Continuous and bimonthly publication
ISSN (on-line): 1806-3756

Licença Creative Commons
17166
Views
Back to summary
Open Access Peer-Reviewed
Original Article

Fibrose maciça progressiva em trabalhadores expostos à sílica. Achados na tomografia computadorizada de alta resolução

Progressive massive fibrosis in silica-exposed workers. High-resolution computed tomography findings

Ângela Santos Ferreira, Valéria Barbosa Moreira, Hevânia Mara Vaz Ricardo, Renata Coutinho, José Manoel Gabetto, Edson Marchiori

ABSTRACT

Objective: To evaluate the radiological characteristics of conglomerate masses using high-resolution computed tomography of the chest. Methods: From among the patients treated between 1986 and 2004 at the Antonio Pedro University Hospital, 75 patients with silicosis and massive fibrosis, most working in the field of sandblasting, were selected for study. These patients were submitted to a clinical evaluation, chest X-ray and high-resolution computed tomography of the chest. Results: In more than half of the patients with accelerated silicosis, the chest X-ray revealed large type B and C opacities, denoting the severity of the disease in those patients. In 1 case, a unilateral mass simulating lung cancer was observed. High-resolution computed tomography scans of the chest were acquired for 44 patients. In most cases (88.6%), the masses were located in the superior and posterior thirds of the lung. Common findings within the masses included air bronchograms (in 70.4%) and calcifications (in 63.6%). A history of tuberculosis was reported by 52% of the patients. Conclusion: In the vast majority of cases, the masses were bilateral, predominantly located in the superior and posterior regions of the lung, featuring air bronchograms and interposed calcifications. Concomitant calcification of the mediastinal and hilar lymph nodes was another common finding. Exposure to high concentrations of dust and having a history of tuberculosis were considered significant risk factors for the development of progressive massive fibrosis.

Keywords: Pulmonary fibrosis; Silicosis; Silicon dioxide; Occupational diseases; Environmental exposure;

RESUMO

Objetivo: Avaliar as características radiológicas das massas conglomeradas pela tomografia computadorizada de alta resolução de tórax. Métodos: Foram selecionados 75 pacientes silicóticos, a maioria jateadores de areia, portadores de fibrose maciça progressiva, atendidos no Hospital Universitário Antônio Pedro entre 1986 e 2004. Os pacientes foram submetidos a avaliação clínica, radiografia simples de tórax e tomografia computadorizada de alta resolução. Resultados: Mais da metade dos pacientes com silicose complicada mostrou na radiografia de tórax grandes opacidades dos tipos B e C, denotando a gravidade da doença nesses pacientes. Dos 75 casos, apenas um apresentou massa unilateral simulando câncer de pulmão. Quarenta e quatro pacientes realizaram tomografia computadorizada de alta resolução do tórax. As massas predominaram nos terços superiores e posteriores (88,6%). Broncograma aéreo e calcificações no interior das massas foram observados em 70,4% e 63,8% dos casos, respectivamente. História de tuberculose foi relatada em 52% dos pacientes estudados. Conclusão: Na grande maioria dos casos as massas eram bilaterais, predominando nas regiões póstero-superiores dos pulmões, com broncogramas aéreos e calcificações de permeio. Associação com calcificações linfonodais foi um achado freqüente. A exposição a elevadas concentrações de poeira e a tuberculose foram consideradas fatores de risco para o desenvolvimento da fibrose maciça progressiva.

Palavras-chave: Fibrose pulmonar; Silicose; Dióxido de silício; Doenças ocupacionais; Exposição ambiental;

INTRODUÇÃO

A silicose é uma doença pulmonar causada pela inalação de sílica cristalina que induz reação tecidual de caráter fibrogênico.(1) Clinicamente pode ser dividida em três formas evolutivas: crônica, acelerada e aguda.(2) A forma crônica é a mais comum e ocorre após muitos anos de exposição a níveis relativamente baixos de poeira. Silicose acelerada é um termo clínico aplicado a uma condição que tem a velocidade intermediária de progressão entre a silicose aguda e a doença nodular crônica clássica, requerendo, em média, de cinco a dez anos de exposição à poeira para o aparecimento das alterações radiológicas.(3) A forma aguda da doença é bastante rara e acomete trabalhadores expostos a concentrações excepcionalmente altas de finas partículas de sílica cristalina recentemente fraturadas, como ocorre no jateamento de areia e na moagem de pedra.(4)

