Continuous and bimonthly publication
ISSN (on-line): 1806-3756

Licença Creative Commons
73045
Views
Back to summary
Open Access Peer-Reviewed
Review Article

Sarcoidose pulmonar: achados na tomografia computadorizada de alta resolução

Pulmonary sarcoidosis: high-resolution computed tomography findings

Bruno Barcelos da Nóbrega, Gustavo de Souza Portes Meirelles, Gilberto Szarf, Dany Jasinowodolinski, Jorge Issamu Kavakama

ABSTRACT

Sarcoidosis is a systemic disease of unknown etiology, characterized by noncaseating granulomas. Although it may affect any organ, morbidity and mortality are most commonly related to pulmonary involvement, which is found in 80-90% of patients. This study illustrates the principal manifestations of sarcoidosis seen in high-resolution computed tomography scans, including typical as well as atypical forms.

Keywords: Sarcoidosis. Lung. High-resolution computed tomography.

RESUMO

A sarcoidose é uma doença sistêmica de causa indeterminada, caracterizada por granulomas não-caseosos. Embora possa afetar qualquer órgão, esta doença tem sua morbi-mortalidade relacionada principalmente ao acometimento pulmonar, presente em 80% a 90% dos pacientes. Este artigo ilustra as principais manifestações pulmonares da sarcoidose na tomografia computadorizada de alta resolução, incluindo as formas típicas e atípicas.

Palavras-chave: Sarcoidose. Pulmão. Tomografia computadorizada de alta resolução.

INTRODUÇÃO

A sarcoidose é uma doença multissistêmica de etiologia incerta, que possui apresentação, progressão e prognóstico variáveis. As manifestações pulmonares estão presentes em até 90% dos pacientes, dos quais 20% a 25% desenvolvem comprometimento funcional permanente(1-4).

O envolvimento pulmonar tende a ser bilateral e assimétrico, predominando nos lobos superiores. Em 25% dos casos o aspecto radiológico é atípico; em 5% a 10% dos pacientes os radiogramas de tórax são normais(5,6).

O objetivo deste estudo é apresentar, de modo sucinto e ilustrativo, os principais aspectos da sarcoidose pulmonar na tomografia computadorizada de alta resolução.

ACHADOS TÍPICOS

Nódulos. O padrão nodular é o mais freqüente na sarcoidose pulmonar. Os nódulos são geralmente pequenos e apresentam uma distribuição perilinfática, com envolvimento dos feixes peribroncovasculares, septos interlobulares, regiões centrolobulares subpleurais e ao longo das fissuras (Figuras 1 a 3). Nódulos cavitados ou de grandes dimensões, por vezes simulando neoplasias, podem ser encontrados em 15% a 25% dos casos (Figura 4)(1,4,7-10).













Opacidades em vidro fosco. Este padrão pode ser observado em 14 % a 83 % dos pacientes, tendendo a uma distribuição esparsa. Pode ocorrer isoladamente ou associado a sinais de fibrose pulmonar (Figura 5)(11-13).

Opacidades parenquimatosas. São menos freqüentes que as opacidades em vidro fosco e geralmente surgem no estágio inicial da doença. Localizam-se ao longo dos feixes peribroncovasculares ou na periferia pulmonar. Suas margens são irregulares, sendo freqüente a associação com broncogramas aéreos e nódulos no parênquima adjacente (Figuras 6 e 7)(14).





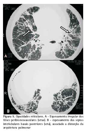
Opacidades reticulares. Resultam de uma combinação de espessamento dos septos interlobulares e do interstício intralobular. O espessamento septal localiza-se preferencialmente ao longo dos feixes peribroncovasculares, mas pode ocorrer em outras topografias (Figura 8).









Opacidades lineares irregulares foram também descritas junto aos feixes broncovasculares e atribuídas a manifestações precoces da fibrose pulmonar (Figura 9)(7,9).





