Continuous and bimonthly publication
ISSN (on-line): 1806-3756

Licença Creative Commons
14140
Views
Back to summary
Open Access Peer-Reviewed
Original Article

Morphological aspects as prognostic factors in malignant mesothelioma: a study of 58 cases

Marcadores morfológicos de prognóstico no mesotelioma maligno: um estudo de 58 casos

Alexandre Bottrel Motta, Germânia Pinheiro, Leila Antonângelo, Edwin Roger Parra, Maria Margarida Monteiro, José Carlos das Neves Pereira, Tereza Takagaki, Mario Terra Filho, Sandro Martins, Vera Luiza Capelozzi

ABSTRACT

Objective: Various markers have shown promise as diagnostic markers and prognostic predictors in malignant mesothelioma (MM). Methods: Through morphometric and immunological studies of markers in stromal components (calretinin, CEA, Leu-M1 and thrombomodulin) and nuclear components (p53 and Ki-67), we evaluated post-diagnosis survival in 58 patients with MM. Results: The histologic pattern of the MM was typical in 50 cases and atypical in 8. Through immunohistochemistry, we confirmed 40 cases of mesothelioma and 11 cases of adenocarcinoma, although we were unable to classify 7 of the 8 cases presenting atypical histologic patterns. Cox multivariate analysis revealed that the risk factor for death was higher (476.2) among patients of advanced age, presenting the biphasic subtype and testing positive for components expressed at the nuclear level. Conclusion: The most useful immunohistochemical markers were was calretinin (for mesothelioma) and CEA (for adenocarcinoma). Immunohistochemical quantification of thrombomodulin facilitated the diagnosis of mesothelioma in patients testing positive for both calretinin and CEA. The most useful prognostic information was that provided by the routine histopathological analysis of the tumor type. It is of note that the combination of a mean age of 55 years and 30.5% immunohistochemical markers in nuclear components created a natural dividing point between patients in which survival was shorter than expected and those in which it was longer than expected. Therefore, histopathological analysis offers a powerful weapon with great potential to inform decisions regarding the use of adjuvant chemotherapy after surgical excision of a mesothelioma.

Keywords: Pleural neoplasms; Mesothelioma; Tumor markers, Biological; Carcinoembryonic antigen; Prognosis.

RESUMO

Objetivo: Diversos marcadores têm se mostrados promissórios como preditores do diagnóstico e prognóstico do mesotelioma maligno (MM). Método: Mediante estudo morfométrico e inmunomarcação de componentes estromais (calretinina, CEA, Leu-M1 e trombomodulina) e nucleares (p53 e Ki-67), avaliamos a sobrevida após o diagnóstico de 58 pacientes com tumores malignos de pleura. Resultados: O padrão histológico típico do mesotelioma maligno foi encontrado em 50 casos e o padrão atípico em 8 casos. Imunohistoquimicamente foram confirmados 40 casos como sendo mesoteliomas, 11 como adenocarcimonas e 7 casos do padrão atípico não puderam ser classificados. A análise multivariavel do Cox demonstrou a coexistência de um maior fator de risco de morte (476.2), nos pacientes com idade avançada, subtipo histológico bifásico e componentes de expressão nuclear. Conclusão: A calretinina foi o marcador inmunohistoquímico (IHQ) mais útil para o diagnóstico do mesotelioma e o CEA para o de adenocarcinoma. A quantificação por IHQ da trombomodulina foi fundamental na diferenciação do mesotelioma quando este foi positivo tanto para calretinina e como para o CEA. A informação prognostica mais valiosa foi a fornecida pela análise rotineira histopatológica do tipo histológico tumoral. Um ponto importante, divisor natural, foi a idade com uma media de 55 anos e 30.5% de componentes nucleares de marcação IHQ, separando os pacientes em dois grupos: pacientes com uma sobrevivência curta contra pacientes com uma sobrevivência mais longa que a esperada. Assim, a análise histopatológica oferece uma arma poderosa e de elevado potencial para guiar no tratamento adjuvante de quimioterápicos após a retirada cirúrgica do mesotelioma.

