monitorização ou suporte, que seja com equipamentos compatíveis com o aparelho de RM.

Dessa forma, o objetivo deste estudo é apresentar uma revisão atualizada sobre a utilização da RM no estudo do tórax, incluindo a descrição de novas técnicas para a avaliação não somente das estruturas mediastinais, mas também para o auxílio no diagnóstico de doenças pulmonares, pleurais e da vasculatura pulmonar.

Considerações técnicas

A TC ainda é o método de imagem mais utilizado na prática clínica para o estudo das doenças do tórax. Mesmo em situações em que a RM pode ser considerada superior, a TC acaba sendo realizada, principalmente devido a maior disponibilidade de equipamentos, maior rapidez na aquisição das imagens, maior difusão e aceitação entre clínicos e cirurgiões, assim como apresenta a correlação anatômica mais bem conhecida de modo geral. Portanto, as vantagens da TC são principalmente sua alta resolução espacial, rapidez e simplicidade na realização do exame. No entanto, a TC utiliza radiação ionizante e, em muitas situações, existe a necessidade da injeção de meio de contraste iodado, o que faz do método um procedimento não completamente inócuo.(1)

As vantagens da RM consistem especialmente na ausência de radiação ionizante, na maior resolução de contraste entre os tecidos normais e patológicos e na utilização de meios de contraste não iodados, principalmente os agentes a base de gadolínio (Gd), que tem menor incidência de reações adversas e complicações. A RM possui ainda maior sensibilidade ao uso do contraste paramagnético quando comparada à TC contrastada, sendo assim um método com maior acurácia nas avaliações vasculares, de perfusão tecidual e de lesões.(2)

A incidência total de reações adversas agudas ao Gd varia entre 0,14% e 0,28%. Casos de reações agudas mais graves, como laringoespasmo e choque anafilático, são extremamente raros.(3) Recentemente, foi descrita complicação crônica e grave, uma doença dermatológica rara, que ocorre apenas após o uso de tipos específicos de contraste de Gd e em pacientes com insuficiência renal [taxa de filtração glomerular < 30 mL  min−1  (1,73 m2)−1], denominada fibrose nefrogênica sistêmica (FNS).(4) No entanto, a seleção de meios de contraste mais seguros, associada à restrição do volume de contraste injetado em pacientes de risco, permitiu a redução acentuada do número de casos de FNS.(5)

Os princípios de formação de imagem na RM são complexos e estão disponíveis em textos dirigidos especificamente ao tema.(6) Porém, sucintamente, podemos descrever duas técnicas básicas de obtenção de imagem: as imagens de spin eco (SE) e as de gradiente eco (GE), cada uma com suas vantagens e desvantagens. Na RM, há basicamente três características teciduais que podemos identificar de acordo com a organização dos prótons de hidrogênio no tecido e sua resposta ao campo magnético e ao estímulo com radiofrequência: o tempo de relaxação T1, o tempo de relaxação T2 e a densidade de prótons de hidrogênio (DP). Essas características são responsáveis pelo brilho ou sinal da imagem, e, escolhendo-se a técnica e os parâmetros de cada sequência, podemos ponderar as imagens em T1, T2 e DP, permitindo a distinção entre os tecidos normais e os processos patológicos. Enquanto boa parte dos processos patológicos apresenta aumento do sinal T2 e redução do sinal T1, alguns elementos possuem sinais característicos que aumentam a especificidade do método, como o hipersinal T1 e T2 da meta-hemoglobina (hemorragia recente), da melanina e dos cistos e coleções com alto conteúdo proteico. Com sequências específicas, é possível ainda suprimir seletivamente o sinal de alguns tecidos, como o dos lipídios (sequências com supressão de gordura) ou do líquido cefalorraquidiano. Além disso, existem determinados artefatos típicos da RM, como a suscetibilidade magnética (detecção de calcificações e de hemossiderina), a troca química (identificação de esteatose hepática e adenomas adrenais) e a ausência de sinal do fluxo sanguíneo (flow void), os quais também colaboram sobremaneira para a caracterização tecidual.(6)

No estudo do tórax e abdome, há dificuldades adicionais para a realização dos exames de RM, principalmente em relação aos artefatos de movimento respiratório, cardíaco e vascular, assim como do peristaltismo intestinal. Essas dificuldades foram parcialmente superadas com o desenvolvimento das novas técnicas de imagem rápida. Novas sequências adquiridas em apneia, como a GE tridimensional (3D) e half-Fourier single-shot turbo spin-echo (HASTE; turbo SE com aquisição parcial dos dados) permitiram a redução da duração do exame e o aumento da qualidade da imagem de maneira prática e reprodutível.(7,8) A implementação dos gates respiratório e cardíaco (baseado no ecocardiograma) e as sequências de sangue escuro (melhorando o efeito flow void), também são utilizadas para compensar os artefatos de movimento.(8,9) Essas técnicas rápidas permitem que a RM tenha vantagens em relação aos demais métodos de imagem no acesso de parâmetros funcionais no tórax, como a perfusão pulmonar e a dinâmica respiratória.

Pulmões

Para a avaliação de neoplasia pulmonar, em algumas situações, a RM já é considerada superior a outros métodos de imagem, sendo também superior aos outros métodos na avaliação de algumas afecções do espaço pleural. As vias aéreas mais distais e o espaço alveolar também já podem ser avaliados com a utilização de novos meios de contraste, como o uso de gases nobres inalatórios. A identificação de lesões do parênquima pulmonar tem melhorado progressivamente com a utilização das novas técnicas rápidas de aquisição de imagem.