Aprisionamento aéreo. O aprisionamento aéreo na expiração é relativamente freqüente, ocorrendo devido à presença de granulomas peribrônquicos ou submucosos ou por fibrose peribronquiolar, ocasionando obliteração das pequenas vias aéreas (Figura 10) (15).





Fibrose. As anormalidades parenquimatosas podem evoluir para fibrose, que está associada a distorção arquitetural, perda volumétrica, opacidades lineares, faveolamento, massas fibróticas, bronquiectasias e bronquiolectasias de tração, usualmente nos campos pulmonares médios e superiores (Figuras 11 e 12)(7).












Bronquiectasias. Não são achados comuns na sarcoidose, sendo freqüentemente associadas a fibrose (bronquiectasias de tração). Outras etiologias menos comuns incluem as obstruções das vias aéreas por granulomas e a compressão extrínseca por linfonodos (Figura 13)(6).





ACHADOS ATÍPICOS

Forma pseudotumoral. Em alguns casos, a coalescência de granulomas intersticiais resulta em grandes conglomerados com formações de "massas" que comprimem os espaços aéreos adjacentes, não associadas a broncogramas aéreos (Figuras 14 e 15)(16). Cistos. Sua etiologia é incerta. Dentre as possíveis causas citam-se o aprisionamento aéreo periférico e a distensão alveolar por componente endobrônquico, a destruição do parênquima alveolar, e retrações e colapsos do parênquima circunjacente (Figura 16)(7).








Cavidades verdadeiras. Este padrão é extremamente raro, devendo-se afastar primeiramente uma causa infecciosa ou a fibrose maciça associada a cistos. Estas cavidades, como os cistos apicais, podem ser foco de colonização saprofítica(17,18).

Alterações brônquicas (espessamento/estenose). Lenique et al. encontraram espessamento das paredes brônquicas em 65% dos pacientes, causado pela deposição de granulomas ao longo do interstício peribroncovascular (Figura 17)(19).






Atelectasia lobar. A oclusão de um brônquio lobar e conseqüente atelectasia podem ser causadas por doença endoluminal ou por compressão extrínseca. Não há sinal radiológico que possa distinguir a atelectasia lobar da sarcoidose de outras causas de atelectasia(17).

Lesões parenquimatosas pulmonares unilaterais. Alguns relatos na literatura descreveram alterações parenquimatosas unilaterais, manifestando-se principalmente por doença intersticial localizada associada a padrão alveolar, doença intersticial localizada associada a padrão reticulonodular ou como nódulo pulmonar solitário(7,17).

Sinal do "anel de fada" (Fairy-ring sign)

Este aspecto decorre de múltiplos nódulos granulomatosos periféricos margeando áreas de parênquima pulmonar preservado (Figura 18)(20).






CONCLUSÃO

Devido ao seu largo espectro de apresentações, a sarcoidose pulmonar pode simular outras pneumopatias intersticiais. A tomografia computadorizada de alta resolução é o método de imagem mais sensível e específico para a sua avaliação.

Nos casos em que predominam as manifestações atípicas, o conhecimento dos diferentes padrões tomográficos permite estreitar o diagnóstico diferencial, além de ajudar a selecionar o melhor local para uma eventual biópsia.