Palavras-chave: Neoplasias pleurais; Mesotelioma; Marcadores biológicos de tumor; Antígeno carcinoembrionário; Prognóstico

INTRODUCTION

Worldwide statistics for the mortality of mesothelioma probably underestimate its incidence. This is because cases may well be described as adenocarcinoma or other malignant tumors involving the pleura and peritoneum. Unless immunohistochemistry and, in some cases, electron microscopy are available, the diagnosis will not be made. Assessment via cancer registry or histopathologic surveys may underestimate the true rate.

In Brazil, the mortality due to pleural mesothelioma is unknown. In contrast to the extremely low incidence among the general population, the population with occupational exposure to asbestos fibers shows an incidence one hundred times greater.(1)

Asbestos fibers are the primary cause of malignant mesothelioma (MM) and carry a higher risk for amosite and crocidolite than to chrysotile exposure.(2) In Brazil, since 1940, the asbestos is explored commercially producing around 200,000 tons/year of chrysotile, exposing about 10,000 workers.(3-5) All has come from two mines: São Felix mine in the State of Bahia and Cana Brava mine in the Province of Goiás. In the States of São Paulo and Rio de Janeiro, about 90% of asbestos production has been used in the asbestos 'fiber cement' industry, including chrysotile and crocidolite imported fibers. For these reasons, an increase in MM incidence is expected to occur not only in Brazil, but also in many producing countries, with peak incidences round 2020-2030, (6-8) thus making important the accurate diagnosis of MM, also for clinical management and medicolegal decisions. Immunohistochemistry (IHC) is generally considered to be the most useful ancillary technique for diagnosis of the diverse histopathological appearances of MM. However, no antibody has been entirely sensitive or specific for mesothelioma and there was considerable variation in staining patterns.(9-10) In this regard, many have studied other markers to discover what might relate to MM morphology and prognosis.(11-12) Because molecular mechanisms such as cytogenetic alterations has been thought to be important in MM, a group of specific tumor suppressor genes have been targeted as potentially useful tumor markers.(13-14) Among these, p53 shown promise. P53 is a specific tumor suppressor gene found in human cell lines derived from patients with MM,(15-17) and by IHC, it has been found in 44% to 55% of mesotheliomas.(18-19)

To address this problem, we report the epidemiologic and morphologic features of 58 cases of MM to explore the relationship among these factors and the prognosis and outcome in survival.

METHODS

Patients and tumor tissues: Malignant mesothelioma was diagnosed in 42 patients at Hospital das Clinicas of University of São Paulo and in 83 patients at hospitals from Rio de Janeiro between 1979 and 2000. The 125 cases involved the pleura and in none of the cases was another primary tumor discovered. Tissue obtained by biopsy, thoracoscopy or necropsy were available for 58 of these cases and they had all been formalin fixed and paraffin embedded. The needle biopsies comprised three to four cores of tissue all processed as one paraffin block. The thoracoscopic biopsies consisted of three to four pieces of tissue, the largest piece measuring approximately 20 mm in major diameter. The most appropriate block available of each case was selected and histologically examined in the Department of Pathology of University of São Paulo Medical School or Department of Pathology of Hospital Pedro Ernesto (RJ). The histologic reevaluation subtyping was done by two pathologists according to the current World Health Organization (WHO) classification. Where histology revealed unusual features for mesothelioma a differential diagnosis was attempted. Two main categories of histopathologic diagnosis resulted from this: 1) a typical histologic pattern for mesothelioma and 2) an atypical presentation.

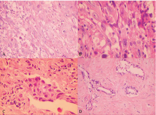
Difficulty in reaching diagnosis was never due to the small amount of tumor tissue available, but resulted from the histological picture itself. In Figure 1 (panel A to F) and Figure 2 (panel A to F) are examples respectively of typical and atypical histologic pattern. Data providing insights into the epidemiology and prognosis were collected from the case histories and by means of interview. The survival time was calculated from the date of diagnosis. Other details about the patients selected for the study are summarized in Table 1.
