Câncer pulmonar

A RM tem se mostrado melhor ou equivalente à TC no estadiamento local do carcinoma broncogênico, sendo o método de imagem de escolha na avaliação e na determinação da ressecabilidade do tumor não pequenas células do sulco superior (tumor de Pancoast).(10)

O estudo por imagem é importante na determinação da extensão anatômica do tumor de Pancoast, devendo ser direcionado ao estadiamento da neoplasia segundo a classificação de tumor-nódulo-metástase (TNM; extensão local, linfonodos e metástases) para determinar o tratamento adequado. A TC tem papel principal na confirmação da presença da massa tumoral e para guiar a biópsia. As contraindicações absolutas para a ressecção cirúrgica do tumor de Pancoast incluem a invasão do plexo braquial em níveis acima de T1, a invasão de mais de 50% do corpo vertebral e a invasão da traqueia ou esôfago.(11) A RM permite estudar a extensão local da neoplasia com excelente conspicuidade, identificando-se a invasão direta da massa pulmonar para a gordura extrapleural e a transição cervicotorácica. A RM é superior à TC na determinação da invasão tumoral da parede torácica, da extensão para o canal e forames vertebrais e do envolvimento do plexo braquial. É importante a utilização dos gates respiratório e cardíaco, assim como de sequências T1 pós-contraste com supressão de gordura.(10,11)

Em geral, o carcinoma broncogênico aparece nas imagens de RM como lesão sólida irregular, de hipointensa a isointensa na ponderação em T1 e hiperintensa em T2, com realce intenso após a administração do contraste, sendo heterogêneo nas lesões maiores devido a áreas de necrose central. Mesmo nas lesões fora do sulco superior, a RM pode ser melhor na identificação da invasão direta das estruturas adjacentes pela neoplasia (Figura 1), incluindo o mediastino (janela aortopulmonar e demais espaços), traqueia, brônquios, parede torácica, diafragma (tumores dos ângulos costofrênico e cardiofrênico), coração (invasão do pericárdio ou miocárdio) e grandes vasos (aorta e artérias pulmonares).Na diferenciação entre os tumores classificados como T3 ou T4, a sensibilidade da RM é semelhante à da TC, mas a RM tem maior acurácia na identificação da invasão mediastinal e hilar. Sequências dinâmicas de cine-RM podem aumentar a especificidade na detecção da invasão da parede torácica e do pericárdio. Na detecção de linfonodos mediastinais suspeitos para metástases, novas técnicas de RM têm aumentado a sensibilidade do exame. A sequência short inversion time (TI) inversion recovery (técnica T2 com supressão de gordura por inversão e recuperação) permite diferenciar entre os linfonodos metastáticos e não metastáticos em pacientes com tumores não pequenas células, sendo os primeiros mais hiperintensos e com maior sinal T2.(12-15)



Os avanços recentes também já permitem a obtenção de imagens de RM do corpo inteiro (principalmente com sequências HASTE e short TI inversion recovery), e seu uso tem sido investigado como uma técnica de rastreamento para neoplasias, para a pesquisa de metástases e na doença aterosclerótica cerebral e coronariana, por meio de angiografia arterial por RM (angio-RM). Essas técnicas podem se tornar um método simples, de baixo risco e efetivo para a detecção de lesões à distância do câncer pulmonar, mas ainda precisam ter seu papel melhor estabelecido.(16,17)

Nódulos pulmonares

A resolução de contraste tecidual é uma grande vantagem da RM, e o alto
contraste entre o sinal de um nódulo e o parênquima pulmonar normal adjacente pode compensar as demais deficiências do método no estudo dos pulmões. Ainda, a maior sensibilidade da RM ao contraste paramagnético e a alta resolução temporal sem os malefícios da radiação ionizante também permitem uma avaliação da perfusão pulmonar e lesional, o que pode ser útil na caracterização de lesões focais. Dessa maneira, diferentes técnicas podem ser utilizadas não somente na detecção de nódulos pulmonares, mas também na diferenciação entre lesões benignas e malignas.

A RM na detecção de nódulos maiores que 4-5 mm tem acurácia superior à radiografia simples, e possui valores de especificidade e sensibilidade que chegam a 93%, quando comparados aos da TC de multidetectores.(18) A sensibilidade está diretamente relacionada ao tamanho do nódulo, sendo mais baixa para nódulos menores que 5 mm, mas chegando próximo a 100% na detecção de nódulos iguais ou maiores que 10 mm (Figura 2). Dessa maneira, principalmente com as sequências HASTE e GE 3D, a RM pulmonar deve ser utilizada para complementar estudos cardíacos, de lesões mediastinais ou da parede torácica, ou mesmo como uma alternativa à TC na pesquisa de metástases pulmonares. As principais limitações da RM no estudo das lesões focais pulmonares são, principalmente, nos casos de lesões calcificadas e na detecção da linfangite carcinomatosa.(18-20)



A RM dinâmica pós-contraste pode ser realizada para a caracterização do nódulo pulmonar solitário, sendo útil na diferenciação entre lesões benignas e malignas, com maior especificidade quando comparada à TC dinâmica e com acurácia semelhante a positron emission tomography (PET). A combinação da avaliação morfológica e de perfusão na diferenciação de nódulos solitários chega a ter sensibilidade de 100% e especificidade de 79%.(21,22) Os nódulos malignos são descritos com realce predominantemente nodular, intenso e rápido, detectado já na fase precoce (arterial), com maior pico de reforço e apresentando ainda lavagem do contraste (wash out) posteriormente. Os nódulos inflamatórios em atividade podem até apresentar realce precoce; no entanto, persiste ou há progressão do reforço nas fases tardias, enquanto a presença de wash out é descrita como um sinal altamente específico de malignidade. Já os nódulos benignos, incluindo hamartomas e granulomas, apresentam um realce predominantemente periférico, menos intenso e mais lento, enquanto os cistos não apresentam reforço.(22,23) Outras características morfológicas dos nódulos benignos também podem ser identificadas pela RM com boa acurácia, como o aspecto típico dos hamartomas, com alto sinal T2, focos de gordura e septações ou fendas internas.(24)

Novas técnicas semiquantitativas por RM foram descritas para a identificação e a caracterização dos nódulos pulmonares, como o cálculo dos tempos de relaxação T1 e T2, assim como da difusão.(25) A técnica de difusão avalia a mobilidade dos prótons de água livre e já possui papel estabelecido na detecção precoce dos infartos cerebrais e na avaliação de neoplasias e recidivas tumorais em neurologia. Novas técnicas de obtenção de imagens de difusão com apneia têm sido utilizadas no estudo de neoplasias abdominais, como as no fígado,(26) e parecem ser promissoras também na avaliação dos nódulos pulmonares, inclusive com a possibilidade de realização de exames de corpo inteiro, com acurácia semelhante ao PET - um método de avaliação funcional, mas que utiliza material radioativo.(27)

Doenças das vias aéreas

Atualmente, como alternativa às provas de função pulmonar (espirometria e DLCO), o único método de imagem utilizado na prática clínica é a cintilografia de ventilação. Entretanto, a medicina nuclear apresenta desvantagens, principalmente relacionadas ao uso de substâncias radioativas e à baixa resolução espacial, o que tem motivado a pesquisa por novos métodos, incluindo a RM. A utilização de oxigênio e gases nobres hiperpolarizados, principalmente hélio (3He) e xenônio (129Xe), como meio de contraste inalatório, permitiu um acentuado ganho de sinal com ótima resolução espacial nas imagens do parênquima pulmonar, e sua aplicabilidade tem sido demonstrada na avaliação morfológica e funcional das vias aéreas e do espaço alveolar.(28,29)

