Continuous and bimonthly publication
ISSN (on-line): 1806-3756

Licença Creative Commons
20159
Views
Back to summary
Open Access Peer-Reviewed
Case Report

Allergic bronchopulmonary aspergillosis presenting a glove-finger shadow in radiographic images

Aspergilose broncopulmonar alérgica com imagem radiológica em "dedo de luva"

Marta Elizabeth Kalil, Ana Luiza Godoy Fernandes, Aline Cristinane da Silva Curzel, Márcio Zamuner Cortez, Gláucia Cristina Godinho Alves Lima

ABSTRACT

Allergic bronchopulmonary aspergillosis is a lung disease occurring in patients with asthma or cystic fibrosis, triggered by a hypersensitivity reaction to the presence of Aspergillus fumigatus in the airways. We report herein the case of a patient presenting a clinical profile suggestive of asthma and meeting the clinical, laboratory testing and radiological criteria for a diagnosis of allergic bronchopulmonary aspergillosis. The importance of such findings is that early diagnosis can reduce the risk of respiratory exacerbations and fibrosis.

Keywords: Asthma; Bronchiectasis; Aspergillus fumigatus; Aspergillosis, allergic bronchopulmonary

RESUMO

A aspergilose broncopulmonar alérgica é uma doença pulmonar que ocorre em pacientes com asma ou fibrose cística, desencadeada pela reação de hipersensibilidade à presença do fungo Aspergilus fumigatus nas vias aéreas. Relatamos aqui um caso em que uma paciente com quadro clínico sugestivo de asma apresentou critérios clínicos, laboratoriais e radiológicos compatíveis com o diagnóstico de aspergilose broncopulmonar alérgica. A importância de tais achados deve-se ao fato de que quanto mais precocemente for feito o diagnóstico, menores serão os riscos de agravamento do quadro respiratório e de aparecimento de fibrose.

Palavras-chave: Asma; Bronquiectasia, Aspergillus fumigatus; Aspergilose broncopulmonar alérgica

INTRODUCTION

Allergic bronchopulmonary aspergillosis (ABPA) is a lung disease occurring in patients with asthma or cystic fibrosis, caused by an allergic response to multiple antigens expressed by the Aspergillus fumigatus that colonizes the bronchial mucus.(1)

Some authors prefer the term allergic bronchopulmonary mycosis, considering that, in addition to A. fumigatus, other fungi, such as A. flavus, Candida spp., Penicillium spp., Curvularia spp. and Drechslera spp., can colonize the bronchi and produce a similar immune response.(1)
Recurrent episodes of bronchial obstruction, inflammation and mucoid impaction are characteristic of ABPA, which, if not diagnosed early and treated correctly, can also result in bronchiectasis, fibrosis and irreversible respiratory conditions.(2)

Currently, ABPA is more frequently diagnosed than it was in the past. It is estimated that ABPA is present in 2% to 28% of patients with asthma and in 2% to 15% of patients with cystic fibrosis. The 28% and 15% frequencies represent diagnoses made by pulmonologists and allergists, whereas the 2% frequencies represent diagnoses made by general clinicians. This wide range in the diagnosis frequency suggests that pulmonologists and allergists, based on their knowledge of ABPA, investigate and diagnose it more frequently than do general clinicians.(1)
In the present study, we report a case that presented interesting findings in terms of the clinical history, chest X-rays, and laboratory tests, emphasizing the importance of ABPA detection in patients with asthma. In asthma patients diagnosed with ABPA, the treatment differs from that indicated for patients with asthma only. Therefore, early diagnosis of ABPA can improve the prognosis.

CASE REPORT

A 42-year-old female architect reported having had a cough for ten years. The cough had begun when she was on holiday at a beach house, where she noticed a strong mold smell. Since than, she had been experiencing fits of coughing, either dry cough or cough producing dense, greenish sputum. In addition to the mold, the patient mentioned other factors, such as dust, cold weather, and laughing, that would trigger her coughing fits. She reported that, during this ten-year period, she did not have any episodes of fever, chest pain or dyspnea, but she occasionally presented wheezing, and she had once produced bloody sputum.

