Continuous and bimonthly publication
ISSN (on-line): 1806-3756

Licença Creative Commons
19926
Views
Back to summary
Open Access Peer-Reviewed
Original Article

Extramedullary hematopoiesis: findings on computed tomography scans of the chest in 6 patients

Hematopoese extramedular: achados em tomografia computadorizada do tórax de 6 pacientes

Edson Marchiori, Dante Luiz Escuissato, Klaus Loureiro Irion, Gláucia Zanetti, Rosana Souza Rodrigues, Gustavo de Souza Portes Meirelles, Bruno Hochhegger

ABSTRACT

Objective: To present findings on computed tomography scans of the chest indicative of extramedullary hematopoiesis in six patients. Methods: We retrospectively analyzed computed tomography scans of six adult patients-five males and one female-with a mean age of 36.5 years. Two radiologists independently reviewed the scans, and a consensus was reached in discrepant cases. Results: The most common finding in the scans was lower paravertebral masses with heterogeneous content (four patients). The scans of two patients showed a solitary parietal and pleural mass. Conclusions: There are findings in computed tomography scans that are highly suggestive of extramedullary hematopoiesis, especially when those findings correlate with underlying blood diseases. Such findings, in most of the cases, allow physicians to dispense with histopathological confirmation.

Keywords: Tomography, X-ray computed; Hematopoiesis, extramedullary; Mediastinum/physiopathology; Anemia, sickle cell.

RESUMO

Objetivo: Apresentar os achados na tomografia computadorizada do tórax indicativos de hematopoese extramedular de seis pacientes. Métodos: Foram estudadas, retrospectivamente, as tomografias de seis pacientes adultos-cinco homens e uma mulher-com idade média de 36,5 anos. Os exames foram analisados por dois radiologistas, de forma independente, e as decisões finais foram obtidas por consenso. Resultados: O achado mais freqüente nas tomografias foi o de massas paravertebrais inferiores, de conteúdo heterogêneo (quatro pacientes). As tomografias de dois pacientes mostravam uma massa solitária parietal e pleural. Conclusões: A hematopoese extramedular apresenta aspectos na tomografia computadorizada fortemente sugestivos do diagnóstico que, quando correlacionados com a presença de doença hematológica de base, permitem, na maior parte dos casos, dispensar a comprovação histopatológica.

Palavras-chave: Tomografia computadorizada por raios X; Hematopoese extramedular, Mediastino/fisiopatologia, Anemia falciforme.

Introduction

Extramedullary hematopoiesis (EMH) is considered a physiological compensatory mechanism, with formation of normal blood cells outside the bone marrow, occurring when the bone marrow is unable to meet the physical demand.­(1-6) Frequently, EMH is associated with congenital hemoglobinopathies or with acquired bone marrow replacement disorders.(1,2) Although any organ can be involved, the liver and the spleen are the sites most commonly ­affected­.­(2,5-8) Thoracic involvement is less common. When present, it typically manifests as bilateral lobulated masses occurring adjacent to the lower portion of the spinal column and presenting dense soft parts.(1,2,4,5)

The diagnosis of intrathoracic EMH can be made through conventional radiology, computed tomography (CT) scans, or magnetic resonance imaging (MRI), when characteristic radiological findings are present together with a history of chronic anemia.(9) The differential diagnosis is made based on the presence of posterior mediastinal masses. Due to the high vascularization of this tissue, needle biopsy should be avoided. Therefore, those imaging techniques become more important for diagnosis. The objective of this study was to present tomography findings in six patients with intrathoracic EMH.

Methods

In this study, we retrospectively analyzed CT scans of six patients diagnosed with intrathoracic EMH at five different institutions, located in four Brazilian states (Rio de Janeiro, São Paulo, Rio Grande do Sul, and Paraná). Of the six patients, five were male, and one was female. Ages ranged from 19 to 59 years, with a mean of 36.5 years.

The principal underlying diseases were sickle cell anemia (three patients), thalassemia (two patients), and spherocytosis (one patient). Five of the patients were asymptomatic from a respiratory standpoint, and one presented cough and chest pain.

The diagnosis was based on the association of the clinical and biochemical profiles (diagnosis of the underlying disease), together with the patterns observed on X-rays and CT scans. However, three patients presenting less typical tomography profiles underwent mass biopsy, which allowed histopathological confirmation.

