Continuous and bimonthly publication
ISSN (on-line): 1806-3756

Licença Creative Commons
29518
Views
Back to summary
Open Access Peer-Reviewed
Case Report

Pseudotumor pulmonar como apresentação inicial de granulomatose de Wegener

Lung pseudotumor as the initial presentation of Wegener's granulomatosis

Marcelo Fouad Rabahi, Ludmila Bertti Coelho, Eliza de Oliveira Borges, Marcella Stival Lemes, Weniskley Mendes de Castro, Siderley de Souza Carneiro

ABSTRACT

Wegener's granulomatosis is a multisystemic inflammatory illness of unknown etiology, characterized by vasculitis of small and medium caliber vessels. The most common clinical manifestations involve the upper respiratory tract, lungs and kidneys. Common alterations in imaging studies include pulmonary opacities and bilateral multiple nodules, cavitations occurring in 50% of the cases. Treatment includes corticosteroids and immunosuppressants. We describe an atypical case of a 61-year-old man initially investigated due to suspicion of a unilateral lung tumor, which proved to be, in fact, a case of Wegener's granulomatosis.

Keywords: Wegener's Granulomatosis; Vasculitis; Diagnosis, differential; Lung neoplasms.

RESUMO

A granulomatose de Wegener é uma doença inflamatória multissistêmica de etiologia desconhecida, que se caracteriza por vasculite de pequeno e médio calibre. As manifestações clínicas mais comuns envolvem o trato respiratório superior, pulmões e rins e as alterações encontradas nos exames de imagem são geralmente opacidades pulmonares ou nódulos múltiplos, bilaterais e, em 50% dos casos, cavitações. O tratamento é feito com corticoides e imunossupressores. Descreve-se um caso atípico de um homem de 61 anos cuja investigação inicial de um tumor pulmonar unilateral evidenciou, na verdade, Granulomatose de Wegener.

Palavras-chave: Granulomatose de Wegener; Vasculite; Diagnóstico diferencial; Neoplasias pulmonares.

Introdução

A granulomatose de Wegener (GW) é uma doença inflamatória multissistêmica idiopática, rara e mediada por fatores imunes. A média de idade ao diagnóstico varia entre 20 e 40 anos, e o sexo masculino é o mais acometido numa proporção de 1,5:1,0. É incomum em pessoas da raça negra.(1)

Trata-se de uma vasculite de pequenas e médias artérias e caracteriza-se principalmente por inflamação granulomatosa necrosante do trato respiratório superior e inferior (70-95% dos casos) e glomerulonefrite pauci-imune necrosante (50-85% dos casos).(2,3) Entretanto, pode acometer também a pele, os olhos, o sistema musculoesquelético e mais raramente, o coração e o sistema nervoso.

Quanto à etiologia, acredita-se que, depois de repetidas infecções das vias aéreas, mecanismos de hipersensibilidade seriam acionados, favorecendo o aparecimento dos sintomas.(4) Indivíduos que apresentam os haplótipos de HLA B8, A2, B7, DRw12, A31 e DR4 parecem estar mais predispostos à GW.(5)

A maioria dos pacientes com GW apresenta-se com rinorreia persistente, epistaxe ou coriza purulenta, úlceras nasais, poliartralgias, mialgias e sintomas inespecíficos. Além disso, podem estar presentes tosse, hemoptise, dispneia e dor pleurítica. O comprometimento ocular é comum e bastante variável, sendo o pseudotumor de órbita (inflamação fibrogranulomatosa retrorbital, com exoftalmia dolorosa) uma apresentação típica da doença. O comprometimento renal confere pior prognóstico à doença e, quando associado à hemoptise, se enquadra como uma causa da síndrome pulmão-rim.(6)

O antineutrophil cytoplasmic antibody c (ANCA-c, anticorpo anticitoplasma de neutrófilos c) é o marcador sorológico da GW e serve tanto para o diagnóstico quanto para o acompanhamento da evolução.
O antígeno para o qual este anticorpo se dirige é uma enzima lisossômica-a proteinase-3.(7) O achado de ANCA-c positivo tem sensibilidade de 90-95% e especificidade de 90% para GW; já o fator reumatoide (FR) pode ser positivo em até 60% dos casos.(8) As provas de atividade inflamatória geralmente estão elevadas.

