Continuous and bimonthly publication
ISSN (on-line): 1806-3756

Licença Creative Commons
55426
Views
Back to summary
Open Access Peer-Reviewed
Case Series

Primary ciliary dyskinesia: Considerations regarding six cases of Kartagener syndrome

Discinesia ciliar primária: Considerações sobre seis casos da síndrome de Kartagener

Hugo Alejandro Vega Ortega, Nelson de Araujo Vega, Bruno Quirino dos Santos, Guilherme Tavares da Silva Maia

ABSTRACT

Primary ciliary dyskinesia (PCD), previously known as immotile cilia syndrome, is an autosomal recessive hereditary disease that includes various patterns of ciliary ultrastructural defects. The most serious form is Kartagener syndrome (KS), which accounts for 50% of all cases of PCD. The incidence of PCD ranges from 1:20,000 to 1:60,000. Since PCD causes deficiency or even stasis of the transport of secretions throughout the respiratory tract, it favors the growth of viruses and bacteria. As a result, patients have lifelong chronic and recurrent infections, typically suffering from bronchitis, pneumonia, hemoptysis, sinusitis, and infertility. Bronchiectasis and other chronic conditions infections can be the end result of the irreversible bronchial alterations, leading to chronic cor pulmonale and its consequences. Only half of the patients affected by PDC present all of the symptoms, a condition designated complete KS, compared with incomplete KS, typically defined as cases in which situs inversus does not occur. The diagnosis is made clinically and confirmed through transmission electron microscopy. Since there is no specific therapy for PCD, it is recommended that, upon diagnosis, secondary infections be treated with potent antibiotics and prophylactic interventions be implemented. In this paper, we report six cases of PCD (five cases of complete KS and one case of KS) and review the related literature, focusing on the diagnostic, therapeutic and clinical aspects of this disease.

Keywords: Kartagener syndrome; Ciliary motility disorders; Bronchiectasis; Dextrocardia.

RESUMO

A discinesia ciliar primária (DCP), anteriormente conhecida como síndrome dos cílios imóveis, é uma doença hereditária autossômica recessiva que inclui vários padrões de defeitos em sua ultra-estrutura ciliar. Sua forma clínica mais grave é a síndrome de Kartagener (SK), a qual é encontrada em 50% dos casos de DCP. A DCP causa deficiência ou mesmo estase no transporte de secreções em todo o trato respiratório, favorecendo a proliferação de vírus e bactérias. Sua incidência varia de 1:20.000 a 1:60.000. Como conseqüência, os pacientes apresentam infecções crônicas e repetidas desde a infância e geralmente são portadores de bronquite, pneumonia, hemoptise, sinusite e infertilidade. As bronquiectasias e outras infecções crônicas podem ser o resultado final das alterações irreversíveis dos brônquios, podendo progredir para cor pulmonale crônico e suas conseqüências. Somente a metade dos pacientes afetados pela DCP apresenta todos os sintomas, condição denominada SK completa; no restante, não ocorre situs inversus, condição denominada SK incompleta. O diagnóstico é feito com base no quadro clínico e confirmado por meio da microscopia eletrônica de transmissão. Como não há tratamento especifico para a DCP, recomenda-se que, tão logo seja feito o diagnóstico, as infecções secundárias sejam tratadas com antibióticos potentes e medidas profiláticas sejam adotadas. Neste trabalho, relatamos seis casos de DCP (cinco casos de SK completa e um caso de SK incompleta) e revisamos a literatura sobre o assunto, tendo como foco os aspectos diagnósticos, terapêuticos e clínicos desta doença.

Palavras-chave: Síndrome de Kartagener; Transtornos da motilidade ciliar; Bronquiectasia; Dextrocardia.