A RM com gás hiperpolarizado é capaz de demonstrar as áreas de defeito de ventilação nos pacientes enfisematosos, com boa correlação com a cintilografia, mas com maior resolução espacial, permitindo avaliar a distribuição e a morfologia do padrão regional de alteração, inclusive identificando pequenos defeitos ventilatórios periféricos, que podem estar associados a obstruções bronquiolares. A aquisição de imagens de difusão utilizando 3He permite ainda identificar alterações sutis da microestrutura pulmonar (destruição alveolar) com alta sensibilidade e boa correlação com os testes funcionais, podendo inclusive ser utilizada na detecção precoce do enfisema pulmonar em pacientes tabagistas assintomáticos.(30)

Outras doenças das vias aéreas, como asma, fibrose cística e bronquiectasias, também podem ser estudadas. Na asma, a utilização de 3He permite identificar as áreas de ventilação deficiente e mais proeminentes nos pacientes com asma grave do que nos pacientes com doença leve. Os defeitos ventilatórios regionais que melhoram após o uso de terapia broncodilatadora também podem ser demonstrados, e mesmo alterações sutis de ventilação são identificadas em pacientes asmáticos com testes funcionais normais.(31) As alterações de ventilação encontradas nos pacientes com fibrose cística apresentam excelente correlação com as alterações anatômicas da TCAR, sendo que a RM tem maior correlação com a espirometria e pode também mostrar a melhora dos defeitos ventilatórios após terapias específicas (Figura 3).(32)





Outras lesões do parênquima pulmonar

A RM é capaz de identificar alterações do parênquima pulmonar, como as consolidações e outras opacidades, e pode auxiliar em situações especiais, complementando a avaliação por radiografia e TC.(33)

A RM é útil na caracterização das neoplasias pulmonares centrais com pneumonia obstrutiva ou atelectasia associada, diferenciando a massa tumoral das alterações secundárias, essas apresentando maior intensidade de sinal nas sequências ponderadas em T2, com aspecto mais homogêneo, devido ao acúmulo de secreções e de fluido, e com padrão de reforço diferente da lesão neoplásica.(34) Na aspergilose pulmonar invasiva, a RM é mais específica que a TC na caracterização das consolidações associadas a infartos hemorrágicos secundários à invasão vascular (Figura 4). As hemorragias aparecem como áreas de hipersinal T1, mais comumente periféricas, enquanto as imagens pós-contraste permitem identificar as áreas de inflamação ativa, necrose central e formação de abscessos. As características peculiares de sinal dos produtos de degradação da hemoglobina e de gordura também permitem que a RM auxilie no diagnóstico dos infartos pulmonares hemorrágicos, das hemorragias alveolares, como na síndrome de Goodpasture, e das pneumonias lipoides associadas à aspiração de óleo mineral.(35)




Pleura

A radiografia simples do tórax permite a identificação de alterações no espaço pleural, mas é bastante limitada na caracterização do conteúdo pleural e no envolvimento das pleuras. Assim sendo, em muitas situações, faz-se necessário a avaliação complementar com outros métodos, incluindo a ultrassonografia (US), TC e RM. A radiografia mostra-se ineficiente principalmente na avaliação dos derrames complexos e na diferenciação entre doença pleural benigna e maligna, situação em que a TC e a RM são indicadas.

Nas imagens de TC e RM, os achados mais sugestivos de doença pleural maligna são o envolvimento da pleura mediastinal, espessamento pleural circunferencial, nodularidade, irregularidade do contorno pleural e infiltração da parede torácica ou do diafragma. Baseado nesses sinais, a RM tem acurácia semelhante à TC para a detecção de malignidade. Entretanto, além das alterações morfológicas, as características de sinal e de reforço pós-contraste da RM podem aumentar sua especificidade em relação à da TC.(36) As alterações malignas tendem a ter um sinal T2 mais elevado e um reforço mais intenso pelo Gd, podendo ser utilizado o sinal da musculatura intercostal adjacente para a comparação, e, quando associadas essas características de sinal às alterações morfológicas, a RM chega a ter sensibilidade de 100% e especificidade de 93%. A RM é superior ainda na identificação da invasão da parede torácica e do diafragma, sendo, portanto, o método de escolha na avaliação da ressecabilidade de lesões pleurais malignas.(36)

Algumas vantagens da TC na avaliação pleural ainda persistem, como sua maior sensibilidade na detecção de calcificações pleurais, sugestivas de benignidade, e na identificação de destruição óssea por lesão maligna, assim como para guiar a biópsia pleural.(37)

As causas mais comuns de doença pleural maligna são as metástases (mama, pulmão e estômago), o mesotelioma maligno e a extensão pleural do carcinoma broncogênico. Já as doenças pleurais benignas mais comuns incluem a fibrose pleural difusa, a tuberculose e a asbestose. Tradicionalmente, o espessamento pleural maior que 1,0 cm é considerado como critério de malignidade, mas nem todos os estudos com TC e RM demonstraram a especificidade desse sinal. Como já descrito, a doença pleural maligna tende a envolver toda a superfície pleural, enquanto os espessamentos pleurais reativos raramente afetam a pleura mediastinal, com exceção dos casos de empiema tuberculoso.(36,37)

A RM é superior à radiografia e à US na detecção e na caracterização dos derrames pleurais, os quais normalmente aparecem com alto sinal T2 e baixo sinal T1, variando de acordo com o conteúdo de água e proteínas. Em comparação com a TC, a RM é também superior, principalmente na caracterização dos derrames complexos, melhor demonstrando as septações em derrames loculados, assim como na identificação de exsudatos e hemorragias, que demonstram aumento do sinal T1, e de sangramentos antigos, com áreas periféricas de hipossinal por deposição de hemossiderina (Figura 5).(38)