The patient had a family history of asthma, allergic rhinitis, and emphysema. She also had a personal history of allergic rhinitis (during adolescence).

The clinical examination revealed rhonchi and wheezing, both of which
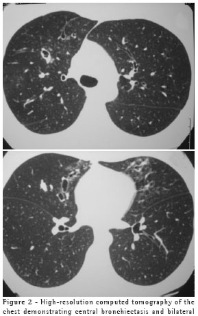
were bilateral and diffuse. Additional examinations showed the following: normal spirometry results, positivity for A. fumigatus in immediate cutaneous reaction allergy testing (skin prick test); eosinophilia (13%) in the blood workup; total serum IgE levels higher than 1000 ng/ml; and radioallergosorbent test (RAST) class 3 in the determination of specific IgE for A. fumigatus. On the chest X-ray, glove-finger shadows were observed in the right superior third (Figure 1). The high-resolution computed tomography scan revealed central bronchiectasis (Figure 2).










The criteria for a diagnosis of ABPA are as follows: asthma; eosinophilia; opacities in the lung; central bronchiectasis accompanied by IgE > 1000 ng/ml; positive skin prick test; and class 3 RAST positivity for A. fumigatus.
Having met these criteria, the patient was treated with 50 mg/day of prednisone for four weeks, and two inhalations of salbutamol spray totaling 100 µg every six hours. The prednisone dose was gradually decreased on a weekly basis over the eight weeks that followed.

By the end of the treatment, the coughing, expectoration, and wheezing, as well as the amount of mold eliminated from the bronchi, had been reduced. In addition, the pulmonary auscultation findings were normal, the RAST result for A. fumigatus was class 2, the degree of eosinophilia decreased (to 4%), and total serum IgE was 608 ng/ml.

DISCUSSION

The diagnosis of ABPA is based on clinical, radiographic, and immunologic criteria: history of asthma (84% to 96%)(3-4); positive skin prick test for A. fumigatus antigens; presence of precipitins against A. fumigatus (RAST positivity for A. fumigatus); serum IgE > 1000 ng/ml; eosinophilia in peripheral blood > 500 mm3 (8% to 40%)(3); pulmonary infiltrate; central bronchiectasis; and increase in specific plasma IgE and IgG for A. fumigatus.(5) If the first three of these criteria are met, but there is no bronchiectasis, the patient is classified as having serologic ABPA. If there is central bronchiectasis accompanied by at least three other criteria (such as history of asthma, positive skin prick test for A. fumigatus antigens, and increase in serum IgE), the patient is classified as having central bronchiectasis ABPA.(5)

In the case reported, the patient met all of the criteria for central bronchiectasis ABPA, as well as meeting one more established criteria: RAST positivity for A. fumigatus. Despite the fact that the spirometry results revealed a normal pattern, a diagnosis of asthma was made based on the clinical symptom of cough triggered by dust, mold, cold weather, and exertion, as well as that of wheezing, together with a personal history of allergic rhinitis and a family history of rhinitis/asthma.
In addition, the clinical findings of cough productive of dense, greenish sputum (containing bronchial mold) and hemoptysis confirm the superimposition of asthma symptoms complicated by ABPA.(6)