Immunohistochemistry tumor analysis: The presence of CEA, Leu-M1, p53, Ki-67, thrombomodulin and calretinin was analyzed by immunohistochemical staining using the avidin-biotin immunoperoxidase complex technique, pressure cooking antigen retrieval, biotinylated rabbit antimouse IgG (Dako Corp.; dilution, 1:400), streptavidin combined in vitro with biotinylated horseradish peroxidase (Dako Corp.; dilution, 1:1000), diaminobenzidine tetrahydrochloride, and counterstaining with hematoxylin. The antibodies used were CEA monoclonal clone II-7 (Novocastra, Newcastle, England; dilution, 1:400), Leu-M1 clone C3-01 (Biotest Dreieich, Germany; dilution, 1:20), monoclonal mouse antihuman p53 protein (DO-7; Dako A/S, Glostrup, Denmark; dilution, 1:20), Ki-67 antigen (Dako A/S, Glostrup, Denmark; dilution, 1:400) and anticalretinin clone NCL (Chemicon; dilution 1:200). Brownish nuclear staining was considered to be evidence of the p53, Ki-67, calretin and throbomodulin antigen expression by cells, whereas membranous and cytoplasmic staining characterized CEA and Leu-M1 expression. We quantified the staining as follows. First, at low magnification, we selected the region of the more intense expression. Then, at X400, we used an eyepiece systematic point-sampling grid with 100 points and 50 lines to count the number of events (stained nuclei or cytoplasms) overlaying lines on the grid. We averaged this over 10 microscopic fields to obtain a final result as a quantitative measure of staining structures. Examples of tumor staining for CEA, Leu-M1, p53, Ki-67, thrombomodulin and calretinin are shown in Figure 3A to 3F.






Morphometry tumor analysis: As mesotheliomas present with heterogeneous and confusing histological forms, leading to large inter-observer differences, we used point-counting technique and the same eyepiece grid used for immunostaining to evaluate the tumor texture proportion of nuclear and stromal components by morphometry. (20) The results are expressed as a ratio of points overlaying nuclei or stroma to total points on the grid, averaged over 10 non-coincident microscopic X400 tumor fields.

Statistical analysis: Associations of histological pattern (typical and atypical) with tumour characteristics (texture analysis and immunohistochemistry) were made with Mann-Whitney U-test, Kruskall-Wallis and ANOVA tests. Initial analyses were done using Kaplan-Meier curves, and final multivariate analyses were done using the Cox proportional hazard model. All the procedures used for statistical evaluation were done using the SPSS software program (SPSS Inc., Chicago, IL, version 11.0). The threshold for statistical significance was taken as p=0.05.

RESULTS

Histopathologic diagnosis (H&E): Of 58 cases, H&E re-evaluation characterized typical histologic pattern for mesothelioma in 50 cases and atypical histologic pattern in 8 cases.

Immunohistochemistry tumor analysis CEA: The mean CEA-immunostaining was 2.1 (range 0 - 35). The staining pattern was usually diffuse, intracytoplasmic. Of 58 cases, CEA-immunostaining was detected in 8 cases (13.8%), 5 of them classified as typical histological pattern for mesothelioma on the H&E. The remaining 50 cases were CEA-immunostaining negative.

Leu-M1: Leu-M1-immunostaining ranged from 0 to 83.1 (mean of 4.8) and was detected in 17 (29.3%) of 58 tumors. Four positive cases belonged to the category of atypical histological pattern for mesothelioma. Eight out of the 17 positive cases were also CEA positive and considered adenocarcinomas. The staining pattern was diffusely intracytoplasmatic in most instances, where solid formations were present; a perinuclear accentuation was sometimes observed.

Thrombomodulin: Nine (15.5%) of the tumors showed predominantly membrane staining (Figure 2F) that was focal or moderately diffuse immunostained with thrombomodulin (mean of 0.6; range from 0 to 15.0). All of the examples belonged to the typical category.

Calretinin: In 27 (46.6%) of 58 tumors calretinin was demonstrated. The immunostaining was nuclear and cytoplasmic (Figures 3D, 3E, 3F) with intensity ranging from 0 to 72.6 (mean of 10.2). All positive cases belonged to the category of typical diagnosis.

P53: Twenty-nine (50%) tumors showed moderate to intense nuclear immunostaining for p53 (mean of 4.8; range from 0 to 46.0). Twenty-five positive cases were categorized as typical histological diagnosis for mesothelioma. Figure 3B is an example of p53 immunostaining.