Outras lesões pleurais benignas podem ser adequadamente identificadas e caracterizadas pela RM. Os lipomas apresentam o característico hipersinal T1 e T2, com perda de sinal nas sequências de supressão de gordura. Os fibromas pleurais são lesões bem delimitadas que apresentam sinal T1 intermediário, hipersinal T2 e realce pós-contraste. A diferenciação dos fibromas com as atelectasias redondas é feita identificando-se o sinal da cauda de cometa, que representa o trajeto broncovascular em direção ao parênquima atelectasiado, associado ao
realce intenso e homogêneo pós-contraste.(37-39)

Circulação pulmonar

Utilizando as novas técnicas de angio-RM, principalmente as sequências GE 3D pós-Gd, atualmente já é possível identificar-se até as pequenas artérias pulmonares subsegmentares (de 4ª ordem) de um pulmão normal. Essa técnica permite a obtenção de imagens com alta resolução temporal, adquiridas a cada 1,0-1,5 segundos, que podem ser utilizadas também para o estudo de perfusão do parênquima pulmonar (Figura 6).(40) As sequências GE que mostram o fluxo sanguíneo com alto sinal, também chamadas de sangue brilhante (sequências GE balanceadas, cine-RM e contraste de fase), permitem a avaliação dos grandes vasos torácicos sem a necessidade da administração de contraste, além de possibilitarem a avaliação dinâmica e a mensuração do fluxo nas artérias pulmonares e aorta, permitindo assim estudos não somente morfológicos, mas com o acréscimo de informações funcionais.(41)




Tromboembolismo e hipertensão pulmonar

A angiografia por subtração digital (ASD) pulmonar ainda é considerada o
exame padrão ouro no diagnóstico do tromboembolismo pulmonar (TEP); porém, dentre as técnicas não invasivas, a mais utilizada é a TC, que chega a ter sensibilidade > 80% e especificidade > 90%. Novos avanços na angio-RM têm tornado esse método uma alternativa promissora no estudo da TEP aguda e crônica.(42,43)

A utilização da angio-RM de alta resolução espacial pode ter acurácia diagnóstica semelhante à da TC helicoidal na detecção de TEP aguda, principalmente na identificação de êmbolos nas artérias pulmonares lobares e segmentares, com sensibilidades de até 100% e 84%, respectivamente.(44) Os êmbolos são identificados como imagens constantes de falha de enchimento (deficiência de contrastação) no interior da artéria ou como uma interrupção abrupta no sinal. As diferentes possibilidades de reconstrução multiplanar das imagens 3D podem facilitar o diagnóstico e aumentar ainda mais a sensibilidade do método.
Sinais secundários de TEP também são identificados, incluindo os infartos pulmonares. A utilização de novos agentes de contraste que permanecem por mais tempo na macrovasculatura permite ainda a obtenção de imagens dos membros inferiores em busca de trombose venosa profunda, adicionalmente ao estudo da vasculatura pulmonar, em um mesmo exame.(45) Novas técnicas de perfusão-ventilação parecem ser promissoras em tornar a RM uma alternativa robusta e eficaz, não somente no estudo do TEP, mas também em outras doenças com alterações da perfusão pulmonar, como o enfisema.(46)

Mais recentemente, um estudo prospectivo multicêntrico mostrou que muitos centros ainda têm dificuldades em obter imagens adequadas de angio-RM dos vasos pulmonares, sendo sugerido que apenas os centros que realizam o exame rotineiramente e com qualidade adequada poderiam considerar a RM como alternativa para o diagnostico de TEP aguda, principalmente nos pacientes com contraindicações aos testes padrões.(47) Provavelmente, com a disseminação do método e com a evolução das técnicas, em breve a RM poderá ser utilizada com maior confiabilidade e reprodutibilidade no diagnóstico de TEP aguda, inclusive na rotina clínica das principais instituições de saúde.

Na doença tromboembólica crônica, é possível identificar as alterações que a diferenciam da embolia aguda. A angio-RM identifica as alterações da TEP crônica, tais como a irregularidade das paredes do vaso, o espessamento devido ao trombo côncavo e aderido à parede, as traves e bandas intraluminais, o afilamento proximal-distal anormal e a assimetria ou a ausência dos vasos segmentares. A angio-RM é similar a ASD na detecção de obstrução arterial crônica até o nível das artérias segmentares e é superior ao delinear o início exato do material trombótico no interior do vaso.(48)

Quando associada às imagens de perfusão pulmonar, a angio-RM pode auxiliar na diferenciação da hipertensão pulmonar tromboembólica crônica (HPTC) da hipertensão pulmonar primária (HPP). Além dos sinais de hipertensão pulmonar, como a cardiomegalia e a ectasia do tronco e das artérias pulmonares, podemos identificar os sinais de doença arterial obstrutiva crônica. As alterações perfusionais do parênquima pulmonar também são diferentes, com o defeito de perfusão podendo ser segmentar ou circunscrito na HPTC e irregular ou difuso na HPP. A técnica de perfusão pode fornecer informações importantes sobre a microcirculação pulmonar nos casos selecionados para endarterectomia ou mesmo para cirurgia de ressecção segmentar.(49)

Medidas de fluxo e de velocidade nas artérias pulmonares e o débito cardíaco direito e esquerdo podem ser obtidos com baixa variabilidade inter e intraobservador. Na hipertensão pulmonar, a RM cardíaca demonstra a hipertrofia e a dilatação do ventrículo direito, com redução da sua fração de ejeção sem disfunção significativa do ventrículo esquerdo, assim como a presença de movimentação paradoxal do septo interventricular. A técnica de contraste de fase fornece uma análise do padrão de fluxo que pode servir de estimativa para a pressão arterial pulmonar média e para a resistência vascular pulmonar, tornando-se uma alternativa às mensurações invasivas por cateterismo cardíaco direito.(48,49)

Outras alterações vasculares no pulmão

A malformação arteriovenosa (MAV) é observada como uma lesão sólida com intensidade de sinal heterogênea, apresentando áreas de ausência de sinal nos vasos com fluxo (flow void) e áreas com alto sinal T1 em vasos com trombose e focos de hemorragia. Após a administração do contraste paramagnético, a massa reforça intensamente, e a RM permite identificar facilmente a artéria nutridora e a veia de drenagem, ambas dilatadas, diferenciando a MAV de outras lesões pulmonares. A RM permite a detecção e o estadiamento das MAVs pulmonares com alta conspicuidade, podendo inclusive ser utilizada como rastreamento em pacientes com condições predisponentes, como na telangiectasia hemorrágica hereditária.(50)