As manifestações radiológicas da silicose variam nas diferentes formas clínicas. A silicose simples é caracterizada pela presença de múltiplos nódulos, que variam de 1 a 10 mm de diâmetro, com distribuição predominante nas regiões superior e posterior dos lobos superiores. Os nódulos tendem a ser circunscritos, de densidade uniforme e geralmente são simétricos. Ocasionalmente podem calcificar, com tendência para localização subpleural. O alargamento de linfonodos é comum e pode preceder o aparecimento de nodularidade difusa. A periferia dos linfonodos hilares e mediastinais pode calcificar-se. Esta aparência foi denominada calcificação em casca de ovo.(5)

A silicose complicada caracteriza-se pela presença de grandes opacidades, com áreas homogêneas de consolidação, de distribuição não segmentar, acometendo principalmente as porções superior e média dos pulmões. Resulta da confluência dos pequenos nódulos fibróticos que se tornam maiores que 10 mm de diâmetro. A silicose complicada é também referida como fibrose maciça progressiva (FMP), termo utilizado pela primeira vez por Fletcher, em 1948, para as pneumoconioses que evoluíam das formas simples para as formas complicadas.(6)

A FMP ocorre basicamente na pneumoconiose dos mineiros de carvão e na silicose, sendo mais rara em outras pneumoconioses. Do ponto de vista da Patologia, por definição, a lesão tem pelo menos 2 cm de diâmetro em cortes histológicos de tecido. Entretanto, a classificação internacional das radiografias de pneumoconioses da Organização Internacional do Trabalho considera fibrose maciça progressiva qualquer opacificação pulmonar que exceda 1 cm de diâmetro na radiografia de tórax.(7)

O principal sintoma da silicose complicada é a dispnéia progressiva e incapacitante. Nas fases avançadas da doença, pode apresentar quadro de franca insuficiência respiratória, perda de peso e fraqueza, ficando o paciente suscetível a infecções do trato respiratório inferior. Com maior freqüência, os pacientes portadores de silicose acelerada evoluem para a forma complicada da doença, com formação de grandes massas fibróticas.(8)

A principal complicação da silicose é a tuberculose. A susceptibilidade à tuberculose parece resultar de uma combinação de fatores, destacando-se um possível efeito químico da sílica sobre o crescimento bacilar, a toxicidade macrofágica e uma maior permanência dos bacilos no tecido pulmonar por dificuldade na drenagem linfática.(9)

A incidência de tuberculose é maior nos pacientes silicóticos cuja doença foi complicada pela FMP, quando comparados com os portadores da forma simples da doença. Esta associação agrava a evolução da pneumoconiose.(10)

O objetivo deste trabalho foi avaliar as características radiológicas das massas conglomeradas pela tomografia computadorizada de alta resolução do tórax (TCAR).

MÉTODOS

Foi realizada uma revisão nas 312 fichas do arquivo mantido pela equipe do Ambulatório de Pneumopatias Ocupacionais do Hospital Universitário Antônio Pedro de pacientes com história de exposição à sílica, no período de janeiro de 1986 a julho de 2004.

Dos 189 pacientes com silicose confirmada pela história ocupacional e alterações radiológicas compatíveis com a doença, foram selecionados 75 casos que apresentaram a forma complicada da doença, caracterizada pela presença de grandes opacidades, maiores que 1 cm, no parênquima pulmonar.

As radiografias de tórax foram realizadas no Serviço de Radiologia do Hospital Universitário Antônio Pedro, dentro das exigências técnicas, usando alta quilovoltagem e curto tempo de exposição, sendo a distância entre foco e filme de 180 cm na posição póstero-anterior (Organização Internacional do Trabalho, 1980). As tomografias computadorizadas de tórax foram realizadas com a técnica de alta resolução, nos aparelhos CETEMAX 640 (GE) e Asteion (Toshiba).

A Classificação Internacional das Radiografias de Pneumoconioses da Organização Internacional do Trabalho, de 1980,(11) foi usada para classificação e interpretação comparativa das radiografias com os padrões fornecidos.

As grandes opacidades foram classificadas em: tipo A, quando havia opacidade com o maior diâmetro entre 1 e 5 cm, ou mais de uma opacidade com diâmetro igual ou superior a 1 cm, porém com a soma dos diâmetros inferior a 5 cm; tipo B, quando o diâmetro combinado de uma ou mais opacidades era maior que 5 cm, porém a área total era menor que o terço superior do pulmão direito; tipo C, quando a área referente às grandes opacidades excedia o terço superior do pulmão direito.

Nos pacientes que realizaram TCAR foram analisadas as seguintes características das massas: localização, presença de escavação, broncograma aéreo e calcificação no interior das mesmas. Também foram avaliadas presença de enfisema adjacente às massas e calcificação linfonodal.