Ki-67: Ki-67 immunostaining ranged from 0 to 55.9 (mean of 7.1) and was expressed in 45 (77.6%) of 58 tumors. Eight positive cases were categorized as atypical histologic pattern and 37 belonged to the typical diagnosis category. The staining pattern was diffusely intracytoplasmic in most instances; where solid formations were present, a perinuclear accentuation was sometimes observed (Figure 3A).

Histopathologic subtypes
Immunohistochemistry confirmed 40 cases of mesothelioma and 11 adenocarcinomas but was unable to classify 7 cases of atypical histologic pattern for mesothelioma. Among mesotheliomas cases, twenty four were positive for calretinin, 9 for thrombomodulin, 8 for Leu-M1 and 1 case immunostained for CEA in very small quantity. Adenocarcinoma was considered in 5 out of 12 cases classified as atypical histological pattern for mesothelioma and in 6 out of 46 cases belonged to the typical category. Seven among these 11 cases of adenocarcinomas, 7 were CEA positive, 8 were Leu-M1 positive and 3 were calretinin positive. After exclusion of the adenocarcinomas by immunohistochemistry, subtyping among the mesotheliomas cases found 22 epithelial (Figure 1A, 1B), 12 biphasic (Figures 2C, 2D), 5 sarcomatoid (Figures 3E, 3F) and 1 desmoplastic.

Morphometry tumor analysis
Table 1 summarizes associations of histological diagnosis with tumor characteristics.
The epithelial tumor component was estimated through the nuclear fraction occupied in tumor cells. The mean nuclear fractions were similar between typical (21.7% 8.8%) and atypical (21.7% 10.5%) histological patterns and did not achieve statistical significance (p=0.30). The mean nuclear fractions found among the histological subtypes was: 23.2% 9.6% for epithelial, 19.8% 8.7% for biphasic, 18.2% 8.1% for sarcomatoid, 14.1% 0% for desmoplastic and 21.6% 5.6% for adenocarcinomas. This difference wasn't statistically significant (p=0.40).

No statistical difference was observed for stromal component proportion in the 58 tumors after stratification in typical and atypical histological pattern (p=0.90).The stromal tumor proportion in atypical tumors was 32.5% 16.7% and 37.5% 17% for typical case. The mean stromal proportion increases as follow: epithelial (34.1% 12.7%), adenocarcinomas (36.7% 16%), desmoplastic (37.6% 0%), sarcomatoid (37.7% 20.7%), and biphasic (45% 22%), but this difference didn´t achieve statistical significance (p=0.11).

Survival analysis. Individual survival rates ranging from 0 to 100 months resulted in a mean survival of 19.1 months and median survival of 9.5 months. The survival rates observed were: 46% at one year; 29% at two years; 20% at three years; 11% at four years and 9% at five years. Life expectancy seemed to be influenced by individual factors such as age, histological subtypes and tumor texture analysis. P53 and Ki-67 variation, however, didn't achieve statistical significance. For male a median survival time of 21 months was recorded, whereas for female it was 16 months.
For patients under 55 years-old, a median survival time was 12 months, and for patients over 55 years-old a median of 6 months was seen. For biphasic, sarcomatoid, desmoplastic, and epithelial subtypes the median survival time was, respectively, 6, 1, 1 and 19 months. Immunostaining of numerous cells by p53 indicated a decrease in life-expectancy (median of 6 months), whereas negative or few cells immunostained for this marker correspond to median survival times of 12 months. For tumor texture analysis, nuclear component indicated a decrease in life-expectancy (median of 7 months) while fibrous component resulted in median survival times of 8 months.

We also tested the influence of individual factors in life expectancy in a multivariate model (Table 2). We found that controlled for age, histological subtypes, texture analysis, older patients with biphasic mesotheliomas, with predominant nuclear component (Figure 4), presented a risk factor for death of 476.2 (95% Confidence Interval: 17.3 to 13068.3; p=0.00).