The CT scans were performed in various tomography scanners, axial slices ranging from 5 to 10 mm in thickness, in 10-mm increments, during a deep inspiration, from the apices to the lung bases. Tests were performed using a parenchymal window, with a width of 1,000-1,500 Hounsfield Units (HU) and a center between −500 and −750 HU. Tests were also performed using a mediastinal window, with a width of 300-400 HU and a center between 40 and 60 HU.

Two independent observers reviewed the scans, and differences of opinion were resolved by consensus. The study included the evaluation of the masses in terms of location, distribution, and density, as well as in terms of other associated alterations

Results

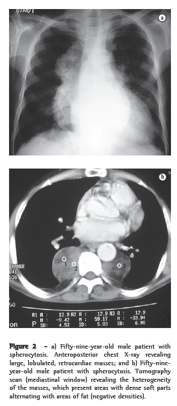
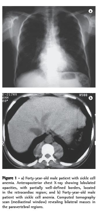
Of the six patients evaluated, four presented lower paravertebral masses. In three cases, the masses were bilateral and relatively symmetric, and, in one, the mass was unilateral (on the right). Regarding the content of the masses, the presence of adipose tissue was confirmed in three patients, and, in one of them, the quantity of adipose material was quite significant. In one patient, the masses were homogeneous, with dense soft parts (Figures 1a, 1b, 2a and 2b).






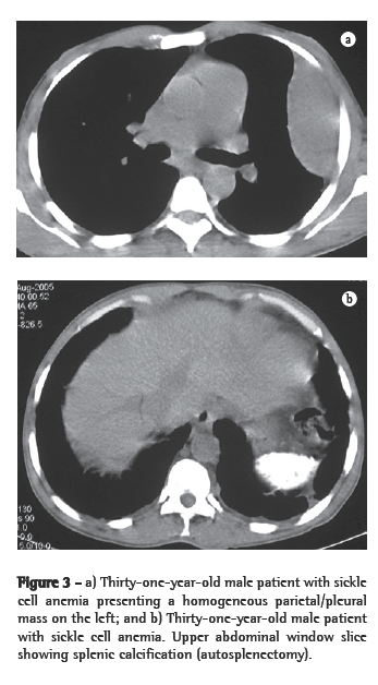
The remaining two patients each presented a parietal pleural mass, both on the left, with no evidence of paravertebral involvement. In one of them, the mass was homogeneous (Figures 3a and 3b), and, in the other, there was associated bone reaction.



As associated findings, two patients presented calcifications in the spleen (Figure 4). Both of them had sickle cell anemia. Two of the six patients had undergone splenectomy, and two presented normal spleen imaging findings. Bone alterations related to the underlying disease were identified in three patients.



Discussion

Various hemoglobinopathies, such as thalassemia, sickle cell anemia, and spherocytosis, as well as myeloproliferative disorders, such as leukemia, lymphoma, myelodysplasia, and myelofibrosis, have been associated with EMH.(1,2,8,10,11) Typically found in the liver, spleen, and lymph nodes, EMH is formed by diffuse microscopic areas of hematopoietic tissue.(2,5,6) Other sites less commonly affected are the kidneys, pleura, skin, ovaries, intestine, sclera, central nervous system, epidural space, and adrenal glands.(2,11,12) In our sample, three patients had sickle cell anemia, two had thalassemia, and one had spherocytosis.

The pathogenesis of intrathoracic EMH includes the extrusion of bone marrow stem cells, through the thin cortex of vertebral bodies and ribs, to the subperiosteal region, promoted by the negative pressure. Those cells proliferate not only in the extruded tissue but also in other distant areas, probably due to the proliferation of hematopoietic tissue embolized from other areas, such as the spleen.(4,11)

Thoracic involvement in EMH is rare.(1,5) When it occurs, it usually manifests as round, lobulated masses, with dense soft parts in the posterior mediastinum, being more common in the lower paravertebral regions.(1,2,4,5,9) Occasionally, those masses can appear in the anterior mediastinum or in the pleura.(4) Pleural effusion has been reported.(2,13) Four of our patients presented lower paravertebral masses, and two presented parietal pleural masses.

The presence of masses usually causes no symptoms. Symptoms can appear in cases of marrow compression due to occupation of the epidural space, in the presence of spontaneous hemothorax, or secondary to interstitial involvement, at which point the patient can develop fatal acute respiratory failure.(3,4,10,13,14) Five of our patients were asymptomatic, and one presented cough with chest pain.