Introduction

Primary ciliary dyskinesia (PCD), previously known as immotile cilia syndrome (ICS), belongs to a relatively small group of genetic disorders that follow an autosomal recessive inheritance pattern.(1-3)

The first cases of PCD were reported by Siewert in 1904 and by Gunther in 1923, being described as bronchiectasis and situs inversus. Subsequently, in 1933, Kartagener described the triad consisting of dextrocardia, chronic vasomotor rhinitis, and bronchiectasis as a distinct clinicopathological entity. Kartagener emphasized the familial and hereditary character of this syndrome, which now bears his name, Kartagener syndrome (KS).(1,4-9)

According to some authors,(4) the first to suggest PCD as the cause of KS were Camner et al., who, in 1975, described two patients with KS who presented ciliary dysfunction and immotile spermatozoa. Subsequently, Afzelius and Eliasson, studying the ciliary ultrastructural changes resulting from this disease, observed the absence of dynein arms in the respiratory ciliary axoneme and in the sperm tail axoneme, the latter resulting in sperm immotility.(1,10-15)

The term ICS was proposed and defended by Afzelius in 1976,(16) being effectively introduced in the medical literature through the important communication authored by Eliasson et al. in 1977.(11) In 1980, Sleigh,(12) together with 23 other researchers, proposed that the name be changed from ICS to PCD when it was a case of congenital disease, and to 'secondary ciliary dyskinesia' when it was a case of a profile related to acquired diseases.

According to various population-based studies, the incidence of PCD ranges from 1:20,000 to 1:60,000 live births. Situs inversus occurs, randomly, in 50% of the patients with PCD.(14,15,17)

The objective of this paper is to report six cases of PCD, five of which were cases of complete KS and one of which was a case of incomplete KS. The authors address issues regarding pathophysiology, heredity, and clinical manifestations, as well as diagnostic and treatment methods.

Case report

In order to determine the frequency of KS and of PCD, we reviewed the medical charts of patients diagnosed with chronic pulmonary suppuration syndrome (bronchiectasis and sinus diseases), dextrocardia, or PCD treated during a 22-year period (from April of 1982 to April of 2004) at the Pulmonology and Thoracic Surgery Departments of the Santa Casa de Misericórdia of Ribeirão Preto and of the Imaculada Conceição Teaching Hospital of the Sociedade Portuguesa de Beneficência.

A total of six cases of PCD were found, five of which were cases of complete KS and one of which was a case of incomplete KS. Of the six patients studied, four were male and two were female. The mean age was 32.5 years (range, 20-37 years). All patients had a history of chronic respiratory tract infections, of the upper and lower respiratory tract (chronic sinus diseases and recurrent pneumonia, respectively). Chronic otitis was also a common manifestation. The male patients reported abundant mucopurulent expectoration, sometimes accompanied by hemoptysis, with chronic evolution. The two female patients, in whom the expectoration was not so intense, reported having had 'bronchitis' since childhood. (Note: In Brazil, asthma and asthma-like symptoms are commonly referred to as 'bronchitis'.) There were two siblings (Cases 5 and 6) who also presented digital clubbing. Table 1 shows the clinical data of the patients.





Simple chest X-rays revealed thickening of the bronchial walls, atelectasis, and findings suggestive of bronchiectasis in all of the patients, and situs inversus was observed in five cases (Figure 1).





The X-rays of the paranasal sinuses of all cases revealed findings suggestive of sinus disease, in some cases accompanied by nasal polyps, hypoplasia/agenesis of the frontal sinus, opacifications/ air-fluid levels, or turbinate hypertrophy.

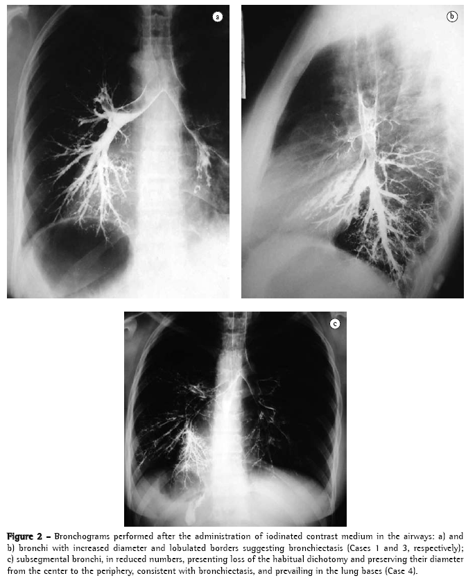
In the first four cases of the series, bronchograms were performed in two phases: first on one side and then, after an interval of approximately thirty days, on the other side. In the last two cases, bronchograms were replaced by high-resolution computed axial tomography. Both tests revealed several types of bronchiectases (cylindrical, cystic, and varicose) that were mainly located in the lower lobes, in the left middle lobe, and in the right lingula due to the situs inversus (Figures 2, 3a, 3b, and 3c).