O diagnóstico da granulomatose de Wegener é baseado nos critérios clínicos, radiológicos, sorológicos e anatomopatológicos propostos pelo American College of Rheumatology. Dois dos seguintes critérios, acompanhados por ANCA-c positivo, confirmam o diagnóstico: inflamação oral ou nasal; nódulos ou opacidades fixas ou cavitações na radiografia de tórax; hematúria microscópica ou mais de 5 eritrócitos por campo de grande aumento e inflamação granulomatosa na biópsia (parede arterial, região perivascular ou extravascular de artérias e arteríolas).(7,8) A presença de dois ou mais critérios confere 88,2% de sensibilidade e 92,0% de especificidade.(7)

O tratamento clássico da granulomatose de Wegener é feito com prednisona 1 mg/kg/dia por 4 a 6 semanas, seguida de retirada lenta nos próximos 6 meses, associada à ciclofosfamida na dose de 2-3 mg/kg/dia, ajustando-se a dose de acordo com a contagem de linfócitos (devem ser mantidas ao redor de 1.000 células/mm3).(1,8)

Descrevemos um caso de granulomatose de Wegener com apresentação inicial incomum-uma lesão tumoral única no pulmão direito.

Relato de caso

Paciente masculino, 61 anos, procurou assistência em ambulatório de pneumologia, referindo secreção pulmonar com eventuais escarros hemópticos, há cerca de 5 meses. No último mês, apresentou tosse intensa, dispneia e um pico febril. Negou outros problemas respiratórios e antecedentes ocupacionais de risco. Referia labirintite de longa data e hipoacusia recente. Ex-tabagista (30 maços/ano), há 10 anos sem fumar.

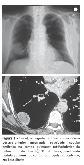
Ao exame físico, corado, hidratado, com murmúrio vesicular rude, estertores crepitantes em base de hemitórax direito, frêmito toracovocal aumentado e pressão arterial sistêmica de 120/80 mmHg. Oximetria de pulso com saturação de O2 de 96%. Foi iniciada a investigação com exames de imagem e laboratoriais. A radiografia de tórax mostrou opacidade nodular em terço inferior de hemitórax direito (Figura 1a); a radiografia de seios da face evidenciou espessamento de mucosa do seio maxilar esquerdo; e a TC de tórax, uma lesão expansiva no hemitórax direito (4,2 cm × 3,1 cm), contígua com a pleura parietal (Figura 1b). Diante disso, foi solicitada biópsia percutânea guiada por tomografia, cujo resultado mostrou áreas de fibrose e de extensa necrose associada a um processo inflamatório (Figuras 2a e 2b), cujas possíveis causas seriam: GW, granulomatose broncocêntrica ou doença infecciosa. Nos exames laboratoriais, foram encontrados: hemoglobinúria (+/4+), hematúria (29.000/mL), velocidade de hemossedimentação (27 mm/h), fator antinuclear reagente (1/40), pontilhado grosso, FR reagente (50,5 U/mL) e ANCA-c positivo. Após analisar os exames referidos, admitiu-se o diagnóstico de granulomatose de Wegener. Com a instituição do tratamento, evoluiu com melhora das manifestações clínicas e resolução da imagem pulmonar (Figura 3).









Discussão

No caso em questão, o paciente apresentava um quadro clínico inespecífico e um antecedente de tabagismo importante. A presença de sinais e sintomas pulmonares em um ex-tabagista idoso remete à possibilidade de neoplasia de pulmão, pela sua alta prevalência e pelo fato de ser uma afecção comum, quando comparada às vasculites sistêmicas. Assim, na abordagem inicial desse paciente, não se podia descartar neoplasia pulmonar. A partir disso, foram solicitados exames complementares que, em associação com as manifestações clínicas, possibilitaram o diagnóstico e a definição da melhor conduta terapêutica.

Os exames de imagem mostraram lesão nodular expansiva unilateral. Este achado é incomum na granulomatose de Wegener e, por isso, trouxe dificuldade diagnóstica diante da possibilidade de uma doença maligna. O esperado para esse tipo de vasculite seria um infiltrado pulmonar ou nódulos múltiplos bilaterais, podendo ser acompanhados de cavitações (em 50% dos casos).(8) O próximo passo, então, foi recorrer à biópsia percutânea guiada por tomografia, um procedimento que apresenta alta sensibilidade, especificidade e acurácia, esta podendo variar de 84,5% a 90% a depender diretamente do tamanho da lesão. Sua principal indicação é a pesquisa de malignidade em lesões pulmonares sólidas.(9,10)

A biópsia pulmonar mostrou alterações incompatíveis com neoplasia. Revelou quadro de extensa necrose associado à vasculite com necrose de parede, compatível com as hipóteses diagnósticas de GW e granulomatose broncocêntrica, dentre outras doenças granulomatosas e pseudotumor inflamatório.

O pseudotumor inflamatório do pulmão é uma neoplasia benigna de origem desconhecida que se apresenta, aos exames de imagem, como um nódulo solitário ou uma massa pulmonar periférica, raramente cavitada, com ou sem envolvimento extraparenquimatoso.(11,12) Apesar de a biópsia ter mostrado alterações sugestivas desta afecção (necrose, fibrose e infiltrado de mononucleares), trata-se de uma doença rara que, quando ocorre, é mais comum em indivíduos jovens, com menos de 16 anos.(11) Diante disso, a hipótese mais provável, considerando a biópsia(13) e a faixa etária do paciente, foi de granulomatose de Wegener.