Radiographically, intrathoracic EMH usually presents as multiple paravertebral masses, with dense soft parts, usually bilateral, lobulated, with well-defined borders, and without accompanying calcifications or bone erosion.(1,4,5,9) This is important for the differential diagnosis of paravertebral neurofibromas, which usually have accompanying bone alterations.(4,10) However, evidence of bone lesions related to the underlying disease is a common finding. On chest X-rays, such masses usually present an aspect of lobulated, double-contour cardiac silhouette in frontal view, as well as an aspect of a lobulated mass projected over the lower vertebral bodies in profile.(13)

On CT scans, masses with dense soft parts, usually homogeneous, with characteristics similar to those described using conventional radiology,(1,2,5,6) and which might or might not be highlighted after administration of contrast material,(4,10) can be seen. This imaging method is important for analyzing the internal structure of the lesions, especially of those that are rich in fat,(5) in order to identify other paracostal masses, and for detecting bone alterations associated with certain hematologic diseases, such as thalassemia and sickle cell anemia.(6) In cases related to thalassemia, sickle cell anemia, or myeloid metaplasia, there can be widening of the medullary cavities of the ribs.(5) All of those aspects were identified in our cases. It is of note that two patients presented calcifications in the spleen, resulting from multiple infarcts, with autosplenectomy. Both of those patients had sickle cell anemia. This finding can also facilitate the differential diagnosis.

Active, recent lesions are richly vascularized, whereas old, inactive lesions have more adipose tissue and iron deposition. Between the two extremes, there are various combinations of findings, reflecting the different stages of evolution of the hematopoietic focus. Those histological differences are not represented on CT scans or MRIs. Recent, active lesions present dense soft parts on CT scans and intermediate signal intensity on MRIs (T1- and T2-weighted images). After administration of contrast material, there is usually some degree of impregnation in the active lesions. Old, inactive lesions can show increased density on CT scans, due to iron impregnation, or negative densities, due to adipose infiltration. On MRIs (T1- and T2-weighted images), old, inactive lesions can show high signal intensity, due to adipose infiltration, or low signal intensity, due to iron deposition.(4,8,12)

In one study,(6) the changes in the density of the paravertebral masses in a patient submitted to 5-year follow-up evaluation were monitored by CT scans. Initially, the masses presented dense soft parts, later (after splenectomy) undergoing adipose changes. This transformation was attributed to the resolution of the hemolytic disease and to the disappearance of the stimulus that favors the formation of hematopoietic tissue.

Another interesting aspect described was the diffuse involvement of the lung parenchyma (translated as ground-glass infiltrate on CT scans) and occlusion of small pulmonary vessels. The autopsy of this patient revealed immature hematopoietic elements infiltrating the lung interstitium (a finding consistent with EMH involving the alveolar walls), as well as aggregates of hematopoietic cells and platelet thrombi occluding small pulmonary vessels, probably originating from other viscera, such as the spleen.(2)

The diagnosis of intrathoracic EMH can be safely made using a noninvasive technique when radiological findings are present together with chronic anemia.(5) Needle biopsy should be avoided, since hypervascularization can cause hemorrhagic complications.(4,14) Histopathology usually reveals well-formed hematopoietic tissue, with normal maturation of the three cell lines.(14)

The differential diagnosis should be made based on posterior mediastinal masses, including neurogenic tumors, lymphoma, paravertebral abscess, extrapleural cysts, lateral meningocele, and mediastinal lymph node hyperplasia, as well as primary and metastatic malignant neoplasms.(5,9)

The treatment is that of the underlying disease.­(5) Except in cases of medullary compression, the hematopoietic tissue should not be removed, since it plays a compensatory role in maintaining erythrocyte formation at a level that can meet the physical demand.(4) When the tissue is more extensive, radiotherapy can be indicated.(10,13) Medullary compression needs to be treated promptly. Pleural effusion or hemothorax that persist after drainage usually respond well to thoracic radiotherapy.(13)

In conclusion, the finding of well-defined, bilateral paravertebral masses in patients with previously diagnosed blood disease should alert physicians to the diagnostic possibility of EMH.

References


1. Yamato M, Fuhrman CR. Computed tomography of fatty replacement in extramedullary hematopoiesis. J Comput Assist Tomogr. 1987;11(3):541-2.