The first five cases of the series presented dextrocardia, and Case 5 also presented situs inversus totalis (Figure 3d). Case 6 was the only one to present levocardia. All six patients presented rhonchi and audible rales in the lung bases, were physically/intellectually mature, and were occupationally active (Table 1).

Cases 1 and 4 involved childless adult female patients, although fertility was not investigated. The four remaining cases involved male patients, all of whom presented strong clinical signs of infertility. The investigation of infertility was made through sperm counts in Cases 3, 5, and 6.

In the six cases, the spirometry results showed varying degrees of obstruction, with a decrease in forced vital capacity, without response to the bronchodilator.

Only one patient (Case 5) underwent biopsy of the nasal and bronchial mucosas: the nasal biopsy was performed in the left lower turbinate under local anesthesia, and the biopsy of the bronchial mucosa was performed by fiberoptic bronchoscopy, also under local anesthesia. The material was fixed with glutaraldehyde and, when examined under transmission electron microscopy, was found to be compatible with PCD.

Despite being palliative, the treatment was administered only after other pulmonary suppuration syndromes, such as cystic fibrosis, had been ruled out. The evolution of the accompanying infections was satisfactory after the introduction of antibiotic treatment regimens, vaccination, the use of expectorants, hydration, postural drainage, and, occasionally, bronchoscopy to aspirate secretions.

Discussion

Chronic infections of the upper respiratory tract, such as sinusitis, rhinosinusitis, and otitis, as well as chronic infections of the lower respiratory tract, such as bronchitis, rhinobronchitis, infected bronchiectasis, or recurrent pneumonia, are quite common in Brazil. These infections can be caused by multiple factors, such as fibrocystic disease of the pancreas, hypoproteinemia, avitaminosis, and congenital/secondary bronchiectasis, as well as viral or bacterial infections that were not treated efficiently or were secondary to the aspiration of foreign bodies.

When the results of the various clinical, laboratory, and imaging approaches are negative for these etiologies, other less prevalent clinical entities should be considered. When, in addition to the clinical profile, patients present situs inversus, they are classified as having KS, which is currently a form of presentation of PCD.(16,18,19)

In the present communication, the suspicion of PCD and KS was based on the clinical profile and on the chest X-rays. All patients presented quite accentuated respiratory symptoms that had been evolving since early childhood. These chronic pulmonary suppuration syndromes were recurrent and refractory to treatment, worsening after puberty.

Hemoptysis and purulent expectoration were more abundant in the four male patients. Of the six patients studied, five presented situs inversus. The only patient without situs inversus presented a clinical profile similar to that of the other patients.

It was incumbent upon Afzelius (16) to elucidate the pathogenesis of KS and of PCD. This author showed, in 1976, that patients with KS have defects in the ultrastructure of the cilia and in the sperm tail, these alterations having the end result of irremediably impairing the motor skills Therefore, male infertility is another clinical manifestation in indi-the cilia are defective, the rotation occurs, but viduals with this disease.(20) Afzelius also suggested randomly, to the right or to the left, in such a way that, during embryogenesis, the ciliary activity is that, statistically, it is likely that half of the patients responsible for the organic dextrorotation. When with PCD have situs inversus.(20)

A hereditary disease, PCD is characterized by is also characterized by generalized ciliary dysfuncciliary ultrastructural abnormalities that impair the tion. Therefore, alterations can be found at the normal ciliary activity and have direct consequences following sites: in the epithelium of the deferent on mucociliary clearance, thus predisposing to recur-ducts; in the uterine tubes; in the endometrium; in rent respiratory infections. This results in chronic the corneal endothelium; in the ependyma; in the obstructive-suppurative disease of the respiratory cilia of the olfactory epithelium mitral cells and of tract. Found in all races and in both genders, PCD the crests; in the ampulla and cells of Corti of the inner ear; and in the epithelium of the respiratory tract. Consequently, ciliary function must be investigated in these organs.(20)