Performing a skin prick test for A. fumigatus should be the first step in the evaluation of an individual with asthma in order to diagnose ABPA, since a negative result on this test and a subsequent negative intradermal reaction for A. fumigatus virtually rule out the hypothesis of ABPA.(1) Since the skin prick test was positive in this case, we analyzed total serum IgE and found it to be higher than 1000 ng/ml. We also performed a RAST for specific precipitins against A. fumigatus antigens, and the result was positive. Based on these data, the diagnosis of ABPA was confirmed.
In various studies, the changes observed on the chest X-rays of patients with ABPA have been described as extensive consolidations and alveolar infiltrate, predominantly occurring in the superior lobes, together with mucoid impaction in the central bronchus. The findings known as the glove-finger shadow and the toothpaste shadow are transitory images of mucoid impaction, which can disappear with cough or after corticosteroid administration.(7-9) On the chest X-ray, opaque shadows in glove-finger form were observed in the upper third of the right hemithorax (Figure 1). On the high-resolution computed tomography scan, there were signs of central bronchiectasis (Figure 2). According to the literature, glove-finger shadows are suggestive of ABPA,(10) reflecting inflammation, thickening, and dilation of the bronchial tree caused by the mucoid impaction in the airways.(11) In order to , It has been suggested that high-resolution computed tomography is the best diagnostic technique for detecting central bronchiectasis, for which chest X-ray is neither sensitive nor specific.(4)

The treatment was based on the control of acute inflammation episodes, in order to avoid the progression of pulmonary damage.(6) To that end, it is recommended that oral prednisone be given at 0.5 mg/kg/day for 14 days, followed by 0.5 mg/kg/day every other day, and that the dose be tapered for the next three to six months.(12) Inhaled steroids can also aid in the control of asthma symptoms. However, there is no proof of their efficacy in preventing episodes of ABPA exacerbation.(6)

For patients who do not present clinical improvement after treatment with 0.5 mg/kg/day of an oral corticosteroid for a period of at least 30 days, as well as for those who require high doses of oral corticosteroid to improve the symptoms, we can combine an oral corticosteroid with 100 mg/day of itraconazole in order to decrease the corticosteroid dose, since itraconazole has a corticosteroid-sparing effect, leading to control of the disease. A large randomized, double-blind study compared itraconazole with placebo in 55 patients who were already being treated with a corticosteroid. The addition of itraconazole for 16 weeks was associated with a significant increase in patient clinical response. However, further studies are needed in order to confirm these findings, since the level of evidence in that study was category B. It would be prudent to assert that itraconazole should not be used in place of a corticosteroid in the treatment of ABPA. However, the use of itraconazole can be considered for patients that require prolonged treatment with high doses of a corticosteroid.(13)

Based on the clinical and radiological criteria, ABPA can be classified as follows: stage I (exacerbation); stage II (remission: absence of pulmonary radiographic alterations and respiratory symptoms, without relapse for at least six months, and a 50% to 75% decrease in total serum IgE)(14); stage III (recurrent exacerbations); stage IV (corticosteroid-dependent); and stage V (fibrotic lung disease).(3) After treatment with a corticosteroid, the patient presented remission (stage II), with a reduction in the respiratory symptoms and a drop in total serum IgE (to 608 ng/ml).

The importance of a patient achieving remission is that it prevents the progression to the more severe stages of the disease. According to one study,(14) mortality in stage V can reach 100%.

According to some authors, serologic ABPA can represent a initial stage of the disease.(15) Therefore, it should be diagnosed and treated early, even before it develops to central bronchiectasis ABPA, in order to reduce the chance of anatomical and functional pulmonary damage.(16) Therefore, ABPA should be suspected and investigated in all patients with asthma who do not present clinical and functional improvement after being treated as usual, as well as in those with asthma accompanied by wheezing and presenting radiographic alterations not consistent with asthma.(14)