DISCUSSION

Epidemiologic features. This is the first attempt to present a epidemiologic, morphologic and prognostic study about mesotheliomas in Brazil, where the absence of studies in these tumors make difficult clinical and medicolegal decisions. In São Paulo, there is just one paper, reporting three cases of malignant mesothelioma.(21) In Rio de Janeiro, a preliminary report by our group of 83 cases of malignant mesothelioma between 1979-2000, showed that death certificates can underestimate mesothelioma mortality.(22) However, in this cohort study, besides of the relative good casuistic of mesotheliomas presented, we had great difficulties in obtain a more complete epidemiologic and prognostic overview of this not infrequent tumor in our country. The assessment of medical records in both University Hospitals for a better comprehension of the cases wasn't a problem. However we were unable to obtain important data, such as survival, occupational exposition, clinical staging, because the clinical histories were incomplete, causing a loss of precious information. Only 4 records had information about asbestos exposition, showing that occupational history is not well explored, because asbestos is responsible for the majority of cases of mesothelioma.(23) Although a few relatives agreed to cooperate, interviews with them couldn't complement data about the exposure to asbestos. Many factors may have contributed to this disappointing response, such as low level of education, changes of address, and the fact that interview with familiars is not a common procedure in Brazil.

Morphological features. Our results demonstrate that the diagnosis of malignant mesothelioma still remains poorly straightforward even with the experience with this malignancy. Histological revisiting demonstrated that is not always possible to arrive at a confident diagnosis on a purely histopathological basis. Even the biphasic subtype could not be considered as a reliable diagnostic criterion. In our study, the proportion of epithelial and stromal components in this subtype, however, varied greatly probably by sampling error thus resulting in diagnostic difficulties. In general, at least 10% of the tumor must have a fibrous (or epithelial) component in for the malignant mesothelioma to be classified as biphasic. In fact, if we were to classify as biphasic all malignant mesotheliomas showing both morphologies, most malignant mesotheliomas would been called biphasic. For epithelial mesothelioma, histologic patterns have been described.(24) Large and well-differentiated epithelial cells with centrally placed nuclei, lack of atypia, and abundant cytoplasm, and they often grew forming gland-like spaces or tubular-like spaces. Some epithelial mesotheliomas instead grew forming sheets of epithelial cells. These typical cases were easily recognized as mesothelial origin in this study. These were, however, not always present. Variations in the histological picture, particularly of epithelial mesothelioma, caused serious problems in reaching a diagnosis. Adenocarcinomas looked very much like to malignant mesothelioma, or malignant mesothelioma looked so atypical as to resemble a metastatic adenocarcinoma. In these atypical cases, with tubular formations and more cylindrical cell types, metastatic adenocarcinoma remains to be excluded even though no gross invasion of the lung is present.(25) To rule out these mimics, the diagnosis of malignant mesothelioma was further confirmed by immunohistochemistry.
In this paper we have shown that the immunohistochemical markers for mesothelioma are indicative rather than absolute. None antibody used in this study was entirely sensitive or specific for mesothelioma and in according to previous studies, there was considerable variation in staining patterns.(9-11) Despite the use of the immunohistochemical panel, 7 cases with atypical pattern for mesothelioma were put in non-classified category because the lack of expression associated to the heterogeneous and confusing histological forms. However, we found that quantitative way to report IHC for tumor markers may bring useful information especially in cases possessing less typical histological features.

For example, many authors pointed out that absence of CEA immunoreactivity is characteristic of mesothelioma, whereas many other authors reported until 45% of CEA immunostaining variation.(26) For this reason, we believe that CEA-positivity should not rule out the diagnosis of mesothelioma but trigger a thorough investigation into the possibility of another unknown primary tumor. The expression of CEA immunostaining is important in tumors with atypical and typical histological features. In our study, 5 cases with typical histological pattern for mesothelioma expressed CEA-positivity (range 1.4 to 35). The case with lowest CEA-positivity also expressed calretinin and thrombomodulin in considerable amount and was classified as epithelial mesothelioma. The remaining four cases were re-classified as adenocarcinomas.

Similarly to CEA, mesotheliomas usually do not express Leu-M1, but it is expressed in nearly all cases of pulmonary adenocarcinoma.(27-28) Even though we have found focal and weak reactivity (mean of 5.4) in 20% of the mesotheliomas, contrasting to mean of 28.9 found in 73% of adenocarcinomas. The results indicate that Leu-M1 high expression may be useful to differentiate between mesothelioma and adenocarcinoma.

