Continuous and bimonthly publication
ISSN (on-line): 1806-3756

Licença Creative Commons
15452
Views
Back to summary
Open Access Peer-Reviewed
Case Report

Alveolar adenoma

Adenoma alveolar

Eduardo Haruo Saito, Luciana Ribeiro de Araújo, Leonardo Hoehl Carneiro, Antonio Ambrosio de Oliveira Neto, João Carlos Corrêa, Luiz Sérgio Carvalho Teixeira

ABSTRACT

Alveolar adenoma is a rare benign neoplasm of the lungs, and very few cases have been described in the literature. Patients with alveolar adenoma are frequently asymptomatic and are diagnosed through the accidental discovery of a singular, well-delineated nodule on a routine chest X-ray. The definitive diagnosis is made histologically, and the treatment consists of surgical resection of the nodule..

Keywords: Adenoma; Lung neoplasms; Pulmonary alveoli/pathology; Coin lesion, pulmonary;

RESUMO

O adenoma alveolar é uma neoplasia benigna rara dos pulmões, com poucos casos descritos na literatura. Freqüentemente, o paciente é assintomático e apresenta-se com um achado acidental em telerradiografias de tórax de um nódulo solitário e bem circunscrito. O diagnóstico definitivo é histológico e o tratamento consiste na ressecção cirúrgica do nódulo.

Palavras-chave: Adenoma; Neoplasias pulmonares; Alvéolos pulmonares/patologia; Lesão numular pulmonar;

INTRODUCTION

Alveolar adenoma is a rare neoplasm of the lungs. The first six cases were described in 1986. Since then, few cases have been reported in the medical literature.(1-6) Patients with alveolar adenoma are frequently asymptomatic and are diagnosed through an accidental finding on a chest X-ray. The definitive diagnosis is made histologically, and the curative treatment consists of surgical resection. We report the case of a 35-year-old black woman who presented this rare neoplasm.

CASE REPORT

The patient, a 35-year-old black woman, presented with dry cough and mild dyspnea. She had presented a similar clinical profile on two other occasions, the last of which was more intense and was accompanied by wheezing. The patient started treatment with beclomethasone dipropionate, prescribed by the doctor, and presented favorable evolution with improvement of dyspnea. At that time, she was submitted to a chest X-ray that revealed a singular pulmonary nodule in the upper right lobe. The patient described herself as a nonsmoker.

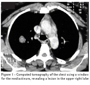
The results of the physical examination were normal, and the following complementary examinations were performed: chest X-ray; computed tomography of the chest; spirometry; intradermal reaction to purified protein derivative; Aspergillus serology test; fiberoptic bronchoscopy with bronchoalveolar lavage; and bronchial brush of the right segment. The chest X-ray revealed a nodule with well-defined borders in the upper third of the right hemithorax. The computed tomography of the chest (Figure 1) revealed a nodule with regular borders, measuring 2 cm, located in the apical segment of the upper right lobe. The nodule in reference presented contrast medium impregnation, with an increase of 26.7 Hounsfield units within three minutes after the injection of the venous contrast, and a central area of apparent cavitation. The analyses of the bronchoalveolar lavage and bronchial brush revealed negativity for neoplasm. The culture for acid-fast bacilli was also negative, as were the cultures for tuberculosis, fungi and bacteria.






The patient was then submitted to a right vertical conservative thoracotomy with wedge resection of the nodule using surgical staples. Pre-operative analysis of the nodule by the pathologist did not reveal any malignant cells. The patient presented favorable postoperative evolution. The definitive histological findings confirmed the diagnosis of alveolar adenoma (Figures 2 and 3).









DISCUSSION

Alveolar adenoma is a rare neoplasm of the lungs. Its histogenesis is unknown, and, in the past, it was considered a form of pulmonary lymphangioma. The term alveolar adenoma was coined in 1986, with the description of six cases of this uncommon pulmonary neoplasm.(1) The tumor principally occurs in adult women between 39 and 74 years of age (mean age of approximately 53 years old). It is generally asymptomatic, and is often an accidental finding on a chest X-ray.(2) Few cases have been described: only 26 English language studies currently in the literature.(3)

The chest X-ray finding is frequently a singular well-delineated nodule.(2) In this case, computed tomography of the chest revealed a nodule with well-defined borders and presenting an increase of 26.7 Hounsfield units after impregnation by contrast (Figure 1). In one study, it was reported that 98% of benign nodules presented highlighting by contrast of 15
Hounsfield units or less.(7) In the present case, the use of contrast in the computed tomography did not follow the recommendations of that study.
Therefore, the impregnation of the contrast cannot be considered in this way. Other authors, in case reports on alveolar adenomas, found no contrast impregnation of the nodule, confirming its benign nature.(4)

When the magnetic resonance is performed, the center areas of the lesions show a low intensity signal in T1 and a high intensity signal in T2. The border of the lesion presents highlighting after the injection of gadolinium contrast. These magnetic resonance findings are consistent with the cystic characteristics of alveolar adenoma.(4)