In the present report, four patients were male. Of those, three were confirmed as being infertile and one, aged 21 years, refused to be submitted to a sperm count. The other two cases involved childless adult female patients.(11)

In the literature, reports of females with PCD having children normally are common, whereas reports of males with PCD who procreated naturally are rarely found.(18)

Occurring at equal rates in both genders, PCD occurs in monozygotic twins born to parents who are usually healthy and frequently consanguineous. In approximately 25% of the siblings, there are one or several clinical manifestations of PCD. For these reasons, it is believed that PCD is an autosomal recessive genetic alteration.(19)

As previously stated, the initial diagnostic hypothesis of PCS and KS, in the present paper, was formed based on simple chest X-rays and on the clinical history and approach, complemented by the following tests: X-ray of the facial sinuses; bilateral bronchograms; high-resolution computed tomography of the chest, abdomen, and skull; pulmonary function tests; and sperm counts. Transmission electron microscopy was employed in only one case.

The radiological findings reported here are also of great value in cases of suspicion of PCD and are in concordance with the data in the literature.(17,19)

Of the six patients studied, four underwent bilateral bronchograms, with a thirty-day interval between the X-ray of one side and that the other, naturally prior to the advent of computed tomography.

Despite being universally accepted as the best method for the diagnosis and surgical evaluation of bronchiectasis, bronchogram, initially described by Sicard and Forestier in 1922, has lately been less often employed. This is due to several factors: allergic reactions to the contrast medium; bronchospasm (the procedure causes extreme discomfort to the patient); the test is performed on one lung at a time (the study of the other lung can only be performed after a two- to four-week interval); and difficulty of interpretation by less experienced radiologists. However, the most important factor was the advent, in the 1980s, of computed tomography, which is currently the method of choice for the study of bronchiectasis(19,20) (Figures 3a, 3b, and 3c).

The literature shows that sinusitis, bronchiectasis, and digital clubbing are late complications of PCD that can progress to chronic cor pulmonale and its consequences.

In the present study, the siblings, aged 34 and 37 years, also presented, in addition to the alterations mentioned, quite prominent digital clubbing.(17)

There have been reports in the literature that other malformations, such as hydrocephalus, cleft palate, cardiac malformations, polydactyly, hypospadia, can accompany PCD. None of these malformations were observed in the cases reported here.

The treatment was exclusively symptomatic (bronchial aspiration and respiratory therapy). In the respiratory tract infections, which are common in these patients, the use of aggressive antibiotic therapy against the most frequently isolated agents (Haemophilus influenzae and Streptococcus pneumoniae) was essential. In addition to these measures, immunization against haemophilus and pneumococcal strains is deemed appropriate.(17)

In conclusion, it is believed that PCD should be taken into consideration in the differential diagnosis of patients with chronic infections of the respiratory tract. The probability of diagnostic suspicion of PCD increases when patients have had chronic respiratory infections since birth and present situs inversus.

Therefore, it is understood that the ideal is to make the diagnosis early in order to prescribe an appropriate palliative treatment, thus preventing permanent sequelae, such as chronic rhinosinusitis and bronchiectasis.

References

1. Afzelius BA, Eliasson R. Male and female infertility problems in the immotile-cilia syndrome. Eur J Respir Dis Suppl.1983;127:144-7.

2. Bartoloni L, Blouin JL, Pan Y, Gehrig C, Maiti AK, Scamuffa N, et al. Mutations in the DNAH11 (axonemal heavy chain dynein type 11) gene cause one form of situs inversus totalis and most likely primary ciliary dyskinesia. Proc Natl Acad Sci USA. 2002;99(16):10282-6.

3. Biggart E, Pritchard K, Wilson R, Bush A. Primary ciliary dyskinesia syndrome associated with abnormal ciliary orientation in infants. Eur Respir J. 2001;17(3):444-8.

4. Bent JP, Smith RJ. Intraoperative diagnosis of primary ciliary dyskinesia. Otolaryngol Head Neck Surg. 1997;116(1):64-7.

5. Brauer MM, Viettro L. Aportes de la microscopia electrónica de transmisión al diagnóstico de la disquinesia ciliar. Rev Med Urug. 2003;19(2):140-8.