REFERÊNCIAS

1. Traill ZC, Maskell GF, Gleesson FV. High-resolution CT findings of pulmonary sarcoidosis. AJR 1997; 168:1557-60.
2. Remy-Jardin M, Giroud F, Remy J, Wattine L, Wallaert B, Duhamel A. Pulmonary sarcoidosis: role of CT in the evaluation of disease activity and functional impairment in prognosis assessement. Radiology 1994;191:675-80.
3. Miller BH, Rosado-de-Christenson ML, McAdams HP, Fishback NF. Thoracic sarcoidosis: radiologic-pathologic correlation. Radiographics 1995;15:421-37.
4. Müller NL, Kulling P, Miller RR. The CT findings of pulmonary sarcoidosis: analysis of 25 patients. AJR 1989;152:1179-82.
5. Webb WR, Müller NL, Naidich DP. Doenças caracterizadas principalmente por opacidades nodulares e reticulonodulares. In: Webb WR, Müller NL, Naidich DP. TC de alta resolução do pulmão. 3a ed. Rio de Janeiro: Guanabara Koogan; 2002:245-336.
6. Hamper VM, Fishman EK, Khouri NF, Jonhs CT, Wong KP, Siegelman SS. Typical and atypical CT manifestations of pulmonary sarcoidosis. J Comput Assist Tomogr 1986, 10:929-36
7. Chiles C. Imaging features of thoracic sarcoidosis. Semin Roentgenol 2002;37:82-93.
8. Nishimura K, Itoh H, Kitaichi M, Nagai S, Izumi T. Pulmonary sarcoidosis: correlation of CT and histopathologic findings. Radiology 1993;189:105-9.
9. Brauner MW, Lenoir S, Grenier P, Cluzel P, Batteste JP, Valleyre D. Pulmonary sarcoidosis: CT assessment of lesion reversibility. Radiology 1992;182:349-54.
10. Nakatsu M, Hatabu H, Morikawa K, Uematsu H, Ohno Y, Nishimura K, et al. Large coalescent parenchymal nodules in pulmonary sarcoidosis: "sarcoid galaxy" sign. AJR Am J Roentgenol 2002;178:1389-93.
11. Brauner MW, Grenier P, Monpoint D, Lenoir S, Gremoux H. Pulmonary sarcoidosis: evaluation with high-resolution CT. Radiology 1989;174:467-71.
12. Neto ALF, Marchiori E, Capone D, Mogami R. Aspectos de tomografia computadorizada de alta resolução na sarcoidose. Radiol Bras 1996: 29:325-30.
13. Lynch DA, Webb WR, Gainsu G, Itulbarg M, Golden J. Computed tomography in pulmonary sarcoidosis. J Comput Assist Tomogr 1989; 13:405-10.
14. Jokoh T, Ikezoe J, Takeuchi N, Kohuo N, Tomiyama N, Akira M, et al. CT findings in pseudoalveolar sarcoidosis. J Comput Assist Tomogr 1992;16:904-7
15. Hansell DM, Milne DG, Wisher ML, Wells AV. Pulmonary sarcoidosis: morphologic associations of airflow obstruction at thin section CT. Radiology 1998;209:697-704
16. Swensen SJ, Viggiano RW, Midthun DE, Müller NL, Sherrick A, Yamashita K, et al. Lung nodule enhancement at CT: multicenter study1 Radiology 2000; 214: 73-80.
17. Rockoff SD, Rohatgi PK. Unusual manifestation of thoracic sarcoidosis. AJR 1985;144:513-28.
18. Ichikawa Y, Fujimoto K, Shiraishi T, Oizumi K. Primary cavitary sarcoidosis: high resolution CT findings. AJR 1994;163:745
19. Lenique F, Brauner MW, Grenier P, Bettesti JP, Loixau A, Valeyre D. CT assessment of bronchi in sarcoidosis: endoscopic and pathologic correlations. Radiology 1995;194:419-23.
20. Marlow TJ, Krapiva PI, Schabel SI, Judson MA. The "fairy" ring: a new radiographic finding in sarcoidosis. Chest 1999; 115: 275-6.

* Trabalho Realizado na Universidade Federal de São Paulo - Escola Paulista de Medicina (UNIFESP- EPM), Centro de Medicina Diagnóstica Fleury,
Instituto de Radiologia do Hospital das Clínicas da Faculdade de Medicina da Universidade de São Paulo (INRAD-HCFMUSP).
Endereço para correspondência: Bruno Barcelos da Nóbrega. Alameda Ribeirão Preto, 551 apat.14, Bela Vista. CEP 01331-001, São Paulo, SP.
Tel: 55 11 288-4801. E-mail: brunoradiol@hotmail.com
Recebido para publicação, em 4/8/04. Aprovado, após revisão, em 29/10/04.

Indexes

Development by:

© All rights reserved 2025 - Jornal Brasileiro de Pneumologia