O sequestro pulmonar caracteriza-se por uma massa de tecido pulmonar não funcionante que não se comunica com a árvore traqueobrônquica. É identificado na RM como uma lesão com alto sinal T2, sinal T1 intermediário a alto, intenso realce pós-contraste e apresentando uma artéria nutridora atípica, sistêmica e originária da aorta torácica ou abdominal. A angio-RM é capaz de identificar essa artéria anômala, evitando, assim, a necessidade de angiografia convencional.(51)

A RM pode ser utilizada na avaliação de hipoplasia e aplasia pulmonar, inclusive no diagnóstico intrauterino. No feto, identifica-se o pulmão afetado com menor volume e sinal diferente em relação ao pulmão normal. Nas crianças e adultos, a angio-RM demonstra a vascularização anormal do pulmão afetado, principalmente a ausência ou a acentuada redução de calibre da artéria pulmonar, podendo também substituir a angiografia convencional.(52,53)

Mediastino

A RM pode ser considerada hoje o método de escolha na avaliação das massas mediastinais. As neoplasias mediastinais são diferenciadas em primárias e secundárias, essas últimas mais comumente representadas por linfonodomegalias, mas outras lesões não neoplásicas também podem simular massas mediastinais, como os aneurismas da aorta torácica e o bócio mergulhante.

As lesões do timo estão entre as mais frequentes causas de massas mediastinais, sendo a maioria benigna, representada principalmente por timomas, timolipomas e hiperplasia tímica. Os timomas benignos apresentam baixo sinal T1, alto sinal T2, às vezes com componentes císticos, e sua cápsula contínua pode ser demonstrada na RM, enquanto o timoma invasivo apresenta descontinuidade da cápsula, aspecto multinodular e invasão das estruturas adjacentes. O carcinoma tímico é menos frequente e apresenta sinal heterogêneo, com áreas císticas irregulares, necrose e hemorragia. O timolipoma contém gordura, facilmente identificada pela RM. A hiperplasia tímica normalmente representa uma glândula aumentada, com morfologia e intensidade de sinal conservada, e a RM pode auxiliar na diferenciação entre hiperplasia e tumores em casos duvidosos ou atípicos.(54,55)

Os tumores de células germinativas apresentam predileção pelo mediastino anterior, representando aproximadamente 15% das massas mediastinais, sendo até 80% dessas benignas e representadas principalmente pelos teratomas. Enquanto a RM identifica os diferentes tecidos do teratoma benigno, em uma lesão bem delimitada com componente sólido, cístico e gorduroso, os tumores malignos de células germinativas tendem a apresentar-se como grandes lesões irregulares e heterogêneas, com áreas de necrose e hemorragia. As lesões císticas congênitas são classificadas de acordo com sua topografia e são representadas principalmente pelos cistos tímicos (mediastino anterior), broncogênicos e pericárdicos (mediastino médio), assim como os de duplicação esofágica e neurogênicos (mediastino posterior). O cisto é uma lesão bem delimitada, com baixo sinal T1 (variável com o conteúdo proteico), alto sinal T2 e ausência de realce pós-contraste.(56)

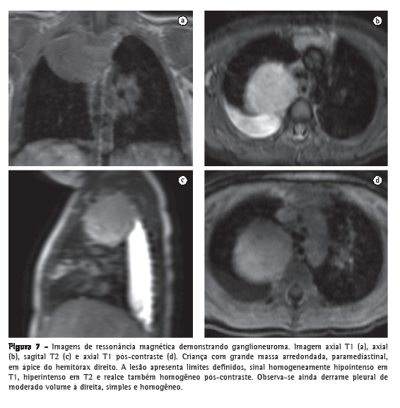
Os tumores neurogênicos são encontrados mais comumente no mediastino posterior, na região paravertebral, e muitas vezes identifica-se sua relação com o forame neural (Figura 7). As lesões podem ser originárias do nervo periférico, benignas (neurofibroma e schwannoma) ou malignas (neurofibrossarcoma), ou do gânglio simpático (ganglioneuroma, ganglioneuroblastoma e neuroblastoma). As lesões benignas são mais comumente caracterizadas como massas esféricas ou lobuladas, com alto sinal T2, reforço intenso pós-contraste e com aspecto homogêneo, com exceção do neuroblastoma, que pode ser mais heterogêneo, inclusive com calcificações. Já as lesões malignas tendem a ser maiores, mais irregulares, mais heterogêneas e com sinais de invasão da medula e da coluna torácica.(57)





As causas mais comuns de linfonodopatia mediastinal são a doença metastática e o linfoma primário, principalmente a doença de Hodgkin. A linfonodopatia é comumente descrita como o aumento das dimensões do linfonodo, com menor diâmetro maior que 1,0 cm, de maneira semelhante à TC. A RM é capaz de identificar os linfonodos patológicos mediastinais e hilares com boa acurácia, sendo superior à TC na delimitação das massas confluentes e no envolvimento das estruturas adjacentes, mas é inferior na detecção de calcificações, que são um sinal habitual de doença benigna.(16,17,58)

Coração

Nos últimos anos, a RM cardíaca evoluiu de uma ferramenta de pesquisa científica para um método de imagem com aplicação clínica que é seguro, eficaz e com boa relação custo-benefício. A RM cardíaca pode ser realizada em diferentes modalidades de acordo com a indicação clínica, incluindo estudos morfológicos, funcionais, perfusionais e de viabilidade miocárdica. O método fornece detalhes anatômicos nas cardiopatias congênitas, na pesquisa da displasia arritmogênica do ventrículo direito e na avaliação de massas cardíacas, diferenciando, por exemplo, trombos de lesões neoplásicas. É o método mais preciso para a quantificação de massa, volume e função dos ventrículos direito e esquerdo. Devido a sua excelente reprodutibilidade, a RM é ótima na avaliação da resposta terapêutica sobre a função ventricular. A perfusão miocárdica com a primeira passagem do meio de contraste paramagnético se tornou uma alternativa eficiente à cintilografia na detecção de doença aterosclerótica coronariana, podendo ser realizada em repouso ou utilizando o estresse farmacológico. As imagens de realce tardio pós-contraste são utilizadas para a identificação de áreas de fibrose em miocárdio inviável após o infarto (Figura 8), sendo também um método robusto no estudo de outras miocardiopatias não isquêmicas, tais como miocardiopatia dilatada, miocardiopatia hipertrófica, sarcoidose e miocardite.(59)