Outras variáveis também consideradas foram: idade, profissão, tempo de exposição à poeira de sílica e associação com tuberculose.

RESULTADOS

Todos os 75 pacientes portadores de silicose complicada eram do sexo masculino, com média de idade de 43 anos, tendo o mais jovem 28 e o mais idoso 76 anos. O tempo médio de exposição à sílica foi de 14,2 anos, sendo a exposição mais curta de sete meses e a mais prolongada de 38 anos. Dos 75 pacientes, 62 eram jateadores de areia (82,6%), 11 marteleteiros (14,6%), 1 soldador (1,4%) e 1 esmerilhador (1,4%). Quanto à associação com tuberculose, 39 pacientes relataram história de tuberculose pulmonar (52%). Destes, 37 desenvolveram a doença durante a exposição à sílica. O diagnóstico foi confirmado em 31 casos: baciloscopia direta do escarro (24 casos), cultura para micobactéria do escarro (3 casos), cultura para micobactéria do lavado broncoalveolar (1 caso), exame histopatológico (3 casos). Em 8 pacientes houve suspeita clínico-radiológica com resposta ao tratamento específico.

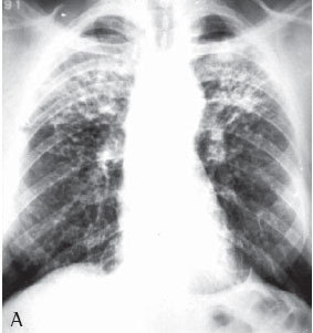
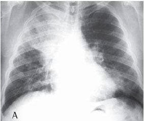
Quanto à classificação radiológica das grandes opacidades na radiografia de tórax verificou-se que: 23 pacientes apresentaram grande opacidade do tipo A (30,7%), 25 do tipo B (33,3%) e 27 do tipo C (36%) (Figuras 1A e 1B). Dos casos analisados, 74 apresentaram massas conglomeradas bilaterais, e apenas 1 apresentou lesão unilateral (Figuras 2A e 2B).











Dos 75 pacientes portadores de FMP, 44 realizaram TCAR de tórax. Quanto às características das massas analisadas pela TCAR de tórax verificou-se que 88,6% predominaram nos terços superiores e eram posteriores. Escavações foram observadas em 18,18% das massas, broncograma aéreo em 70,4% e calcificação no interior das mesmas em 63,6% delas. Enfisema ao redor das massas foi observado em 72,7% e calcificação linfonodal em 81,8% dos casos (Figuras 3A e 3B).






DISCUSSÃO

A silicose é a pneumoconiose mais prevalente no Brasil e no mundo. O interesse por essa doença foi despertado pela constatação de sua alta incidência em trabalhadores dos estaleiros navais da orla marítima da Baía de Guanabara (Niterói - RJ) que buscavam atendimento nos hospitais da região. Esses pacientes, em geral expostos a concentrações excepcionalmente altas de partículas de sílica, desenvolvem a forma acelerada da doença e, com maior freqüência, evoluem para a forma complicada, com formação de grandes massas fibróticas que distorcem e destroem a arquitetura pulmonar.(12)

Neste estudo, o jateamento de areia foi a atividade profissional responsável pelo maior número de casos da doença (82,6%). A taxa de prevalência da FMP entre eles foi bastante elevada (39,7%), evidenciando a importância da exposição a altas concentrações de poeira como fator de risco para o desenvolvimento desta forma de doença.

Alguns autores(10) descreveram 92 casos de FMP e também relataram a importância da quantidade de pó aspirado para o desenvolvimento desta pneumoconiose grave. Outros,(13) ao analisarem 733 pacientes silicóticos portadores de FMP, verificaram que os fatores de risco mais significativos associados com esta forma da doença foram: altos níveis de exposição à poeira, história de tuberculose e alta profusão das pequenas opacidades na radiografia de tórax.

No presente estudo, a associação de FMP com tuberculose foi encontrada em 52% dos pacientes, o que confirma a importância da infecção tuberculosa como fator de risco para o desenvolvimento de FMP. Sabe-se que a silicose é um fator de risco para tuberculose.(14) Alguns autores(15) relataram alta prevalência de tuberculose nos silicóticos jateadores de areia (34%).