Essa hipótese foi, então, corroborada pelos achados laboratoriais do paciente, de caráter inespecífico, pelo achado de inflamação de seios nasais e pela detecção de ANCA-c positivo(14) e do FR, que pode estar presente em até 60% dos casos.(8) Sem dúvida, o paciente preenchia todos os critérios propostos pelo American College of Rheumatology.

Referências

1. Wilson AG, Hansell DM. Immunologic Diseases of the Lungs. In: Armstrong P, editor. Imaging of diseases of the chest. London: Mosby; 2000. p. 550-4.

2. Borges ER, Ab'Saber AM, Barbas CS. Pulmonary hemorrhage syndromes. J Bras Pneumol. 2005;31(Suppl 1):S36-S43.

3. Antunes T, Barbas CSV. Wegener's granulomatosis. J Bras Pneumol. 2005;31(Suppl 1):S21-S6.

4. Correia JM, Abreu MC, André S. Granulomatose de Wegener - A propósito de um caso clínico. Rev Port Pneumol. 2003;IX(1):53-61

5. Vascular In [Homepage on the Internet]. São Paulo: Vascular In. [cited 2008 Feb 12]. Granulomatose de Wegener. Available from: http://www.vascularin.com.br/edicao05/wegener.htm

6. Ribeiro C, Neto MS, Silva GM, Santos AA, Penido MG. Granulomatose de Wegener: Apresentação clínica e tratamento. J Bras Nefrol. 2006;XXVIII(2):114-17.

7. Guidolin F, Magro CE, Neto FB, Skare TL. Granulomatose de Wegener e estenose subglótica: descrição de caso. Rev Bras Otorrinolaringol. 2004;70(3):419-22.

8. Rezende CE, Rodrigues RE, Yoshimura R, Uvo IP, Rapaport PB. Granulomatose de Wegener: relato de caso. Rev Bras Otorrinolaringol. 2003;69(2):261-5.

9. Carazzai EH, Andreosi M, Gonzalez FM, Gonzalez FQ, Tornin OS, Rossi MD. Biópsia pulmonar percutânea guiada por tomografia computadorizada: dados de um hospital. Radiol Bras. 2006;39(4):277-82.

10. Sociedade Portuguesa de Medicina Interna [homepage on the Internet]. Lisboa: Sociedade Portuguesa de Medicina Interna, Inc., c1994-2007. [updated 2007 Jul 29; cited 2007 Jul 23]. Revista da Sociedade Brasileira de Medicina Interna. Available from: http://www.spmi.pt/revista_indice.asp

11. Montessi J, Vieira JP, Mira RR, Rabelo FT. Inflammatory pseudotumor of the lung. J Bras Pneumol. 2005;31(1):83-5.

12. Ruiz Jr RL, Caetano AJ. Pseudotumor inflamatório do pulmão. Rev Col Bras Cir. 2001;29(2):115-6.

13. Skare TL, Zappi DM. Massa intracardíaca em provável caso de granulomatose de Wegener. Arq Bras Cardiol. 1998;71(4):609-11.

14. Tarantino AB, editor. Doenças Pulmonares. Rio de Janeiro: Guanabara Koogan; 2002.



Sobre os autores

Marcelo Fouad Rabahi
Professor Adjunto. Disciplina de Pneumologia. Departamento de Clínica Médica, Faculdade de Medicina, Universidade Federal de Goiás, Goiânia (GO) Brasil.

Ludmila Bertti Coelho
Acadêmica de Medicina. Faculdade de Medicina, Universidade Federal de Goiás, Goiânia (GO) Brasil.

Eliza de Oliveira Borges
Acadêmica de Medicina. Faculdade de Medicina, Universidade Federal de Goiás, Goiânia (GO) Brasil.

Marcella Stival Lemes
Acadêmica de Medicina. Faculdade de Medicina, Universidade Federal de Goiás, Goiânia (GO) Brasil.

Weniskley Mendes de Castro
Acadêmico de Medicina. Faculdade de Medicina, Universidade Federal de Goiás, Goiânia (GO) Brasil.

Siderley de Souza Carneiro
Professor Assistente. Disciplina de Anatomia Patológica. Faculdade de Medicina, Universidade Federal de Goiás, Goiânia (GO) Brasil.



* Trabalho realizado na Faculdade de Medicina, Universidade Federal de Goiás, Goiânia (GO) Brasil.
Endereço para correspondência: Marcelo Fouad Rabahi. Av. B, 483, Setor Oeste, CEP 74110 030, Goiânia, GO, Brasil.
Tel 55 62 3212 6536. E-mail: mfrabahi@terra.com.br
Apoio financeiro: Nenhum.
Recebido para publicação em 12/2/2008. Aprovado, após revisão, em 17/7/2008.

Indexes

Development by:

© All rights reserved 2025 - Jornal Brasileiro de Pneumologia