Recently, several studies have indicated the importance of calretinin as a positive marker for the diagnosis of mesothelioma, (11, 29-30) but again, a large variation in staining patterns make calretinin indicative rather than absolute marker. Valorization of cytoplasmic staining, instead of nuclear, and differences in antibody sensitivity are two of the causes implied in the discrepancies between the results. In the present study, we considered nuclei and cytoplasmic staining for calretinin and found positivity in 60% of the mesotheliomas, with higher number of positive cells found in epithelial subtype.

For thrombomodulin, the literature show a large disagreement on the percentage of thrombomodulin-positive mesotheliomas, ranging from 49% to 100%. In our study, 9/40 mesotheliomas (22.5%), reacted with the antibody antithrombomodulin, indicating low sensitivity of this mesothelioma-positive marker.

Fifty six and thirty three percent of mesotheliomas with typical and atypical histology, respectively, showed nuclear staining of tumor cells with p53, but no difference was found among the subtypes. The discrepancies in the results of different studies may be related to tissue fixation and antigen retrieval, which strongly affected immunostaining for p53.

Like previous studies we also found that immunoreactivity to Ki-67, expressed by 77.6% of the tumors, was not useful for diagnosis or prognosis of malignant mesothelioma.

Although the histological and immunohistochemical aspects of the mesothelioma are important in diagnostic procedure, in this paper we have confirmed that mesotheliomas lead to large inter-observer differences. Thus, a texture analysis describing the histological aspects of the tumor as well as the morphology of the cells was done. As far as we know, this paper is the first quantitative description of tissue architecture by using parameters describing nuclear and stromal density by simple, routinely and low cost approach. However, it is not surprising to us that the heterogeneous and confusing histological forms of mesothelioma was again emphasized by texture analysis, because no significant difference was obtained in terms of nuclear or stromal fraction among them. Of note, these findings were very important to predict risk of death in patients with malignant mesothelioma.

Prognostic features. The median survival period of 9.5 months is below of the results of other investigations. An exceptional survival time of 100 months was found in a patient where mesothelioma was an unexpected discovery after pleurectomy for spontaneous pneumothorax. This may indicate that spontaneous pneumothorax, while being an unusual presenting symptom, may be considered an early symptom. Only asymptomatic patients or patients with such early symptoms may have a better prognosis. Like others we found that epithelial mesotheliomas pattern infer a better prognosis. For biphasic, sarcomatoid and desmoplasic the survival time of 6, 1 and 1 month, respectively, is in accordance with the literature which ascribes the worst prognosis to these types. Clearly, the high mortality rate indicates that no progress towards early diagnosis or effective treatment has been made. The question of interest is whether additional, more technological information gathered from either the tumor tissue can help us identify early or detect factors with influence on treatment. Our results suggest that controlled for age and histological subtypes, texture analysis provide useful prognostic information than does only routine histopathological analysis. A natural dividing point was the median age of 55 years and 30.5% for nuclear components. These points provided a practical way to separate patients into two groups: patients with an expected short survival versus patients with an expected longer survival. Thus, texture analysis offers us the potential to guide the use of adjuvant chemotherapy in-patients likely to fail after surgical excision of mesothelioma.

Our results indicate that the most useful marker for mesothelioma diagnosis was calretinin, while CEA was for adenocarcinoma. IHQ quantitation of thrombomodulin helped to diagnose mesothelioma when calretinin and CEA were both positive. Texture analysis provided more useful prognostic information than did only routine histopathological analysis, offering us the potential to guide the use of adjuvant chemotherapy in-patients likely to fail after surgical excision of mesothelioma. Other studies involving a larger number of patients in a randomized and prospective trial are required to validate our quantitative assessment of texture analysis.