6. Porto Neto AC, Peixoto Filho AJ. Síndrome de Kartagener. Rev Med Hosp São Vicente de Paulo. 1993;5(12):43-5.

7. Berdon WE, Willi U. Situs inversus, bronchiectasis, and sinusitis and its relation to immotile cilia: history of the diseases and their discoverers-Manes Kartagener and Bjorn Afzelius. Pediatr Radiol. 2004;34(1):38-42.

8. Quagliato Junior R, Rezende SM, Acosta MIT, Barasnevicius EMA, Frazatto Junior C. Síndrome de Kartagener a propósito de três casos. J Pneumol. 1978;4(4):16-9.

9. Bush A, Cole P, Hariri M, Mackay I, Phillips G, O'Callaghan C, et al. Primary ciliary dyskinesia: diagnosis and standards of care. Eur Respir J. 1998;12(4):982-8.

10. Armengot Carceller M, Carda Batalla C, Escribano A, Samper GJ. [Study of mucociliary transport and nasal ciliary ultrastructure in patients with Kartagener's syndrome] Arch Bronconeumol. 2005;41(1):11-5. Spanish.

11. Eliasson R, Mossberg B, Camner P, Afzelius BA. The immotile-cilia syndrome. A congenital ciliary abnormality as an etiologic factor in chronic airway infections and male sterility. N Engl J Med. 1977;297(1):1-6.

12. Sleigh MA. Primary ciliary dyskinesia. Lancet. 1981;2(8244):476.

13. Geremek M, Witt M. Primary ciliary dyskinesia: genes, candidate genes and chromosomal regions. J Appl Genet. 2004;45(3):347-61.

14. Miranda EG, Melo Valadares SMS, Souza CTCBC, Sousa Filho JF, Deus Filho A. Síndrome de Kartagener. J Bras Med. 1997;72(6):31-6.

15. Santos JWA, Waldow A, Figueredo CWC, Kleinubing DR, Barros SS. Discinesia ciliar primária. J Pneumol. 2001;27(5):262-8.

16. Afzelius BA. A human syndrome caused by immotile cilia. Science. 1976;193(4250):317-9.

17. Cowan MJ, Gladwin MT, Shelhamer JH. Disorders of ciliary motility. Am J Med Sci. 2001;321(1):3-10.

18. Homma S, Kawabata M, Kishi K, Tsuboi E, Narui K, Nakatani T, et al. Bronchiolitis in Kartagener's syndrome. Eur Respir J. 1999;14(6):1332-9.

19. Rubin BK. Immotile cilia syndrome (primary ciliary dyskinesia) and inflammatory lung disease. Clin Chest Med. 1988;9 (4):657-68.

20. Toledo MF, Adde FV. Discinesia ciliar primária na infância. J Pediatr (Rio de J). 2000;76(1):9-16.
_________________________________________________________________________________________
* Study carried out at the Thoracic Surgery Departments of the Universidade de Ribeirão Preto - UNAERP, Ribeirão Preto University - and of the Imaculada Conceição Teaching Hospital of the Sociedade Portuguesa de Beneficência, Ribeirão Preto (SP) Brazil.
1. Professor of Thoracic Surgery. Universidade de Ribeirão Preto - UNAERP, Ribeirão Preto University - Ribeirão Preto (SP) Brazil.
2. Full Member of the Pulmonology and Thoracic Surgery Clinic. Santa Casa de Misericórdia of Ribeirão Preto, Ribeirão Preto (SP) Brazil.
3. Medical student. Universidade de Ribeirão Preto - UNAERP, Ribeirão Preto University - Ribeirão Preto (SP) Brazil.
Correspondence to: Hugo Alejandro Vega Ortega. Rua Dr. Romeu Pereira, 250, Bairro Alto da Boa Vista, CEP 14025-550, Ribeirão Preto, SP, Brasil.
Tel 55 16 3623-2088. Fax 55 16 3623-4254. E-mail: shvega@terra.com.br
Submitted: 16 December 2005. Accepted, after review: 25 August 2006.

Indexes

Development by:

© All rights reserved 2025 - Jornal Brasileiro de Pneumologia