As técnicas de cine-RM e angio-RM permitem ainda o estudo da aorta torácica e das artérias pulmonares, avaliando, por exemplo, a repercussão na função cardíaca do aneurisma/estenose da aorta e da hipertensão pulmonar, assim como nas doenças valvares. Nas doenças do pericárdio, como a pericardite constritiva, as consequências hemodinâmicas no coração podem ser aferidas com boa acurácia. A angiografia coronariana por RM ainda é considerada inferior ao estudo com TC de multidetectores; porém, pode ser utilizada na avaliação de anomalias na configuração anatômica das artérias coronarianas.(60)

Considerações finais

A RM tem se tornado um método cada vez mais utilizado na avaliação por imagem das doenças do tórax. Na avaliação das lesões mediastinais, da parede torácica e dos tumores do sulco superior, já é considerada a modalidade de escolha. A RM cardíaca, devido à possibilidade de avaliação morfológica e funcional em um mesmo exame, já faz parte da rotina clínica na investigação de muitas doenças cardíacas. O desenvolvimento de novas técnicas rápidas de aquisição de imagem, utilizando apneia ou compensação respiratória e cardíaca, sequências HASTE e sequências GE 3D pós-contraste endovenoso ou com novos meios de contraste, trouxeram grandes avanços no estudo das demais estruturas torácicas, incluindo o parênquima e a vasculatura pulmonar. A angio-RM já faz parte da rotina clínica na avaliação de algumas doenças e seu papel no estudo de TEP vem crescendo. A detecção de lesões pulmonares também já é possível, e a utilização da RM na caracterização de nódulos, massas e doenças das vias aéreas deve se tornar uma alternativa rápida e acessível à avaliação por TC. Por fim, estudos funcionais da vascularização pulmonar (perfusão) e das vias aéreas (ventilação e trocas gasosas) estão sendo investigados e deverão ter um
papel na rotina clínica.


Referências


1. Semelka RC, Armao DM, Elias J Jr, Huda W. Imaging strategies to reduce the risk of radiation in CT studies, including selective substitution with MRI. J Magn Reson Imaging. 2007;25(5):900-9.

2. Semelka RC, Cem Balci N, Wilber KP, Fisher LL, Brown MA,
Gomez-Caminero A, et al. Breath-hold 3D gradient-echo MR imaging of the lung parenchyma: evaluation of reproducibility of image quality in normals and preliminary observations in patients with disease. J Magn Reson Imaging. 2000;11(2):195-200.

3. Abujudeh HH, Kosaraju VK, Kaewlai R. Acute adverse reactions to gadopentetate dimeglumine and gadobenate dimeglumine: experience with 32,659 injections. AJR Am J Roentgenol. 2010;194(2):430-4.

4. Elias Jr J, Santos AC, Koenigkam-Santos M, Nogueira-Barbosa MH, Muglia VF. Complicações do uso intravenoso de agentes de contraste à base de gadolínio para ressonância magnética. Radiol Bras. 2008;41(4):263-7

5. Altun E, Martin DR, Wertman R, Lugo-Somolinos A, Fuller ER 3rd, Semelka RC. Nephrogenic systemic fibrosis: change in incidence following a switch in gadolinium agents and adoption of a gadolinium policy--report from two U.S. universities. Radiology. 2009;253(3):689-96.

6. Pooley RA. AAPM/RSNA physics tutorial for residents: fundamental physics of MR imaging. Radiographics. 2005;25(4):1087-99.

7. Karabulut N, Martin DR, Yang M, Tallaksen RJ. MR imaging of the chest using a contrast-enhanced breath-hold modified three-dimensional gradient-echo technique: comparison with two-dimensional gradient-echo technique and multidetector CT. AJR Am J Roentgenol. 2002;179(5):1225-33.

8. Hatabu H, Gaa J, Tadamura E, Edinburgh KJ, Stock KW, Garpestad E, et al. MR imaging of pulmonary parenchyma with a half-Fourier single-shot turbo spin-echo (HASTE) sequence. Eur J Radiol. 1999;29(2):152-9.

9. Yamashita Y, Yokoyama T, Tomiguchi S, Takahashi M, Ando M. MR imaging of focal lung lesions: elimination of flow and motion artifact by breath-hold ECG-gated and black-blood techniques on T2-weighted turbo SE and STIR sequences. J Magn Reson Imaging. 1999;9(5):691-8.

10. Bilsky MH, Vitaz TW, Boland PJ, Bains MS, Rajaraman V, Rusch VW. Surgical treatment of superior sulcus tumors with spinal and brachial plexus involvement. J Neurosurg. 2002;97(3 Suppl):301-9

11. Bruzzi JF, Komaki R, Walsh GL, Truong MT, Gladish GW, Munden RF, et al. Imaging of non-small cell lung cancer of the superior
sulcus: part 2: initial staging and assessment of resectability and therapeutic response. Radiographics. 2008;28(2):561-72.

12. Sakai S, Murayama S, Murakami J, Hashiguchi N, Masuda K. Bronchogenic carcinoma invasion of the chest wall: evaluation with dynamic cine MRI during breathing. J Comput Assist Tomogr. 1997;21(4):595-600.

13. Takenaka D, Ohno Y, Hatabu H, Ohbayashi C, Yoshimura M, Ohkita Y, et al. Differentiation of metastatic versus non-metastatic mediastinal lymph nodes in patients with non-small cell lung cancer using respiratory-triggered short inversion time inversion recovery (STIR) turbo spin-echo MR imaging. Eur J Radiol. 2002;44(3):216-24.

14. Both M, Schultze J, Reuter M, Bewig B, Hubner R, Bobis I, et al. Fast T1- and T2-weighted pulmonary MR-imaging in patients with
bronchial carcinoma. Eur J Radiol. 2005;53(3):478-88.

15. Laurent F, Montaudon M, Corneloup O. CT and MRI of Lung Cancer. Respiration. 2006;73(2):133-42.

16. Goehde SC, Hunold P, Vogt FM, Ajaj W, Goyen M, Herborn CU, et al. Full-body cardiovascular and tumor MRI for early detection of
disease: feasibility and initial experience in 298 subjects. AJR Am J Roentgenol. 2005;184(2):598-611.

17. Lauenstein TC, Goehde SC, Herborn CU, Goyen M, Oberhoff C, Debatin JF, et al. Whole-body MR imaging: evaluation of patients for
metastases. Radiology. 2004 ;233(1):139-48.