REFERENCES

1. Walz R, Koch HK. Malignant pleural mesothelioma: some aspects of epidemiology, differential diagnosis and prognosis. Histological and immunohistochemical evaluation and follow-up of mesotheliomas diagnosed from 1964 to January 1985. Pathol Res Pract. 1990;186(1):124-34.
2. Carbone M, Kratzke RA, Testa JR. The pathogenesis of mesothelioma. Semin Oncol. 2002;29(1):2-17.
3. Costa JLR, Ferreira Jr YM, Mendes R. Asbesto e doença: introdução ao problema no Brasil. Rev Assoc Med Bras. 1983;(1/2):18-21.
4. Associação Brasileira do Amianto. O amianto no Brasil. 2a ed. São Paulol: Ebart; 1996.
5. Case BW, Dufresne A, Bagatin E, Capelozzi VL. Lung-retained fibre content in Brazilian chrysotile workers. Ann Occup Hyg. 2002;46(1):144-9.
6. Peto J, Hodgson JT, Matthews FE, Jones JR. Continuing increase in mesothelioma mortality in Britain. Lancet. 1995;345(8949):535-9. Comment in: Lancet. 1995;345 (8959):1233. Lancet. 1995;345(8959):1233-4. Lancet. 1995;345(8959):1234.
7. Banaei A, Auvert B, Goldberg M, Gueguen A, Luce D, Goldberg S. Future trends in mortality of French men from mesothelioma. Occup Environ Med. 2000;57(7):488-94.
8. Jarvholm B, Englund A, Albin M. Pleural mesothelioma in Sweden: an analysis of the incidence according to the use of asbestos. Occup Environ Med. 1999;56(2):110-3.
9. Ordonez NG. The immunohistochemical diagnosis of epithelial mesothelioma. Human Pathol. 1999;30(3):313-23.
10. Riera JR, Astengo-Osuna C, Longmate JA, Battifora H. The immunohistochemical diagnostic panel for epithelial mesothelioma: a reevaluation after heat-induced epitope retrieval. Am J Surg Pathol. 1997;21(12):1409-19. Comment in: Am J Surg Pathol. 1997 ;21(12):1395-8.
11. Cury PM, Butcher DN, Fisher C, Corrin B, Nicholson AG. Value of the mesothelium-associated antibodies thrombomodulin, cytokeratin 5/6, calretinin, and CD44H in distinguishing epithelioid pleural mesothelioma from adenocarcinoma metastatic to the pleura. Mod Pathol. 2000;13(2):107-12.
12. Gordon GJ, Jensen RV, Hsiao LL, Gullans SR, Blumenstock JE, Richards WG, et al. Using gene expression ratios to predict outcome among patients with mesothelioma. J Natl Cancer Inst. 2003;95(8):598-605.
13. Pass HI, Liu Z, Wali A, Bueno R, Land S, Lott D, et al. Gene expression profiles predict survival and progression of pleural mesothelioma. Clin Cancer Res. 2004;10(3):849-59.
14. De Rienzo A, Testa JR. Recent advances in the molecular analysis of human malignant mesothelioma. Clin Ter. 2000;151(6):433-8.
15. Cote RJ, Jhanwar SC, Novick S, Pellicer A. Genetic alterations of the p53 gene are a feature of malignant mesotheliomas. Cancer Res. 1991;51(19):5410-6. Erratum in: Cancer Res. 1991;51(23 Pt 1):6399. Erratum in: Cancer Res. 1991;51(23 Pt 1):6399.
16. Kafiri G, Thomas DM, Shepherd NA, Krausz T, Lane DP, Hall PA. p53 expression is common in malignant mesothelioma. Histopathology. 1992;21(4):331-4.
17. Metcalf RA, Welsh JA, Bennett WP, Seddon MB, Lehman TA, Pelin K, et al. P53 and Kirsten-ras mutations in human mesothelioma cell lines. Cancer Res. 1992;52(9):2610-5.
18. Cury PM, Butcher DN, Corrin B, Nicholson AG. The use of histological and immunohistochemical markers to distinguish pleural malignant mesothelioma and in situ mesothelioma from reactive mesothelial hyperplasia and reactive pleural fibrosis. J Pathol. 1999;189(2):251-7.
19. Roberts F, Harper CM, Downie I, Burnett RA. Immunohistochemical analysis still has a limited role in the diagnosis of malignant mesothelioma. A study of thirteen antibodies. Am J Clin Pathol. 2001;116(2):253-62.
20. Gundersen HJ, Bendtsen TF, Korbo L, Marcussen N, Moller A, Nielsen K, et al. Some new, simple and efficient stereological methods and their use in pathological research and diagnosis. APMIS. 1988;96(5):379-94.
21. de Capitani EM, Metze K, Frazato Junior C, Altemani AM, Zambom L, Toro IF, et al. [Malignant mesothelioma of the pleura with etiological association to asbestos: report of 3 clinical cases] Rev Assoc Med Bras. 1997;43(3):265-72. Portuguese.
22. Pinheiro GA, Antão VC, Monteiro MM, Capelozzi VL, Terra-Filho M. Mortality from pleural mesothelioma in Rio de Janeiro, Brazil, 1979-2000: estimation from death certificates, hospital records and histopathological assessment. Int J Occup Environ Health. 2003;9(2):147-52. Comment in: Int J Occup Environ Health. 2003;9(2):171.
23. Hillerdal G. Mesothelioma: cases associated with non-occupational and low dose exposures. Occup Environ Med. 1999;56(8):505-13.
24. Enzinger FM, Weiss SW. Mesothelioma. In: Enzinger FM, Weiss SW. Soft tissue tumors. 2nd ed. St. Louis: Mosby; 1983. p. 689-718.
25. Hasleton PS. Pleural disease. In: Hasleton PS. Spencer's pathology of the lung. 5th ed. New York: McGraw-Hill; 1996. p.1131-10.
26. Henderson DW, Comin CE, Hammar SP. Malignant mesothelioma of the pleura: current surgical pathology. In: Corrin B, editor. Pathology of lung tumors. New York: Churchill Livingstone;1997. p.241-80.
27. Sheibani K, Battifora H, Burke JS. Antigenic phenotype of malignant mesotheliomas and pulmonary adenocarcinomas. An immunohistologic analysis demonstrating the value of Leu M1 antigen. Am J Pathol. 1986;123(2):212-9.
28. Wick MR, Loy T, Mills SE, Legier JF, Manivel JC. Malignant epithelioid pleural mesothelioma versus peripheral pulmonary adenocarcinoma: a histochemical, ultrastructural, and immunohistologic study of 103 cases. Hum Pathol. 1990;21(7):759-66.
29. Comin CE, Novelli L, Boddi V, Paglierani M, Dini S. Calretinin, thrombomodulin, CEA, and CD15: a useful combination of immunohistochemical markers for differentiating pleural epithelial mesothelioma from peripheral pulmonary adenocarcinoma. Hum Pathol. 2001;32(5):529-36.
30. Gotzos V, Vogt P, Celio MR. The calcium binding protein calretinin is a selective marker for malignant pleural mesotheliomas of the epithelial type. Pathol Res Pract. 1996; 192(2):137-47. Erratum in: Pathol Res Pract. 1996;192(6): 646. Erratum in: Pathol Res Pract. 1996;192(6):646.
_____________________________________________________________________________________