The definitive diagnosis of alveolar adenoma is made histologically. Macroscopically, the lesions are well-delineated, hemorrhagic and brownish/whitish in color, measuring less than 3 cm in diameter. They occur in isolation in any lobe or lung, although they are predominantly seen in the lower left lobe.(2) Microscopic examination reveals that the alveolar adenoma is characterized by multiple cystic cavities of varying sizes, containing proteinaceous eosinophilic material in the sections stained with hematoxylin and eosin. The cystic structures are covered with stratified squamous cuboidal epithelium consisting predominantly of cells with structural characteristics typical of type pneumocytes. The cystic cavities are delimitated by septa of varying thicknesses containing mesenchymal fibroblastic cells and leukocytes, similar to the findings of this study (Figures 2 and 3).(2-3)

The differential diagnosis includes lymphangioma, papillary adenoma and sclerotic hemangioma.(2,8) Lymphangioma, as well as alveolar adenoma, has a multicystic appearance. However, alveolar adenoma is epithelial in nature, whereas lymphangioma is vascular. This can be confirmed by immunohistochemical analyses: positive for keratin and negative for factor VIII.(2) Papillary adenoma is a lesion that, similar to alveolar adenoma, is covered predominantly with type pneumocytes. However it differs from alveolar adenoma because it is devoid of the multicystic aspect.(8) In addition, some cases of papillary adenoma present invasive potential, unlike the alveolar adenoma, which is totally benign.(8) Sclerotic hemangioma presents a mixture of aspects (solid, vascular, sclerotic and papillary) and therefore differs from alveolar adenoma.(2)

The treatment for alveolar adenoma is surgical resection, which is always curative.

ACKNOWLEDGMENTS

We thank Prof. Dr. Kiminori Fujimoto, Prof. Gilberto Torres Neto and Dr. Ivan Mathias Filho for their assistance in the execution of this study.

REFERENCES

1. Yousem SA, Hochholzer L. Alveolar adenoma. Hum Pathol. 1986; 17(10):1066-71.
2. Burke LM, Rush WI, Khoor A, Mackay B, Oliveira P, Whitsett JA, et al. Alveolar adenoma: a histochemical, immunohistochemical and ultrastructural analysis of 17 cases. Hum Pathol. 1999;30(2):158-67.
3. Hartman MS, Epstein DM, Geyer SJ, Keenan RJ. Alveolar adenoma. Ann Thorac Surg. 2004;78(5):1842-3.
4. Fujimoto K, Müller NL, Sadohara J, Harada H, Hayashi A, Hayabuchi N, et al. Alveolar adenoma of the lung: computed tomography and magnetic resonance imaging findings. J Thorac Imaging. 2002;17(2):163-6.
5. Souza V, Pinto E, Franca T, Carvalho L. Broncho-pulmonary adenomas. Rev Port Pneumol. 2004;10(3)235-42.
6. Papla B, Malinowski E. Alveolar adenoma of the lung - a report of two cases. Pol J Pathol. 2003;53(2)147-52.
7. Swensen SJ, Viggiano RW, Midthun DE, Müller NL, Sherrich A, Yamashita K, et al. Lung nodule enhancement at CT: multicenter study. Radiology. 2000;214(1):73-80.
8. Dessy E, Braidotti P, Del Curto B, Falleni M, Coggi G, Santa Cruz G, et al. Peripheral papillary tumor of type II pneumocytes: a rare neoplasm of undetermined malignat potential. Virchows Arch. 2000;436(3):289-95.
________________________________________________________________________________________

*Study carried out at the State University of Rio de Janeiro School of Medical Sciences, University Hospital Pedro Ernesto of the Universidade Estadual do Rio de Janeiro (UERJ, State University of Rio de Janeiro); and at the Hospital of the Third Order of Penance - Rio de Janeiro, Rio de Janeiro, Brazil.
1. Adjunct Professor at the Universidade Estadual do Rio de Janeiro (UERJ, State University of Rio de Janeiro) School of Medical Sciences - Rio de Janeiro, Rio de Janeiro, Brazil
2. Medical Academician. Intern in the Department of Thoracic Surgery at the Universidade Estadual do Rio de Janeiro (UERJ, State University of Rio de Janeiro) School of Medical Sciences - Rio de Janeiro, Rio de Janeiro, Brazil
3. Pathologist at the Hospital of the Military Police of Rio de Janeiro and of the University Hospital Clementino Fraga Filho at the Universidade Federal do Rio de Janeiro (UFRJ, Federal University of Rio de Janeiro) - Rio de Janeiro, Rio de Janeiro, Brazil
4. Assistant Professor in the Department of Pathological Anatomy at the Universidade Federal do Rio de Janeiro (UFRJ, Federal University of Rio de Janeiro) School of Medicine - Rio de Janeiro, Rio de Janeiro, Brazil
5. Tenured Head Professor in the Department of Pulmonology of the Nova Iguaçu School of Medicine and Pulmonologist at the Hospital of the Third Order of Penance - Rio de Janeiro, Rio de Janeiro, Brazil
6. Thoracic Surgeon at the Hospital of the Third Order of Penance - Rio de Janeiro, Rio de Janeiro, Brazil
Correspondence to: Eduardo Haruo Saito. Av. 28 de Setembro, 77, 4o andar, Vila Isabel - CEP 20551-030, Rio de Janeiro, RJ, Brazil; Phone: 55 21 2587-6193. E-mail: eduardosaito@uol.com.br
Submitted: 3 June 2005. Accepted, after review: 3 August 2005

Indexes

Development by:

© All rights reserved 2025 - Jornal Brasileiro de Pneumologia