18. Vogt FM, Herborn CU, Hunold P, Lauenstein TC, Schröder T, Debatin JF, et al. HASTE MRI versus chest radiography in the detection of pulmonary nodules: comparison with MDCT. AJR Am J Roentgenol. 2004;183(1):71-8.

19. Feuerstein IM, Jicha DL, Pass HI, Chow CK, Chang R, Ling A, et al. Pulmonary metastases: MR imaging with surgical correlation--a prospective study. Radiology. 1992;182(1):123-9.

20. Kersjes W, Mayer E, Buchenroth M, Schunk K, Fouda N, Cagil H. Diagnosis of pulmonary metastases with turbo-SE MR imaging. Eur Radiol. 1997;7(8):1190-4.

21. Gückel C, Schnabel K, Deimling M, Steinbrich W. Solitary pulmonary nodules: MR evaluation of enhancement patterns with contrast-enhanced dynamic snapshot gradient-echo imaging. Radiology. 1996;200(3):681-6.

22. Ohno Y, Hatabu H, Takenaka D, Adachi S, Kono M, Sugimura K. Solitary pulmonary nodules: potential role of dynamic MR imaging in management initial experience. Radiology. 2002;224(2):503-11.

23. Schaefer JF, Vollmar J, Schick F, Vonthein R, Seemann MD, Aebert H, et al. Solitary pulmonary nodules: dynamic contrast-enhanced MR imaging--perfusion differences in malignant and benign lesions. Radiology. 2004;232(2):544-53.

24. Park KY, Kim SJ, Noh TW, Cho SH, Lee DY, Paik HC, et al. Diagnostic efficacy and characteristic feature of MRI in pulmonary hamartoma: comparison with CT, specimen MRI, and pathology. J Comput Assist Tomogr. 2008;32(6):919-25.

25. Satoh S, Kitazume Y, Ohdama S, Kimula Y, Taura S, Endo Y. Can malignant and benign pulmonary nodules be differentiated with diffusion-weighted MRI? AJR Am J Roentgenol. 2008;191(2):464-70.

26. Xu PJ, Yan FH, Wang JH, Lin J, Ji Y. Added value of breathhold diffusion-weighted MRI in detection of small hepatocellular carcinoma lesions compared with dynamic contrast-enhanced MRI alone using receiver operating characteristic curve analysis. J Magn Reson Imaging. 2009;29(2):341-9.

27. Mori T, Nomori H, Ikeda K, Kawanaka K, Shiraishi S, Katahira K, et al. Diffusion-weighted magnetic resonance imaging for diagnosing malignant pulmonary nodules/masses: comparison with positron emission tomography. J Thorac Oncol. 2008;3(4):358-64.

28. Möller HE, Chen XJ, Saam B, Hagspiel KD, Johnson GA, Altes TA, et al. MRI of the lungs using hyperpolarized noble gases. Magn Reson Med. 2002;47(6):1029-51.

29. Ley-Zaporozhan J, Ley S, Eberhardt R, Kauczor HU, Heussel CP. Visualization of morphological parenchymal changes in emphysema: comparison of different MRI sequences to 3D-HRCT. Eur J Radiol. 2010;73(1):43-9.

30. Fain SB, Panth SR, Evans MD, Wentland AL, Holmes JH, Korosec FR, et al. Early emphysematous changes in asymptomatic smokers: detection with 3He MR imaging. Radiology. 2006;239(3):875-83.

31. Altes TA, Powers PL, Knight-Scott J, Rakes G, Platts-Mills TA, de Lange EE, et al. Hyperpolarized 3He MR lung ventilation imaging in asthmatics: preliminary findings. J Magn Reson Imaging. 2001;13(3):378-84.

32. Bannier E, Cieslar K, Mosbah K, Aubert F, Duboeuf F, Salhi Z, et al. Hyperpolarized 3He MR for sensitive imaging of ventilation function and treatment efficiency in young cystic fibrosis patients with normal lung function. Radiology. 2010;255(1):225-32.

33. Eibel R, Herzog P, Dietrich O, Rieger CT, Ostermann H, Reiser MF, et al. Pulmonary abnormalities in immunocompromised patients: comparative detection with parallel acquisition MR imaging and thin-section helical CT. Radiology. 2006;241(3):880-91.

34. Bourgouin PM, McLoud TC, Fitzgibbon JF, Mark EJ, Shepard JA, Moore EM, et al. Differentiation of bronchogenic carcinoma from postobstructive pneumonitis by magnetic resonance imaging: histopathologic correlation. J Thorac Imaging. 1991;6(2):22-7.

35. Leutner CC, Gieseke J, Lutterbey G, Kuhl CK, Glasmacher A, Wardelmann E, et al. MR imaging of pneumonia in immunocompromised patients: comparison with helical CT. AJR Am J Roentgenol. 2000;175(2):391-7.

36. Hierholzer J, Luo L, Bittner RC, Stroszczynski C, Schröder RJ, Schoenfeld N, et al. MRI and CT in the differential diagnosis of pleural disease. Chest. 2000;118(3):604-9.

37. Müller NL. Imaging of the pleura. Radiology. 1993;186(2):297-309.

38. Davis SD, Henschke CI, Yankelevitz DF, Cahill PT, Yi Y. MR imaging of pleural effusions. J Comput Assist Tomogr. 1990;14(2):192-8.

39. Falaschi F, Battolla L, Mascalchi M, Cioni R, Zampa V, Lencioni R, et al. Usefulness of MR signal intensity in distinguishing benign from malignant pleural disease. AJR Am J Roentgenol. 1996;166(4):963-8.

40. Ohno Y, Hatabu H, Murase K, Higashino T, Kawamitsu H, Watanabe H, et al. Quantitative assessment of regional pulmonary perfusion in the entire lung using three-dimensional ultrafast dynamic contrast-enhanced magnetic resonance imaging: Preliminary experience in 40 subjects. J Magn Reson Imaging. 2004;20(3):353-65.

41. Nogami M, Ohno Y, Koyama H, Kono A, Takenaka D, Kataoka T, et al. Utility of phase contrast MR imaging for assessment of pulmonary flow and pressure estimation in patients with pulmonary hypertension: comparison with right heart catheterization and echocardiography. J Magn Reson Imaging. 2009;30(5):973-80.

42. Oudkerk M, van Beek EJ, Wielopolski P, van Ooijen PM, Brouwers-Kuyper EM, Bongaerts AH, et al. Comparison of contrast-enhanced magnetic resonance angiography and conventional pulmonary angiography for the diagnosis of pulmonary embolism: a prospective study. Lancet. 2002;359(9318):1643-7.