O diagnóstico de tuberculose em paciente com silicose pode ser extremamente difícil de se estabelecer, especialmente quando a radiografia de tórax evidencia a forma complicada da doença. A tuberculose deve ser suspeitada na presença de sintomas sistêmicos (embora eles possam fazer parte da silicose complicada) e nos casos com alterações radiológicas sugestivas de tuberculose, como um rápido aparecimento de novas opacidades, e presença de derrame pleural e de escavações.(16)

A silicose complicada é caracterizada na radiografia simples de tórax por grandes opacidades com mais de 1 cm de diâmetro, com áreas homogêneas de consolidação de distribuição não segmentar acometendo principalmente os campos superiores. As lesões tendem a se formar na periferia e migram em direção ao hilo, deixando um tecido pulmonar enfisematoso entre a consolidação e a superfície pleural. As margens das grandes opacidades são irregulares e mal definidas. Com o avançar da doença, as massas tendem a se contrair, surgindo enfisema e bolhas ao seu redor e nas bases pulmonares. Os pulmões perdem volume gradativamente. As grandes massas da silicose complicada podem escavar, em decorrência de isquemia e necrose. A escavação, todavia, é relativamente não freqüente na silicose e, quando ela ocorre, deve-se antes pensar em tuberculose. O espessamento pleural observado com freqüência na tuberculose é também comum na fibrose maciça progressiva, porém derrame pleural é extremamente raro.(17)

Quanto maior a profusão de nódulos na radiografia de tórax (categorias 2 e 3), maior a chance de evolução para FMP. Em geral a radiografia de tórax mostra grandes opacidades pulmonares num fundo de nodulação pulmonar difusa. Porém a FMP tem sido relatada na ausência de nodulação pulmonar, devido à redução da visibilidade dos nódulos silicóticos, pela incorporação destes dentro da massa fibrótica.(18)
Mais da metade dos pacientes com silicose complicada apresentou na radiografia de tórax grandes opacidades dos tipos B e C, o que denota a gravidade da doença nestes pacientes.

De todos os casos analisados (n = 75), apenas um apresentou grande opacidade unilateral simulando massa tumoral, sendo o diagnóstico de silicose feito através de toracotomia com biópsia pulmonar a céu aberto. Lesões solitárias de FMP são freqüentemente confundidas com câncer de pulmão. Considerando-se a maior incidência de câncer de pulmão nesses pacientes, é importante fazer uma abordagem diagnóstica para efetivamente diferenciar as lesões malignas das lesões benignas pneumoconióticas.(19)

Neste estudo, na TCAR de tórax as grandes opacidades predominaram nos terços superiores e posteriores dos pulmões (88,6%). Broncogramas aéreos e calcificações no interior das massas ocorreram em mais da metade dos pacientes. Linfonodos hilares e mediastinais calcificados foram observados em 81% dos casos, sendo 25% do tipo casca de ovo. Apenas 8 casos apresentaram escavação no interior das massas, sendo que 6 deles apresentavam tuberculose associada.

Alguns autores(20) descreveram calcificações esparsas no interior das massas da FMP decorrente da silicose, e outros(21) relataram calcificação linfonodal em 26 de 49 casos de silicose estudados, com 12,2% do tipo casca de ovo, sendo que esta manifestação radiológica foi muito mais freqüente na silicose complicada do que na nodular simples.

Outros autores(22) estudaram a evolução radiológica de 141 pacientes silicóticos com radiografias seriadas e observaram que a progressão radiológica ocorreu mais nos portadores de grandes opacidades nas radiografias iniciais e nos que tiveram tuberculose.

Neste estudo, a exposição a elevadas concentrações de poeira nos ambientes de trabalho e a alta prevalência de tuberculose nesses pacientes possivelmente contribuíram, sobremaneira, para o percentual tão elevado de casos que evoluíram para FMP.

Tendo em vista que a silicose é uma doença profissional fibrosante progressiva, e que os casos de silicose complicada apresentam maior probabilidade de progressão radiológica e evoluem com maior freqüência com alteração da função pulmonar e morte prematura, torna-se imprescindível evitar os fatores de risco que contribuem para o desenvolvimento dessa forma da doença.