REFERENCES

1. Vlahakis NE, Aksamit TR. Diagnosis and treatment of allergic bronchopulmonary aspergillosis. Mayo Clin Proc. 2001;76(9):930-8.
2. Lee TM, Greenberger PA, Patterson R, Roberts M, Liotta JL. Stage V (fibrotic) allergic bronchopulmonary aspergillosis. A review of 17 cases followed from diagnosis. Arch Intern Med. 1987;147(2):319-23.
3. Khan AN, Jones C, Macdonald S. Bronchopulmonary aspergillosis: a review. Curr Probl Diagn Radiol. 2003; 32(4):156-68.
4. Eaton T, Garret J, Milne D, Frankel A, Wells AU. Allergic bronchopulmonary aspergillosis in the asthma clinic. A prospective evaluation of CT in the diagnostic algorithm. Chest. 2000;118(1):66-72. Comment in: Chest. 2000;118(1):7-8.
5. Patterson R, Greenberger PA, Halwig JM, Liotta JL, Roberts M. Allergic bronchopulmonary aspergillosis. Natural history and classification of early disease by serologic and roentgenographic studies. Arch Intern Med. 1986;146(5):916-18.
6. Lim KG, Weller PF. Allergic bronchopulmonary aspergillosis. UpToDate [serial on the Internet]; 2003;12.1 [cited 2003 Aug 6]. Available from : http://www.uptodate.com.
7. Hinson KF, Moon AJ, Plummer NS. Bronchopulmonary aspergillosis: a review and a report of eight new cases. Thorax. 1952;7(4):317-33.
8. Henderson AH. Allergic aspergillosis: review of 32 cases. Thorax. 1968;23(5):501-12.
9. Warren WP, Rose B. Hipersensivity bronchopulmonary aspergillosis. Dis Chest. 1969;55(5):415-21.
10. Shteinshnaider M, Shpirer I, Sandbank J, Vasserman M, Cohen N. Who is the owner of this glove? Isr Med Assoc J. 2004;6(7): 440-1.
11. Sharma OP, Chwogule R. Many faces of pulmonary aspergillosis. Eur Respir J. 1998;12(3):705-15.
12. Greenberger PA. Allergic bronchopulmonary aspergillosis. J Allergy Clin Immunol. 2002;110(5):685-92.
13. Wark PA, Hensley MJ, Saltos N, Boyle MJ, Toneguzzi RC, Epid GD, et al. Anti-inflammatory effect of itraconazole in stable allergic bronchopulmonary aspergillosis: a randomized controlled trial. J Allergy Clin Immunol. 2003;111(5):952-7.
14. Patterson R, Greenberger PA, Harris KE. Allergic bronchopulmonary aspergillosis. Chest. 2000;118(1):7-8. Comment on: Chest. 2000;118(1):66-72.
15. Greenberger PA, Miller TP, Roberts M, Smith LL. Allergic bronchopulmonary aspergillosis in patients with and without evidence of bronchiectasis. Ann Allergy. 1993;70(4):333-8.
16. Serpa FS, Reza D, França AT. Aspergilose broncopulmonar alérgica. F Méd. 1993;106(6):233-9.

_________________________________________________________________________________________

* Study carried out at the Pulmonology Outpatient Clinic of the Pontificia Universidade Católica de São Paulo (PUCSP, Pontifical Catholic University of São Paulo) and in the Asthma Group of the Escola Paulista de Medicina da Universidade Federal de São Paulo (EPM-UNIFESP, Paulista School of Medicine-Federal University of São Paulo), São Paulo, Brazil.
1. Assistant Professor of Pulmonology at the Centro de Ciências Médicas e Biológicas (CCMB, Center for Medical and Biological Sciences) of the Pontificia Universidade Católica de São Paulo (PUCSP, Pontifical Catholic University of São Paulo), Sorocaba, Brazil
2. Adjunct Professor of Pulmonology of the Escola Paulista de Medicina da Universidade Federal de São Paulo (EPM-UNIFESP, Paulista School of Medicine-Federal University of São Paulo), São Paulo, Brazil
3. Medical Student at the Pontificia Universidade Católica de São Paulo (PUCSP, Pontifical Catholic University of São Paulo) School of Medicine, Sorocaba, Brazil
4. Pulmonologist at the Sorocaba Conjunto Hospitalar, Sorocaba, Brazil
Correspondence to: Marta Elizabeth Kalil. Rua Cláudio Manoel da Costa, 426, Jardim Vergueiro -
CEP: 18030-210, Sorocaba, SP, Brasil.
Submitted: 9 October 2005. Accepted, after review: 29 November 2005.

Indexes

Development by:

© All rights reserved 2025 - Jornal Brasileiro de Pneumologia