* This work was done at University of São Paulo - USP - São Paulo (SP) Brasil.
1. Medical Student, Department of Pathology School of Medicine, University of São Paulo (SP) Brazil.
2. PhD from the Department of Occupational Diseases from Hospital Universitário Pedro Ernesto, University of Rio de Janeiro (RJ) Brazil.
3. PhD Department of Thoracic Surgery of Hospital das Clinicas, University of São Paulo (SP) Brazil.
4. PhD Division of Respiratory Diseases and Department of Thoracic Surgery of Hospital das Clinicas, University of São Paulo (SP) Brazil
Correspondence to: Vera Luiza Capelozzi. Associate Professor of Lung Pathology. Department of Pathology School of Medicine, University of São Paulo. Av. Dr. Arnaldo 455 - ZIP CODE: 01246-903, São Paulo, SP, Brazil. Phone 55 11 3066-7427. E-mail: vcapelozzi@lim05.fm.usp.br
This study was supported by the following Brazilian agencies: the National Council for Scientific and Technological Development [CNPq]; the Foundation for the Support of Research of the State of São Paulo [FAPESP]; and the Laboratories for Medical Research [LIM 05 and LIM 03], Clinicas Hospital, School of Medicine, University of São Paulo (SP) Brazil.
Submitted: 9 June 2005. Accepted, after review: 8 November 2005.

Indexes

Development by:

© All rights reserved 2025 - Jornal Brasileiro de Pneumologia