REFERÊNCIAS

1. Wagner GR. Asbestosis and silicosis. Lancet. 1997;349(9061): 1311-5.
2. Brasil. Ministério da Saúde. Fundação Nacional de Saúde. Manual de normas para o controle das pneumoconioses: silicose, pneumoconiose dos trabalhadores de carvão e pneumoconiose por poeiras mistas. Brasília, Fundação Nacional de Saúde, 1997.
3. Ziskind M, Jones RN, WeilL H. Silicosis. Am Rev Respir Dis. 1976;113(5):643-65.
4. Ferreira AS. Silicose aguda. Pulmão RJ. 1999;8(4):349-58.
5. Mcloud TC. Occupational lung disease. Radiol Clin North Am. 1991;29(5):931-41.
6. Fletcher CM. Pneumoconiosis of coal-miners. Br Med J. 1948;1:1065-74.
7. Diseases associated with exposure to silica and nonfibrous silicate minerals. Silicosis and Silicate Disease Committee. Arch Pathol Lab Med. 1988;112(7):673-720.
8. Ferreira AS. Silicose. In: Aidé MA, Cardoso AP, Rufino R, David F, Carvalho SR, Lucas VS, Zamboni MM, editores. Pneumologia: aspectos práticos e atuais. Rio de Janeiro: Revinter; 2001. p. 383-90.
9. Algranti E. Slateworkers, pneumoconiosis. Cardiff: University of Wales; 1982.
10. Souza Filho AJ, Alice SH. Fibrose maciça pulmonar progressiva. J Pneumol. 1991;17(4):147-53.
11. International Labour Office. Guidelines for the use of ILO International classification of radiographs of pneumoconiosis. ed.rev. Geneva: ILO; 1980. (Occupational Safety and Health Series, 22).
12. Ferreira AS, Moreira JS, Caetano R, Gabetto JM, Santos TQ. Caracterização imunofenotípica das subpopulações de linfócitos do lavado broncoalveolar de pacientes com silicose. J Pneumol. 2000;26(3):107-12.
13. Ng TP, Chan SL. Factors associated with massive fibrosis in silicosis. Thorax. 1991;46(4):229-32.
14. Ding M, Chen F, Shi X, Yucesoy B, Mossman B, Vallyathan V. Diseases caused by silica: mechanisms of injury and disease development. Int Immunopharmacol. 2002;2(2-3):173-82.
15. Ferreira AS, Moreira VB, Souza AM, Gabetto JM, Clemente CC, Aidé MA. Silicotuberculose: análise de 82 casos. J Pneumol. 2000;26(S3):43-4.
16. Bailey WC, Brown M, Buechner HA, Weill H, Ichinose H, Ziskind M. Silico-mycobaterial disease in sandblasters. Am Rev Resp Dis. 1974; 110: 115-125.
17. Al-Kassimi FA. Pleural efusion in silicosis of the lung. Br J Indian Med. 1992;49(6):448-50.
18. McCloskey M, Cook N, Cameron D, Summers Q. Progressive massive fibrosis in the absence of lung nodulation. Austral Radiol. 1997;41(1):63-4.
19. Carneiro APS, Santos MAM, Maia PV, Barreto SM. Câncer de pulmão em trabalhadores expostos à sílica. J Bras Pneumol. 2002;28(4):233-6.
20. Marchiori E, Dantas MCH, Nobre LF. Silicose: correlação da tomografia computadorizada de alta resolução com a anatomopatologia. Radiol Bras. 2001;34(1):1-6.
21. Moreira VB, Ferreira AS, Gabetto JM, Marchiori E, Lourenço PMC. Estudo comparativo da tomografia computadorizada de alta resolução com a radiografia de tórax na silicose. Rev Port Pneumol. 2003;9(1):33-40.
22. Lee HS, Phoon WH, Ng TP. Radiological progression and its predictive risk factors in silicosis. Occup Environ Med. 2001;58(7):467-71.

________________________________________________________________________________________________
* Trabalho realizado no Ambulatório de Pneumologia e no Serviço de Radiologia do Hospital Universitário Antônio Pedro (HUAP) da Universidade Federal Fluminense - UFF - Niterói (RJ) Brasil.
1. Professora Adjunta de Pneumologia da Universidade Federal Fluminense - UFF - Niterói (RJ) Brasil.
2. Mestre em Pneumologia pela Universidade Federal Fluminense - UFF. Médica do Hospital Universitário Antônio Pedro - HUAP - Niterói (RJ) Brasil.
3. Acadêmica da Faculdade de Medicina da Universidade Federal Fluminense - UFF - Niterói (RJ) Brasil.
4. Professor Titular da Universidade Federal Fluminense - UFF - Niterói (RJ) Brasil.
Endereço para correspondência: Ângela Santos Ferreira. Rua Mario Alves, 78/1.902 BII, Icaraí - CEP: 24220-270 Niterói, RJ, Brasil. Tel: 55 21 2610-2692. Email: anani@predialnet.com.br
Recebido para publicação em 28/11/05. Aprovado, após revisão, em 7/3/06.

Indexes

Development by:

© All rights reserved 2025 - Jornal Brasileiro de Pneumologia