43. Altun E, Heredia V, Pamuklar E, Zapparoli M, Semelka RC. Feasibility of post-gadolinium three-dimensional gradient-echo sequence to evaluate the pulmonary arterial vasculature. Magn Reson Imaging. 2009;27(9):1198-207.

44. van Beek EJ, Wild JM, Fink C, Moody AR, Kauczor HU, Oudkerk M. MRI for the diagnosis of pulmonary embolism. J Magn Reson Imaging. 2003;18(6):627-40.

45. Hoffmann U, Loewe C, Bernhard C, Weber M, Cejna M, Herold
CJ, et al. MRA of the lower extremities in patients with pulmonary embolism using a blood pool contrast agent: initial experience. J Magn
Reson Imaging. 2002;15(4):429-37.

46. Nakagawa T, Sakuma H, Murashima S, Ishida N, Matsumura K, Takeda K. Pulmonary ventilation-perfusion MR imaging in clinical patients. J Magn Reson Imaging. 2001;14(4):419-24.

47. Stein PD, Chenevert TL, Fowler SE, Goodman LR, Gottschalk A, Hales CA, et al. Gadolinium-enhanced magnetic resonance angiography for pulmonary embolism: a multicenter prospective study (PIOPED III). Ann Intern Med. 2010;152(7):434-43, W142-3.

48. Kreitner KF, Kunz RP, Ley S, Oberholzer K, Neeb D, Gast KK, et al. Chronic thromboembolic pulmonary hypertension - assessment by magnetic resonance imaging. Eur Radiol. 2007;17(1):11-21.

49. Sanz J, Kuschnir P, Rius T, Salguero R, Sulica R, Einstein AJ, et al. Pulmonary arterial hypertension: noninvasive detection with phase-contrast MR imaging. Radiology. 2007 Apr;243(1):70-9.

50. Schneider G, Uder M, Koehler M, Kirchin MA, Massmann A, Buecker A, et al. MR angiography for detection of pulmonary arteriovenous malformations in patients with hereditary hemorrhagic telangiectasia. AJR Am J Roentgenol. 2008;190(4):892-901.

51. Sancak T, Cangir AK, Atasoy C, Ozdemir N. The role of contrast enhanced three-dimensional MR angiography in pulmonary sequestration. Interact Cardiovasc Thorac Surg. 2003;2(4):480-2.

52. Mutlu H, Basekim C, Silit E, Pekkafali Z, Ozturk E, Karaman B, et al. Gadolinium-enhanced 3D MR angiography of pulmonary hypoplasia and aplasia. AJR Am J Roentgenol. 2006;187(2):398-403.

53. Obenauer S, Maestre LA. Fetal MRI of lung hypoplasia: imaging findings. Clin Imaging. 2008;32(1):48-50.

54. Sakai F, Sone S, Kiyono K, Kawai T, Maruyama A, Ueda H, et al. MR imaging of thymoma: radiologic-pathologic correlation. AJR Am J Roentgenol. 1992;158(4):751-6.

55. Inaoka T, Takahashi K, Mineta M, Yamada T, Shuke N, Okizaki A, et al. Thymic hyperplasia and thymus gland tumors: differentiation with chemical shift MR imaging. Radiology. 2007;243(3):869-76.

56. Erasmus JJ, McAdams HP, Donnelly LF, Spritzer CE. MR imaging of mediastinal masses. Magn Reson Imaging Clin N Am. 2000;8(1):59-89.

57. Tanaka O, Kiryu T, Hirose Y, Iwata H, Hoshi H. Neurogenic tumors of the mediastinum and chest wall: MR imaging appearance. J Thorac Imaging. 2005;20(4):316-20.

58. Hasegawa I, Eguchi K, Kohda E, Tanami Y, Mori T, Hatabu H, et al. Pulmonary hilar lymph nodes in lung cancer: assessment with 3D-dynamic contrast-enhanced MR imaging. Eur J Radiol. 2003;45(2):129-34.

59. Earls JP, Ho VB, Foo TK, Castillo E, Flamm SD. Cardiac MRI: recent progress and continued challenges. J Magn Reson Imaging. 2002;16(2):111-27.

60. Marcu CB, Beek AM, van Rossum AC. Clinical applications of cardiovascular magnetic resonance imaging. CMAJ. 2006;175(8):911-7.




* Trabalho realizado no Centro de Ciências das Imagens e Física Médica, Hospital das Clínicas da Faculdade de Medicina de Ribeirão Preto, Universidade de São Paulo - HC-FMRP-USP - Ribeirão Preto (SP) Brasil.
Endereço para correspondência: Marcel Koenigkam Santos. CCIFM - HCFMRPUSP, Avenida Bandeirantes, 3900, Campus Universitário Monte Alegre, CEP 14048-900, Ribeirão Preto, SP, Brasil.
Tel 55 16 3602-2640. E-mail: marcelk46@yahoo.com.br
Apoio financeiro: Nenhum.
Recebido para publicação em 3/5/2010. Aprovado, após revisão, em 3/9/2010.



Sobre os autores

Marcel Koenigkam Santos
Médico Assistente Radiologista. Hospital das Clínicas da Faculdade de Medicina de Ribeirão Preto, Universidade de São Paulo - HC-FMRP-USP - Ribeirão Preto (SP) Brasil.

Jorge Elias Júnior
Professor. Divisão de Radiologia, Departamento de Clínica Médica, Faculdade de Medicina de Ribeirão Preto, Universidade de São Paulo - FMRP-USP - Ribeirão Preto (SP) Brasil.

Fernando Marum Mauad
Médico Assistente Radiologista. Hospital das Clínicas da Faculdade de Medicina de Ribeirão Preto, Universidade de São Paulo - HC-FMRP-USP - Ribeirão Preto (SP) Brasil.

Valdair Francisco Muglia
Professor. Divisão de Radiologia, Departamento de Clínica Médica, Faculdade de Medicina de Ribeirão Preto, Universidade de São Paulo - FMRP-USP - Ribeirão Preto (SP) Brasil.

Clóvis Simão Trad
Professor Aposentado. Divisão de Radiologia, Departamento de Clínica Médica, Faculdade de Medicina de Ribeirão Preto, Universidade de São Paulo - FMRP-USP - Ribeirão Preto (SP) Brasil.

Indexes

Development by:

© All rights reserved 2025 - Jornal Brasileiro de Pneumologia