2. Wyatt SH, Fishman EK. Diffuse pulmonary extramedullary hematopoiesis in a patient with myelofibrosis: CT findings. J Comput Assist Tomogr. 1994;18(5):815-7.

3. Chiam QL, Lau KK. Extramedullary haematopoiesis in thalassaemia major causing spinal cord compression. Australas Radiol. 2007;51(2):168-71.

4. Pornsuriyasak P, Suwatanapongched T, Wangsuppasawad N, Ngodngamthaweesuk M, Angchaisuksiri P. Massive hemothorax in a beta-thalassemic patient due to spontaneous rupture of extramedullary hematopoietic masses: diagnosis and successful treatment. Respir Care. 2006;51(3):272-6.

5. Fielding JR, Owens M, Naimark A. Intrathoracic extramedullary hematopoiesis secondary to B12 and folate deficiency: CT appearance. J Comput Assist Tomogr. 1991;15(2):308-10.

6. Martin J, Palacio A, Petit J, Martin C. Fatty transformation of thoracic extramedullary hematopoiesis following splenectomy: CT features. J Comput Assist Tomogr. 1990;14(3):477-8.

7. Salanitri GC, Hennessy OF. Osteopetrosis with intrathoracic extramedullary hematopoiesis. AJR Am J Roentgenol. 2005;184(2):702-3.

8. Ejindu VC, Hine AL, Mashayekhi M, Shorvon PJ, Misra RR. Musculoskeletal manifestations of sickle cell disease. Radiographics. 2007;27(4):1005-21.

9. Moreira, LB, Melo AS, Marchiori E. Hematopoiese extramedular intra-torácica. Radiol Bras. 2001;34(3):177-180.

10. Lall C, Payne DK. A patient with anemia and a paraspinal chest mass. Chest. 2003;124(2):732-4.

11. Kwak HS, Lee JM. CT findings of extramedullary hematopoiesis in the thorax, liver and kidneys, in a patient with idiopathic myelofibrosis. J Korean Med Sci. 2000;15(4):460-2.

12. Tsitouridis J, Stamos S, Hassapopoulou E, Tsitouridis K, Nikolopoulos P. Extramedullary paraspinal hematopoiesis in thalassemia: CT and MRI evaluation. Eur J Radiol. 1999;30(1):33-8.

13. Bowen EF, Marsh JC, Sandu C, Young M, Rayner CF. An elderly female with dyspnoea and anaemia. Eur Respir J. 2000;16(3):566-9.

14. Chu KA, Lai RS, Lee CH, Lu JY, Chang HC, Chiang HT. Intrathoracic extramedullary haematopoiesis complicated by massive haemothorax in alpha-thalassaemia. Thorax. 1999;54(5):466-8.






Study carried out at the Universidade Federal Fluminense - UFF, Fluminense Federal University - and at the Federal University of Rio de Janeiro, Rio de Janeiro, Brazil.
1. Full Professor and Head of the Department of Radiology of the Universidade Federal Fluminense - UFF, Fluminense Federal University - Rio de Janeiro, Brazil.
2. Adjunct Professor of Radiology. Universidade Federal do Paraná -UFPR, Federal University of Paraná - Curitiba, Brazil.
3. Consultant Chest Radiologist at The Cardiothoracic Centre NHS Trust and The Royal Liverpool and Broadgreen University Hospitals, Liverpool, England.
4. Professor of Clinical Medicine. Petrópolis School of Medicine, Petrópolis, Brazil.
5. Physician in the Department of Radiology. Clementino Fraga Filho Hospital and Copa D'Or Hospital, Rio de Janeiro, Brazil.
6. Radiologist. Universidade Federal de São Paulo - UNIFESP, Federal University of São Paulo - São Paulo, Brazil.
7. Resident in Radiology. Santa Casa Hospital Complex in Porto Alegre, Porto Alegre, Brazil.
Correspondence to: Edson Marchiori. Rua Thomaz Cameron, 438, Valparaíso, CEP 25685-120, Petrópolis, RJ, Brasil.
Tel 55 21 2629-9076. E-mail: edmarchiori@gmail.com
Financial support: None.
Submitted: 29 November 2007. Accepted, after review: 11 February 2008.

Indexes

Development by:

© All rights reserved 2025 - Jornal Brasileiro de Pneumologia